mouse monoclonal (D5-G2)
reactivity: human
application: western blot, flow cytometry
reactivity: human
application: western blot, flow cytometry

Western blot analysis of IGF1R on 293 cell lysates. Proteins were transferred to a PVDF membrane and blocked with 5% BSA in PBS for 1 hour at room temperature. The primary antibody (HA600033, 1/500) was used in 5% BSA at room temperature for 2 hours. Goat Anti-Mouse IgG - HRP Secondary Antibody (HA1006) at 1:5,000 dilution was used for 1 hour at room temperature.

Flow cytometric analysis of IGF1R was done on SiHa cells. The cells were fixed, permeabilized and stained with the primary antibody (HA600033, 1/50) (red). After incubation of the primary antibody at room temperature for an hour, the cells were stained with a Alexa Fluor 488-conjugated Goat anti-Mouse IgG Secondary antibody at 1/1000 dilution for 30 minutes.Unlabelled sample was used as a control (cells without incubation with primary antibody; black).
quantity: 100μl
price: 360.00 USD
to the supplier
domestic rabbit monoclonal (PSH11-72)
reactivity: human, mouse, rat
application: western blot
reactivity: human, mouse, rat
application: western blot

Western blot analysis of IGF1 Receptor beta on different lysates with Rabbit anti-IGF1 Receptor beta antibody (HA723368) at 1/2,000 dilution. Lane 1: HEK-293 cell lysate (20 µg/Lane) Lane 2: MCF7 cell lysate (20 µg/Lane) Lane 3: MDA-MB-231 cell lysate (low expression) (20 µg/Lane) Lane 4: A431 cell lysate (20 µg/Lane) Lane 5: HepG2 cell lysate (20 µg/Lane) Lane 6: A549 cell lysate (20 µg/Lane) Lane 7: HeLa cell lysate (20 µg/Lane) Lane 8: HUVEC cell lysate (20 µg/Lane) Lane 9: NIH/3T3 cell lysate (20 µg/Lane) Lane 10: C2C12 cell lysate (20 µg/Lane) Lane 11: C6 cell lysate (20 µg/Lane) Lane 12: Mouse brain tissue lysate (40 µg/Lane) Lane 13: Rat brain tissue lysate (40 µg/Lane) Predicted band size: 155 kDa Observed band size: 95 kDa Exposure time: 3 minutes; ECL: K1801; 4-20% SDS-PAGE gel. Proteins were transferred to a PVDF membrane and blocked with 5% NFDM/TBST for 1 hour at room temperature. The primary antibody (HA723368) at 1/2,000 dilution was used in 5% NFDM/TBST at 4℃ overnight. Goat Anti-Rabbit IgG - HRP Secondary Antibody (HA1001) at 1/50,000 dilution was used for 1 hour at room temperature.

Immunocytochemistry analysis of NIH/3T3 cells labeling IGF1 Receptor beta with Rabbit anti-IGF1 Receptor beta antibody (HA723368) at 1/100 dilution. Cells were fixed in 4% paraformaldehyde for 15 minutes at room temperature, permeabilized with 0.1% Triton X-100 in PBS for 15 minutes at room temperature, then blocked with 1% BSA in 10% negative goat serum for 1 hour at room temperature. Cells were then incubated with Rabbit anti-IGF1 Receptor beta antibody (HA723368) at 1/100 dilution in 1% BSA in PBST overnight at 4 ℃. Goat Anti-Rabbit IgG H&L (iFluor™ 488, HA1121) was used as the secondary antibody at 1/1,000 dilution. PBS instead of the primary antibody was used as the secondary antibody only control. Nuclear DNA was labelled in blue with DAPI. Beta tubulin (HA601187, red) was stained at 1/100 dilution overnight at +4℃. Goat Anti-Mouse IgG H&L (iFluor™ 594, HA1126) was used as the secondary antibody at 1/1,000 dilution.
quantity: 100μl
price: 385.00 USD
to the supplier
domestic rabbit monoclonal (PSH11-72)
reactivity: human, mouse, rat
application: western blot
reactivity: human, mouse, rat
application: western blot

Western blot analysis of IGF1 Receptor beta on different lysates with Rabbit anti-IGF1 Receptor beta antibody (HA751427) at 1/2,000 dilution. Lane 1: HEK-293 cell lysate (20 µg/Lane) Lane 2: MCF7 cell lysate (20 µg/Lane) Lane 3: MDA-MB-231 cell lysate (low expression) (20 µg/Lane) Lane 4: A431 cell lysate (20 µg/Lane) Lane 5: HepG2 cell lysate (20 µg/Lane) Lane 6: A549 cell lysate (20 µg/Lane) Lane 7: HeLa cell lysate (20 µg/Lane) Lane 8: HUVEC cell lysate (20 µg/Lane) Lane 9: NIH/3T3 cell lysate (20 µg/Lane) Lane 10: C2C12 cell lysate (20 µg/Lane) Lane 11: C6 cell lysate (20 µg/Lane) Lane 12: Mouse brain tissue lysate (40 µg/Lane) Lane 13: Rat brain tissue lysate (40 µg/Lane) Predicted band size: 155 kDa Observed band size: 95 kDa Exposure time: 3 minutes; ECL: K1801; 4-20% SDS-PAGE gel. Proteins were transferred to a PVDF membrane and blocked with 5% NFDM/TBST for 1 hour at room temperature. The primary antibody (HA751427) at 1/2,000 dilution was used in 5% NFDM/TBST at 4℃ overnight. Goat Anti-Rabbit IgG - HRP Secondary Antibody (HA1001) at 1/50,000 dilution was used for 1 hour at room temperature.

Immunocytochemistry analysis of NIH/3T3 cells labeling IGF1 Receptor beta with Rabbit anti-IGF1 Receptor beta antibody (HA751427) at 1/100 dilution. Cells were fixed in 4% paraformaldehyde for 15 minutes at room temperature, permeabilized with 0.1% Triton X-100 in PBS for 15 minutes at room temperature, then blocked with 1% BSA in 10% negative goat serum for 1 hour at room temperature. Cells were then incubated with Rabbit anti-IGF1 Receptor beta antibody (HA751427) at 1/100 dilution in 1% BSA in PBST overnight at 4 ℃. Goat Anti-Rabbit IgG H&L (iFluor™ 488, HA1121) was used as the secondary antibody at 1/1,000 dilution. PBS instead of the primary antibody was used as the secondary antibody only control. Nuclear DNA was labelled in blue with DAPI. Beta tubulin (HA601187, red) was stained at 1/100 dilution overnight at +4℃. Goat Anti-Mouse IgG H&L (iFluor™ 594, HA1126) was used as the secondary antibody at 1/1,000 dilution.
quantity: 100μl
price: 649.00 USD
to the supplier
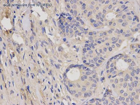
domestic rabbit polyclonal
reactivity: human
application: western blot, immunohistochemistry - paraffin section
reactivity: human
application: western blot, immunohistochemistry - paraffin section


