Sign in
Sign up
home
>
HUABIO
> HUABIO Fos antibody
c-Fos
HUABIO
catalog: ET1701-95
domestic rabbit monoclonal (JJ0938)
reactivity:
human
,
mouse
,
rat
application:
western blot
,
immunohistochemistry - paraffin section
Western blot analysis of c-Fos on different lysates with Rabbit anti-c-Fos antibody (ET1701-95) at 1/1,000 dilution. Lane 1: HeLa cell lysate Lane 2: HeLa serum starved for 40 hours then treated with 20% FBS for 2 hours cell lysate Lysates/proteins at 20 µg/Lane. Predicted band size: 41 kDa Observed band size: 41/55 kDa Exposure time: 5 minutes; ECL: K1801; 4-20% SDS-PAGE gel. Proteins were transferred to a PVDF membrane and blocked with 5% NFDM/TBST for 1 hour at room temperature. The primary antibody (ET1701-95) at 1/1,000 dilution was used in 5% NFDM/TBST at 4℃ overnight. Goat Anti-Rabbit IgG - HRP Secondary Antibody (HA1001) at 1/50,000 dilution was used for 1 hour at room temperature.
Western blot analysis of c-Fos on different lysates with Rabbit anti-c-Fos antibody (ET1701-95) at 1/1,000 dilution. Lane 1: PC-12 cell lysate Lane 2: PC-12 serum starved for 16 hours then treated with 200nM TSA for 4 hours cell lysate Lysates/proteins at 20 µg/Lane. Predicted band size: 41 kDa Observed band size: 41/55 kDa Exposure time: 30 seconds; ECL: K1801; 4-20% SDS-PAGE gel. Proteins were transferred to a PVDF membrane and blocked with 5% NFDM/TBST for 1 hour at room temperature. The primary antibody (ET1701-95) at 1/1,000 dilution was used in 5% NFDM/TBST at 4℃ overnight. Goat Anti-Rabbit IgG - HRP Secondary Antibody (HA1001) at 1/50,000 dilution was used for 1 hour at room temperature.
Immunocytochemistry analysis of normal HeLa / HeLa serum starved for 40 hours then treated with 20% FBS for 2 hours cells labeling c-Fos with Rabbit anti-c-Fos antibody (ET1701-95) at 1/100 dilution. Cells were fixed in 4% paraformaldehyde for 20 minutes at room temperature, permeabilized with 0.1% Triton X-100 in PBS for 5 minutes at room temperature, then blocked with 1% BSA in 10% negative goat serum for 1 hour at room temperature. Cells were then incubated with Rabbit anti-c-Fos antibody (ET1701-95) at 1/100 dilution in 1% BSA in PBST overnight at 4 ℃. Goat Anti-Rabbit IgG H&L (iFluor™ 488, HA1121) was used as the secondary antibody at 1/1,000 dilution. PBS instead of the primary antibody was used as the secondary antibody only control. Nuclear DNA was labelled in blue with DAPI.
quantity: 100μl
price: 385.00 USD
to the supplier
c-Fos
HUABIO
catalog: HA722666-50UL
domestic rabbit monoclonal (PSH05-77)
reactivity:
human
,
mouse
,
rat
application:
western blot
,
immunohistochemistry - paraffin section
,
immunohistochemistry - frozen section
Application: IHC-Fr Species: Mouse Site: Cerebral cortex (restraint stress induced) Sample: Frozen section Antibody concentration: 1/500 Antigen retrieval: Not required Important Notice: Blocking buffer and antibody dilution buffer are recommended to use TBS buffer instead of PBS buffer.
Fluorescence multiplex immunohistochemical analysis of mouse hippocampus (Formalin/PFA-fixed paraffin-embedded sections). Panel A: the merged image of anti-GFAP (ET1601-23, Green), anti-NeuN (ET1602-12, Red) and anti-c-Fos (HA722666, White) on hippocampus. HRP Conjugated UltraPolymer Goat Polyclonal Antibody HA1119/HA1120 was used as a secondary antibody. The immunostaining was performed with the Sequential Immuno-staining Kit (IRISKit™MH010101, www.luminiris.cn). The section was incubated in three rounds of staining: in the order of ET1601-23 (1/1,000 dilution), ET1602-12 (1/1,000 dilution) and HA722666 (1/200 dilution) for 20 mins at room temperature. Each round was followed by a separate fluorescent tyramide signal amplification system. Heat mediated antigen retrieval with Tris-EDTA buffer (pH 9.0) for 30 mins at 95℃. DAPI (blue) was used as a nuclear counter stain. Image acquisition was performed with Zeiss Observer 7 Inverted Fluorescence Microscope.
Fluorescence multiplex immunohistochemical analysis of mouse brain (Formalin/PFA-fixed paraffin-embedded sections). Panel A: the merged image of anti-GFAP (ET1601-23, Green), anti-NeuN (ET1602-12, Red) and anti-c-Fos (HA722666, White) on brain. HRP Conjugated UltraPolymer Goat Polyclonal Antibody HA1119/HA1120 was used as a secondary antibody. The immunostaining was performed with the Sequential Immuno-staining Kit (IRISKit™MH010101, www.luminiris.cn). The section was incubated in three rounds of staining: in the order of ET1601-23 (1/1,000 dilution), ET1602-12 (1/1,000 dilution) and HA722666 (1/200 dilution) for 20 mins at room temperature. Each round was followed by a separate fluorescent tyramide signal amplification system. Heat mediated antigen retrieval with Tris-EDTA buffer (pH 9.0) for 30 mins at 95℃. DAPI (blue) was used as a nuclear counter stain. Image acquisition was performed with Zeiss Observer 7 Inverted Fluorescence Microscope.
quantity: 50μl
price: 205.00 USD
to the supplier
c-Fos
HUABIO
catalog: HA722839
domestic rabbit monoclonal (PSH07-51)
reactivity:
human
,
mouse
,
rat
application:
western blot
,
immunoprecipitation
,
chromatin immunoprecipitation
,
immunohistochemistry - paraffin section
,
immunohistochemistry - frozen section
Application: IHC-Fr Species: Mouse Site: Hypothalamus (restraint stress induced) Sample: Frozen section Antibody concentration: 1/4,000 Antigen retrieval: Not required Important Notice: Blocking buffer and antibody dilution buffer are recommended to use TBS buffer instead of PBS buffer.
Application: IHC-Fr Species: Mouse Site: Cerebral cortex (restraint stress induced) Sample: Frozen section Antibody concentration: 1/4,000 Antigen retrieval: Not required Important Notice: Blocking buffer and antibody dilution buffer are recommended to use TBS buffer instead of PBS buffer.
Application: IHC-Fr Species: Rat Site: Cerebral cortex (restraint stress induced) Sample: Frozen section Antibody concentration: 1/4,000 Antigen retrieval: Not required Important Notice: Blocking buffer and antibody dilution buffer are recommended to use TBS buffer instead of PBS buffer.
quantity: 100μl
price: 385.00 USD
to the supplier
c-Fos
HUABIO
catalog: HA750329
domestic rabbit monoclonal (JJ0938)
reactivity:
human
,
mouse
,
rat
application:
western blot
,
immunohistochemistry - paraffin section
Western blot analysis of c-Fos on different lysates with Rabbit anti-c-Fos antibody (HA750329) at 1/1,000 dilution. Lane 1: HeLa cell lysate Lane 2: HeLa serum starved for 40 hours then treated with 20% FBS for 2 hours cell lysate Lysates/proteins at 20 µg/Lane. Predicted band size: 41 kDa Observed band size: 41/55 kDa Exposure time: 5 minutes; ECL: K1801; 4-20% SDS-PAGE gel. Proteins were transferred to a PVDF membrane and blocked with 5% NFDM/TBST for 1 hour at room temperature. The primary antibody (HA750329) at 1/1,000 dilution was used in 5% NFDM/TBST at 4℃ overnight. Goat Anti-Rabbit IgG - HRP Secondary Antibody (HA1001) at 1/50,000 dilution was used for 1 hour at room temperature.
Western blot analysis of c-Fos on different lysates with Rabbit anti-c-Fos antibody (HA750329) at 1/1,000 dilution. Lane 1: PC-12 cell lysate Lane 2: PC-12 serum starved for 16 hours then treated with 200nM TSA for 4 hours cell lysate Lysates/proteins at 20 µg/Lane. Predicted band size: 41 kDa Observed band size: 41/55 kDa Exposure time: 30 seconds; ECL: K1801; 4-20% SDS-PAGE gel. Proteins were transferred to a PVDF membrane and blocked with 5% NFDM/TBST for 1 hour at room temperature. The primary antibody (HA750329) at 1/1,000 dilution was used in 5% NFDM/TBST at 4℃ overnight. Goat Anti-Rabbit IgG - HRP Secondary Antibody (HA1001) at 1/50,000 dilution was used for 1 hour at room temperature.
Immunocytochemistry analysis of normal HeLa / HeLa serum starved for 40 hours then treated with 20% FBS for 2 hours cells labeling c-Fos with Rabbit anti-c-Fos antibody (HA750329) at 1/100 dilution. Cells were fixed in 4% paraformaldehyde for 20 minutes at room temperature, permeabilized with 0.1% Triton X-100 in PBS for 5 minutes at room temperature, then blocked with 1% BSA in 10% negative goat serum for 1 hour at room temperature. Cells were then incubated with Rabbit anti-c-Fos antibody (HA750329) at 1/100 dilution in 1% BSA in PBST overnight at 4 ℃. Goat Anti-Rabbit IgG H&L (iFluor™ 488, HA1121) was used as the secondary antibody at 1/1,000 dilution. PBS instead of the primary antibody was used as the secondary antibody only control. Nuclear DNA was labelled in blue with DAPI.
quantity: 100μl
price: 649.00 USD
to the supplier
c-Fos
HUABIO
catalog: HA751071
domestic rabbit monoclonal (PSH05-77)
reactivity:
human
,
mouse
,
rat
application:
western blot
,
immunohistochemistry - paraffin section
,
immunohistochemistry - frozen section
Application: IHC-Fr Species: Mouse Site: Cerebral cortex (restraint stress induced) Sample: Frozen section Antibody concentration: 1/500 Antigen retrieval: Not required Important Notice: Blocking buffer and antibody dilution buffer are recommended to use TBS buffer instead of PBS buffer.
Application: IHC-Fr Species: Mouse Site: Cerebral cortex Sample: Frozen section Antibody concentration: 1/1,000 Antigen retrieval: Not required Important Notice: Blocking buffer and antibody dilution buffer are recommended to use TBS buffer instead of PBS buffer.
Application: IHC-Fr Species: Rat Site: Cerebral cortex Sample: Frozen section Antibody concentration: 1/200 Antigen retrieval: Not required Important Notice: Blocking buffer and antibody dilution buffer are recommended to use TBS buffer instead of PBS buffer.
quantity: 100μl
price: 649.00 USD
to the supplier
c-Fos
HUABIO
catalog: HA751172
domestic rabbit monoclonal (PSH07-51)
reactivity:
human
,
mouse
,
rat
application:
western blot
,
immunoprecipitation
,
chromatin immunoprecipitation
,
immunohistochemistry - paraffin section
,
immunohistochemistry - frozen section
Application: IHC-Fr Species: Mouse Site: Hypothalamus (restraint stress induced) Sample: Frozen section Antibody concentration: 1/4,000 Antigen retrieval: Not required Important Notice: Blocking buffer and antibody dilution buffer are recommended to use TBS buffer instead of PBS buffer.
Application: IHC-Fr Species: Mouse Site: Cerebral cortex (restraint stress induced) Sample: Frozen section Antibody concentration: 1/4,000 Antigen retrieval: Not required Important Notice: Blocking buffer and antibody dilution buffer are recommended to use TBS buffer instead of PBS buffer.
Application: IHC-Fr Species: Rat Site: Cerebral cortex (restraint stress induced) Sample: Frozen section Antibody concentration: 1/4,000 Antigen retrieval: Not required Important Notice: Blocking buffer and antibody dilution buffer are recommended to use TBS buffer instead of PBS buffer.
quantity: 100μl
price: 649.00 USD
to the supplier
c-Fos
HUABIO
catalog: HA601373
domestic rabbit polyclonal (PSH05-77)
reactivity:
human
,
mouse
,
rat
application:
western blot
,
immunohistochemistry - paraffin section
,
immunohistochemistry - frozen section
Application: IHC-Fr Species: Mouse Site: Cerebral cortex (restraint stress induced) Sample: Frozen section Antibody concentration: 1/5,000 (c-Fos, HA601373, Rat, green); 1/1,000 (Iba1, ET1705-78, Rabbit, red) Antigen retrieval: Not required Important Notice: Blocking buffer and antibody dilution buffer are recommended to use TBS buffer instead of PBS buffer.
Application: IHC-Fr Species: Rat Site: Cerebral cortex (restraint stress induced) Sample: Frozen section Antibody concentration: 1/2,000 (c-Fos, HA601373, Rat, green); 1/1,000 (Iba1, ET1705-78, Rabbit, red) Antigen retrieval: Not required Important Notice: Blocking buffer and antibody dilution buffer are recommended to use TBS buffer instead of PBS buffer.
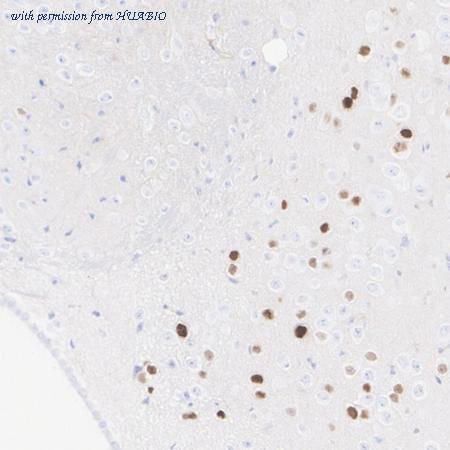
Immunohistochemical analysis of paraffin-embedded mouse hippocampus (restraint stress induced) tissue with Rabbit anti-c-Fos antibody (HA601373) at 1/5,000 dilution. The section was pre-treated using heat mediated antigen retrieval with Tris-EDTA buffer (pH 9.0) for 20 minutes. The tissues were blocked in 1% BSA for 20 minutes at room temperature, washed with ddH2O and PBS, and then probed with the primary antibody (HA601373) at 1/5,000 dilution for 1 hour at room temperature. The detection was performed using an HRP conjugated compact polymer system. DAB was used as the chromogen. Tissues were counterstained with hematoxylin and mounted with DPX.
quantity: 100μl
price: 330 USD
to the supplier
c-Fos
HUABIO
catalog: HA601374
domestic rabbit polyclonal (PSH05-77)
reactivity:
human
,
mouse
,
rat
application:
western blot
,
immunohistochemistry - frozen section
Application: IHC-Fr Species: Mouse Site: Cerebral cortex (restraint stress induced) Sample: Frozen section Antibody concentration: 1/2,000 (c-Fos, HA601374, Guinea pig, Red); 1/1,000 (Iba1, ET1705-78, Rabbit, Green) Antigen retrieval: Not required Important Notice: Blocking buffer and antibody dilution buffer are recommended to use TBS buffer instead of PBS buffer.
Application: IHC-Fr Species: Rat Site: Cerebral cortex (restraint stress induced) Sample: Frozen section Antibody concentration: 1/2,000 (c-Fos, HA601374, Guinea pig, Red); 1/1,000 (Iba1, ET1705-78, Rabbit, Green) Antigen retrieval: Not required Important Notice: Blocking buffer and antibody dilution buffer are recommended to use TBS buffer instead of PBS buffer.
Western blot analysis of c-Fos on different lysates with Guinea pig anti-c-Fos antibody (HA601374) at 1/5,000 dilution. Lane 1: HeLa cell lysate Lane 2: HeLa serum starved for 16 hours then add 200 nM TPA for 4 hours cell lysate Lane 3: RAW264.7 cell lysate Lane 4: RAW264.7 serum starved for 16 hours then add 200 nM TPA for 4 hours cell lysate Lysates/proteins at 15 µg/Lane. Predicted band size: 41 kDa Observed band size: 41-55 kDa Exposure time: 6 seconds; ECL: K1801; Proteins were transferred to a PVDF membrane and blocked with 5% NFDM/TBST for 1 hour at room temperature. The primary antibody (HA601374) at 1/5,000 dilution was used in K1803 at 4℃ overnight. Goat Anti-Guinea pig IgG - HRP Secondary Antibody (HA1021) at 1/10,000 dilution was used for 1 hour at room temperature.
quantity: 100μl
price: 330 USD
to the supplier
c-Fos
HUABIO
catalog: HA601440
domestic rabbit polyclonal (PSH07-51)
reactivity:
human
,
mouse
,
rat
application:
western blot
,
immunohistochemistry - paraffin section
,
immunohistochemistry - frozen section
Application: IHC-Fr Species: Mouse Site: Cerebral cortex (restraint stress induced) Sample: Frozen section Antibody concentration: 1/1,000 (c-Fos, HA601440, Mouse, red); 1/1,000 (Iba1, ET1705-78, Rabbit, green) Antigen retrieval: Not required Important Notice: Blocking buffer and antibody dilution buffer are recommended to use TBS buffer instead of PBS buffer.
Application: IHC-Fr Species: Rat Site: Cerebral cortex (restraint stress induced) Sample: Frozen section Antibody concentration: 1/1,000 (c-Fos, HA601440, Mouse, red); 1/1,000 (Iba1, ET1705-78, Rabbit, green) Antigen retrieval: Not required Important Notice: Blocking buffer and antibody dilution buffer are recommended to use TBS buffer instead of PBS buffer.
Immunohistochemical analysis of paraffin-embedded mouse brain tissue with Mouse anti-c-Fos antibody (HA601440) at 1/5,000 dilution. The section was pre-treated using heat mediated antigen retrieval with Tris-EDTA buffer (pH 9.0) for 20 minutes. The tissues were blocked in 1% BSA for 20 minutes at room temperature, washed with ddH2O and PBS, and then probed with the primary antibody (HA601440) at 1/5,000 dilution for 1 hour at room temperature. The detection was performed using an HRP conjugated compact polymer system. DAB was used as the chromogen. Tissues were counterstained with hematoxylin and mounted with DPX.
quantity: 100μl
price: 330 USD
to the supplier
c-Fos
HUABIO
catalog: HA610219
domestic rabbit polyclonal (PSH05-77)
reactivity:
human
,
mouse
,
rat
application:
western blot
,
immunohistochemistry - paraffin section
,
immunohistochemistry - frozen section
Application: IHC-Fr Species: Mouse Site: Cerebral cortex (restraint stress induced) Sample: Frozen section Antibody concentration: 1/5,000 (c-Fos, HA610219, Rat, green); 1/1,000 (Iba1, ET1705-78, Rabbit, red) Antigen retrieval: Not required Important Notice: Blocking buffer and antibody dilution buffer are recommended to use TBS buffer instead of PBS buffer.
Application: IHC-Fr Species: Rat Site: Cerebral cortex (restraint stress induced) Sample: Frozen section Antibody concentration: 1/2,000 (c-Fos, HA610219, Rat, green); 1/1,000 (Iba1, ET1705-78, Rabbit, red) Antigen retrieval: Not required Important Notice: Blocking buffer and antibody dilution buffer are recommended to use TBS buffer instead of PBS buffer.
Immunohistochemical analysis of paraffin-embedded mouse hippocampus (restraint stress induced) tissue with Rabbit anti-c-Fos antibody (HA610219) at 1/5,000 dilution. The section was pre-treated using heat mediated antigen retrieval with Tris-EDTA buffer (pH 9.0) for 20 minutes. The tissues were blocked in 1% BSA for 20 minutes at room temperature, washed with ddH2O and PBS, and then probed with the primary antibody (HA610219) at 1/5,000 dilution for 1 hour at room temperature. The detection was performed using an HRP conjugated compact polymer system. DAB was used as the chromogen. Tissues were counterstained with hematoxylin and mounted with DPX.
quantity: 100μg
price: 649.00 USD
to the supplier
c-Fos
HUABIO
catalog: HA610220
domestic rabbit polyclonal (PSH05-77)
reactivity:
human
,
mouse
,
rat
application:
western blot
,
immunohistochemistry - frozen section
Application: IHC-Fr Species: Mouse Site: Cerebral cortex (restraint stress induced) Sample: Frozen section Antibody concentration: 1/2,000 (c-Fos, HA610220, Guinea pig, Red); 1/1,000 (Iba1, ET1705-78, Rabbit, Green) Antigen retrieval: Not required Notice: Blocking buffer and antibody dilution buffer are recommended to use TBS buffer instead of PBS buffer.
Application: IHC-Fr Species: Rat Site: Cerebral cortex (restraint stress induced) Sample: Frozen section Antibody concentration: 1/2,000 (c-Fos, HA610220, Guinea pig, Red); 1/1,000 (Iba1, ET1705-78, Rabbit, Green) Antigen retrieval: Not required Notice: Blocking buffer and antibody dilution buffer are recommended to use TBS buffer instead of PBS buffer.
Western blot analysis of c-Fos on different lysates with Guinea pig anti-c-Fos antibody (HA610220) at 1/5,000 dilution. Lane 1: HeLa cell lysate Lane 2: HeLa serum starved for 16 hours then add 200 nM TPA for 4 hours cell lysate Lane 3: RAW264.7 cell lysate Lane 4: RAW264.7 serum starved for 16 hours then add 200 nM TPA for 4 hours cell lysate Lysates/proteins at 15 µg/Lane. Predicted band size: 41 kDa Observed band size: 41-55 kDa Exposure time: 6 seconds; ECL: K1801; Proteins were transferred to a PVDF membrane and blocked with 5% NFDM/TBST for 1 hour at room temperature. The primary antibody (HA610220) at 1/5,000 dilution was used in K1803 at 4℃ overnight. Goat Anti-Guinea pig IgG - HRP Secondary Antibody (HA1021) at 1/10,000 dilution was used for 1 hour at room temperature.
quantity: 100μg
price: 649.00 USD
to the supplier
c-Fos
HUABIO
catalog: HA610275
domestic rabbit polyclonal (PSH07-51)
reactivity:
human
,
mouse
,
rat
application:
western blot
,
immunohistochemistry - paraffin section
,
immunohistochemistry - frozen section
Application: IHC-Fr Species: Mouse Site: Cerebral cortex (restraint stress induced) Sample: Frozen section Antibody concentration: 1/1,000 (c-Fos, HA610275, Mouse, red); 1/1,000 (Iba1, ET1705-78, Rabbit, green) Antigen retrieval: Not required Important Notice: Blocking buffer and antibody dilution buffer are recommended to use TBS buffer instead of PBS buffer.
Application: IHC-Fr Species: Rat Site: Cerebral cortex (restraint stress induced) Sample: Frozen section Antibody concentration: 1/1,000 (c-Fos, HA610275, Mouse, red); 1/1,000 (Iba1, ET1705-78, Rabbit, green) Antigen retrieval: Not required Important Notice: Blocking buffer and antibody dilution buffer are recommended to use TBS buffer instead of PBS buffer.
Immunohistochemical analysis of paraffin-embedded mouse brain tissue with Mouse anti-c-Fos antibody (HA610275) at 1/5,000 dilution. The section was pre-treated using heat mediated antigen retrieval with Tris-EDTA buffer (pH 9.0) for 20 minutes. The tissues were blocked in 1% BSA for 20 minutes at room temperature, washed with ddH2O and PBS, and then probed with the primary antibody (HA610275) at 1/5,000 dilution for 1 hour at room temperature. The detection was performed using an HRP conjugated compact polymer system. DAB was used as the chromogen. Tissues were counterstained with hematoxylin and mounted with DPX.
quantity: 100μg
price: 649.00 USD
to the supplier