domestic rabbit monoclonal (SN63-02)
reactivity: human, mouse, rat
application: western blot, immunoprecipitation
reactivity: human, mouse, rat
application: western blot, immunoprecipitation

Western blot analysis of IKK alpha + IKK beta on different lysates with Rabbit anti-IKK alpha + IKK beta antibody (ET1611-23) at 1/2,000 dilution. Lane 1: HeLa cell lysate Lane 2: 293T cell lysate Lane 3: Daudi cell lysate Lysates/proteins at 15 µg/Lane. Predicted band size: 87 kDa Observed band size: 87 kDa Exposure time: 1 minute 2 seconds; ECL: K1802; 4-20% SDS-PAGE gel. Proteins were transferred to a PVDF membrane and blocked with 5% NFDM/TBST for 1 hour at room temperature. The primary antibody (ET1611-23) at 1/2,000 dilution was used in 5% NFDM/TBST at 4℃ overnight. Goat Anti-Rabbit IgG - HRP Secondary Antibody (HA1001) at 1/50,000 dilution was used for 1 hour at room temperature.

Western blot analysis of IKK alpha + IKK beta on different lysates with Rabbit anti-IKK alpha + IKK beta antibody (ET1611-23) at 1/5,000 dilution. Lane 1: HAP1-parental cell lysate Lane 2: HAP1-IKK beta KD cell lysate Lysates/proteins at 10 µg/Lane. Predicted band size: 87 kDa Observed band size: 87 kDa Exposure time: 30 seconds; ECL: K1801; 4-20% SDS-PAGE gel. Proteins were transferred to a PVDF membrane and blocked with 5% NFDM/TBST for 1 hour at room temperature. The primary antibody (ET1611-23) at 1/5,000 dilution was used in primary antibody dilution (K1803) at 4℃ overnight. Goat Anti-Rabbit IgG - HRP Secondary Antibody (HA1001) at 1/50,000 dilution was used for 1 hour at room temperature.

Immunocytochemistry analysis of A431 cells labeling IKK alpha + IKK beta with Rabbit anti-IKK alpha + IKK beta antibody (ET1611-23) at 1/500 dilution. Cells were fixed in 4% paraformaldehyde for 15 minutes at room temperature, permeabilized with 0.1% Triton X-100 in PBS for 15 minutes at room temperature, then blocked with 1% BSA in 10% negative goat serum for 1 hour at room temperature. Cells were then incubated with Rabbit anti-IKK alpha + IKK beta antibody (ET1611-23) at 1/500 dilution in 1% BSA in PBST overnight at 4 ℃. Goat Anti-Rabbit IgG H&L (iFluor™ 488, HA1121) was used as the secondary antibody at 1/1,000 dilution. PBS instead of the primary antibody was used as the secondary antibody only control. Nuclear DNA was labelled in blue with DAPI. Beta tubulin (HA601187, red) was stained at 1/100 dilution overnight at +4℃. Goat Anti-Mouse IgG H&L (iFluor™ 594, HA1126) was used as the secondary antibody at 1/1,000 dilution.
quantity: 100μl
price: 385.00 USD
to the supplier
domestic rabbit monoclonal (JE32-81)
reactivity: human
application: western blot, flow cytometry
reactivity: human
application: western blot, flow cytometry

Western blot analysis of IKK beta on different lysates with Rabbit anti-IKK beta antibody (HA721715) at 1/1,000 dilution. Lane 1: K-562 cell lysate Lane 2: HL-60 cell lysate Lane 3: THP-1 cell lysate Lane 4: Jurkat cell lysate Lane 5: HeLa cell lysate Lysates/proteins at 20 µg/Lane. Predicted band size: 87 kDa Observed band size: 87 kDa Exposure time: 3 minutes; 4-20% SDS-PAGE gel. Proteins were transferred to a PVDF membrane and blocked with 5% NFDM/TBST for 1 hour at room temperature. The primary antibody (HA721715) at 1/1,000 dilution was used in 5% NFDM/TBST at room temperature for 2 hours. Goat Anti-Rabbit IgG - HRP Secondary Antibody (HA1001) at 1/50,000 dilution was used for 1 hour at room temperature.

Western blot analysis of IKK beta on different lysates with Rabbit anti-IKK beta antibody (HA721715) at 1/2,000 dilution. Lane 1: HAP1-parental cell lysate Lane 2: HAP1-IKK beta KD cell lysate Lysates/proteins at 10 µg/Lane. Predicted band size: 87 kDa Observed band size: 87 kDa Exposure time: 40 seconds; ECL: K1801; 4-20% SDS-PAGE gel. Proteins were transferred to a PVDF membrane and blocked with 5% NFDM/TBST for 1 hour at room temperature. The primary antibody (HA721715) at 1/2,000 dilution was used in primary antibody dilution (K1803) at 4℃ overnight. Goat Anti-Rabbit IgG - HRP Secondary Antibody (HA1001) at 1/50,000 dilution was used for 1 hour at room temperature.

Flow cytometric analysis of THP-1 cells labeling IKK beta. Cells were fixed and permeabilized. Then stained with the primary antibody (HA721715, 1/50) (red) compared with Rabbit IgG Isotype Control (green). After incubation of the primary antibody at +4℃ for an hour, the cells were stained with a iFluor™ 488 conjugate-Goat anti-Rabbit IgG Secondary antibody (HA1121) at 1/1,000 dilution for 30 minutes at +4℃. Unlabelled sample was used as a control (cells without incubation with primary antibody; black).
quantity: 100μl
price: 385.00 USD
to the supplier
domestic rabbit monoclonal (SN63-02)
reactivity: human, mouse, rat
application: western blot, immunoprecipitation
reactivity: human, mouse, rat
application: western blot, immunoprecipitation

Western blot analysis of IKK alpha + IKK beta on different lysates with Rabbit anti-IKK alpha + IKK beta antibody (HA750248) at 1/2,000 dilution. Lane 1: HeLa cell lysate Lane 2: 293T cell lysate Lane 3: Daudi cell lysate Lysates/proteins at 15 µg/Lane. Predicted band size: 87 kDa Observed band size: 87 kDa Exposure time: 1 minute 2 seconds; ECL: K1802; 4-20% SDS-PAGE gel. Proteins were transferred to a PVDF membrane and blocked with 5% NFDM/TBST for 1 hour at room temperature. The primary antibody (HA750248) at 1/2,000 dilution was used in 5% NFDM/TBST at 4℃ overnight. Goat Anti-Rabbit IgG - HRP Secondary Antibody (HA1001) at 1/50,000 dilution was used for 1 hour at room temperature.

Western blot analysis of IKK alpha + IKK beta on different lysates with Rabbit anti-IKK alpha + IKK beta antibody (HA750248) at 1/5,000 dilution. Lane 1: HAP1-parental cell lysate Lane 2: HAP1-IKK beta KD cell lysate Lysates/proteins at 10 µg/Lane. Predicted band size: 87 kDa Observed band size: 87 kDa Exposure time: 30 seconds; ECL: K1801; 4-20% SDS-PAGE gel. Proteins were transferred to a PVDF membrane and blocked with 5% NFDM/TBST for 1 hour at room temperature. The primary antibody (HA750248) at 1/5,000 dilution was used in primary antibody dilution (K1803) at 4℃ overnight. Goat Anti-Rabbit IgG - HRP Secondary Antibody (HA1001) at 1/50,000 dilution was used for 1 hour at room temperature.

Immunocytochemistry analysis of A431 cells labeling IKK alpha + IKK beta with Rabbit anti-IKK alpha + IKK beta antibody (HA750248) at 1/500 dilution. Cells were fixed in 4% paraformaldehyde for 15 minutes at room temperature, permeabilized with 0.1% Triton X-100 in PBS for 15 minutes at room temperature, then blocked with 1% BSA in 10% negative goat serum for 1 hour at room temperature. Cells were then incubated with Rabbit anti-IKK alpha + IKK beta antibody (HA750248) at 1/500 dilution in 1% BSA in PBST overnight at 4 ℃. Goat Anti-Rabbit IgG H&L (iFluor™ 488, HA1121) was used as the secondary antibody at 1/1,000 dilution. PBS instead of the primary antibody was used as the secondary antibody only control. Nuclear DNA was labelled in blue with DAPI. Beta tubulin (HA601187, red) was stained at 1/100 dilution overnight at +4℃. Goat Anti-Mouse IgG H&L (iFluor™ 594, HA1126) was used as the secondary antibody at 1/1,000 dilution.
quantity: 100μl
price: 649.00 USD
to the supplier
domestic rabbit polyclonal
reactivity: human, mouse, rat
application: western blot, flow cytometry, immunohistochemistry - paraffin section
reactivity: human, mouse, rat
application: western blot, flow cytometry, immunohistochemistry - paraffin section

Western blot analysis of IKK beta on different lysates with Rabbit anti-IKK beta antibody (R1706-13) at 1/1,000 dilution. Lane 1: HL-60 cell lysate Lane 2: THP-1 cell lysate Lysates/proteins at 20 µg/Lane. Predicted band size: 87 kDa Observed band size: 87 kDa Exposure time: 4 seconds; ECL: K1801; 4-20% SDS-PAGE gel. Proteins were transferred to a PVDF membrane and blocked with 5% NFDM/TBST for 1 hour at room temperature. The primary antibody (R1706-13) at 1/1,000 dilution was used in 5% NFDM/TBST at 4℃ overnight. Goat Anti-Rabbit IgG - HRP Secondary Antibody (HA1001) at 1/50,000 dilution was used for 1 hour at room temperature.

Immunocytochemistry analysis of THP-1 cells labeling IKK beta with Rabbit anti-IKK beta antibody (R1706-13) at 1/100 dilution. Cells were fixed in 4% paraformaldehyde for 15 minutes at room temperature, permeabilized with 0.1% Triton X-100 in PBS for 15 minutes at room temperature, then blocked with 1% BSA in 10% negative goat serum for 1 hour at room temperature. Cells were then incubated with Rabbit anti-IKK beta antibody (R1706-13) at 1/100 dilution in 1% BSA in PBST overnight at 4 ℃. Goat Anti-Rabbit IgG H&L (iFluor™ 488, HA1121) was used as the secondary antibody at 1/1,000 dilution. PBS instead of the primary antibody was used as the secondary antibody only control. Nuclear DNA was labelled in blue with DAPI. Beta tubulin (HA601187, red) was stained at 1/100 dilution overnight at +4℃. Goat Anti-Mouse IgG H&L (iFluor™ 594, HA1126) was used as the secondary antibody at 1/1,000 dilution.

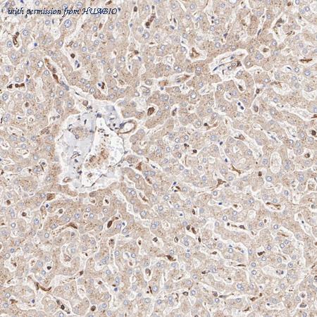
Immunohistochemical analysis of paraffin-embedded human liver tissue with Rabbit anti-IKK beta antibody (R1706-13) at 1/1,000 dilution. The section was pre-treated using heat mediated antigen retrieval with Tris-EDTA buffer (pH 9.0) for 20 minutes. The tissues were blocked in 1% BSA for 20 minutes at room temperature, washed with ddH2O and PBS, and then probed with the primary antibody (R1706-13) at 1/1,000 dilution for 1 hour at room temperature. The detection was performed using an HRP conjugated compact polymer system. DAB was used as the chromogen. Tissues were counterstained with hematoxylin and mounted with DPX.
quantity: 100μl
price: 330 USD
to the supplier
