Sign in
Sign up
home
>
HUABIO
> HUABIO ICAM-1 antibody
ICAM1
HUABIO
catalog: ER131207
domestic rabbit polyclonal
reactivity:
human
application:
western blot
,
flow cytometry
,
immunohistochemistry - paraffin section
Western blot analysis of ICAM1 on different cell lysates using anti- ICAM1 antibody at 1/500 dilution. Positive control: Lane 1: Raji cell lysate Lane 2: HUVEC cell lysate Lane 3: K562 cell lysate
ICC staining of ICAM1 in HUVEC cells (green). Cells were fixed in paraformaldehyde, permeabilised with 0.25% Triton X100/PBS.
Immunohistochemical analysis of paraffin-embedded human tonsil tissue using anti-ICAM1 antibody. Counter stained with hematoxylin.
quantity: 100μl
price: 330 USD
to the supplier
ICAM1
HUABIO
catalog: ER1910-98
domestic rabbit polyclonal
reactivity:
human
,
mouse
,
rat
application:
western blot
,
flow cytometry
Western blot analysis of ICAM1 on different lysates with Rabbit anti-ICAM1 antibody (ER1910-98) at 1/5,000 dilution. Lane 1: Mouse spleen tissue lysate Lane 2: Rat kidney tissue lysate Lane 3: Rat spleen tissue lysate Lysates/proteins at 15 µg/Lane. Predicted band size: 60 kDa Observed band size: 75-120 kDa Exposure time: 4 seconds; ECL: K1801; 4-20% SDS-PAGE gel. Proteins were transferred to a PVDF membrane and blocked with 5% NFDM/TBST for 1 hour at room temperature. The primary antibody (ER1910-98) at 1/5,000 dilution was used in primary antibody dilution (K1803) at 4℃ overnight. Goat Anti-Rabbit IgG - HRP Secondary Antibody (HA1001) at 1/50,000 dilution was used for 1 hour at room temperature.
Western blot analysis of ICAM1 on different lysates with Rabbit anti-ICAM1 antibody (ER1910-98) at 1/10,000 dilution. Lane 1: C6 cell lysate Lane 2: RAW264.7 cell lysate Lane 3: RAW264.7 cell lysate treated with deglycosylation Lysates/proteins at 20 µg/Lane. Predicted band size: 60 kDa Observed band size: 60-120 kDa Exposure time: 20 seconds; ECL: K1801; 4-20% SDS-PAGE gel. Proteins were transferred to a PVDF membrane and blocked with 5% NFDM/TBST for 1 hour at room temperature. The primary antibody (ER1910-98) at 1/10,000 dilution was used in primary antibody dilution (K1803) at 4℃ overnight. Goat Anti-Rabbit IgG - HRP Secondary Antibody (HA1001) at 1/50,000 dilution was used for 1 hour at room temperature.
Immunocytochemistry analysis of RAW264.7 cells labeling ICAM1 with Rabbit anti-ICAM1 antibody (ER1910-98) at 1/1,000 dilution. Cells were fixed in 4% paraformaldehyde for 15 minutes at room temperature, permeabilized with 0.1% Triton X-100 in PBS for 15 minutes at room temperature, then blocked with 1% BSA in 10% negative goat serum for 1 hour at room temperature. Cells were then incubated with Rabbit anti-ICAM1 antibody (ER1910-98) at 1/1,000 dilution in 1% BSA in PBST overnight at 4 ℃. Goat Anti-Rabbit IgG H&L (iFluor™ 488, HA1121) was used as the secondary antibody at 1/1,000 dilution. PBS instead of the primary antibody was used as the secondary antibody only control. Nuclear DNA was labelled in blue with DAPI. Beta tubulin (HA601187, red) was stained at 1/100 dilution overnight at +4℃. Goat Anti-Mouse IgG H&L (iFluor™ 594, HA1126) was used as the secondary antibody at 1/1,000 dilution.
quantity: 100μl
price: 330 USD
to the supplier
ICAM1
HUABIO
catalog: ET1609-46
domestic rabbit monoclonal (ST0487)
reactivity:
human
application:
western blot
,
immunohistochemistry - paraffin section
Western blot analysis of ICAM1 on different lysates with Rabbit anti-ICAM1 antibody (ET1609-46) at 1/1,000 dilution. Lane 1: HepG2 cell lysate (20 µg/Lane) Lane 2: Ramos cell lysate (20 µg/Lane) Lane 3: Raji cell lysate (20 µg/Lane) Lane 4: human liver tissue lysate (40 µg/Lane) Predicted band size: 58 kDa Observed band size: 110 kDa Exposure time: 25 seconds; ECL: K1801; 4-20% SDS-PAGE gel. Proteins were transferred to a PVDF membrane and blocked with 5% NFDM/TBST for 1 hour at room temperature. The primary antibody (ET1609-46) at 1/1,000 dilution was used in 5% NFDM/TBST at 4℃ overnight. Goat Anti-Rabbit IgG - HRP Secondary Antibody (HA1001) at 1/50,000 dilution was used for 1 hour at room temperature.
Western blot analysis of ICAM1 on different lysates with Rabbit anti-ICAM1 antibody (ET1609-46) at 1/2,000 dilution. Lane 1: HepG2 cell lysate Lane 2: K-562 cell lysate (low expression) Lane 3: Raji cell lysate Lane 4: Ramos cell lysate Lysates/proteins at 20 µg/Lane. Predicted band size: 58 kDa Observed band size: 110 kDa Exposure time: 42 seconds; ECL: K1801; 4-20% SDS-PAGE gel. Proteins were transferred to a PVDF membrane and blocked with 5% NFDM/TBST for 1 hour at room temperature. The primary antibody (ET1609-46) at 1/2,000 dilution was used in 5% NFDM/TBST at 4℃ overnight. Goat Anti-Rabbit IgG - HRP Secondary Antibody (HA1001) at 1/50,000 dilution was used for 1 hour at room temperature.
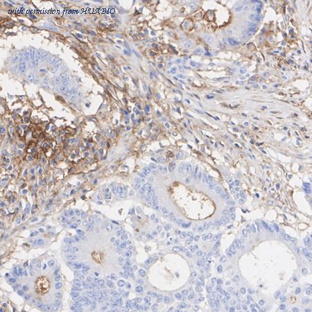
Immunohistochemical analysis of paraffin-embedded human colon cancer tissue with Rabbit anti-ICAM1 antibody (ET1609-46) at 1/200 dilution. The section was pre-treated using heat mediated antigen retrieval with Tris-EDTA buffer (pH 9.0) for 20 minutes. The tissues were blocked in 1% BSA for 20 minutes at room temperature, washed with ddH2O and PBS, and then probed with the primary antibody (ET1609-46) at 1/200 dilution for 1 hour at room temperature. The detection was performed using an HRP conjugated compact polymer system. DAB was used as the chromogen. Tissues were counterstained with hematoxylin and mounted with DPX.
quantity: 100μl
price: 385.00 USD
to the supplier
ICAM1
HUABIO
catalog: HA723089
domestic rabbit monoclonal (PSH09-31)
reactivity:
human
application:
western blot
,
immunohistochemistry - paraffin section
Western blot analysis of ICAM1 on different lysates with Rabbit anti-ICAM1 antibody (HA723089) at 1/5,000 dilution. Lane 1: HepG2 cell lysate Lane 2: K-562 cell lysate (low expression) Lane 3: Raji cell lysate Lane 4: Ramos cell lysate Lysates/proteins at 20 µg/Lane. Predicted band size: 58 kDa Observed band size: 110 kDa Exposure time: 10 seconds; ECL: K1801; 4-20% SDS-PAGE gel. Proteins were transferred to a PVDF membrane and blocked with 5% NFDM/TBST for 1 hour at room temperature. The primary antibody (HA723089) at 1/5,000 dilution was used in 5% NFDM/TBST at 4℃ overnight. Goat Anti-Rabbit IgG - HRP Secondary Antibody (HA1001) at 1/50,000 dilution was used for 1 hour at room temperature.
Western blot analysis of ICAM1 on different lysates with Rabbit anti-ICAM1 antibody (HA723089) at 1/10,000 dilution. Lane 1: HAP1-parental cell lysate Lane 2: HAP1-ICAM1 KD cell lysate Lysates/proteins at 10 µg/Lane. Predicted band size: 58 kDa Observed band size: 100 kDa Exposure time: 1 minute; ECL: K1801; 4-20% SDS-PAGE gel. Proteins were transferred to a PVDF membrane and blocked with 5% NFDM/TBST for 1 hour at room temperature. The primary antibody (HA723089) at 1/10,000 dilution was used in primary antibody dilution (K1803) at 4℃ overnight. Goat Anti-Rabbit IgG - HRP Secondary Antibody (HA1001) at 1/50,000 dilution was used for 1 hour at room temperature.
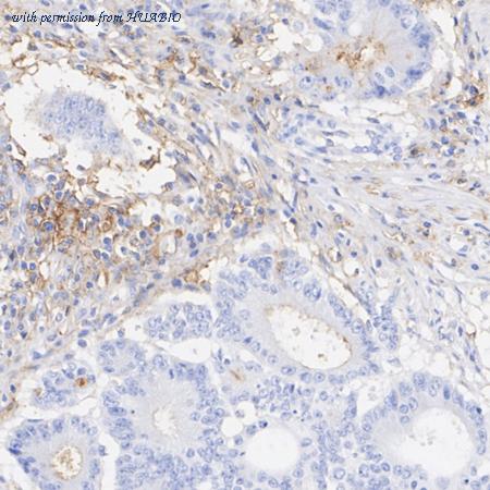
Immunohistochemical analysis of paraffin-embedded human colon cancer tissue with Rabbit anti-ICAM1 antibody (HA723089) at 1/8,000 dilution. The section was pre-treated using heat mediated antigen retrieval with Tris-EDTA buffer (pH 9.0) for 20 minutes. The tissues were blocked in 1% BSA for 20 minutes at room temperature, washed with ddH2O and PBS, and then probed with the primary antibody (HA723089) at 1/8,000 dilution for 1 hour at room temperature. The detection was performed using an HRP conjugated compact polymer system. DAB was used as the chromogen. Tissues were counterstained with hematoxylin and mounted with DPX.
quantity: 100μl
price: 385.00 USD
to the supplier
Human ICAM1
HUABIO
catalog: HA723184
domestic rabbit monoclonal (PSH10-15)
reactivity:
human
application:
ELISA
Sandwich ELISA analysis of Human ICAM1 matched pair antibodies Elisa assay was performed by coating wells of a 96-well plate with 100 µl per well of capture antibody (HA723184) diluted in carbonate/bicarbonate buffer, at a concentration of 5ug/ml overnight at 4℃. Wells of the plate were washed, blocked with 150 µl 0.05% tween-20 1% BSA blocking buffer, and incubated with serial diluted Recombinant Human ICAM1 protein (HA210857) starting from 4000 pg/ml to 0 pg/ml and detect antibody (HA723185, Biotin, 0.2 µg/ml) for 1 hour at 30℃ with shaking. Then the plate was washed and incubated with 100 µl per well of SA-HRP for 0.5 hour at 30℃ with shaking. Detection was performed using an Ultra TMB Substrate for 10 minutes at room temperature in the dark. The reaction was stopped with sulfuric acid and absorbances were read on a spectrophotometer at 450 nm.
Interpolated concentrations of native ICAM1 in human samples. Interpolated concentration of native ICAM1 was measured in duplicate at different sample concentrations. Undiluted samples were 0.5% cell supernatant. The interpolated dilution factor corrected values were plotted (mean +/- SD, n=2). The mean ICAM1 concentration was determined to be 392,391 pg/mL in human serum and 1,501 pg/ml in human urine. There was no detectable signal in A549 cell culture supernatant.
Interpolated concentrations of spiked ICAM1 in cell culture media samples. The concentrations of ICAM1 were measured in duplicates, interpolated from the ICAM1 standard curves and corrected for sample dilution. Undiluted samples are as follows: cell culture media 50%. The interpolated dilution factor corrected values are plotted (mean +/- SD, n=2).
quantity: 100μl
price: 649.00 USD
to the supplier
Human ICAM1
HUABIO
catalog: HA723185
domestic rabbit monoclonal (PSH10-16)
reactivity:
human
application:
ELISA
Sandwich ELISA analysis of Human ICAM1 matched pair antibodies Elisa assay was performed by coating wells of a 96-well plate with 100 µl per well of capture antibody (HA723184) diluted in carbonate/bicarbonate buffer, at a concentration of 5ug/ml overnight at 4℃. Wells of the plate were washed, blocked with 150 µl 0.05% tween-20 1% BSA blocking buffer, and incubated with serial diluted Recombinant Human ICAM1 protein (HA210857) starting from 4000 pg/ml to 0 pg/ml and detect antibody (HA723185, Biotin, 0.2 µg/ml) for 1 hour at 30℃ with shaking. Then the plate was washed and incubated with 100 µl per well of SA-HRP for 0.5 hour at 30℃ with shaking. Detection was performed using an Ultra TMB Substrate for 10 minutes at room temperature in the dark. The reaction was stopped with sulfuric acid and absorbances were read on a spectrophotometer at 450 nm.
Interpolated concentrations of native ICAM1 in human samples. Interpolated concentration of native ICAM1 was measured in duplicate at different sample concentrations. Undiluted samples were 0.5% cell supernatant. The interpolated dilution factor corrected values were plotted (mean +/- SD, n=2). The mean ICAM1 concentration was determined to be 392,391 pg/mL in human serum and 1,501 pg/ml in human urine. There was no detectable signal in A549 cell culture supernatant.
Interpolated concentrations of spiked ICAM1 in cell culture media samples. The concentrations of ICAM1 were measured in duplicates, interpolated from the ICAM1 standard curves and corrected for sample dilution. Undiluted samples are as follows: cell culture media 50%. The interpolated dilution factor corrected values are plotted (mean +/- SD, n=2).
quantity: 100μl
price: 649.00 USD
to the supplier
Human ICAM1
HUABIO
catalog: HA723186B
domestic rabbit monoclonal (PSH10-16)
reactivity:
human
conjugate: biotin
application:
ELISA
Sandwich ELISA analysis of Human ICAM1 matched pair antibodies Elisa assay was performed by coating wells of a 96-well plate with 100 µl per well of capture antibody (HA723184) diluted in carbonate/bicarbonate buffer, at a concentration of 5ug/ml overnight at 4℃. Wells of the plate were washed, blocked with 150 µl 0.05% tween-20 1% BSA blocking buffer, and incubated with serial diluted Recombinant Human ICAM1 protein (HA210857) starting from 4000 pg/ml to 0 pg/ml and detect antibody (HA723186B, 0.2 µg/ml) for 1 hour at 30℃ with shaking. Then the plate was washed and incubated with 100 µl per well of SA-HRP for 0.5 hour at 30℃ with shaking. Detection was performed using an Ultra TMB Substrate for 10 minutes at room temperature in the dark. The reaction was stopped with sulfuric acid and absorbances were read on a spectrophotometer at 450 nm.
Interpolated concentrations of native ICAM1 in human samples. Interpolated concentration of native ICAM1 was measured in duplicate at different sample concentrations. Undiluted samples were 0.5% cell supernatant. The interpolated dilution factor corrected values were plotted (mean +/- SD, n=2). The mean ICAM1 concentration was determined to be 392,391 pg/mL in human serum and 1,501 pg/ml in human urine. There was no detectable signal in A549 cell culture supernatant.
Interpolated concentrations of spiked ICAM1 in cell culture media samples. The concentrations of ICAM1 were measured in duplicates, interpolated from the ICAM1 standard curves and corrected for sample dilution. Undiluted samples are as follows: cell culture media 50%. The interpolated dilution factor corrected values are plotted (mean +/- SD, n=2).
quantity: 100μl
price: 409.00 USD
to the supplier
Human ICAM1
HUABIO
catalog: HA723474H
domestic rabbit monoclonal (PSH10-16)
reactivity:
human
conjugate: HRP
application:
ELISA
Sandwich ELISA analysis of Human ICAM1 matched pair antibodies Elisa assay was performed by coating wells of a 96-well plate with 100 µl per well of capture antibody (HA723184) diluted in carbonate/bicarbonate buffer, at a concentration of 5ug/ml overnight at 4℃. Wells of the plate were washed, blocked with 150 µl 0.05% tween-20 1% BSA blocking buffer, and incubated with serial diluted Recombinant Human ICAM1 protein (HA210857) starting from 4000 pg/ml to 0 pg/ml and detect antibody (HA723474H, 0.2 µg/ml) for 1 hour at 30℃ with shaking. Detection was performed using an Ultra TMB Substrate for 10 minutes at room temperature in the dark. The reaction was stopped with sulfuric acid and absorbances were read on a spectrophotometer at 450 nm.
quantity: 100μl
price: 409.00 USD
to the supplier
ICAM1
HUABIO
catalog: HA750176
domestic rabbit monoclonal (ST0487)
reactivity:
human
application:
western blot
,
immunohistochemistry - paraffin section
Western blot analysis of ICAM1 on different lysates with Rabbit anti-ICAM1 antibody (HA750176) at 1/1,000 dilution. Lane 1: HepG2 cell lysate (20 µg/Lane) Lane 2: Ramos cell lysate (20 µg/Lane) Lane 3: Raji cell lysate (20 µg/Lane) Lane 4: human liver tissue lysate (40 µg/Lane) Predicted band size: 58 kDa Observed band size: 110 kDa Exposure time: 25 seconds; ECL: K1801; 4-20% SDS-PAGE gel. Proteins were transferred to a PVDF membrane and blocked with 5% NFDM/TBST for 1 hour at room temperature. The primary antibody (HA750176) at 1/1,000 dilution was used in 5% NFDM/TBST at 4℃ overnight. Goat Anti-Rabbit IgG - HRP Secondary Antibody (HA1001) at 1/50,000 dilution was used for 1 hour at room temperature.
Western blot analysis of ICAM1 on different lysates with Rabbit anti-ICAM1 antibody (HA750176) at 1/2,000 dilution. Lane 1: HepG2 cell lysate Lane 2: K-562 cell lysate (low expression) Lane 3: Raji cell lysate Lane 4: Ramos cell lysate Lysates/proteins at 20 µg/Lane. Predicted band size: 58 kDa Observed band size: 110 kDa Exposure time: 42 seconds; ECL: K1801; 4-20% SDS-PAGE gel. Proteins were transferred to a PVDF membrane and blocked with 5% NFDM/TBST for 1 hour at room temperature. The primary antibody (HA750176) at 1/2,000 dilution was used in 5% NFDM/TBST at 4℃ overnight. Goat Anti-Rabbit IgG - HRP Secondary Antibody (HA1001) at 1/50,000 dilution was used for 1 hour at room temperature.
Immunohistochemical analysis of paraffin-embedded human colon cancer tissue with Rabbit anti-ICAM1 antibody (HA750176) at 1/200 dilution. The section was pre-treated using heat mediated antigen retrieval with Tris-EDTA buffer (pH 9.0) for 20 minutes. The tissues were blocked in 1% BSA for 20 minutes at room temperature, washed with ddH2O and PBS, and then probed with the primary antibody (HA750176) at 1/200 dilution for 1 hour at room temperature. The detection was performed using an HRP conjugated compact polymer system. DAB was used as the chromogen. Tissues were counterstained with hematoxylin and mounted with DPX.
quantity: 100μl
price: 649.00 USD
to the supplier
ICAM1
HUABIO
catalog: M1505-7
mouse monoclonal (F11-A4)
reactivity:
human
application:
western blot
,
flow cytometry
Western blot analysis of ICAM1 on different lysates with Mouse anti-ICAM1 antibody (M1505-7) at 1/1,000 dilution. Lane 1: Ramos cell lysate Lane 2: Raji cell lysate Lane 3: HUVEC cell lysate Lysates/proteins at 30 µg/Lane. Predicted band size: 58 kDa Observed band size: 80 kDa Exposure time: 2 minutes 30 seconds; ECL: K1801; 4-20% SDS-PAGE gel. Proteins were transferred to a PVDF membrane and blocked with 5% NFDM/TBST for 1 hour at room temperature. The primary antibody (M1505-7) at 1/1,000 dilution was used in 5% NFDM/TBST at 4℃ overnight. Goat Anti-Mouse IgG - HRP Secondary Antibody (HA1006) at 1/50,000 dilution was used for 1 hour at room temperature.
Western blot analysis of ICAM1 on different lysates with Mouse anti-ICAM1 antibody (M1505-7) at 1/1,000 dilution. Lane 1: HAP1-parental cell lysate Lane 2: HAP1-ICAM1 KD cell lysate Lysates/proteins at 10 µg/Lane. Predicted band size: 58 kDa Observed band size: 80 kDa Exposure time: 15 seconds; ECL: K1801; 4-20% SDS-PAGE gel. Proteins were transferred to a PVDF membrane and blocked with 5% NFDM/TBST for 1 hour at room temperature. The primary antibody (M1505-7) at 1/1,000 dilution was used in K1803 at 4℃ overnight. Goat Anti-Mouse IgG - HRP Secondary Antibody (HA1006) at 1/50,000 dilution was used for 1 hour at room temperature.
Immunocytochemistry analysis of Raji cells labeling ICAM1 with Mouse anti-ICAM1 antibody (M1505-7) at 1/100 dilution. Cells were fixed in 4% paraformaldehyde for 15 minutes at room temperature, permeabilized with 0.1% Triton X-100 in PBS for 15 minutes at room temperature, then blocked with 1% BSA in 10% negative goat serum for 1 hour at room temperature. Cells were then incubated with Mouse anti-ICAM1 antibody (M1505-7) at 1/100 dilution in 1% BSA in PBST overnight at 4 ℃. Goat Anti-Mouse IgG H&L (iFluor™ 488, HA1125) was used as the secondary antibody at 1/1,000 dilution. PBS instead of the primary antibody was used as the secondary antibody only control. Nuclear DNA was labelled in blue with DAPI. beta Tubulin (ET1602-4, red) was stained at 1/100 dilution overnight at +4℃. Goat Anti-Rabbit IgG H&L (iFluor™ 594, HA1122) were used as the secondary antibody at 1/1,000 dilution.
quantity: 100μl
price: 360.00 USD
to the supplier
ICAM1
HUABIO
catalog: M1511-6
mouse monoclonal (J0-F7)
reactivity:
human
application:
western blot
,
flow cytometry
Western blot analysis of ICAM1 on Raji cell lysates. Proteins were transferred to a PVDF membrane and blocked with 5% BSA in PBS for 1 hour at room temperature. The primary antibody (M1511-6, 1/500) was used in 5% BSA at room temperature for 2 hours. Goat Anti-Mouse IgG - HRP Secondary Antibody (HA1006) at 1:5,000 dilution was used for 1 hour at room temperature.
Western blot analysis of ICAM1 on Daudi cell lysates. Proteins were transferred to a PVDF membrane and blocked with 5% BSA in PBS for 1 hour at room temperature. The primary antibody (M1511-6, 1/500) was used in 5% BSA at room temperature for 2 hours. Goat Anti-Mouse IgG - HRP Secondary Antibody (HA1006) at 1:5,000 dilution was used for 1 hour at room temperature.
ICC staining of ICAM1 in Hela cells (green). Formalin fixed cells were permeabilized with 0.1% Triton X-100 in TBS for 10 minutes at room temperature and blocked with 1% Blocker BSA for 15 minutes at room temperature. Cells were probed with the primary antibody (M1511-6, 1/100) for 1 hour at room temperature, washed with PBS. Alexa Fluor®488 Goat anti-Mouse IgG was used as the secondary antibody at 1/1,000 dilution. The nuclear counter stain is DAPI (blue).
quantity: 100μl
price: 360.00 USD
to the supplier