Sign in
Sign up
home
>
HUABIO
> HUABIO ACACA antibody
Acetyl CoA Carboxylase 1 (ACC1)
HUABIO
catalog: ET1609-77
domestic rabbit monoclonal (ST53-08)
reactivity:
human
,
mouse
,
rat
application:
western blot
,
immunohistochemistry - paraffin section
Western blot analysis of Acetyl CoA Carboxylase 1 (ACC1) on different lysates with Rabbit anti-Acetyl CoA Carboxylase 1 (ACC1) antibody (ET1609-77) at 1/2,000 dilution. Lane 1: HeLa cell lysate (20 µg/Lane) Lane 2: HepG2 cell lysate (20 µg/Lane) Lane 3: HEK-293 cell lysate (20 µg/Lane) Lane 4: A549 cell lysate (20 µg/Lane) Lane 5: C2C12 cell lysate (20 µg/Lane) Lane 6: RAW264.7 cell lysate (20 µg/Lane) Lane 7: C6 cell lysate (20 µg/Lane) Predicted band size: 266 kDa Observed band size: 250/266 kDa Exposure time: 43 seconds; 4-20% SDS-PAGE gel. Proteins were transferred to a PVDF membrane and blocked with 5% NFDM/TBST for 1 hour at room temperature. The primary antibody (ET1609-77) at 1/2,000 dilution was used in 5% NFDM/TBST at 4℃ overnight. Goat Anti-Rabbit IgG - HRP Secondary Antibody (HA1001) at 1/50,000 dilution was used for 1 hour at room temperature.
Western blot analysis of Acetyl CoA Carboxylase 1 (ACC1) on different lysates with Rabbit anti-Acetyl CoA Carboxylase 1 (ACC1) antibody (ET1609-77) at 1/1,000 dilution. Lane 1: HepG2-si NT cell lysate Lane 2: HepG2-si ACC1 cell lysate Lysates/proteins at 15 µg/Lane. Predicted band size: 266 kDa Observed band size: 250/266 kDa Exposure time: 25 seconds; 4-20% SDS-PAGE gel. Proteins were transferred to a PVDF membrane and blocked with 5% NFDM/TBST for 1 hour at room temperature. The primary antibody (ET1609-77) at 1/1,000 dilution was used in 5% NFDM/TBST at 4℃ overnight. Goat Anti-Rabbit IgG - HRP Secondary Antibody (HA1001) at 1/50,000 dilution was used for 1 hour at room temperature.
Immunohistochemical analysis of paraffin-embedded human kidney tissue with Rabbit anti-Acetyl CoA Carboxylase 1 (ACC1) antibody (ET1609-77) at 1/100 dilution. The section was pre-treated using heat mediated antigen retrieval with Tris-EDTA buffer (pH 9.0) for 20 minutes. The tissues were blocked in 1% BSA for 20 minutes at room temperature, washed with ddH2O and PBS, and then probed with the primary antibody (ET1609-77) at 1/100 dilution for 1 hour at room temperature. The detection was performed using an HRP conjugated compact polymer system. DAB was used as the chromogen. Tissues were counterstained with hematoxylin and mounted with DPX.
quantity: 100μl
price: 385.00 USD
to the supplier
Phospho-Acetyl Coenzyme A Carboxylase (S79)
HUABIO
catalog: HA721516
domestic rabbit monoclonal (JE55-54)
reactivity:
human
,
mouse
,
rat
application:
western blot
Western blot analysis of Phospho-Acetyl Coenzyme A Carboxylase (S79) on different lysates with Rabbit anti-Phospho-Acetyl Coenzyme A Carboxylase (S79) antibody (HA721516) at 1/1,000 dilution. Lane 1: SH-SY5Y whole cell lysate Lane 2: SH-SY5Y treated with 0.5μM Oligomycin for 30 minutes whole cell lysate Lane 3: SH-SY5Y treated with λpp for 1 hour whole cell lysate Lane 4: SH-SY5Y treated with 0.5μM Oligomycin for 30 minutes then treated with λpp for 1 hour whole cell lysate Lysates/proteins at 20 µg/Lane. Predicted band size: 277 kDa Observed band size: 277 kDa Exposure time: 1 minute; 4-20% SDS-PAGE gel. Proteins were transferred to a PVDF membrane and blocked with 5% NFDM/TBST for 1 hour at room temperature. The primary antibody (HA721516) at 1/1,000 dilution was used in 5% NFDM/TBST at room temperature for 2 hours. Goat Anti-Rabbit IgG - HRP Secondary Antibody (HA1001) at 1:100,000 dilution was used for 1 hour at room temperature.
quantity: 100μl
price: 385.00 USD
to the supplier
Phospho-Acetyl Coenzyme A Carboxylase (S79)
HUABIO
catalog: HA721714
domestic rabbit monoclonal (JE63-95)
reactivity:
human
,
mouse
,
rat
application:
western blot
Western blot analysis of Phospho-Acetyl Coenzyme A Carboxylase (S79) on different lysates with Rabbit anti-Phospho-Acetyl Coenzyme A Carboxylase (S79) antibody (HA721714) at 1/2,000 dilution. Lane 1: NIH/3T3 cell lysate Lane 2: NIH/3T3 treated with 0.5μM Oligomycin for 30 minutes cell lysate Lane 3: NIH/3T3 treated with 0.5μM Oligomycin for 30 minutes then treated with λpp for 1 hour cell lysate Lysates/proteins at 20 µg/Lane. Predicted band size: 265 kDa Observed band size: 265 kDa Exposure time: 1 minutes 14 seconds; 4-20% SDS-PAGE gel. Proteins were transferred to a PVDF membrane and blocked with 5% NFDM/TBST for 1 hour at room temperature. The primary antibody (HA721714) at 1/2,000 dilution was used in 5% NFDM/TBST at 4℃ overnight. Goat Anti-Rabbit IgG - HRP Secondary Antibody (HA1001) at 1/50,000 dilution was used for 1 hour at room temperature.
quantity: 100μl
price: 385.00 USD
to the supplier
Phospho-Acetyl Coenzyme A Carboxylase (S79)
HUABIO
catalog: HA722801
domestic rabbit monoclonal (PSH07-13)
reactivity:
human
,
mouse
,
rat
application:
western blot
,
immunohistochemistry - paraffin section
Western blot analysis of Phospho-Acetyl Coenzyme A Carboxylase (S79) on different lysates with Rabbit anti-Phospho-Acetyl Coenzyme A Carboxylase (S79) antibody (HA722801) at 1/2,000 dilution. Lane 1: SH-SY5Y cell lysate (20 µg/Lane) Lane 2: SH-SY5Y treated with 200nM Calyculin A and 1μM Okadaic Acid for 1 hour cell lysate (20 µg/Lane) Lane 3: RAW264.7 cell lysate (20 µg/Lane) Lane 4: RAW264.7 treated with 200nM Calyculin A and 1μM Okadaic Acid for 1 hour cell lysate (20 µg/Lane) Lane 5: C6 cell lysate (20 µg/Lane) Lane 6: C6 treated with 100nM Calyculin A for 30 minutes cell lysate (20 µg/Lane) Predicted band size: 266 kDa Observed band size: 266 kDa Exposure time: 30 seconds; ECL: K1801; 4-20% SDS-PAGE gel. Proteins were transferred to a PVDF membrane and blocked with 5% NFDM/TBST for 1 hour at room temperature. The primary antibody (HA722801) at 1/2,000 dilution was used in 5% NFDM/TBST at 4℃ overnight. Goat Anti-Rabbit IgG - HRP Secondary Antibody (HA1001) at 1/50,000 dilution was used for 1 hour at room temperature.
Immunocytochemistry analysis of PC-12 cells labeling Phospho-Acetyl Coenzyme A Carboxylase (S79) with Rabbit anti-Phospho-Acetyl Coenzyme A Carboxylase (S79) antibody (HA722801) at 1/50 dilution. Cells were fixed in 4% paraformaldehyde for 20 minutes at room temperature, permeabilized with 0.1% Triton X-100 in PBS for 5 minutes at room temperature, then blocked with 1% BSA in 10% negative goat serum for 1 hour at room temperature. Cells were then incubated with Rabbit anti-Phospho-Acetyl Coenzyme A Carboxylase (S79) antibody (HA722801) at 1/50 dilution in 1% BSA in PBST overnight at 4 ℃. Goat Anti-Rabbit IgG H&L (iFluor™ 488, HA1121) was used as the secondary antibody at 1/1,000 dilution. PBS instead of the primary antibody was used as the secondary antibody only control. Nuclear DNA was labelled in blue with DAPI. Beta tubulin (M1305-2, red) was stained at 1/100 dilution overnight at +4℃. Goat Anti-Mouse IgG H&L (iFluor™ 594, HA1126) was used as the secondary antibody at 1/1,000 dilution.
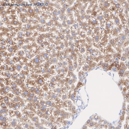
Immunohistochemical analysis of paraffin-embedded mouse liver tissue with Rabbit anti-Phospho-Acetyl Coenzyme A Carboxylase (S79) antibody (HA722801) at 1/200 dilution. The section was pre-treated using heat mediated antigen retrieval with Tris-EDTA buffer (pH 9.0) for 20 minutes. The tissues were blocked in 1% BSA for 20 minutes at room temperature, washed with ddH2O and PBS, and then probed with the primary antibody (HA722801) at 1/200 dilution for 1 hour at room temperature. The detection was performed using an HRP conjugated compact polymer system. DAB was used as the chromogen. Tissues were counterstained with hematoxylin and mounted with DPX.
quantity: 100μl
price: 385.00 USD
to the supplier
Acetyl CoA Carboxylase 1 (ACC1)
HUABIO
catalog: HA750195
domestic rabbit monoclonal (ST53-08)
reactivity:
human
,
mouse
,
rat
application:
western blot
,
immunohistochemistry - paraffin section
Western blot analysis of Acetyl CoA Carboxylase 1 (ACC1) on different lysates with Rabbit anti-Acetyl CoA Carboxylase 1 (ACC1) antibody (HA750195) at 1/2,000 dilution. Lane 1: HeLa cell lysate (20 µg/Lane) Lane 2: HepG2 cell lysate (20 µg/Lane) Lane 3: HEK-293 cell lysate (20 µg/Lane) Lane 4: A549 cell lysate (20 µg/Lane) Lane 5: C2C12 cell lysate (20 µg/Lane) Lane 6: RAW264.7 cell lysate (20 µg/Lane) Lane 7: C6 cell lysate (20 µg/Lane) Predicted band size: 266 kDa Observed band size: 250/266 kDa Exposure time: 43 seconds; 4-20% SDS-PAGE gel. Proteins were transferred to a PVDF membrane and blocked with 5% NFDM/TBST for 1 hour at room temperature. The primary antibody (HA750195) at 1/2,000 dilution was used in 5% NFDM/TBST at 4℃ overnight. Goat Anti-Rabbit IgG - HRP Secondary Antibody (HA1001) at 1/50,000 dilution was used for 1 hour at room temperature.
Western blot analysis of Acetyl CoA Carboxylase 1 (ACC1) on different lysates with Rabbit anti-Acetyl CoA Carboxylase 1 (ACC1) antibody (HA750195) at 1/1,000 dilution. Lane 1: HepG2-si NT cell lysate Lane 2: HepG2-si ACC1 cell lysate Lysates/proteins at 15 µg/Lane. Predicted band size: 266 kDa Observed band size: 250/266 kDa Exposure time: 25 seconds; 4-20% SDS-PAGE gel. Proteins were transferred to a PVDF membrane and blocked with 5% NFDM/TBST for 1 hour at room temperature. The primary antibody (HA750195) at 1/1,000 dilution was used in 5% NFDM/TBST at 4℃ overnight. Goat Anti-Rabbit IgG - HRP Secondary Antibody (HA1001) at 1/50,000 dilution was used for 1 hour at room temperature.
Immunohistochemical analysis of paraffin-embedded human kidney tissue with Rabbit anti-Acetyl CoA Carboxylase 1 (ACC1) antibody (HA750195) at 1/100 dilution. The section was pre-treated using heat mediated antigen retrieval with Tris-EDTA buffer (pH 9.0) for 20 minutes. The tissues were blocked in 1% BSA for 20 minutes at room temperature, washed with ddH2O and PBS, and then probed with the primary antibody (HA750195) at 1/100 dilution for 1 hour at room temperature. The detection was performed using an HRP conjugated compact polymer system. DAB was used as the chromogen. Tissues were counterstained with hematoxylin and mounted with DPX.
quantity: 100μl
price: 649.00 USD
to the supplier
Phospho-Acetyl Coenzyme A Carboxylase (S79)
HUABIO
catalog: HA751134
domestic rabbit monoclonal (PSH07-13)
reactivity:
human
,
mouse
,
rat
application:
western blot
,
immunohistochemistry - paraffin section
Western blot analysis of Phospho-Acetyl Coenzyme A Carboxylase (S79) on different lysates with Rabbit anti-Phospho-Acetyl Coenzyme A Carboxylase (S79) antibody (HA751134) at 1/2,000 dilution. Lane 1: SH-SY5Y cell lysate (20 µg/Lane) Lane 2: SH-SY5Y treated with 200nM Calyculin A and 1μM Okadaic Acid for 1 hour cell lysate (20 µg/Lane) Lane 3: RAW264.7 cell lysate (20 µg/Lane) Lane 4: RAW264.7 treated with 200nM Calyculin A and 1μM Okadaic Acid for 1 hour cell lysate (20 µg/Lane) Lane 5: C6 cell lysate (20 µg/Lane) Lane 6: C6 treated with 100nM Calyculin A for 30 minutes cell lysate (20 µg/Lane) Predicted band size: 266 kDa Observed band size: 266 kDa Exposure time: 30 seconds; ECL: K1801; 4-20% SDS-PAGE gel. Proteins were transferred to a PVDF membrane and blocked with 5% NFDM/TBST for 1 hour at room temperature. The primary antibody (HA751134) at 1/2,000 dilution was used in 5% NFDM/TBST at 4℃ overnight. Goat Anti-Rabbit IgG - HRP Secondary Antibody (HA1001) at 1/50,000 dilution was used for 1 hour at room temperature.
Immunocytochemistry analysis of PC-12 cells labeling Phospho-Acetyl Coenzyme A Carboxylase (S79) with Rabbit anti-Phospho-Acetyl Coenzyme A Carboxylase (S79) antibody (HA751134) at 1/50 dilution. Cells were fixed in 4% paraformaldehyde for 20 minutes at room temperature, permeabilized with 0.1% Triton X-100 in PBS for 5 minutes at room temperature, then blocked with 1% BSA in 10% negative goat serum for 1 hour at room temperature. Cells were then incubated with Rabbit anti-Phospho-Acetyl Coenzyme A Carboxylase (S79) antibody (HA751134) at 1/50 dilution in 1% BSA in PBST overnight at 4 ℃. Goat Anti-Rabbit IgG H&L (iFluor™ 488, HA1121) was used as the secondary antibody at 1/1,000 dilution. PBS instead of the primary antibody was used as the secondary antibody only control. Nuclear DNA was labelled in blue with DAPI. Beta tubulin (M1305-2, red) was stained at 1/100 dilution overnight at +4℃. Goat Anti-Mouse IgG H&L (iFluor™ 594, HA1126) was used as the secondary antibody at 1/1,000 dilution.
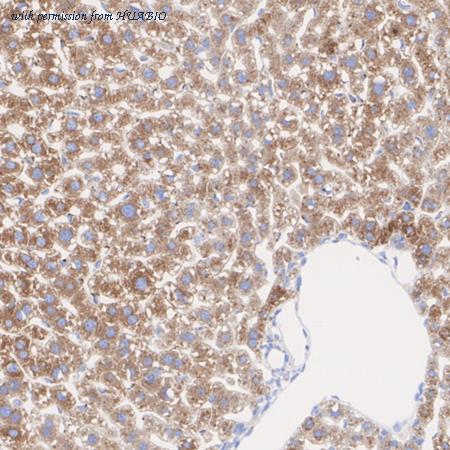
Immunohistochemical analysis of paraffin-embedded mouse liver tissue with Rabbit anti-Phospho-Acetyl Coenzyme A Carboxylase (S79) antibody (HA751134) at 1/200 dilution. The section was pre-treated using heat mediated antigen retrieval with Tris-EDTA buffer (pH 9.0) for 20 minutes. The tissues were blocked in 1% BSA for 20 minutes at room temperature, washed with ddH2O and PBS, and then probed with the primary antibody (HA751134) at 1/200 dilution for 1 hour at room temperature. The detection was performed using an HRP conjugated compact polymer system. DAB was used as the chromogen. Tissues were counterstained with hematoxylin and mounted with DPX.
quantity: 100μl
price: 649.00 USD
to the supplier