Sign in
Sign up
home
>
HUABIO
> HUABIO c-IAP1 antibody
cIAP1/2
HUABIO
catalog: HA500535
domestic rabbit polyclonal
reactivity:
human
,
mouse
application:
western blot
,
flow cytometry
,
immunohistochemistry - paraffin section
Western blot analysis of cIAP1/2 on different lysates with Rabbit anti-cIAP1/2 antibody (HA500535) at 1/1,000 dilution. Lane 1: HeLa cell lysate Lane 2: HepG2 cell lysate Lane 3: Jurkat cell lysate Lane 4: HT-29 cell lysate Lane 5: THP-1 cell lysate Lane 6: TF-1 cell lysate Lane 7: F9 cell lysate Lane 8: A549 cell lysate Lane 9: HEK-293 cell lysate Lysates/proteins at 20 µg/Lane. Predicted band size: 70/68 kDa Observed band size: 70/68 kDa Exposure time: 43 seconds; 4-20% SDS-PAGE gel. Proteins were transferred to a PVDF membrane and blocked with 5% NFDM/TBST for 1 hour at room temperature. The primary antibody (HA500535) at 1/1,000 dilution was used in 5% NFDM/TBST at room temperature for 2 hours. Goat Anti-Rabbit IgG - HRP Secondary Antibody (HA1001) at 1/50,000 dilution was used for 1 hour at room temperature.
Immunocytochemistry analysis of HeLa cells labeling cIAP1/2 with Rabbit anti-cIAP1/2 antibody (HA500535) at 1/100 dilution. Cells were fixed in 4% paraformaldehyde for 15 minutes at room temperature, permeabilized with 0.1% Triton X-100 in PBS for 15 minutes at room temperature, then blocked with 1% BSA in 10% negative goat serum for 1 hour at room temperature. Cells were then incubated with Rabbit anti-cIAP1/2 antibody (HA500535) at 1/100 dilution in 1% BSA in PBST overnight at 4 ℃. Goat Anti-Rabbit IgG H&L (iFluor™ 488, HA1121) was used as the secondary antibody at 1/1,000 dilution. PBS instead of the primary antibody was used as the secondary antibody only control. Nuclear DNA was labelled in blue with DAPI. Beta tubulin (HA601187, red) was stained at 1/100 dilution overnight at +4℃. Goat Anti-Mouse IgG H&L (iFluor™ 594, HA1126) was used as the secondary antibody at 1/1,000 dilution.
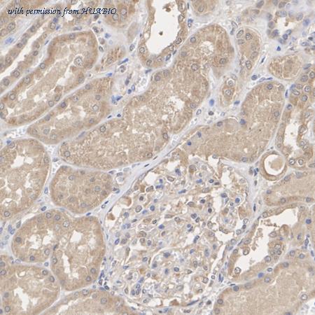
Immunohistochemical analysis of paraffin-embedded human kidney tissue with Rabbit anti-cIAP1/2 antibody (HA500535) at 1/200 dilution. The section was pre-treated using heat mediated antigen retrieval with Tris-EDTA buffer (pH 9.0) for 20 minutes. The tissues were blocked in 1% BSA for 20 minutes at room temperature, washed with ddH2O and PBS, and then probed with the primary antibody (HA500535) at 1/200 dilution for 1 hour at room temperature. The detection was performed using an HRP conjugated compact polymer system. DAB was used as the chromogen. Tissues were counterstained with hematoxylin and mounted with DPX.
quantity: 100μl
price: 330 USD
to the supplier
cIAP1
HUABIO
catalog: HA721769
domestic rabbit monoclonal (PSH02-10)
reactivity:
human
application:
western blot
Western blot analysis of cIAP1 on different lysates with Rabbit anti-cIAP1 antibody (HA721769) at 1/2,000 dilution. Lane 1: HT-29 cell lysate Lane 2: TF-1 cell lysate Lane 3: HepG2 cell lysate Lane 4: HeLa cell lysate Lane 5: THP-1 cell lysate Lane 6: Jurkat cell lysate Lane 7: A549 cell lysate Lane 8: HEK-293 cell lysate Lysates/proteins at 20 µg/Lane. Predicted band size: 70 kDa Observed band size: 70 kDa Exposure time: 2 minutes; ECL: K1801; 4-20% SDS-PAGE gel. Proteins were transferred to a PVDF membrane and blocked with 5% NFDM/TBST for 1 hour at room temperature. The primary antibody (HA721769) at 1/2,000 dilution was used in 5% NFDM/TBST at 4℃ overnight. Goat Anti-Rabbit IgG - HRP Secondary Antibody (HA1001) at 1/50,000 dilution was used for 1 hour at room temperature.
Western blot analysis of cIAP1 on different lysates with Rabbit anti-cIAP1 antibody (HA721769) at 1/2,000 dilution. Lane 1: HAP1-parental cell lysate Lane 2: HAP1-cIAP1 KD cell lysate Lysates/proteins at 10 µg/Lane. Predicted band size: 70 kDa Observed band size: 70 kDa Exposure time: 78 seconds; ECL: K1801; 4-20% SDS-PAGE gel. Proteins were transferred to a PVDF membrane and blocked with 5% NFDM/TBST for 1 hour at room temperature. The primary antibody (HA721769) at 1/2,000 dilution was used in K1803 at 4℃ overnight. Goat Anti-Rabbit IgG - HRP Secondary Antibody (HA1001) at 1/50,000 dilution was used for 1 hour at room temperature.
quantity: 100μl
price: 385.00 USD
to the supplier
cIAP1
HUABIO
catalog: HA722743
domestic rabbit monoclonal (PSH06-71)
reactivity:
human
,
mouse
,
rat
application:
western blot
Western blot analysis of cIAP1 on different lysates with Rabbit anti-cIAP1 antibody (HA722743) at 1/2,000 dilution. Lane 1: HT-29 cell lysate (20 µg/Lane) Lane 2: TF-1 cell lysate (20 µg/Lane) Lane 3: HepG2 cell lysate (20 µg/Lane) Lane 4: HeLa cell lysate (20 µg/Lane) Lane 5: THP-1 cell lysate (20 µg/Lane) Lane 6: Jurkat cell lysate (20 µg/Lane) Lane 7: A549 cell lysate (20 µg/Lane) Lane 8: HEK-293 cell lysate (20 µg/Lane) Lane 9: NIH/3T3 cell lysate (20 µg/Lane) Lane 10: PC-12 cell lysate (20 µg/Lane) Lane 11: Mouse testis tissue lysate (40 µg/Lane) Lane 12: Mouse brain tissue lysate (40 µg/Lane) Lane 13: Rat testis tissue lysate (40 µg/Lane) Lane 14: Rat brain tissue lysate (40 µg/Lane) Predicted band size: 70 kDa Observed band size: 70 kDa Exposure time: 2 minutes; ECL: K1801; 4-20% SDS-PAGE gel. Proteins were transferred to a PVDF membrane and blocked with 5% NFDM/TBST for 1 hour at room temperature. The primary antibody (HA722743) at 1/2,000 dilution was used in 5% NFDM/TBST at 4℃ overnight. Goat Anti-Rabbit IgG - HRP Secondary Antibody (HA1001) at 1/50,000 dilution was used for 1 hour at room temperature.
Western blot analysis of cIAP1 on different lysates with Rabbit anti-cIAP1 antibody (HA722743) at 1/2,000 dilution. Lane 1: HAP1-parental cell lysate (10 µg/Lane) Lane 2: HAP1-cIAP1 KD cell lysate (10 µg/Lane) Predicted band size: 70 kDa Observed band size: 70 kDa Exposure time: 78 seconds; ECL: K1801; 4-20% SDS-PAGE gel. Proteins were transferred to a PVDF membrane and blocked with 5% NFDM/TBST for 1 hour at room temperature. The primary antibody (HA722743) at 1/2,000 dilution was used in K1803 at 4℃ overnight. Goat Anti-Rabbit IgG - HRP Secondary Antibody (HA1001) at 1/50,000 dilution was used for 1 hour at room temperature.
quantity: 100μl
price: 385.00 USD
to the supplier
cIAP1
HUABIO
catalog: HA722744
domestic rabbit monoclonal (PSH06-72)
reactivity:
human
,
mouse
,
rat
application:
western blot
,
flow cytometry
Western blot analysis of cIAP1 on different lysates with Rabbit anti-cIAP1 antibody (HA722744) at 1/2,000 dilution. Lane 1: TF-1 cell lysate (20 µg/Lane) Lane 2: HepG2 cell lysate (20 µg/Lane) Lane 3: HeLa cell lysate (20 µg/Lane) Lane 4: THP-1 cell lysate (20 µg/Lane) Lane 5: Jurkat cell lysate (20 µg/Lane) Lane 6: A549 cell lysate (20 µg/Lane) Lane 7: HEK-293 cell lysate (20 µg/Lane) Lane 8: Mouse testis tissue lysate (40 µg/Lane) Lane 9: Mouse brain tissue lysate (40 µg/Lane) Predicted band size: 70 kDa Observed band size: 70 kDa Exposure time: 3 minutes; ECL: K1802; 4-20% SDS-PAGE gel. Proteins were transferred to a PVDF membrane and blocked with 5% NFDM/TBST for 1 hour at room temperature. The primary antibody (HA722744) at 1/2,000 dilution was used in 5% NFDM/TBST at 4℃ overnight. Goat Anti-Rabbit IgG - HRP Secondary Antibody (HA1001) at 1/50,000 dilution was used for 1 hour at room temperature.
Immunocytochemistry analysis of HT-29 cells labeling cIAP1 with Rabbit anti-cIAP1 antibody (HA722744) at 1/100 dilution. Cells were fixed in 4% paraformaldehyde for 20 minutes at room temperature, permeabilized with 0.1% Triton X-100 in PBS for 5 minutes at room temperature, then blocked with 1% BSA in 10% negative goat serum for 1 hour at room temperature. Cells were then incubated with Rabbit anti-cIAP1 antibody (HA722744) at 1/100 dilution in 1% BSA in PBST overnight at 4 ℃. Goat Anti-Rabbit IgG H&L (iFluor™ 488, HA1121) was used as the secondary antibody at 1/1,000 dilution. PBS instead of the primary antibody was used as the secondary antibody only control. Nuclear DNA was labelled in blue with DAPI. Beta tubulin (M1305-2, red) was stained at 1/100 dilution overnight at +4℃. Goat Anti-Mouse IgG H&L (iFluor™ 594, HA1126) was used as the secondary antibody at 1/1,000 dilution.
Immunocytochemistry analysis of NIH/3T3 cells labeling cIAP1 with Rabbit anti-cIAP1 antibody (HA722744) at 1/100 dilution. Cells were fixed in 4% paraformaldehyde for 20 minutes at room temperature, permeabilized with 0.1% Triton X-100 in PBS for 5 minutes at room temperature, then blocked with 1% BSA in 10% negative goat serum for 1 hour at room temperature. Cells were then incubated with Rabbit anti-cIAP1 antibody (HA722744) at 1/100 dilution in 1% BSA in PBST overnight at 4 ℃. Goat Anti-Rabbit IgG H&L (iFluor™ 488, HA1121) was used as the secondary antibody at 1/1,000 dilution. PBS instead of the primary antibody was used as the secondary antibody only control. Nuclear DNA was labelled in blue with DAPI. Beta tubulin (M1305-2, red) was stained at 1/100 dilution overnight at +4℃. Goat Anti-Mouse IgG H&L (iFluor™ 594, HA1126) was used as the secondary antibody at 1/1,000 dilution.
quantity: 100μl
price: 385.00 USD
to the supplier
cIAP1
HUABIO
catalog: HA723280
domestic rabbit monoclonal (PSH06-72)
reactivity:
human
,
mouse
,
rat
application:
ELISA
Sandwich ELISA analysis of human cIAP1 matched pair antibodies Elisa assay was performed by coating wells of a 96-well plate with 50 µl per well of capture antibody (HA723280) diluted in carbonate/bicarbonate buffer, at a concentration of 2 µg/ml overnight at 4℃. Wells of the plate were washed, blocked with 150 µl 0.05% tween-20 1% BSA blocking buffer, and incubated with serial diluted Recombinant Human cIAP1 protein starting from 8,000 pg/ml to 0 pg/ml and detect antibody (HA723282, Biotin, 0.2 µg/ml) for 1 hour at 30℃ with shaking. Then the plate was washed and incubated with 50 µl per well of SA-HRP for 0.5 hour at 30℃ with shaking. Detection was performed using an Ultra TMB Substrate for 10 minutes at room temperature in the dark. The reaction was stopped with sulfuric acid and absorbances were read on a spectrophotometer at 450 nm.
Interpolated concentrations of native cIAP1 in THP-1 and TF-1 extract samples based on a 1,000 µg/ml extract load. The concentrations of cIAP1 were measured in duplicates, interpolated from the cIAP1 standard curve and corrected for sample dilution. Undiluted samples are THP-1 extract 25% and TF-1 extract 50%. The interpolated dilution factor corrected values are plotted (mean +/- SD, n=2). The mean cIAP1 concentration was determined to be 1,712 pg/ml in THP-1 extract and 1,800 pg/ml in TF-1 extract.
Interpolated concentrations of spiked cIAP1 in human cell culture media samples. The concentrations of cIAP1 were measured in triplicates, interpolated from the cIAP1 standard curves and corrected for sample dilution. Undiluted samples are as follows: cell culture media 50%. The interpolated dilution factor corrected values are plotted (mean +/- SD, n=3).
quantity: 100μl
price: 649.00 USD
to the supplier
cIAP1
HUABIO
catalog: HA723281
domestic rabbit monoclonal (PSH02-10)
reactivity:
human
application:
ELISA
Sandwich ELISA analysis of human cIAP1 matched pair antibodies Elisa assay was performed by coating wells of a 96-well plate with 50 µl per well of capture antibody (HA723281) diluted in carbonate/bicarbonate buffer, at a concentration of 2 µg/ml overnight at 4℃. Wells of the plate were washed, blocked with 150 µl 0.05% tween-20 1% BSA blocking buffer, and incubated with serial diluted Recombinant Human cIAP1 protein starting from 8,000 pg/ml to 0 pg/ml and detect antibody (HA723282, Biotin, 0.2 µg/ml) for 1 hour at 30℃ with shaking. Then the plate was washed and incubated with 50 µl per well of SA-HRP for 0.5 hour at 30℃ with shaking. Detection was performed using an Ultra TMB Substrate for 10 minutes at room temperature in the dark. The reaction was stopped with sulfuric acid and absorbances were read on a spectrophotometer at 450 nm.
Interpolated concentrations of native cIAP1 in THP-1 and TF-1 extract samples based on a 1,000 µg/mL extract load. The concentrations of cIAP1 were interpolated from the cIAP1 standard curves and corrected for sample dilution. Undiluted samples are THP-1 extract 50% and TF-1 extract 50%. The mean cIAP1 concentration was determined to be 1,450 pg/ml in THP-1 extract and 2,235 pg/ml in TF-1 extract.
Interpolated concentrations of spiked cIAP1 in human cell culture media samples. The concentrations of cIAP1 were interpolated from the cIAP1 standard curves and corrected for sample dilution. Undiluted samples are as follows: cell culture media 50%.
quantity: 100μl
price: 649.00 USD
to the supplier
cIAP1
HUABIO
catalog: HA723282
domestic rabbit monoclonal (PSH06-71)
reactivity:
human
,
mouse
,
rat
application:
ELISA
Sandwich ELISA analysis of human cIAP1 matched pair antibodies Elisa assay was performed by coating wells of a 96-well plate with 50 µl per well of capture antibody (HA723280) diluted in carbonate/bicarbonate buffer, at a concentration of 2 µg/ml overnight at 4℃. Wells of the plate were washed, blocked with 150 µl 0.05% tween-20 1% BSA blocking buffer, and incubated with serial diluted Recombinant Human cIAP1 protein starting from 8,000 pg/ml to 0 pg/ml and detect antibody (HA723282, Biotin, 0.2 µg/ml) for 1 hour at 30℃ with shaking. Then the plate was washed and incubated with 50 µl per well of SA-HRP for 0.5 hour at 30℃ with shaking. Detection was performed using an Ultra TMB Substrate for 10 minutes at room temperature in the dark. The reaction was stopped with sulfuric acid and absorbances were read on a spectrophotometer at 450 nm.
Sandwich ELISA analysis of human cIAP1 matched pair antibodies Elisa assay was performed by coating wells of a 96-well plate with 50 µl per well of capture antibody (HA723281) diluted in carbonate/bicarbonate buffer, at a concentration of 2 µg/ml overnight at 4℃. Wells of the plate were washed, blocked with 150 µl 0.05% tween-20 1% BSA blocking buffer, and incubated with serial diluted Recombinant Human cIAP1 protein starting from 8,000 pg/ml to 0 pg/ml and detect antibody (HA723282, Biotin, 0.2 µg/ml) for 1 hour at 30℃ with shaking. Then the plate was washed and incubated with 50 µl per well of SA-HRP for 0.5 hour at 30℃ with shaking. Detection was performed using an Ultra TMB Substrate for 10 minutes at room temperature in the dark. The reaction was stopped with sulfuric acid and absorbances were read on a spectrophotometer at 450 nm.
Interpolated concentrations of native cIAP1 in THP-1 and TF-1 extract samples based on a 1,000 µg/ml extract load. The concentrations of cIAP1 were measured in duplicates, interpolated from the cIAP1 standard curve and corrected for sample dilution. Undiluted samples are THP-1 extract 25% and TF-1 extract 50%. The interpolated dilution factor corrected values are plotted (mean +/- SD, n=2). The mean cIAP1 concentration was determined to be 1,712 pg/ml in THP-1 extract and 1,800 pg/ml in TF-1 extract.
quantity: 100μl
price: 649.00 USD
to the supplier
cIAP1
HUABIO
catalog: HA723283B
domestic rabbit monoclonal (PSH06-71)
reactivity:
human
,
mouse
,
rat
conjugate: biotin
application:
ELISA
Sandwich ELISA analysis of human cIAP1 matched pair antibodies Elisa assay was performed by coating wells of a 96-well plate with 50 µl per well of capture antibody (HA723280) diluted in carbonate/bicarbonate buffer, at a concentration of 2 µg/ml overnight at 4℃. Wells of the plate were washed, blocked with 150 µl 0.05% tween-20 1% BSA blocking buffer, and incubated with serial diluted Recombinant Human cIAP1 protein starting from 8,000 pg/ml to 0 pg/ml and detect antibody (HA723283B, 0.2 µg/ml) for 1 hour at 30℃ with shaking. Then the plate was washed and incubated with 50 µl per well of SA-HRP for 0.5 hour at 30℃ with shaking. Detection was performed using an Ultra TMB Substrate for 10 minutes at room temperature in the dark. The reaction was stopped with sulfuric acid and absorbances were read on a spectrophotometer at 450 nm.
Sandwich ELISA analysis of human cIAP1 matched pair antibodies Elisa assay was performed by coating wells of a 96-well plate with 50 µl per well of capture antibody (HA723281) diluted in carbonate/bicarbonate buffer, at a concentration of 2 µg/ml overnight at 4℃. Wells of the plate were washed, blocked with 150 µl 0.05% tween-20 1% BSA blocking buffer, and incubated with serial diluted Recombinant Human cIAP1 protein starting from 8,000 pg/ml to 0 pg/ml and detect antibody (HA723283B, 0.2 µg/ml) for 1 hour at 30℃ with shaking. Then the plate was washed and incubated with 50 µl per well of SA-HRP for 0.5 hour at 30℃ with shaking. Detection was performed using an Ultra TMB Substrate for 10 minutes at room temperature in the dark. The reaction was stopped with sulfuric acid and absorbances were read on a spectrophotometer at 450 nm.
Interpolated concentrations of native cIAP1 in THP-1 and TF-1 extract samples based on a 1,000 µg/ml extract load. The concentrations of cIAP1 were measured in duplicates, interpolated from the cIAP1 standard curve and corrected for sample dilution. Undiluted samples are THP-1 extract 25% and TF-1 extract 50%. The interpolated dilution factor corrected values are plotted (mean +/- SD, n=2). The mean cIAP1 concentration was determined to be 1,712 pg/ml in THP-1 extract and 1,800 pg/ml in TF-1 extract.
quantity: 100μl
price: 409.00 USD
to the supplier
cIAP1
HUABIO
catalog: HA750780
domestic rabbit monoclonal (PSH02-10)
reactivity:
human
application:
western blot
Western blot analysis of cIAP1 on different lysates with Rabbit anti-cIAP1 antibody (HA750780) at 1/2,000 dilution. Lane 1: HT-29 cell lysate Lane 2: TF-1 cell lysate Lane 3: HepG2 cell lysate Lane 4: HeLa cell lysate Lane 5: THP-1 cell lysate Lane 6: Jurkat cell lysate Lane 7: A549 cell lysate Lane 8: HEK-293 cell lysate Lysates/proteins at 20 µg/Lane. Predicted band size: 70 kDa Observed band size: 70 kDa Exposure time: 2 minutes; ECL: K1801; 4-20% SDS-PAGE gel. Proteins were transferred to a PVDF membrane and blocked with 5% NFDM/TBST for 1 hour at room temperature. The primary antibody (HA750780) at 1/2,000 dilution was used in 5% NFDM/TBST at 4℃ overnight. Goat Anti-Rabbit IgG - HRP Secondary Antibody (HA1001) at 1/50,000 dilution was used for 1 hour at room temperature.
Western blot analysis of cIAP1 on different lysates with Rabbit anti-cIAP1 antibody (HA750780) at 1/2,000 dilution. Lane 1: HAP1-parental cell lysate Lane 2: HAP1-cIAP1 KD cell lysate Lysates/proteins at 10 µg/Lane. Predicted band size: 70 kDa Observed band size: 70 kDa Exposure time: 78 seconds; ECL: K1801; 4-20% SDS-PAGE gel. Proteins were transferred to a PVDF membrane and blocked with 5% NFDM/TBST for 1 hour at room temperature. The primary antibody (HA750780) at 1/2,000 dilution was used in K1803 at 4℃ overnight. Goat Anti-Rabbit IgG - HRP Secondary Antibody (HA1001) at 1/50,000 dilution was used for 1 hour at room temperature.
quantity: 100μl
price: 649.00 USD
to the supplier
cIAP1
HUABIO
catalog: HA751100
domestic rabbit monoclonal (PSH06-71)
reactivity:
human
,
mouse
,
rat
application:
western blot
Western blot analysis of cIAP1 on different lysates with Rabbit anti-cIAP1 antibody (HA751100) at 1/2,000 dilution. Lane 1: HT-29 cell lysate (20 µg/Lane) Lane 2: TF-1 cell lysate (20 µg/Lane) Lane 3: HepG2 cell lysate (20 µg/Lane) Lane 4: HeLa cell lysate (20 µg/Lane) Lane 5: THP-1 cell lysate (20 µg/Lane) Lane 6: Jurkat cell lysate (20 µg/Lane) Lane 7: A549 cell lysate (20 µg/Lane) Lane 8: HEK-293 cell lysate (20 µg/Lane) Lane 9: NIH/3T3 cell lysate (20 µg/Lane) Lane 10: PC-12 cell lysate (20 µg/Lane) Lane 11: Mouse testis tissue lysate (40 µg/Lane) Lane 12: Mouse brain tissue lysate (40 µg/Lane) Lane 13: Rat testis tissue lysate (40 µg/Lane) Lane 14: Rat brain tissue lysate (40 µg/Lane) Predicted band size: 70 kDa Observed band size: 70 kDa Exposure time: 2 minutes; ECL: K1801; 4-20% SDS-PAGE gel. Proteins were transferred to a PVDF membrane and blocked with 5% NFDM/TBST for 1 hour at room temperature. The primary antibody (HA751100) at 1/2,000 dilution was used in 5% NFDM/TBST at 4℃ overnight. Goat Anti-Rabbit IgG - HRP Secondary Antibody (HA1001) at 1/50,000 dilution was used for 1 hour at room temperature.
Western blot analysis of cIAP1 on different lysates with Rabbit anti-cIAP1 antibody (HA751100) at 1/2,000 dilution. Lane 1: HAP1-parental cell lysate (10 µg/Lane) Lane 2: HAP1-cIAP1 KD cell lysate (10 µg/Lane) Predicted band size: 70 kDa Observed band size: 70 kDa Exposure time: 78 seconds; ECL: K1801; 4-20% SDS-PAGE gel. Proteins were transferred to a PVDF membrane and blocked with 5% NFDM/TBST for 1 hour at room temperature. The primary antibody (HA751100) at 1/2,000 dilution was used in K1803 at 4℃ overnight. Goat Anti-Rabbit IgG - HRP Secondary Antibody (HA1001) at 1/50,000 dilution was used for 1 hour at room temperature.
quantity: 100μl
price: 649.00 USD
to the supplier
cIAP1
HUABIO
catalog: HA751101
domestic rabbit monoclonal (PSH06-72)
reactivity:
human
,
mouse
,
rat
application:
western blot
,
flow cytometry
Western blot analysis of cIAP1 on different lysates with Rabbit anti-cIAP1 antibody (HA751101) at 1/2,000 dilution. Lane 1: TF-1 cell lysate (20 µg/Lane) Lane 2: HepG2 cell lysate (20 µg/Lane) Lane 3: HeLa cell lysate (20 µg/Lane) Lane 4: THP-1 cell lysate (20 µg/Lane) Lane 5: Jurkat cell lysate (20 µg/Lane) Lane 6: A549 cell lysate (20 µg/Lane) Lane 7: HEK-293 cell lysate (20 µg/Lane) Lane 8: Mouse testis tissue lysate (40 µg/Lane) Lane 9: Mouse brain tissue lysate (40 µg/Lane) Predicted band size: 70 kDa Observed band size: 70 kDa Exposure time: 3 minutes; ECL: K1802; 4-20% SDS-PAGE gel. Proteins were transferred to a PVDF membrane and blocked with 5% NFDM/TBST for 1 hour at room temperature. The primary antibody (HA751101) at 1/2,000 dilution was used in 5% NFDM/TBST at 4℃ overnight. Goat Anti-Rabbit IgG - HRP Secondary Antibody (HA1001) at 1/50,000 dilution was used for 1 hour at room temperature.
Immunocytochemistry analysis of HT-29 cells labeling cIAP1 with Rabbit anti-cIAP1 antibody (HA751101) at 1/100 dilution. Cells were fixed in 4% paraformaldehyde for 20 minutes at room temperature, permeabilized with 0.1% Triton X-100 in PBS for 5 minutes at room temperature, then blocked with 1% BSA in 10% negative goat serum for 1 hour at room temperature. Cells were then incubated with Rabbit anti-cIAP1 antibody (HA751101) at 1/100 dilution in 1% BSA in PBST overnight at 4 ℃. Goat Anti-Rabbit IgG H&L (iFluor™ 488, HA1121) was used as the secondary antibody at 1/1,000 dilution. PBS instead of the primary antibody was used as the secondary antibody only control. Nuclear DNA was labelled in blue with DAPI. Beta tubulin (M1305-2, red) was stained at 1/100 dilution overnight at +4℃. Goat Anti-Mouse IgG H&L (iFluor™ 594, HA1126) was used as the secondary antibody at 1/1,000 dilution.
Immunocytochemistry analysis of NIH/3T3 cells labeling cIAP1 with Rabbit anti-cIAP1 antibody (HA751101) at 1/100 dilution. Cells were fixed in 4% paraformaldehyde for 20 minutes at room temperature, permeabilized with 0.1% Triton X-100 in PBS for 5 minutes at room temperature, then blocked with 1% BSA in 10% negative goat serum for 1 hour at room temperature. Cells were then incubated with Rabbit anti-cIAP1 antibody (HA751101) at 1/100 dilution in 1% BSA in PBST overnight at 4 ℃. Goat Anti-Rabbit IgG H&L (iFluor™ 488, HA1121) was used as the secondary antibody at 1/1,000 dilution. PBS instead of the primary antibody was used as the secondary antibody only control. Nuclear DNA was labelled in blue with DAPI. Beta tubulin (M1305-2, red) was stained at 1/100 dilution overnight at +4℃. Goat Anti-Mouse IgG H&L (iFluor™ 594, HA1126) was used as the secondary antibody at 1/1,000 dilution.
quantity: 100μl
price: 649.00 USD
to the supplier