Sign in
Sign up
home
>
HUABIO
> HUABIO CXCL10 antibody
IP10
HUABIO
catalog: ET1704-27-50UL
domestic rabbit monoclonal (JA10-82)
reactivity:
human
application:
western blot
,
immunohistochemistry - paraffin section
Western blot analysis of IP10 on different lysates with Rabbit anti-IP10 antibody (ET1704-27) at 1/1,000 dilution. Lane 1: THP-1 cell lysate Lane 2: THP-1 treated with 100ng/mL IFN gamma for 24 hours then 300ng/mL BFA for 20 hours cell lysate Lane 3: THP-1 cell lysate Lane 4: THP-1 treated with 200ng/mL IFN gamma and 50ng/mL LPS for 24 hours cell lysate Lysates/proteins at 20 µg/Lane. Predicted band size: 11 kDa Observed band size: 11 kDa Exposure time: 3 minutes; ECL: K1802; 4-20% SDS-PAGE gel. Proteins were transferred to a PVDF membrane and blocked with 5% NFDM/TBST for 1 hour at room temperature. The primary antibody (ET1704-27) at 1/1,000 dilution was used in 5% NFDM/TBST at 4℃ overnight. Goat Anti-Rabbit IgG - HRP Secondary Antibody (HA1001) at 1/50,000 dilution was used for 1 hour at room temperature.
Immunocytochemistry analysis of THP-1 cells treated with 200ng/mL IFN gamma then treated with 50ng/mL LPS for 24 hours labeling IP10 with Rabbit anti-IP10 antibody (ET1704-27) at 1/100 dilution. Cells were fixed in 4% paraformaldehyde for 20 minutes at room temperature, permeabilized with 0.1% Triton X-100 in PBS for 5 minutes at room temperature, then blocked with 1% BSA in 10% negative goat serum for 1 hour at room temperature. Cells were then incubated with Rabbit anti-IP10 antibody (ET1704-27) at 1/100 dilution in 1% BSA in PBST overnight at 4 ℃. Goat Anti-Rabbit IgG H&L (iFluor™ 488, HA1121) was used as the secondary antibody at 1/1,000 dilution. PBS instead of the primary antibody was used as the secondary antibody only control. Nuclear DNA was labelled in blue with DAPI.
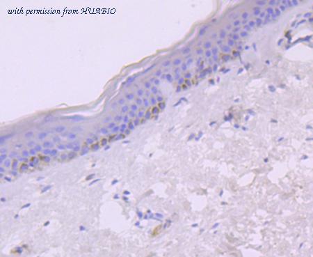
Immunohistochemical analysis of paraffin-embedded human skin tissue using anti-IP10 antibody. The section was pre-treated using heat mediated antigen retrieval with Tris-EDTA buffer (pH 9.0) for 20 minutes.The tissues were blocked in 1% BSA for 30 minutes at room temperature, washed with ddH2O and PBS, and then probed with the primary antibody (ET1704-27, 1/50) for 30 minutes at room temperature. The detection was performed using an HRP conjugated compact polymer system. DAB was used as the chromogen. Tissues were counterstained with hematoxylin and mounted with DPX.
quantity: 50μl
price: 205.00 USD
to the supplier
Human CXCL10 / IP-10
HUABIO
catalog: HA725007
domestic rabbit monoclonal (PSH12-36)
reactivity:
human
application:
ELISA
Sandwich ELISA analysis of human CXCL10 matched pair antibodies Capture: HA725007, Human CXCL10 / IP-10 Rabbit mAb [PSH12-36] Detector: HA725008, Human CXCL10 / IP-10 Rabbit mAb [PSH12-37] Elisa assay was performed by coating wells of a 96-well plate with 100 µl per well of capture antibody (HA725007) diluted in carbonate/bicarbonate buffer, at a concentration of 2 µg/mL overnight at 4℃. Wells of the plate were washed, blocked with 150 µl 0.05% tween-20 1% BSA blocking buffer, and incubated with serial diluted Recombinant Human CXCL10 protein (HA210896) starting from 200 pg/ml to 0 pg/ml and detect antibody (HA725008, Biotin, 0.2 µg/ml) for 1 hour at 30℃ with shaking. Then the plate was washed and incubated with 100 µl per well of SA-HRP for 0.5 hour at 30℃ with shaking. Detection was performed using an Ultra TMB Substrate for 10 minutes at room temperature in the dark. The reaction was stopped with sulfuric acid and absorbances were read on a spectrophotometer at 450 nm.
Interpolated concentrations of native CXCL10 in THP-1 supernatant samples. Capture: HA725007, Human CXCL10 / IP-10 Rabbit mAb [PSH12-36] Detector: HA725008, Human CXCL10 / IP-10 Rabbit mAb [PSH12-37] Interpolated concentration of native CXCL10 was measured in duplicate at different sample concentrations. The interpolated dilution factor corrected values were plotted (mean +/- SD, n=2). The mean CXCL10 concentration was determined to be 2993 pg/mL in THP-1+hu IFN-γ (1μg/ml 8h) then LPS (1μg/mL overnight) sups (+) sups, 7 pg/ml in THP-1+hu IFN-γ (1μg/ml 8h) then LPS (1μg/mL overnight) sups (-) cell culture supernatant.
quantity: 100μl
price: 649.00 USD
to the supplier
Human CXCL10 / IP-10
HUABIO
catalog: HA725008
domestic rabbit monoclonal (PSH12-37)
reactivity:
human
application:
ELISA
Sandwich ELISA analysis of human CXCL10 matched pair antibodies Capture: HA725007, Human CXCL10 / IP-10 Rabbit mAb [PSH12-36] Detector: HA725008, Human CXCL10 / IP-10 Rabbit mAb [PSH12-37] Elisa assay was performed by coating wells of a 96-well plate with 100 µl per well of capture antibody (HA725007) diluted in carbonate/bicarbonate buffer, at a concentration of 2 µg/mL overnight at 4℃. Wells of the plate were washed, blocked with 150 µl 0.05% tween-20 1% BSA blocking buffer, and incubated with serial diluted Recombinant Human CXCL10 protein (HA210896) starting from 200 pg/ml to 0 pg/ml and detect antibody (HA725008, Biotin, 0.2 µg/ml) for 1 hour at 30℃ with shaking. Then the plate was washed and incubated with 100 µl per well of SA-HRP for 0.5 hour at 30℃ with shaking. Detection was performed using an Ultra TMB Substrate for 10 minutes at room temperature in the dark. The reaction was stopped with sulfuric acid and absorbances were read on a spectrophotometer at 450 nm.
Interpolated concentrations of native CXCL10 in THP-1 supernatant samples. Capture: HA725007, Human CXCL10 / IP-10 Rabbit mAb [PSH12-36] Detector: HA725008, Human CXCL10 / IP-10 Rabbit mAb [PSH12-37] Interpolated concentration of native CXCL10 was measured in duplicate at different sample concentrations. The interpolated dilution factor corrected values were plotted (mean +/- SD, n=2). The mean CXCL10 concentration was determined to be 2993 pg/mL in THP-1+hu IFN-γ (1μg/ml 8h) then LPS (1μg/mL overnight) sups (+) sups, 7 pg/ml in THP-1+hu IFN-γ (1μg/ml 8h) then LPS (1μg/mL overnight) sups (-) cell culture supernatant.
quantity: 100μl
price: 649.00 USD
to the supplier
Human CXCL10 / IP-10
HUABIO
catalog: HA725009B
domestic rabbit monoclonal (PSH12-37)
reactivity:
human
conjugate: biotin
application:
ELISA
Sandwich ELISA analysis of human CXCL10 matched pair antibodies Capture: HA725007, Human CXCL10 / IP-10 Rabbit mAb [PSH12-36] Detector: HA725008, Human CXCL10 / IP-10 Rabbit mAb [PSH12-37] Elisa assay was performed by coating wells of a 96-well plate with 100 µl per well of capture antibody (HA725007) diluted in carbonate/bicarbonate buffer, at a concentration of 2 µg/mL overnight at 4℃. Wells of the plate were washed, blocked with 150 µl 0.05% tween-20 1% BSA blocking buffer, and incubated with serial diluted Recombinant Human CXCL10 protein (HA210896) starting from 200 pg/ml to 0 pg/ml and detect antibody (HA725009B, 0.2 µg/ml) for 1 hour at 30℃ with shaking. Then the plate was washed and incubated with 100 µl per well of SA-HRP for 0.5 hour at 30℃ with shaking. Detection was performed using an Ultra TMB Substrate for 10 minutes at room temperature in the dark. The reaction was stopped with sulfuric acid and absorbances were read on a spectrophotometer at 450 nm.
Interpolated concentrations of native CXCL10 in THP-1 supernatant samples. Capture: HA725007, Human CXCL10 / IP-10 Rabbit mAb [PSH12-36] Detector: HA725008, Human CXCL10 / IP-10 Rabbit mAb [PSH12-37] Interpolated concentration of native CXCL10 was measured in duplicate at different sample concentrations. The interpolated dilution factor corrected values were plotted (mean +/- SD, n=2). The mean CXCL10 concentration was determined to be 2993 pg/mL in THP-1+hu IFN-γ (1μg/ml 8h) then LPS (1μg/mL overnight) sups (+) sups, 7 pg/ml in THP-1+hu IFN-γ (1μg/ml 8h) then LPS (1μg/mL overnight) sups (-) cell culture supernatant.
quantity: 100μl
price: 409.00 USD
to the supplier
IP10
HUABIO
catalog: HA750411
domestic rabbit monoclonal (JA10-82)
reactivity:
human
application:
western blot
,
immunohistochemistry - paraffin section
Western blot analysis of IP10 on different lysates with Rabbit anti-IP10 antibody (HA750411) at 1/1,000 dilution. Lane 1: THP-1 cell lysate Lane 2: THP-1 treated with 100ng/mL IFN gamma for 24 hours then 300ng/mL BFA for 20 hours cell lysate Lane 3: THP-1 cell lysate Lane 4: THP-1 treated with 200ng/mL IFN gamma and 50ng/mL LPS for 24 hours cell lysate Lysates/proteins at 20 µg/Lane. Predicted band size: 11 kDa Observed band size: 11 kDa Exposure time: 3 minutes; ECL: K1802; 4-20% SDS-PAGE gel. Proteins were transferred to a PVDF membrane and blocked with 5% NFDM/TBST for 1 hour at room temperature. The primary antibody (HA750411) at 1/1,000 dilution was used in 5% NFDM/TBST at 4℃ overnight. Goat Anti-Rabbit IgG - HRP Secondary Antibody (HA1001) at 1/50,000 dilution was used for 1 hour at room temperature.
Immunocytochemistry analysis of THP-1 cells treated with 200ng/mL IFN gamma then treated with 50ng/mL LPS for 24 hours labeling IP10 with Rabbit anti-IP10 antibody (HA750411) at 1/100 dilution. Cells were fixed in 4% paraformaldehyde for 20 minutes at room temperature, permeabilized with 0.1% Triton X-100 in PBS for 5 minutes at room temperature, then blocked with 1% BSA in 10% negative goat serum for 1 hour at room temperature. Cells were then incubated with Rabbit anti-IP10 antibody (HA750411) at 1/100 dilution in 1% BSA in PBST overnight at 4 ℃. Goat Anti-Rabbit IgG H&L (iFluor™ 488, HA1121) was used as the secondary antibody at 1/1,000 dilution. PBS instead of the primary antibody was used as the secondary antibody only control. Nuclear DNA was labelled in blue with DAPI.
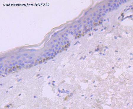
Immunohistochemical analysis of paraffin-embedded human skin tissue using anti-IP10 antibody. The section was pre-treated using heat mediated antigen retrieval with Tris-EDTA buffer (pH 9.0) for 20 minutes.The tissues were blocked in 1% BSA for 30 minutes at room temperature, washed with ddH2O and PBS, and then probed with the primary antibody (HA750411, 1/50) for 30 minutes at room temperature. The detection was performed using an HRP conjugated compact polymer system. DAB was used as the chromogen. Tissues were counterstained with hematoxylin and mounted with DPX.
quantity: 100μl
price: 649.00 USD
to the supplier
Anti-IP10 Antibody [JA10-82]
HUABIO
catalog: ET1704-27TR
domestic rabbit monoclonal (JA10-82)
reactivity:
human
application:
western blot
,
immunohistochemistry - paraffin section
quantity: 20 uL
price: 99 USD
to the supplier