Sign in
Sign up
home
>
HUABIO
> HUABIO HLA-A antibody
HLA Class 1 ABC
HUABIO
catalog: EM1801-09
mouse monoclonal (11C3)
reactivity:
human
application:
western blot
,
immunohistochemistry - paraffin section
Western blot analysis of HLA Class 1 ABC on different lysates with Mouse anti-HLA Class 1 ABC antibody (EM1801-09) at 1/1,000 dilution. Lane 1: CAL-62 cell lysate Lane 2: HeLa cell lysate Lane 3: HepG2 cell lysate Lysates/proteins at 20 µg/Lane. Predicted band size: 40 kDa Observed band size: 40 kDa Exposure time: 3 minutes; ECL: K1801; 4-20% SDS-PAGE gel. Proteins were transferred to a PVDF membrane and blocked with 5% NFDM/TBST for 1 hour at room temperature. The primary antibody (EM1801-09) at 1/1,000 dilution was used in 5% NFDM/TBST at 4℃ overnight. Goat Anti-Mouse IgG - HRP Secondary Antibody (HA1006) at 1/50,000 dilution was used for 1 hour at room temperature.
Western blot analysis of HLA Class 1 ABC on different lysates with Mouse anti-HLA Class 1 ABC antibody (EM1801-09) at 1/2,000 dilution. Lane 1: HAP1-parental cell lysate Lane 2: HAP1-HLA Class 1 ABC KD cell lysate Lysates/proteins at 10 µg/Lane. Predicted band size: 40 kDa Observed band size: 40 kDa Exposure time: 60 seconds; ECL: K1801; 4-20% SDS-PAGE gel. Proteins were transferred to a PVDF membrane and blocked with 5% NFDM/TBST for 1 hour at room temperature. The primary antibody (EM1801-09) at 1/2,000 dilution was used in K1803 at 4℃ overnight. Goat Anti-Mouse IgG - HRP Secondary Antibody (HA1006) at 1/50,000 dilution was used for 1 hour at room temperature.
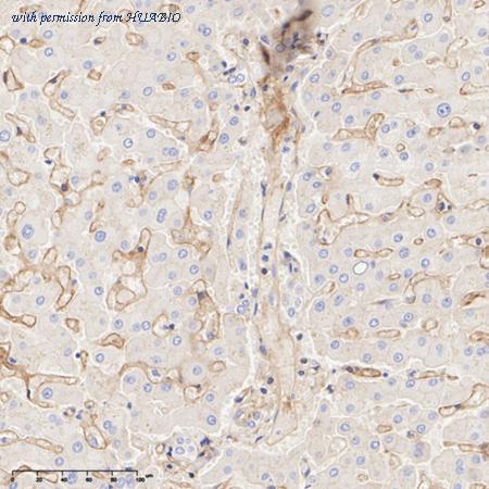
Immunohistochemical analysis of paraffin-embedded human liver tissue with Mouse anti-HLA Class 1 ABC antibody (EM1801-09) at 1/5,000 dilution. The section was pre-treated using heat mediated antigen retrieval with Tris-EDTA buffer (pH 9.0) for 20 minutes. The tissues were blocked in 1% BSA for 20 minutes at room temperature, washed with ddH2O and PBS, and then probed with the primary antibody (EM1801-09) at 1/5,000 dilution for 1 hour at room temperature. The detection was performed using an HRP conjugated compact polymer system. DAB was used as the chromogen. Tissues were counterstained with hematoxylin and mounted with DPX.
quantity: 100μl
price: 360.00 USD
to the supplier
HLA Class 1 ABC
HUABIO
catalog: EM1801-10
mouse monoclonal (11C2)
reactivity:
human
application:
western blot
,
immunohistochemistry - paraffin section
Western blot analysis of HLA Class 1 ABC on different lysates with Mouse anti-HLA Class 1 ABC antibody (EM1801-10) at 1/1,000 dilution. Lane 1: HeLa cell lysate Lane 2: HepG2 cell lysate Lysates/proteins at 20 µg/Lane. Predicted band size: 41 kDa Observed band size: 41 kDa Exposure time: 2 minutes 30 seconds; 4-20% SDS-PAGE gel. Proteins were transferred to a PVDF membrane and blocked with 5% NFDM/TBST for 1 hour at room temperature. The primary antibody (EM1801-10) at 1/1,000 dilution was used in 5% NFDM/TBST at 4℃ overnight. Goat Anti-Mouse IgG - HRP Secondary Antibody (HA1006) at 1/50,000 dilution was used for 1 hour at room temperature.
Western blot analysis of HLA Class 1 ABC on different lysates with Mouse anti-HLA Class 1 ABC antibody (EM1801-10) at 1/2,000 dilution. Lane 1: HAP1-parental cell lysate Lane 2: HAP1-HLA Class 1 ABC KD cell lysate Lysates/proteins at 10 µg/Lane. Predicted band size: 40 kDa Observed band size: 40 kDa Exposure time: 40 seconds; ECL: K1802; 4-20% SDS-PAGE gel. Proteins were transferred to a PVDF membrane and blocked with 5% NFDM/TBST for 1 hour at room temperature. The primary antibody (EM1801-10) at 1/2,000 dilution was used in K1803 at 4℃ overnight. Goat Anti-Mouse IgG - HRP Secondary Antibody (HA1006) at 1/50,000 dilution was used for 1 hour at room temperature.
Immunohistochemical analysis of paraffin-embedded human liver tissue with Mouse anti-HLA Class 1 ABC antibody (EM1801-10) at 1/1,000 dilution. The section was pre-treated using heat mediated antigen retrieval with Tris-EDTA buffer (pH 9.0) for 20 minutes. The tissues were blocked in 1% BSA for 20 minutes at room temperature, washed with ddH2O and PBS, and then probed with the primary antibody (EM1801-10) at 1/1,000 dilution for 1 hour at room temperature. The detection was performed using an HRP conjugated compact polymer system. DAB was used as the chromogen. Tissues were counterstained with hematoxylin and mounted with DPX.
quantity: 100μl
price: 360.00 USD
to the supplier
MHC class I
HUABIO
catalog: ET1702-47
domestic rabbit monoclonal (JF10-38)
reactivity:
human
application:
western blot
,
flow cytometry
,
immunohistochemistry - paraffin section
Western blot analysis of MHC class I on different lysates with Rabbit anti-MHC class I antibody (ET1702-47) at 1/1,000 dilution. Lane 1: A431 cell lysate Lane 2: HL-60 cell lysate Lane 3: K-562 cell lysate (low expression) Lane 4: Jurkat cell lysate Lane 5: Raji cell lysate Lane 6: THP-1 cell lysate Lysates/proteins at 20 µg/Lane. Predicted band size: 41 kDa Observed band size: 45 kDa Exposure time: 1 minute; ECL: K1801; 4-20% SDS-PAGE gel. Proteins were transferred to a PVDF membrane and blocked with 5% NFDM/TBST for 1 hour at room temperature. The primary antibody (ET1702-47) at 1/1,000 dilution was used in 5% NFDM/TBST at 4℃ overnight. Goat Anti-Rabbit IgG - HRP Secondary Antibody (HA1001) at 1/50,000 dilution was used for 1 hour at room temperature.
Western blot analysis of MHC class I on different lysates with Rabbit anti-MHC class I antibody (ET1702-47) at 1/2,000 dilution. Lane 1: HAP1-parental cell lysate Lane 2: HAP1-MHC class I KD cell lysate Lysates/proteins at 10 µg/Lane. Predicted band size: 41 kDa Observed band size: 41 kDa Exposure time: 30 seconds; ECL: K1801; 4-20% SDS-PAGE gel. Proteins were transferred to a PVDF membrane and blocked with 5% NFDM/TBST for 1 hour at room temperature. The primary antibody (ET1702-47) at 1/2,000 dilution was used in primary antibody dilution (K1803) at 4℃ overnight. Goat Anti-Rabbit IgG - HRP Secondary Antibody (HA1001) at 1/50,000 dilution was used for 1 hour at room temperature.
Immunocytochemistry analysis of HL-60 cells and K-562 (low expression) labeling MHC class I with Rabbit anti-MHC class I antibody (ET1702-47) at 1/100 dilution. Cells were fixed in 4% paraformaldehyde for 20 minutes at room temperature, permeabilized with 0.1% Triton X-100 in PBS for 5 minutes at room temperature, then blocked with 1% BSA in 10% negative goat serum for 1 hour at room temperature. Cells were then incubated with Rabbit anti-MHC class I antibody (ET1702-47) at 1/100 dilution in 1% BSA in PBST overnight at 4 ℃. Goat Anti-Rabbit IgG H&L (iFluor™ 488, HA1121) was used as the secondary antibody at 1/1,000 dilution. PBS instead of the primary antibody was used as the secondary antibody only control. Nuclear DNA was labelled in blue with DAPI. Beta tubulin (M1305-2, red) was stained at 1/100 dilution overnight at +4℃. Goat Anti-Mouse IgG H&L (iFluor™ 594, HA1126) was used as the secondary antibody at 1/1,000 dilution.
quantity: 100μl
price: 385.00 USD
to the supplier
HLA Class I
HUABIO
catalog: HA601424
mouse monoclonal (PSH12-15)
reactivity:
human
application:
flow cytometry
Immunocytochemistry analysis of Jurkat cells labeling HLA Class I with Mouse anti-HLA Class I antibody (HA601424) at 1/100 dilution. Cells were fixed in 4% paraformaldehyde for 15 minutes at room temperature, permeabilized with 0.1% Triton X-100 in PBS for 15 minutes at room temperature, then blocked with 1% BSA in 10% negative goat serum for 1 hour at room temperature. Cells were then incubated with Mouse anti-HLA Class I antibody (HA601424) at 1/100 dilution in 1% BSA in PBST overnight at 4 ℃. Goat Anti-Mouse IgG H&L (iFluor™ 488, HA1125) was used as the secondary antibody at 1/1,000 dilution. PBS instead of the primary antibody was used as the secondary antibody only control. Nuclear DNA was labelled in blue with DAPI. beta Tubulin (ET1602-4, red) was stained at 1/100 dilution overnight at +4℃. Goat Anti-Rabbit IgG H&L (iFluor™ 594, HA1122) were used as the secondary antibody at 1/1,000 dilution.
Flow cytometric analysis of K-562 (left, negative) and Jurkat (right, positive) cells labeling HLA Class I. Cells were washed twice with cold PBS and resuspend. Then stained with the primary antibody (HA601424, 1/1,000) (red) compared with Mouse IgG Isotype Control (green). After incubation of the primary antibody at +4℃ for an hour, the cells were stained with a iFluor™ 488 conjugate-Goat anti-Mouse IgG Secondary antibody (HA1125) at 1/1,000 dilution for 30 minutes at +4℃. Unlabelled sample was used as a control (cells without incubation with primary antibody; black).
quantity: 100μl
price: 360.00 USD
to the supplier
HLA Class I
HUABIO
catalog: HA610264
mouse monoclonal (PSH12-15)
reactivity:
human
application:
flow cytometry
Immunocytochemistry analysis of Jurkat cells labeling HLA Class I with Mouse anti-HLA Class I antibody (HA610264) at 1/100 dilution. Cells were fixed in 4% paraformaldehyde for 15 minutes at room temperature, permeabilized with 0.1% Triton X-100 in PBS for 15 minutes at room temperature, then blocked with 1% BSA in 10% negative goat serum for 1 hour at room temperature. Cells were then incubated with Mouse anti-HLA Class I antibody (HA610264) at 1/100 dilution in 1% BSA in PBST overnight at 4 ℃. Goat Anti-Mouse IgG H&L (iFluor™ 488, HA1125) was used as the secondary antibody at 1/1,000 dilution. PBS instead of the primary antibody was used as the secondary antibody only control. Nuclear DNA was labelled in blue with DAPI. beta Tubulin (ET1602-4, red) was stained at 1/100 dilution overnight at +4℃. Goat Anti-Rabbit IgG H&L (iFluor™ 594, HA1122) were used as the secondary antibody at 1/1,000 dilution.
Flow cytometric analysis of K-562 (left, negative) and Jurkat (right, positive) cells labeling HLA Class I. Cells were washed twice with cold PBS and resuspend. Then stained with the primary antibody (HA610264, 1/1,000) (red) compared with Mouse IgG Isotype Control (green). After incubation of the primary antibody at +4℃ for an hour, the cells were stained with a iFluor™ 488 conjugate-Goat anti-Mouse IgG Secondary antibody (HA1125) at 1/1,000 dilution for 30 minutes at +4℃. Unlabelled sample was used as a control (cells without incubation with primary antibody; black).
quantity: 100μg
price: 649.00 USD
to the supplier
HLA-ABC (MHC I)
HUABIO
catalog: HA723415
domestic rabbit monoclonal (PSH12-02)
reactivity:
human
,
mouse
,
rat
application:
western blot
,
immunohistochemistry - paraffin section
Western blot analysis of HLA-ABC (MHC I) on different lysates with Rabbit anti-HLA-ABC (MHC I) antibody (HA723415) at 1/5,000 dilution. Lane 1: Raji cell lysate (20 µg/Lane) Lane 2: THP-1 cell lysate (20 µg/Lane) Lane 3: Jurkat cell lysate (20 µg/Lane) Lane 4: HL-60 cell lysate (20 µg/Lane) Lane 5: HepG2 cell lysate (20 µg/Lane) Lane 6: Ramos cell lysate (20 µg/Lane) Lane 7: Mouse spleen tissue lysate (40 µg/Lane) Lane 8: Mouse lung tissue lysate (40 µg/Lane) Lane 9: Rat spleen tissue lysate (40 µg/Lane) Lane 10: Rat lung tissue lysate (40 µg/Lane) Predicted band size: 40 kDa Observed band size: 45 kDa Exposure time: 10 seconds; ECL: K1801; 4-20% SDS-PAGE gel. Proteins were transferred to a PVDF membrane and blocked with 5% NFDM/TBST for 1 hour at room temperature. The primary antibody (HA723415) at 1/5,000 dilution was used in 5% NFDM/TBST at 4℃ overnight. Goat Anti-Rabbit IgG - HRP Secondary Antibody (HA1001) at 1/50,000 dilution was used for 1 hour at room temperature.
Immunocytochemistry analysis of Jurkat cells labeling HLA-ABC (MHC I) with Rabbit anti-HLA-ABC (MHC I) antibody (HA723415) at 1/100 dilution. Cells were fixed in 4% paraformaldehyde for 15 minutes at room temperature, permeabilized with 0.1% Triton X-100 in PBS for 15 minutes at room temperature, then blocked with 1% BSA in 10% negative goat serum for 1 hour at room temperature. Cells were then incubated with Rabbit anti-HLA-ABC (MHC I) antibody (HA723415) at 1/100 dilution in 1% BSA in PBST overnight at 4 ℃. Goat Anti-Rabbit IgG H&L (iFluor™ 488, HA1121) was used as the secondary antibody at 1/1,000 dilution. PBS instead of the primary antibody was used as the secondary antibody only control. Nuclear DNA was labelled in blue with DAPI. Beta tubulin (HA601187, red) was stained at 1/100 dilution overnight at +4℃. Goat Anti-Mouse IgG H&L (iFluor™ 594, HA1126) was used as the secondary antibody at 1/1,000 dilution.
Immunocytochemistry analysis of Raji cells labeling HLA-ABC (MHC I) with Rabbit anti-HLA-ABC (MHC I) antibody (HA723415) at 1/100 dilution. Cells were fixed in 4% paraformaldehyde for 15 minutes at room temperature, permeabilized with 0.1% Triton X-100 in PBS for 15 minutes at room temperature, then blocked with 1% BSA in 10% negative goat serum for 1 hour at room temperature. Cells were then incubated with Rabbit anti-HLA-ABC (MHC I) antibody (HA723415) at 1/100 dilution in 1% BSA in PBST overnight at 4 ℃. Goat Anti-Rabbit IgG H&L (iFluor™ 488, HA1121) was used as the secondary antibody at 1/1,000 dilution. PBS instead of the primary antibody was used as the secondary antibody only control. Nuclear DNA was labelled in blue with DAPI. Beta tubulin (HA601187, red) was stained at 1/100 dilution overnight at +4℃. Goat Anti-Mouse IgG H&L (iFluor™ 594, HA1126) was used as the secondary antibody at 1/1,000 dilution.
quantity: 100μl
price: 385.00 USD
to the supplier
MHC class I
HUABIO
catalog: HA750347
domestic rabbit monoclonal (JF10-38)
reactivity:
human
application:
western blot
,
flow cytometry
,
immunohistochemistry - paraffin section
Western blot analysis of MHC class I on different lysates with Rabbit anti-MHC class I antibody (HA750347) at 1/1,000 dilution. Lane 1: A431 cell lysate Lane 2: HL-60 cell lysate Lane 3: K-562 cell lysate (low expression) Lane 4: Jurkat cell lysate Lane 5: Raji cell lysate Lane 6: THP-1 cell lysate Lysates/proteins at 20 µg/Lane. Predicted band size: 41 kDa Observed band size: 45 kDa Exposure time: 1 minute; ECL: K1801; 4-20% SDS-PAGE gel. Proteins were transferred to a PVDF membrane and blocked with 5% NFDM/TBST for 1 hour at room temperature. The primary antibody (HA750347) at 1/1,000 dilution was used in 5% NFDM/TBST at 4℃ overnight. Goat Anti-Rabbit IgG - HRP Secondary Antibody (HA1001) at 1/50,000 dilution was used for 1 hour at room temperature.
Western blot analysis of MHC class I on different lysates with Rabbit anti-MHC class I antibody (HA750347) at 1/2,000 dilution. Lane 1: HAP1-parental cell lysate Lane 2: HAP1-MHC class I KD cell lysate Lysates/proteins at 10 µg/Lane. Predicted band size: 41 kDa Observed band size: 41 kDa Exposure time: 30 seconds; ECL: K1801; 4-20% SDS-PAGE gel. Proteins were transferred to a PVDF membrane and blocked with 5% NFDM/TBST for 1 hour at room temperature. The primary antibody (HA750347) at 1/2,000 dilution was used in primary antibody dilution (K1803) at 4℃ overnight. Goat Anti-Rabbit IgG - HRP Secondary Antibody (HA1001) at 1/50,000 dilution was used for 1 hour at room temperature.
Immunocytochemistry analysis of HL-60 cells and K-562 (low expression) labeling MHC class I with Rabbit anti-MHC class I antibody (HA750347) at 1/100 dilution. Cells were fixed in 4% paraformaldehyde for 20 minutes at room temperature, permeabilized with 0.1% Triton X-100 in PBS for 5 minutes at room temperature, then blocked with 1% BSA in 10% negative goat serum for 1 hour at room temperature. Cells were then incubated with Rabbit anti-MHC class I antibody (HA750347) at 1/100 dilution in 1% BSA in PBST overnight at 4 ℃. Goat Anti-Rabbit IgG H&L (iFluor™ 488, HA1121) was used as the secondary antibody at 1/1,000 dilution. PBS instead of the primary antibody was used as the secondary antibody only control. Nuclear DNA was labelled in blue with DAPI. Beta tubulin (M1305-2, red) was stained at 1/100 dilution overnight at +4℃. Goat Anti-Mouse IgG H&L (iFluor™ 594, HA1126) was used as the secondary antibody at 1/1,000 dilution.
quantity: 100μl
price: 649.00 USD
to the supplier
HLA-ABC (MHC I)
HUABIO
catalog: HA751435
domestic rabbit monoclonal (PSH12-02)
reactivity:
human
,
mouse
,
rat
application:
western blot
,
immunohistochemistry - paraffin section
Western blot analysis of HLA-ABC (MHC I) on different lysates with Rabbit anti-HLA-ABC (MHC I) antibody (HA751435) at 1/5,000 dilution. Lane 1: Raji cell lysate (20 µg/Lane) Lane 2: THP-1 cell lysate (20 µg/Lane) Lane 3: Jurkat cell lysate (20 µg/Lane) Lane 4: HL-60 cell lysate (20 µg/Lane) Lane 5: HepG2 cell lysate (20 µg/Lane) Lane 6: Ramos cell lysate (20 µg/Lane) Lane 7: Mouse spleen tissue lysate (40 µg/Lane) Lane 8: Mouse lung tissue lysate (40 µg/Lane) Lane 9: Rat spleen tissue lysate (40 µg/Lane) Lane 10: Rat lung tissue lysate (40 µg/Lane) Predicted band size: 40 kDa Observed band size: 45 kDa Exposure time: 10 seconds; ECL: K1801; 4-20% SDS-PAGE gel. Proteins were transferred to a PVDF membrane and blocked with 5% NFDM/TBST for 1 hour at room temperature. The primary antibody (HA751435) at 1/5,000 dilution was used in 5% NFDM/TBST at 4℃ overnight. Goat Anti-Rabbit IgG - HRP Secondary Antibody (HA1001) at 1/50,000 dilution was used for 1 hour at room temperature.
Immunocytochemistry analysis of Jurkat cells labeling HLA-ABC (MHC I) with Rabbit anti-HLA-ABC (MHC I) antibody (HA751435) at 1/100 dilution. Cells were fixed in 4% paraformaldehyde for 15 minutes at room temperature, permeabilized with 0.1% Triton X-100 in PBS for 15 minutes at room temperature, then blocked with 1% BSA in 10% negative goat serum for 1 hour at room temperature. Cells were then incubated with Rabbit anti-HLA-ABC (MHC I) antibody (HA751435) at 1/100 dilution in 1% BSA in PBST overnight at 4 ℃. Goat Anti-Rabbit IgG H&L (iFluor™ 488, HA1121) was used as the secondary antibody at 1/1,000 dilution. PBS instead of the primary antibody was used as the secondary antibody only control. Nuclear DNA was labelled in blue with DAPI. Beta tubulin (HA601187, red) was stained at 1/100 dilution overnight at +4℃. Goat Anti-Mouse IgG H&L (iFluor™ 594, HA1126) was used as the secondary antibody at 1/1,000 dilution.
Immunocytochemistry analysis of Raji cells labeling HLA-ABC (MHC I) with Rabbit anti-HLA-ABC (MHC I) antibody (HA751435) at 1/100 dilution. Cells were fixed in 4% paraformaldehyde for 15 minutes at room temperature, permeabilized with 0.1% Triton X-100 in PBS for 15 minutes at room temperature, then blocked with 1% BSA in 10% negative goat serum for 1 hour at room temperature. Cells were then incubated with Rabbit anti-HLA-ABC (MHC I) antibody (HA751435) at 1/100 dilution in 1% BSA in PBST overnight at 4 ℃. Goat Anti-Rabbit IgG H&L (iFluor™ 488, HA1121) was used as the secondary antibody at 1/1,000 dilution. PBS instead of the primary antibody was used as the secondary antibody only control. Nuclear DNA was labelled in blue with DAPI. Beta tubulin (HA601187, red) was stained at 1/100 dilution overnight at +4℃. Goat Anti-Mouse IgG H&L (iFluor™ 594, HA1126) was used as the secondary antibody at 1/1,000 dilution.
quantity: 100μl
price: 649.00 USD
to the supplier
MHC class I
HUABIO
catalog: IRS171RB
domestic rabbit monoclonal
reactivity:
human
mIHC analysis of human tonsil tissue (Formalin/PFA-fixed paraffin-embedded sections) with Rabbit anti-MHC class I antibody (IRS171RB) at 1/100 dilution. The immunostaining was performed with the IRISKitCmTSA Kit (900808). Heat mediated antigen retrieval with Tris-EDTA buffer (pH 9.0) for 30 mins at 95℃. DAPI (blue) was used as a nuclear counter stain. Image acquisition was performed with Olympus VS200 Slide Scanner.
quantity: 50T
price: 278.00 USD
to the supplier
HLA Class 1 ABC
HUABIO
catalog: R1601-11
domestic rabbit polyclonal
reactivity:
human
application:
western blot
,
flow cytometry
,
immunohistochemistry - paraffin section
Western blot analysis of HLA Class 1 ABC on Hela cell lysate using anti-HLA Class 1 ABC antibody at 1/1,000 dilution.
Immunohistochemical analysis of paraffin-embedded human colon cancer tissue using anti-HLA Class 1 ABC antibody. Counter stained with hematoxylin.
Immunohistochemical analysis of paraffin-embedded human prostate tissue using anti-HLA Class 1 ABC antibody. Counter stained with hematoxylin.
quantity: 100μl
price: 330 USD
to the supplier