HMGB2
HUABIO
catalog: EM1902-06
mouse monoclonal (10D1)
reactivity: human, mouse, rat
application: western blot, immunohistochemistry - paraffin section

Western blot analysis of HMGB2 on different lysates with Mouse anti-HMGB2 antibody (EM1902-06) at 1/1,000 dilution. Lane 1: HeLa cell lysate Lane 2: K-562 cell lysate Lane 3: 293T cell lysate Lane 4: RAW264.7 cell lysate Lane 5: PC-12 cell lysate Lysates/proteins at 20 µg/Lane. Predicted band size: 24 kDa Observed band size: 24 kDa Exposure time: 3 minutes; ECL: K1801; 4-20% SDS-PAGE gel. Proteins were transferred to a PVDF membrane and blocked with 5% NFDM/TBST for 1 hour at room temperature. The primary antibody (EM1902-06) at 1/1,000 dilution was used in 5% NFDM/TBST at 4℃ overnight. Goat Anti-Mouse IgG - HRP Secondary Antibody (HA1006) at 1/50,000 dilution was used for 1 hour at room temperature.

Western blot analysis of HMGB2 on different lysates with Mouse anti-HMGB2 antibody (EM1902-06) at 1/2,000 dilution. Lane 1: HAP1-parental cell lysate Lane 2: HAP1-HMGB2 KD cell lysate Lysates/proteins at 10 µg/Lane. Predicted band size: 24 kDa Observed band size: 24 kDa Exposure time: 9 seconds; ECL: K1801; 4-20% SDS-PAGE gel. Proteins were transferred to a PVDF membrane and blocked with 5% NFDM/TBST for 1 hour at room temperature. The primary antibody (EM1902-06) at 1/2,000 dilution was used in K1803 at 4℃ overnight. Goat Anti-Mouse IgG - HRP Secondary Antibody (HA1006) at 1/50,000 dilution was used for 1 hour at room temperature.

Immunohistochemical analysis of paraffin-embedded human tonsil tissue using anti-HMGB2 antibody. The section was pre-treated using heat mediated antigen retrieval with sodium citrate buffer (pH 6.0) (high pressure) for 2 minutes. The tissues were blocked in 5% BSA for 30 minutes at room temperature, washed with ddH2O and PBS, and then probed with the primary antibody (EM1902-06, 1/1,000) for 30 minutes at room temperature. The detection was performed using an HRP conjugated compact polymer system. DAB was used as the chromogen. Tissues were counterstained with hematoxylin and mounted with DPX.
quantity: 100μl
price: 360.00 USD
to the supplier
HMGB2
HUABIO
catalog: HA500512
domestic rabbit polyclonal
reactivity: human, mouse, rat
application: flow cytometry, immunohistochemistry - paraffin section

ICC staining of HMGB2 in PC-12 cells (green). Formalin fixed cells were permeabilized with 0.1% Triton X-100 in TBS for 10 minutes at room temperature and blocked with 10% negative goat serum for 15 minutes at room temperature. Cells were probed with the primary antibody (HA500512, 1/50) for 1 hour at room temperature, washed with PBS. Alexa Fluor®488 Goat anti-Rabbit IgG was used as the secondary antibody at 1/1,000 dilution. The nuclear counter stain is DAPI (blue).

ICC staining of HMGB2 in SiHa cells (green). Formalin fixed cells were permeabilized with 0.1% Triton X-100 in TBS for 10 minutes at room temperature and blocked with 10% negative goat serum for 15 minutes at room temperature. Cells were probed with the primary antibody (HA500512, 1/50) for 1 hour at room temperature, washed with PBS. Alexa Fluor®488 Goat anti-Rabbit IgG was used as the secondary antibody at 1/1,000 dilution. The nuclear counter stain is DAPI (blue).

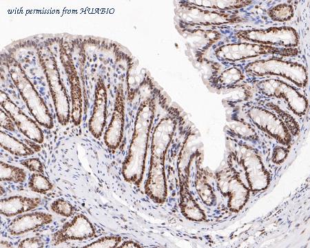
Immunohistochemical analysis of paraffin-embedded rat large intestine tissue using anti-HMGB2 antibody. The section was pre-treated using heat mediated antigen retrieval with sodium citrate buffer (pH 6.0) (high pressure) for 2 minutes. The tissues were blocked in 5% BSA for 30 minutes at room temperature, washed with ddH2O and PBS, and then probed with the primary antibody (HA500512, 1/200) for 30 minutes at room temperature. The detection was performed using an HRP conjugated compact polymer system. DAB was used as the chromogen. Tissues were counterstained with hematoxylin and mounted with DPX.
quantity: 100μl
price: 330 USD
to the supplier
HMGB2
HUABIO
catalog: HA721925
domestic rabbit monoclonal (JE52-82)
reactivity: human, mouse, rat
application: western blot, flow cytometry, immunohistochemistry - paraffin section

Western blot analysis of HMGB2 on different lysates with Rabbit anti-HMGB2 antibody (HA721925) at 1/1,000 dilution. Lane 1: HeLa cell lysate (20 µg/Lane) Lane 2: MCF7 cell lysate (20 µg/Lane) Lane 3: HEK-293 cell lysate (20 µg/Lane) Lane 4: K-562 cell lysate (20 µg/Lane) Lane 5: NIH/3T3 cell lysate (20 µg/Lane) Lane 6: PC-12 cell lysate (20 µg/Lane) Lane 7:Mouse testis tissue lysate (30 µg/Lane) Predicted band size: 24 kDa Observed band size: 28 kDa Exposure time: 3 minutes; ECL: K1801; 4-20% SDS-PAGE gel. Proteins were transferred to a PVDF membrane and blocked with 5% NFDM/TBST for 1 hour at room temperature. The primary antibody (HA721925) at 1/1,000 dilution was used in 5% NFDM/TBST at 4℃ overnight. Goat Anti-Rabbit IgG - HRP Secondary Antibody (HA1001) at 1/50,000 dilution was used for 1 hour at room temperature.

Western blot analysis of HMGB2 on different lysates with Rabbit anti-HMGB2 antibody (HA721925) at 1/2,000 dilution. Lane 1: HAP1-parental cell lysate Lane 2: HAP1-HMGB2 KD cell lysate Lysates/proteins at 10 µg/Lane. Predicted band size: 24 kDa Observed band size: 24 kDa Exposure time: 6 seconds; ECL: K1801; 4-20% SDS-PAGE gel. Proteins were transferred to a PVDF membrane and blocked with 5% NFDM/TBST for 1 hour at room temperature. The primary antibody (HA721925) at 1/2,000 dilution was used in K1803 at 4℃ overnight. Goat Anti-Rabbit IgG - HRP Secondary Antibody (HA1001) at 1/50,000 dilution was used for 1 hour at room temperature.

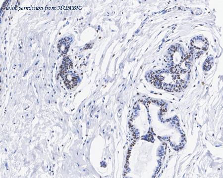
Immunohistochemical analysis of paraffin-embedded human breast carcinoma tissue with Rabbit anti-HMGB2 antibody (HA721925) at 1/500 dilution. The section was pre-treated using heat mediated antigen retrieval with sodium citrate buffer (pH 6.0) (high pressure) for 2 minutes. The tissues were blocked in 1% BSA for 20 minutes at room temperature, washed with ddH2O and PBS, and then probed with the primary antibody (HA721925) at 1/500 dilution for 1 hour at room temperature. The detection was performed using an HRP conjugated compact polymer system. DAB was used as the chromogen. Tissues were counterstained with hematoxylin and mounted with DPX.
quantity: 100μl
price: 385.00 USD
to the supplier