Sign in
Sign up
home
>
HUABIO
> HUABIO IDO1 antibody
IDO
HUABIO
catalog: ER1706-94
domestic rabbit polyclonal
reactivity:
human
,
mouse
application:
western blot
,
flow cytometry
,
immunohistochemistry - paraffin section
Western blot analysis of IDO on different lysates with Rabbit anti-IDO antibody (ER1706-94) at 1/5,000 dilution. Lane 1: A549 cell lysate Lane 2: A549 treated with 50ng/mL IFN-gamma for 24 hours cell lysate Lysates/proteins at 20 µg/Lane. Predicted band size: 45 kDa Observed band size: 45 kDa Exposure time: 20 seconds; ECL: K1801; 4-20% SDS-PAGE gel. Proteins were transferred to a PVDF membrane and blocked with 5% NFDM/TBST for 1 hour at room temperature. The primary antibody (ER1706-94) at 1/1,000 dilution was used in 5% NFDM/TBST at 4℃ overnight. Goat Anti-Rabbit IgG - HRP Secondary Antibody (HA1001) at 1/50,000 dilution was used for 1 hour at room temperature.
Immunocytochemistry analysis of A549 cells untreated / treated with 50ng/mL IFN-gamma for 24 hours labeling IDO with Rabbit anti-IDO antibody (ER1706-94) at 1/2,000 dilution. Cells were fixed in 4% paraformaldehyde for 15 minutes at room temperature, permeabilized with 0.1% Triton X-100 in PBS for 15 minutes at room temperature, then blocked with 1% BSA in 10% negative goat serum for 1 hour at room temperature. Cells were then incubated with Rabbit anti-IDO antibody (ER1706-94) at 1/2,000 dilution in 1% BSA in PBST overnight at 4 ℃. Goat Anti-Rabbit IgG H&L (iFluor™ 488, HA1121) was used as the secondary antibody at 1/1,000 dilution. PBS instead of the primary antibody was used as the secondary antibody only control. Nuclear DNA was labelled in blue with DAPI. Beta tubulin (HA601187, red) was stained at 1/100 dilution overnight at +4℃. Goat Anti-Mouse IgG H&L (iFluor™ 594, HA1126) was used as the secondary antibody at 1/1,000 dilution.
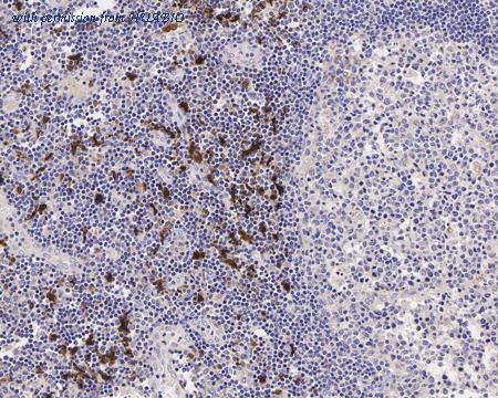
Immunohistochemical analysis of paraffin-embedded human tonsil tissue using anti-IDO antibody. Counter stained with hematoxylin.
quantity: 100μl
price: 330 USD
to the supplier
IDO
HUABIO
catalog: HA721331
domestic rabbit monoclonal (PD00-62)
reactivity:
human
application:
western blot
,
immunohistochemistry - paraffin section
Immunohistochemical analysis of paraffin-embedded human endometrial carcinoma tissue with Rabbit anti-IDO antibody (HA721331) at 1/200 dilution. The section was pre-treated using heat mediated antigen retrieval with Tris-EDTA buffer (pH 9.0) for 20 minutes. The tissues were blocked in 1% BSA for 20 minutes at room temperature, washed with ddH2O and PBS, and then probed with the primary antibody (HA721331) at 1/200 dilution for 1 hour at room temperature. The detection was performed using an HRP conjugated compact polymer system. DAB was used as the chromogen. Tissues were counterstained with hematoxylin and mounted with DPX.
Immunohistochemical analysis of paraffin-embedded human lymph nodes tissue with Rabbit anti-IDO antibody (HA721331) at 1/200 dilution. The section was pre-treated using heat mediated antigen retrieval with Tris-EDTA buffer (pH 9.0) for 20 minutes. The tissues were blocked in 1% BSA for 20 minutes at room temperature, washed with ddH2O and PBS, and then probed with the primary antibody (HA721331) at 1/200 dilution for 1 hour at room temperature. The detection was performed using an HRP conjugated compact polymer system. DAB was used as the chromogen. Tissues were counterstained with hematoxylin and mounted with DPX.
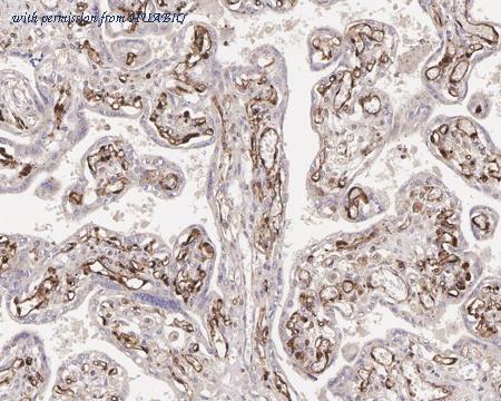
Immunohistochemical analysis of paraffin-embedded human placenta tissue with Rabbit anti-IDO antibody (HA721331) at 1/200 dilution. The section was pre-treated using heat mediated antigen retrieval with Tris-EDTA buffer (pH 9.0) for 20 minutes. The tissues were blocked in 1% BSA for 20 minutes at room temperature, washed with ddH2O and PBS, and then probed with the primary antibody (HA721331) at 1/200 dilution for 1 hour at room temperature. The detection was performed using an HRP conjugated compact polymer system. DAB was used as the chromogen. Tissues were counterstained with hematoxylin and mounted with DPX.
quantity: 100μl
price: 385.00 USD
to the supplier
Human IDO1
HUABIO
catalog: HA723154
domestic rabbit monoclonal (PSH09-86)
reactivity:
human
application:
ELISA
Sandwich ELISA analysis of human IDO matched pair antibodies Elisa assay was performed by coating wells of a 96-well plate with 100 µl per well of capture antibody (HA723154) diluted in carbonate/bicarbonate buffer, at a concentration of 2ug/ml overnight at 4℃. Wells of the plate were washed, blocked with 150 µl 0.05% tween-20 1% BSA blocking buffer, and incubated with serial diluted Recombinant Human IDO1 protein (HA210938) starting from 10000 pg/ml to 0 pg/ml and detect antibody (HA723155, Biotin, 0.2 µg/ml) for 1 hour at 30℃ with shaking. Then the plate was washed and incubated with 100 µl per well of SA-HRP for 0.5 hour at 30℃ with shaking. Detection was performed using an Ultra TMB Substrate for 10 minutes at room temperature in the dark. The reaction was stopped with sulfuric acid and absorbances were read on a spectrophotometer at 450 nm.
Interpolated concentrations of native IDO in IFN-r stimulated Hela cell extracts based on a 1000 ug/ml extract load. Interpolated concentration of native IDO was measured in duplicate at different sample concentrations and interpolated from the IDO standard curves. The interpolated dilution factor corrected values were plotted (mean +/- SD, n=2). The mean IDO concentration was determined to be 158,961 pg/mL in IFN-r stimulated Hela cell extracts. IDO was not detected in naive HeLa cells with a 1000 ug/mL extract load.
Interpolated concentrations of spiked IDO in cell culture media samples. The concentrations of IDO were measured in duplicates, interpolated from the IDO standard curves and corrected for sample dilution. Undiluted samples are as follows: cell culture media 50%. The interpolated dilution factor corrected values are plotted (mean +/- SD, n=2).
quantity: 100μl
price: 649.00 USD
to the supplier
Human IDO1
HUABIO
catalog: HA723155
domestic rabbit monoclonal (PSH09-87)
reactivity:
human
application:
ELISA
Sandwich ELISA analysis of human IDO matched pair antibodies Elisa assay was performed by coating wells of a 96-well plate with 100 µl per well of capture antibody (HA723154) diluted in carbonate/bicarbonate buffer, at a concentration of 2ug/ml overnight at 4℃. Wells of the plate were washed, blocked with 150 µl 0.05% tween-20 1% BSA blocking buffer, and incubated with serial diluted Recombinant Human IDO1 protein (HA210938) starting from 10000 pg/ml to 0 pg/ml and detect antibody (HA723155, Biotin, 0.2 µg/ml) for 1 hour at 30℃ with shaking. Then the plate was washed and incubated with 100 µl per well of SA-HRP for 0.5 hour at 30℃ with shaking. Detection was performed using an Ultra TMB Substrate for 10 minutes at room temperature in the dark. The reaction was stopped with sulfuric acid and absorbances were read on a spectrophotometer at 450 nm.
Interpolated concentrations of native IDO in IFN-r stimulated Hela cell extracts based on a 1000 ug/ml extract load. Interpolated concentration of native IDO was measured in duplicate at different sample concentrations and interpolated from the IDO standard curves. The interpolated dilution factor corrected values were plotted (mean +/- SD, n=2). The mean IDO concentration was determined to be 158,961 pg/mL in IFN-r stimulated Hela cell extracts. IDO was not detected in naive HeLa cells with a 1000 ug/mL extract load.
Interpolated concentrations of spiked IDO in cell culture media samples. The concentrations of IDO were measured in duplicates, interpolated from the IDO standard curves and corrected for sample dilution. Undiluted samples are as follows: cell culture media 50%. The interpolated dilution factor corrected values are plotted (mean +/- SD, n=2).
quantity: 100μl
price: 649.00 USD
to the supplier
Human IDO1
HUABIO
catalog: HA723156B
domestic rabbit monoclonal (PSH09-87)
reactivity:
human
conjugate: biotin
application:
ELISA
Sandwich ELISA analysis of human IDO matched pair antibodies Elisa assay was performed by coating wells of a 96-well plate with 100 µl per well of capture antibody (HA723154) diluted in carbonate/bicarbonate buffer, at a concentration of 2ug/ml overnight at 4℃. Wells of the plate were washed, blocked with 150 µl 0.05% tween-20 1% BSA blocking buffer, and incubated with serial diluted Recombinant Human IDO1 protein (HA210938) starting from 10000 pg/ml to 0 pg/ml and detect antibody (HA723156B, 0.2 µg/ml) for 1 hour at 30℃ with shaking. Then the plate was washed and incubated with 100 µl per well of SA-HRP for 0.5 hour at 30℃ with shaking. Detection was performed using an Ultra TMB Substrate for 10 minutes at room temperature in the dark. The reaction was stopped with sulfuric acid and absorbances were read on a spectrophotometer at 450 nm.
Interpolated concentrations of native IDO in IFN-r stimulated Hela cell extracts based on a 1000 ug/ml extract load. Interpolated concentration of native IDO was measured in duplicate at different sample concentrations and interpolated from the IDO standard curves. The interpolated dilution factor corrected values were plotted (mean +/- SD, n=2). The mean IDO concentration was determined to be 158,961 pg/mL in IFN-r stimulated Hela cell extracts. IDO was not detected in naive HeLa cells with a 1000 ug/mL extract load.
Interpolated concentrations of spiked IDO in cell culture media samples. The concentrations of IDO were measured in duplicates, interpolated from the IDO standard curves and corrected for sample dilution. Undiluted samples are as follows: cell culture media 50%. The interpolated dilution factor corrected values are plotted (mean +/- SD, n=2).
quantity: 100μl
price: 409.00 USD
to the supplier
IDO
HUABIO
catalog: HA723456
domestic rabbit monoclonal (PSH12-31)
reactivity:
human
application:
western blot
,
immunoprecipitation
,
flow cytometry
,
immunohistochemistry - paraffin section
Western blot analysis of IDO on different lysates with Rabbit anti-IDO antibody (HA723456) at 1/5,000 dilution. Lane 1: HeLa cell lysate Lane 2: HeLa treated with 50ng/mL hIFN-γ for 16 hours cell lysate Lane 3: A549 cell lysate Lane 4: A549 treated with 50ng/mL hIFN-γ for 24 hours cell lysate Lysates/proteins at 20 µg/Lane. Predicted band size: 45 kDa Observed band size: 45 kDa Exposure time: 2 seconds; ECL: K1801; 4-20% SDS-PAGE gel. Proteins were transferred to a PVDF membrane and blocked with 5% NFDM/TBST for 1 hour at room temperature. The primary antibody (HA723456) at 1/5,000 dilution was used in primary antibody dilution (K1803) at 4℃ overnight. Goat Anti-Rabbit IgG - HRP Secondary Antibody (HA1001) at 1/50,000 dilution was used for 1 hour at room temperature.
Immunocytochemistry analysis of HeLa cells untreated / treated with 50ng/mL hIFN-γ for 16 hours labeling IDO with Rabbit anti-IDO antibody (HA723456) at 1/100 dilution. Cells were fixed in 4% paraformaldehyde for 15 minutes at room temperature, permeabilized with 0.1% Triton X-100 in PBS for 15 minutes at room temperature, then blocked with 1% BSA in 10% negative goat serum for 1 hour at room temperature. Cells were then incubated with Rabbit anti-IDO antibody (HA723456) at 1/100 dilution in 1% BSA in PBST overnight at 4 ℃. Goat Anti-Rabbit IgG H&L (iFluor™ 488, HA1121) was used as the secondary antibody at 1/1,000 dilution. PBS instead of the primary antibody was used as the secondary antibody only control. Nuclear DNA was labelled in blue with DAPI. Beta tubulin (HA601187, red) was stained at 1/100 dilution overnight at +4℃. Goat Anti-Mouse IgG H&L (iFluor™ 594, HA1126) was used as the secondary antibody at 1/1,000 dilution.
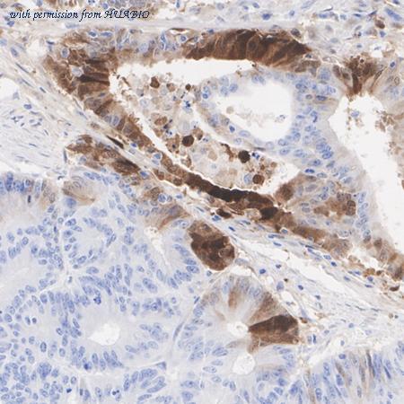
Immunohistochemical analysis of paraffin-embedded human colon adenocarcinoma tissue with Rabbit anti-IDO antibody (HA723456) at 1/1,000 dilution. The section was pre-treated using heat mediated antigen retrieval with Tris-EDTA buffer (pH 9.0) for 20 minutes. The tissues were blocked in 1% BSA for 20 minutes at room temperature, washed with ddH2O and PBS, and then probed with the primary antibody (HA723456) at 1/1,000 dilution for 1 hour at room temperature. The detection was performed using an HRP conjugated compact polymer system. DAB was used as the chromogen. Tissues were counterstained with hematoxylin and mounted with DPX.
quantity: 100μl
price: 385.00 USD
to the supplier
IDO
HUABIO
catalog: HA751445
domestic rabbit monoclonal (PSH12-31)
reactivity:
human
application:
western blot
,
immunoprecipitation
,
flow cytometry
,
immunohistochemistry - paraffin section
Western blot analysis of IDO on different lysates with Rabbit anti-IDO antibody (HA751445) at 1/5,000 dilution. Lane 1: HeLa cell lysate Lane 2: HeLa treated with 50ng/mL hIFN-γ for 16 hours cell lysate Lane 3: A549 cell lysate Lane 4: A549 treated with 50ng/mL hIFN-γ for 24 hours cell lysate Lysates/proteins at 20 µg/Lane. Predicted band size: 45 kDa Observed band size: 45 kDa Exposure time: 2 seconds; ECL: K1801; 4-20% SDS-PAGE gel. Proteins were transferred to a PVDF membrane and blocked with 5% NFDM/TBST for 1 hour at room temperature. The primary antibody (HA751445) at 1/5,000 dilution was used in primary antibody dilution (K1803) at 4℃ overnight. Goat Anti-Rabbit IgG - HRP Secondary Antibody (HA1001) at 1/50,000 dilution was used for 1 hour at room temperature.
Immunocytochemistry analysis of HeLa cells untreated / treated with 50ng/mL hIFN-γ for 16 hours labeling IDO with Rabbit anti-IDO antibody (HA751445) at 1/100 dilution. Cells were fixed in 4% paraformaldehyde for 15 minutes at room temperature, permeabilized with 0.1% Triton X-100 in PBS for 15 minutes at room temperature, then blocked with 1% BSA in 10% negative goat serum for 1 hour at room temperature. Cells were then incubated with Rabbit anti-IDO antibody (HA751445) at 1/100 dilution in 1% BSA in PBST overnight at 4 ℃. Goat Anti-Rabbit IgG H&L (iFluor™ 488, HA1121) was used as the secondary antibody at 1/1,000 dilution. PBS instead of the primary antibody was used as the secondary antibody only control. Nuclear DNA was labelled in blue with DAPI. Beta tubulin (HA601187, red) was stained at 1/100 dilution overnight at +4℃. Goat Anti-Mouse IgG H&L (iFluor™ 594, HA1126) was used as the secondary antibody at 1/1,000 dilution.
Immunohistochemical analysis of paraffin-embedded human colon adenocarcinoma tissue with Rabbit anti-IDO antibody (HA751445) at 1/1,000 dilution. The section was pre-treated using heat mediated antigen retrieval with Tris-EDTA buffer (pH 9.0) for 20 minutes. The tissues were blocked in 1% BSA for 20 minutes at room temperature, washed with ddH2O and PBS, and then probed with the primary antibody (HA751445) at 1/1,000 dilution for 1 hour at room temperature. The detection was performed using an HRP conjugated compact polymer system. DAB was used as the chromogen. Tissues were counterstained with hematoxylin and mounted with DPX.
quantity: 100μl
price: 649.00 USD
to the supplier
IDO
HUABIO
catalog: IRS045
domestic rabbit monoclonal
reactivity:
human
mIHC analysis of human tonsils tissue (Formalin/PFA-fixed paraffin-embedded sections) with Rabbit anti-IDO antibody (IRS045) at 1/100 dilution. The immunostaining was performed with the IRISKitCmTSA Kit (900808). Heat mediated antigen retrieval with Tris-EDTA buffer (pH 9.0) for 30 mins at 95℃. DAPI (blue) was used as a nuclear counter stain. Image acquisition was performed with Olympus VS200 Slide Scanner.
quantity: 100μl
price: 385.00 USD
to the supplier