domestic rabbit monoclonal (PSH0-85)
reactivity: mouse, rat
application: western blot, immunohistochemistry - paraffin section, immunohistochemistry - frozen section
reactivity: mouse, rat
application: western blot, immunohistochemistry - paraffin section, immunohistochemistry - frozen section

Western blot analysis of F4/80 on different lysates with Rabbit anti-F4/80 antibody (HA721520) at 1/1,000 dilution. Lane 1: Mouse kidney tissue lysate (no heat) (40 µg/Lane) Lane 2: Mouse kidney tissue lysate (40 µg/Lane) Lane 3: RAW264.7 cell lysate (no heat) (20 µg/Lane) Lane 4: Rat kidney tissue lysate (no heat) (40 µg/Lane) Notice: no heat means the lysate is not boiled. Predicted band size: 102 kDa Observed band size: 160 kDa Exposure time: 59 seconds; ECL: K1801; 4-20% SDS-PAGE gel. Proteins were transferred to a PVDF membrane and blocked with 5% NFDM/TBST for 1 hour at room temperature. The primary antibody (HA721520) at 1/1,000 dilution was used in primary antibody dilution (K1803) at 4℃ overnight. Goat Anti-Rabbit IgG - HRP Secondary Antibody (HA1001) at 1/50,000 dilution was used for 1 hour at room temperature.

Western blot analysis of F4/80 on different lysates with Rabbit anti-F4/80 antibody (HA721520) at 1/1,000 dilution. Lane 1: RAW264.7 cell lysate (no heat) (20 µg/Lane) Lane 2: L929 cell lysate (no heat) (negative) (20 µg/Lane) Lane 3: Rat spleen tissue lysate (70℃ heat) (40 µg/Lane) Notice: no heat means the lysate is not boiled. Predicted band size: 102 kDa Observed band size: 160 kDa Exposure time: 2 minutes; 4-20% SDS-PAGE gel. Proteins were transferred to a PVDF membrane and blocked with 5% NFDM/TBST for 1 hour at room temperature. The primary antibody (HA721520) at 1/1,000 dilution was used in 5% NFDM/TBST at 4℃ overnight. Goat Anti-Rabbit IgG - HRP Secondary Antibody (HA1001) at 1:100,000 dilution was used for 1 hour at room temperature.

Application: IHC-Fr Species: Mouse Site: Spleen Sample: Frozen section Antibody concentration: 1/1,000 (F4/80, HA721520, rabbit, red); 1/500 (Iba1, HA601376, Chicken, green) Antigen retrieval: Not required
quantity: 100μl
price: 385.00 USD
to the supplier
domestic rabbit monoclonal (PSH0-85)
reactivity: mouse, rat
application: western blot, immunohistochemistry - paraffin section, immunohistochemistry - frozen section
reactivity: mouse, rat
application: western blot, immunohistochemistry - paraffin section, immunohistochemistry - frozen section

Western blot analysis of F4/80 on different lysates with Rabbit anti-F4/80 antibody (HA750665) at 1/1,000 dilution. Lane 1: Mouse kidney tissue lysate (no heat) (40 µg/Lane) Lane 2: Mouse kidney tissue lysate (40 µg/Lane) Lane 3: RAW264.7 cell lysate (no heat) (20 µg/Lane) Lane 4: Rat kidney tissue lysate (no heat) (40 µg/Lane) Notice: no heat means the lysate is not boiled. Predicted band size: 102 kDa Observed band size: 160 kDa Exposure time: 59 seconds; ECL: K1801; 4-20% SDS-PAGE gel. Proteins were transferred to a PVDF membrane and blocked with 5% NFDM/TBST for 1 hour at room temperature. The primary antibody (HA750665) at 1/1,000 dilution was used in primary antibody dilution (K1803) at 4℃ overnight. Goat Anti-Rabbit IgG - HRP Secondary Antibody (HA1001) at 1/50,000 dilution was used for 1 hour at room temperature.

Western blot analysis of F4/80 on different lysates with Rabbit anti-F4/80 antibody (HA750665) at 1/1,000 dilution. Lane 1: RAW264.7 cell lysate (no heat) (20 µg/Lane) Lane 2: L929 cell lysate (no heat) (negative) (20 µg/Lane) Lane 3: Rat spleen tissue lysate (70℃ heat) (40 µg/Lane) Notice: no heat means the lysate is not boiled. Predicted band size: 102 kDa Observed band size: 160 kDa Exposure time: 2 minutes; 4-20% SDS-PAGE gel. Proteins were transferred to a PVDF membrane and blocked with 5% NFDM/TBST for 1 hour at room temperature. The primary antibody (HA750665) at 1/1,000 dilution was used in 5% NFDM/TBST at 4℃ overnight. Goat Anti-Rabbit IgG - HRP Secondary Antibody (HA1001) at 1:100,000 dilution was used for 1 hour at room temperature.

Application: IHC-Fr Species: Mouse Site: Spleen Sample: Frozen section Antibody concentration: 1/1,000 (F4/80, HA750665, rabbit, red); 1/500 (Iba1, HA601376, Chicken, green) Antigen retrieval: Not required
quantity: 100μl
price: 649.00 USD
to the supplier
domestic rabbit polyclonal (PSH0-85)
reactivity: mouse, rat
application: immunohistochemistry - paraffin section
reactivity: mouse, rat
application: immunohistochemistry - paraffin section

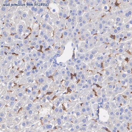
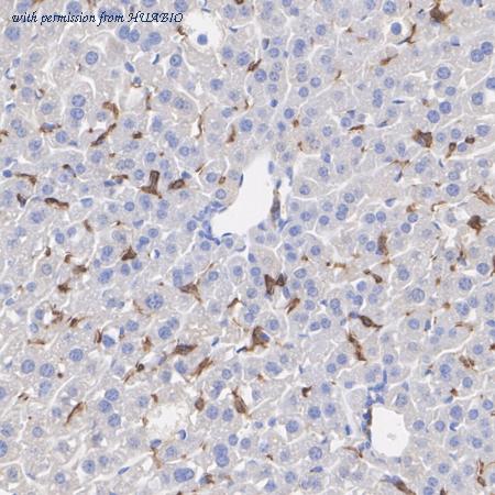
Immunohistochemical analysis of paraffin-embedded mouse liver tissue with Rat anti-F4/80 antibody (HA601485) at 1/1,000 dilution. The section was pre-treated using heat mediated antigen retrieval with Tris-EDTA buffer (pH 9.0) for 20 minutes. The tissues were blocked in 1% BSA for 20 minutes at room temperature, washed with ddH2O and PBS, and then probed with the primary antibody (HA601485) at 1/1,000 dilution for 1 hour at room temperature. The detection was performed using an HRP conjugated compact polymer system. DAB was used as the chromogen. Tissues were counterstained with hematoxylin and mounted with DPX.

Immunohistochemical analysis of paraffin-embedded rat liver tissue with Rat anti-F4/80 antibody (HA601485) at 1/1,000 dilution. The section was pre-treated using heat mediated antigen retrieval with Tris-EDTA buffer (pH 9.0) for 20 minutes. The tissues were blocked in 1% BSA for 20 minutes at room temperature, washed with ddH2O and PBS, and then probed with the primary antibody (HA601485) at 1/1,000 dilution for 1 hour at room temperature. The detection was performed using an HRP conjugated compact polymer system. DAB was used as the chromogen. Tissues were counterstained with hematoxylin and mounted with DPX.
quantity: 100μl
price: 360.00 USD
to the supplier
domestic rabbit polyclonal (PSH0-85)
reactivity: mouse, rat
application: immunohistochemistry - paraffin section
reactivity: mouse, rat
application: immunohistochemistry - paraffin section

Immunohistochemical analysis of paraffin-embedded mouse liver tissue with Rat anti-F4/80 antibody (HA610319) at 1/1,000 dilution. The section was pre-treated using heat mediated antigen retrieval with Tris-EDTA buffer (pH 9.0) for 20 minutes. The tissues were blocked in 1% BSA for 20 minutes at room temperature, washed with ddH2O and PBS, and then probed with the primary antibody (HA610319) at 1/1,000 dilution for 1 hour at room temperature. The detection was performed using an HRP conjugated compact polymer system. DAB was used as the chromogen. Tissues were counterstained with hematoxylin and mounted with DPX.

Immunohistochemical analysis of paraffin-embedded rat liver tissue with Rat anti-F4/80 antibody (HA610319) at 1/1,000 dilution. The section was pre-treated using heat mediated antigen retrieval with Tris-EDTA buffer (pH 9.0) for 20 minutes. The tissues were blocked in 1% BSA for 20 minutes at room temperature, washed with ddH2O and PBS, and then probed with the primary antibody (HA610319) at 1/1,000 dilution for 1 hour at room temperature. The detection was performed using an HRP conjugated compact polymer system. DAB was used as the chromogen. Tissues were counterstained with hematoxylin and mounted with DPX.
quantity: 100μg
price: 649.00 USD
to the supplier
