domestic rabbit polyclonal
reactivity: human
application: western blot
reactivity: human
application: western blot

Western blot analysis on human liver using anti-ApoE polyclonal antibody.
quantity: 100μl
price: 330 USD
to the supplier
domestic rabbit monoclonal (SC0536)
reactivity: human, rat
application: western blot, immunoprecipitation, immunohistochemistry - paraffin section
reactivity: human, rat
application: western blot, immunoprecipitation, immunohistochemistry - paraffin section

Western blot analysis of Apolipoprotein E on human plasma tissue lysates with Rabbit anti-Apolipoprotein E antibody (ET1610-22) at 1/1,000 dilution. Lysates/proteins at 20 µg/Lane. Predicted band size: 36 kDa Observed band size: 33 kDa Exposure time: 6 seconds; 4-20% SDS-PAGE gel. Proteins were transferred to a PVDF membrane and blocked with 5% NFDM/TBST for 1 hour at room temperature. The primary antibody (ET1610-22) at 1/1,000 dilution was used in 5% NFDM/TBST at 4℃ overnight. Goat Anti-Rabbit IgG - HRP Secondary Antibody (HA1001) at 1/50,000 dilution was used for 1 hour at room temperature.

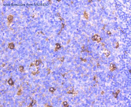
Immunohistochemical analysis of paraffin-embedded human tonsil tissue using anti-Apolipoprotein E antibody. The section was pre-treated using heat mediated antigen retrieval with Tris-EDTA buffer (pH 8.0-8.4) for 20 minutes.The tissues were blocked in 5% BSA for 30 minutes at room temperature, washed with ddH2O and PBS, and then probed with the primary antibody (ET1610-22, 1/50) for 30 minutes at room temperature. The detection was performed using an HRP conjugated compact polymer system. DAB was used as the chromogen. Tissues were counterstained with hematoxylin and mounted with DPX.

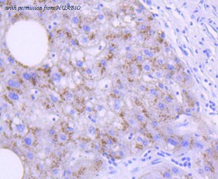
Immunohistochemical analysis of paraffin-embedded human liver tissue using anti-Apolipoprotein E antibody. The section was pre-treated using heat mediated antigen retrieval with Tris-EDTA buffer (pH 8.0-8.4) for 20 minutes.The tissues were blocked in 5% BSA for 30 minutes at room temperature, washed with ddH2O and PBS, and then probed with the primary antibody (ET1610-22, 1/50) for 30 minutes at room temperature. The detection was performed using an HRP conjugated compact polymer system. DAB was used as the chromogen. Tissues were counterstained with hematoxylin and mounted with DPX.
quantity: 100μl
price: 385.00 USD
to the supplier
domestic rabbit monoclonal (PSH02-85)
reactivity: human
application: western blot
reactivity: human
application: western blot

Western blot analysis of APOE4 on different lysates with Rabbit anti-APOE4 antibody (HA721867) at 1/2,000 dilution. Lane 1: 293T-NT cell lysate Lane 2: 293T-OE-APOE2 cell lysate Lane 3: 293T-OE-APOE3 cell lysate Lane 4: 293T-OE-APOE4 cell lysate Lysates/proteins at 20 µg/Lane. Predicted band size: 36 kDa Observed band size: 36 kDa Exposure time: 2 minutes 50 seconds; 4-20% SDS-PAGE gel. Proteins were transferred to a PVDF membrane and blocked with 5% NFDM/TBST for 1 hour at room temperature. The primary antibody (HA721867) at 1/2,000 dilution was used in 5% NFDM/TBST at 4℃ overnight. Goat Anti-Rabbit IgG - HRP Secondary Antibody (HA1001) at 1/50,000 dilution was used for 1 hour at room temperature.

Western blot analysis of APOE4 on different lysates with Rabbit anti-APOE4 antibody (HA721867) at 1/2,000 dilution. Lane 1: A549-WT cell lysate Lane 2: A549-KD APOE4 cell lysate Lysates/proteins at 10 µg/Lane. Predicted band size: 36 kDa Observed band size: 30 kDa Exposure time: 3 minutes; ECL: K1801; 4-20% SDS-PAGE gel. Proteins were transferred to a PVDF membrane and blocked with 5% NFDM/TBST for 1 hour at room temperature. The primary antibody (HA721867) at 1/2,000 dilution was used in 5% NFDM/TBST at 4℃ overnight. Goat Anti-Rabbit IgG - HRP Secondary Antibody (HA1001) at 1/50,000 dilution was used for 1 hour at room temperature.
quantity: 100μl
price: 385.00 USD
to the supplier
domestic rabbit monoclonal (SC0536)
reactivity: human, rat
application: western blot, immunoprecipitation, immunohistochemistry - paraffin section
reactivity: human, rat
application: western blot, immunoprecipitation, immunohistochemistry - paraffin section

Western blot analysis of Apolipoprotein E on human plasma tissue lysates with Rabbit anti-Apolipoprotein E antibody (HA750206) at 1/1,000 dilution. Lysates/proteins at 20 µg/Lane. Predicted band size: 36 kDa Observed band size: 33 kDa Exposure time: 6 seconds; 4-20% SDS-PAGE gel. Proteins were transferred to a PVDF membrane and blocked with 5% NFDM/TBST for 1 hour at room temperature. The primary antibody (HA750206) at 1/1,000 dilution was used in 5% NFDM/TBST at 4℃ overnight. Goat Anti-Rabbit IgG - HRP Secondary Antibody (HA1001) at 1/50,000 dilution was used for 1 hour at room temperature.

Immunohistochemical analysis of paraffin-embedded human tonsil tissue using anti-Apolipoprotein E antibody. The section was pre-treated using heat mediated antigen retrieval with Tris-EDTA buffer (pH 8.0-8.4) for 20 minutes.The tissues were blocked in 5% BSA for 30 minutes at room temperature, washed with ddH2O and PBS, and then probed with the primary antibody (HA750206, 1/50) for 30 minutes at room temperature. The detection was performed using an HRP conjugated compact polymer system. DAB was used as the chromogen. Tissues were counterstained with hematoxylin and mounted with DPX.

Immunohistochemical analysis of paraffin-embedded human liver tissue using anti-Apolipoprotein E antibody. The section was pre-treated using heat mediated antigen retrieval with Tris-EDTA buffer (pH 8.0-8.4) for 20 minutes.The tissues were blocked in 5% BSA for 30 minutes at room temperature, washed with ddH2O and PBS, and then probed with the primary antibody (HA750206, 1/50) for 30 minutes at room temperature. The detection was performed using an HRP conjugated compact polymer system. DAB was used as the chromogen. Tissues were counterstained with hematoxylin and mounted with DPX.
quantity: 100μl
price: 649.00 USD
to the supplier
domestic rabbit monoclonal (PSH02-85)
reactivity: human
application: western blot
reactivity: human
application: western blot

Western blot analysis of APOE4 on different lysates with Rabbit anti-APOE4 antibody (HA750838) at 1/2,000 dilution. Lane 1: 293T-NT cell lysate Lane 2: 293T-OE-APOE2 cell lysate Lane 3: 293T-OE-APOE3 cell lysate Lane 4: 293T-OE-APOE4 cell lysate Lysates/proteins at 20 µg/Lane. Predicted band size: 36 kDa Observed band size: 36 kDa Exposure time: 2 minutes 50 seconds; 4-20% SDS-PAGE gel. Proteins were transferred to a PVDF membrane and blocked with 5% NFDM/TBST for 1 hour at room temperature. The primary antibody (HA750838) at 1/2,000 dilution was used in 5% NFDM/TBST at 4℃ overnight. Goat Anti-Rabbit IgG - HRP Secondary Antibody (HA1001) at 1/50,000 dilution was used for 1 hour at room temperature.

Western blot analysis of APOE4 on different lysates with Rabbit anti-APOE4 antibody (HA750838) at 1/2,000 dilution. Lane 1: A549-WT cell lysate Lane 2: A549-KD APOE4 cell lysate Lysates/proteins at 10 µg/Lane. Predicted band size: 36 kDa Observed band size: 30 kDa Exposure time: 3 minutes; ECL: K1801; 4-20% SDS-PAGE gel. Proteins were transferred to a PVDF membrane and blocked with 5% NFDM/TBST for 1 hour at room temperature. The primary antibody (HA750838) at 1/2,000 dilution was used in 5% NFDM/TBST at 4℃ overnight. Goat Anti-Rabbit IgG - HRP Secondary Antibody (HA1001) at 1/50,000 dilution was used for 1 hour at room temperature.
quantity: 100μl
price: 649.00 USD
to the supplier
