Sign in
Sign up
home
>
HUABIO
> HUABIO IL-18 antibody
IL-18
HUABIO
catalog: HA721536
domestic rabbit monoclonal (PS00-41)
reactivity:
human
application:
western blot
,
immunohistochemistry - paraffin section
Western blot analysis of IL-18 on different lysates with Rabbit anti-IL-18 antibody (HA721536) at 1/1,000 dilution. Lane 1: A431 cell lysate Lane 2: SiHa cell lysate Lysates/proteins at 10 µg/Lane. Predicted band size: 22 kDa Observed band size: 22 kDa Exposure time: 2 minutes; 12% SDS-PAGE gel. Proteins were transferred to a PVDF membrane and blocked with 5% NFDM/TBST for 1 hour at room temperature. The primary antibody (HA721536) at 1/1,000 dilution was used in 5% NFDM/TBST at room temperature for 2 hours. Goat Anti-Rabbit IgG - HRP Secondary Antibody (HA1001) at 1:100,000 dilution was used for 1 hour at room temperature.
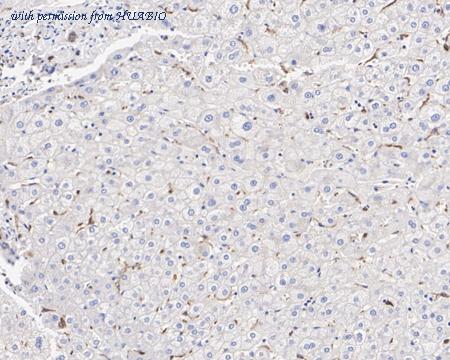
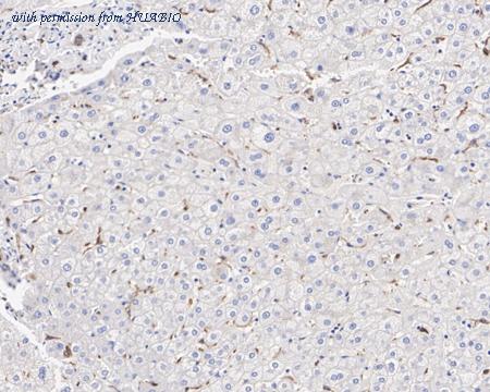
Immunohistochemical analysis of paraffin-embedded human liver tissue with Rabbit anti-IL-18 antibody (HA721536) at 1/1,000 dilution. The section was pre-treated using heat mediated antigen retrieval with Tris-EDTA buffer (pH 9.0) for 20 minutes. The tissues were blocked in 1% BSA for 20 minutes at room temperature, washed with ddH2O and PBS, and then probed with the primary antibody (HA721536) at 1/1,000 dilution for 1 hour at room temperature. The detection was performed using an HRP conjugated compact polymer system. DAB was used as the chromogen. Tissues were counterstained with hematoxylin and mounted with DPX.
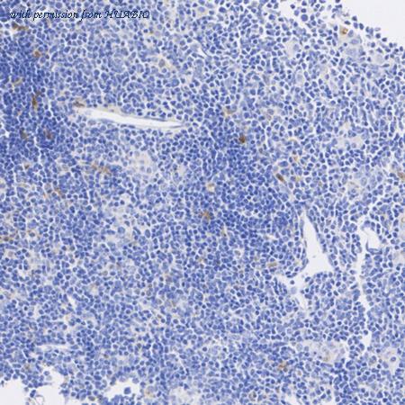
Immunohistochemical analysis of paraffin-embedded human spleen tissue with Rabbit anti-IL-18 antibody (HA721536) at 1/1,000 dilution. The section was pre-treated using heat mediated antigen retrieval with Tris-EDTA buffer (pH 9.0) for 20 minutes. The tissues were blocked in 1% BSA for 20 minutes at room temperature, washed with ddH2O and PBS, and then probed with the primary antibody (HA721536) at 1/1,000 dilution for 1 hour at room temperature. The detection was performed using an HRP conjugated compact polymer system. DAB was used as the chromogen. Tissues were counterstained with hematoxylin and mounted with DPX.
quantity: 100μl
price: 385.00 USD
to the supplier
IL-18
HUABIO
catalog: HA721537
domestic rabbit monoclonal (PS01-06)
reactivity:
human
application:
western blot
,
flow cytometry
Western blot analysis of IL-18 on different lysates with Rabbit anti-IL-18 antibody (HA721537) at 1/1,000 dilution. Lane 1: A431 cell lysate Lane 2: SiHa cell lysate Lysates/proteins at 10 µg/Lane. Predicted band size: 22 kDa Observed band size: 22 kDa Exposure time: 2 minutes; 12% SDS-PAGE gel. Proteins were transferred to a PVDF membrane and blocked with 5% NFDM/TBST for 1 hour at room temperature. The primary antibody (HA721537) at 1/1,000 dilution was used in 5% NFDM/TBST at room temperature for 2 hours. Goat Anti-Rabbit IgG - HRP Secondary Antibody (HA1001) at 1:100,000 dilution was used for 1 hour at room temperature.
Flow cytometric analysis of A431 cells labeling IL-18. Cells were fixed and permeabilized. Then stained with the primary antibody (HA721537, 1ug/ml) (red) compared with Rabbit IgG Isotype Control (green). After incubation of the primary antibody at +4℃ for an hour, the cells were stained with a iFluor™ 488 conjugate-Goat anti-Rabbit IgG Secondary antibody (HA1121) at 1/1,000 dilution for 30 minutes at +4℃. Unlabelled sample was used as a control (cells without incubation with primary antibody; black).
quantity: 100μl
price: 385.00 USD
to the supplier
Human IL-18
HUABIO
catalog: HA721722
domestic rabbit monoclonal (PSH01-71)
reactivity:
human
application:
ELISA
quantity: 100μl
price: 649.00 USD
to the supplier
Human IL-18
HUABIO
catalog: HA721723
domestic rabbit monoclonal (PSH01-70)
reactivity:
human
application:
ELISA
quantity: 100μl
price: 649.00 USD
to the supplier
Human IL-18
HUABIO
catalog: HA721767
domestic rabbit monoclonal (PSH02-08)
reactivity:
human
application:
western blot
,
immunoprecipitation
,
immunohistochemistry - paraffin section
Western blot analysis of Human IL-18 on different lysates with Rabbit anti-Human IL-18 antibody (HA721767) at 1/1,000 dilution. Lane 1: U-2 OS cell lysate (20 µg/Lane) Lane 2: A549 cell lysate (20 µg/Lane) Lane 3: HeLa cell lysate (20 µg/Lane) Lane 4: HepG2 cell lysate (20 µg/Lane) Predicted band size: 22 kDa Observed band size: 20 kDa Exposure time: 1 minute 45 seconds; 4-20% SDS-PAGE gel. Proteins were transferred to a PVDF membrane and blocked with 5% NFDM/TBST for 1 hour at room temperature. The primary antibody (HA721767) at 1/1,000 dilution was used in 5% NFDM/TBST at room temperature for 2 hours. Goat Anti-Rabbit IgG - HRP Secondary Antibody (HA1001) at 1/100,000 dilution was used for 1 hour at room temperature.
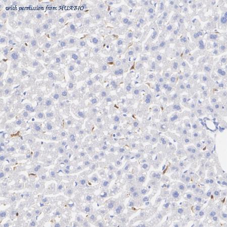
Immunohistochemical analysis of paraffin-embedded human liver tissue with Rabbit anti-Human IL-18 antibody (HA721767) at 1/5,000 dilution. The section was pre-treated using heat mediated antigen retrieval with Tris-EDTA buffer (pH 9.0) for 20 minutes. The tissues were blocked in 1% BSA for 20 minutes at room temperature, washed with ddH2O and PBS, and then probed with the primary antibody (HA721767) at 1/5,000 dilution for 1 hour at room temperature. The detection was performed using an HRP conjugated compact polymer system. DAB was used as the chromogen. Tissues were counterstained with hematoxylin and mounted with DPX.
Immunohistochemical analysis of paraffin-embedded human spleen tissue with Rabbit anti-Human IL-18 antibody (HA721767) at 1/10,000 dilution. The section was pre-treated using heat mediated antigen retrieval with Tris-EDTA buffer (pH 9.0) for 20 minutes. The tissues were blocked in 1% BSA for 20 minutes at room temperature, washed with ddH2O and PBS, and then probed with the primary antibody (HA721767) at 1/10,000 dilution for 1 hour at room temperature. The detection was performed using an HRP conjugated compact polymer system. DAB was used as the chromogen. Tissues were counterstained with hematoxylin and mounted with DPX.
quantity: 100μl
price: 385.00 USD
to the supplier
Human IL-18
HUABIO
catalog: HA721768
domestic rabbit monoclonal (PSH02-09)
reactivity:
human
application:
western blot
Western blot analysis of Human IL-18 on different lysates with Rabbit anti-Human IL-18 antibody (HA721768) at 1/1,000 dilution. Lane 1: U-2 OS cell lysate Lane 2: A549 cell lysate Lane 3: HeLa cell lysate Lane 4: HepG2 cell lysate Lane 5: Raji cell lysate (low expression) Lysates/proteins at 20 µg/Lane. Predicted band size: 22 kDa Observed band size: 20 kDa Exposure time: 39 seconds; 4-20% SDS-PAGE gel. Proteins were transferred to a PVDF membrane and blocked with 5% NFDM/TBST for 1 hour at room temperature. The primary antibody (HA721768) at 1/1,000 dilution was used in 5% NFDM/TBST at room temperature for 2 hours. Goat Anti-Rabbit IgG - HRP Secondary Antibody (HA1001) at 1/100,000 dilution was used for 1 hour at room temperature.
quantity: 100μl
price: 385.00 USD
to the supplier
Human IL-18
HUABIO
catalog: HA722644B
domestic rabbit monoclonal (PSH01-70)
reactivity:
human
conjugate: biotin
application:
ELISA
quantity: 100μl
price: 409.00 USD
to the supplier
IL-18
HUABIO
catalog: HA723978
domestic rabbit monoclonal (PSH18-15)
reactivity:
human
,
mouse
,
rat
application:
western blot
,
immunoprecipitation
,
immunohistochemistry - paraffin section
Western blot analysis of IL-18 on different lysates with Rabbit anti-IL-18 antibody (HA723978) at 1/5,000 dilution. Lane 1: HeLa cell lysate Lane 2: Raji cell lysate (negative) Lane 3: RAW264.7 cell lysate Lane 4: J774A.1 cell lysate Lane 5: C6 cell lysate Lane 6: Mouse liver tissue lysate Lane 7: Mouse thymus tissue lysate Lane 8: Rat liver tissue lysate Lysates/proteins at 20 µg/Lane. Predicted band size: 22 kDa Observed band size: 22 kDa Exposure time: 3 minutes; ECL: K1801; 4-20% SDS-PAGE gel. Proteins were transferred to a PVDF membrane and blocked with 5% NFDM/TBST for 1 hour at room temperature. The primary antibody (HA723978) at 1/5,000 dilution was used in primary antibody dilution (K1803) at 4℃ overnight. Goat Anti-Rabbit IgG - HRP Secondary Antibody (HA1001) at 1/50,000 dilution was used for 1 hour at room temperature.
Immunohistochemical analysis of paraffin-embedded mouse liver tissue with Rabbit anti-IL-18 antibody (HA723978) at 1/2,000 dilution. The section was pre-treated using heat mediated antigen retrieval with Tris-EDTA buffer (pH 9.0) for 20 minutes. The tissues were blocked in 1% BSA for 20 minutes at room temperature, washed with ddH2O and PBS, and then probed with the primary antibody (HA723978) at 1/2,000 dilution for 1 hour at room temperature. The detection was performed using an HRP conjugated compact polymer system. DAB was used as the chromogen. Tissues were counterstained with hematoxylin and mounted with DPX.
Immunohistochemical analysis of paraffin-embedded mouse thymus tissue with Rabbit anti-IL-18 antibody (HA723978) at 1/2,000 dilution. The section was pre-treated using heat mediated antigen retrieval with Tris-EDTA buffer (pH 9.0) for 20 minutes. The tissues were blocked in 1% BSA for 20 minutes at room temperature, washed with ddH2O and PBS, and then probed with the primary antibody (HA723978) at 1/2,000 dilution for 1 hour at room temperature. The detection was performed using an HRP conjugated compact polymer system. DAB was used as the chromogen. Tissues were counterstained with hematoxylin and mounted with DPX.
quantity: 100μl
price: 385.00 USD
to the supplier
IL-18
HUABIO
catalog: HA750676
domestic rabbit monoclonal (PS00-41)
reactivity:
human
application:
western blot
,
immunohistochemistry - paraffin section
Western blot analysis of IL-18 on different lysates with Rabbit anti-IL-18 antibody (HA750676) at 1/1,000 dilution. Lane 1: A431 cell lysate Lane 2: SiHa cell lysate Lysates/proteins at 10 µg/Lane. Predicted band size: 22 kDa Observed band size: 22 kDa Exposure time: 2 minutes; 12% SDS-PAGE gel. Proteins were transferred to a PVDF membrane and blocked with 5% NFDM/TBST for 1 hour at room temperature. The primary antibody (HA750676) at 1/1,000 dilution was used in 5% NFDM/TBST at room temperature for 2 hours. Goat Anti-Rabbit IgG - HRP Secondary Antibody (HA1001) at 1:100,000 dilution was used for 1 hour at room temperature.
Immunohistochemical analysis of paraffin-embedded human liver tissue with Rabbit anti-IL-18 antibody (HA750676) at 1/1,000 dilution. The section was pre-treated using heat mediated antigen retrieval with Tris-EDTA buffer (pH 9.0) for 20 minutes. The tissues were blocked in 1% BSA for 20 minutes at room temperature, washed with ddH2O and PBS, and then probed with the primary antibody (HA750676) at 1/1,000 dilution for 1 hour at room temperature. The detection was performed using an HRP conjugated compact polymer system. DAB was used as the chromogen. Tissues were counterstained with hematoxylin and mounted with DPX.
Immunohistochemical analysis of paraffin-embedded human spleen tissue with Rabbit anti-IL-18 antibody (HA750676) at 1/1,000 dilution. The section was pre-treated using heat mediated antigen retrieval with Tris-EDTA buffer (pH 9.0) for 20 minutes. The tissues were blocked in 1% BSA for 20 minutes at room temperature, washed with ddH2O and PBS, and then probed with the primary antibody (HA750676) at 1/1,000 dilution for 1 hour at room temperature. The detection was performed using an HRP conjugated compact polymer system. DAB was used as the chromogen. Tissues were counterstained with hematoxylin and mounted with DPX.
quantity: 100μl
price: 649.00 USD
to the supplier
IL-18
HUABIO
catalog: HA750677
domestic rabbit monoclonal (PS01-06)
reactivity:
human
application:
western blot
,
flow cytometry
Western blot analysis of IL-18 on different lysates with Rabbit anti-IL-18 antibody (HA750677) at 1/1,000 dilution. Lane 1: A431 cell lysate Lane 2: SiHa cell lysate Lysates/proteins at 10 µg/Lane. Predicted band size: 22 kDa Observed band size: 22 kDa Exposure time: 2 minutes; 12% SDS-PAGE gel. Proteins were transferred to a PVDF membrane and blocked with 5% NFDM/TBST for 1 hour at room temperature. The primary antibody (HA750677) at 1/1,000 dilution was used in 5% NFDM/TBST at room temperature for 2 hours. Goat Anti-Rabbit IgG - HRP Secondary Antibody (HA1001) at 1:100,000 dilution was used for 1 hour at room temperature.
Flow cytometric analysis of A431 cells labeling IL-18. Cells were fixed and permeabilized. Then stained with the primary antibody (HA750677, 1ug/ml) (red) compared with Rabbit IgG Isotype Control (green). After incubation of the primary antibody at +4℃ for an hour, the cells were stained with a iFluor™ 488 conjugate-Goat anti-Rabbit IgG Secondary antibody (HA1121) at 1/1,000 dilution for 30 minutes at +4℃. Unlabelled sample was used as a control (cells without incubation with primary antibody; black).
quantity: 100μl
price: 649.00 USD
to the supplier
Human IL-18
HUABIO
catalog: HA750778
domestic rabbit monoclonal (PSH02-08)
reactivity:
human
application:
western blot
,
immunoprecipitation
,
immunohistochemistry - paraffin section
Western blot analysis of Human IL-18 on different lysates with Rabbit anti-Human IL-18 antibody (HA750778) at 1/1,000 dilution. Lane 1: U-2 OS cell lysate (20 µg/Lane) Lane 2: A549 cell lysate (20 µg/Lane) Lane 3: HeLa cell lysate (20 µg/Lane) Lane 4: HepG2 cell lysate (20 µg/Lane) Predicted band size: 22 kDa Observed band size: 20 kDa Exposure time: 1 minute 45 seconds; 4-20% SDS-PAGE gel. Proteins were transferred to a PVDF membrane and blocked with 5% NFDM/TBST for 1 hour at room temperature. The primary antibody (HA750778) at 1/1,000 dilution was used in 5% NFDM/TBST at room temperature for 2 hours. Goat Anti-Rabbit IgG - HRP Secondary Antibody (HA1001) at 1/100,000 dilution was used for 1 hour at room temperature.
Immunohistochemical analysis of paraffin-embedded human liver tissue with Rabbit anti-Human IL-18 antibody (HA750778) at 1/5,000 dilution. The section was pre-treated using heat mediated antigen retrieval with Tris-EDTA buffer (pH 9.0) for 20 minutes. The tissues were blocked in 1% BSA for 20 minutes at room temperature, washed with ddH2O and PBS, and then probed with the primary antibody (HA750778) at 1/5,000 dilution for 1 hour at room temperature. The detection was performed using an HRP conjugated compact polymer system. DAB was used as the chromogen. Tissues were counterstained with hematoxylin and mounted with DPX.
Immunohistochemical analysis of paraffin-embedded human spleen tissue with Rabbit anti-Human IL-18 antibody (HA750778) at 1/10,000 dilution. The section was pre-treated using heat mediated antigen retrieval with Tris-EDTA buffer (pH 9.0) for 20 minutes. The tissues were blocked in 1% BSA for 20 minutes at room temperature, washed with ddH2O and PBS, and then probed with the primary antibody (HA750778) at 1/10,000 dilution for 1 hour at room temperature. The detection was performed using an HRP conjugated compact polymer system. DAB was used as the chromogen. Tissues were counterstained with hematoxylin and mounted with DPX.
quantity: 100μl
price: 649.00 USD
to the supplier
Human IL-18
HUABIO
catalog: HA750779
domestic rabbit monoclonal (PSH02-09)
reactivity:
human
application:
western blot
Western blot analysis of Human IL-18 on different lysates with Rabbit anti-Human IL-18 antibody (HA750779) at 1/1,000 dilution. Lane 1: U-2 OS cell lysate Lane 2: A549 cell lysate Lane 3: HeLa cell lysate Lane 4: HepG2 cell lysate Lane 5: Raji cell lysate (low expression) Lysates/proteins at 20 µg/Lane. Predicted band size: 22 kDa Observed band size: 20 kDa Exposure time: 39 seconds; 4-20% SDS-PAGE gel. Proteins were transferred to a PVDF membrane and blocked with 5% NFDM/TBST for 1 hour at room temperature. The primary antibody (HA750779) at 1/1,000 dilution was used in 5% NFDM/TBST at room temperature for 2 hours. Goat Anti-Rabbit IgG - HRP Secondary Antibody (HA1001) at 1/100,000 dilution was used for 1 hour at room temperature.
quantity: 100μl
price: 649.00 USD
to the supplier