mouse monoclonal (A1F7)
reactivity: human, mouse, rat
application: western blot, flow cytometry, immunohistochemistry - paraffin section
reactivity: human, mouse, rat
application: western blot, flow cytometry, immunohistochemistry - paraffin section

Western blot analysis of Annexin A3 on different lysates with Mouse anti-Annexin A3 antibody (EM1901-73) at 1/2,000 dilution. Lane 1: A431 cell lysate (20 µg/Lane) Lane 2: HEK-293 cell lysate (20 µg/Lane) Lane 3: HepG2 cell lysate (20 µg/Lane) Lane 4: HeLa cell lysate (20 µg/Lane) Lane 5: HT-29 cell lysate (20 µg/Lane) Lane 6: A375 cell lysate (20 µg/Lane) Lane 7: MCF7 cell lysate (20 µg/Lane) Lane 8: Human lung tissue lysate (40 µg/Lane) Lane 9: Mouse lung tissue lysate (40 µg/Lane) Lane 10: Mouse testis tissue lysate (40 µg/Lane) Lane 11: Rat testis tissue lysate (40 µg/Lane) Predicted band size: 36 kDa Observed band size: 33/36 kDa Exposure time: 9 seconds; 4-20% SDS-PAGE gel. Proteins were transferred to a PVDF membrane and blocked with 5% NFDM/TBST for 1 hour at room temperature. The primary antibody (EM1901-73) at 1/2,000 dilution was used in 5% NFDM/TBST at 4℃ overnight. Goat Anti-Mouse IgG - HRP Secondary Antibody (HA1006) at 1/50,000 dilution was used for 1 hour at room temperature.

ICC staining of Annexin A3 in HT-29 cells (green). Formalin fixed cells were permeabilized with 0.1% Triton X-100 in TBS for 10 minutes at room temperature and blocked with 1% Blocker BSA for 15 minutes at room temperature. Cells were probed with the primary antibody (EM1901-73, 1/50) for 1 hour at room temperature, washed with PBS. Alexa Fluor®488 Goat anti-Mouse IgG was used as the secondary antibody at 1/1,000 dilution. The nuclear counter stain is DAPI (blue).

ICC staining of Annexin A3 in SiHa cells (green). Formalin fixed cells were permeabilized with 0.1% Triton X-100 in TBS for 10 minutes at room temperature and blocked with 1% Blocker BSA for 15 minutes at room temperature. Cells were probed with the primary antibody (EM1901-73, 1/50) for 1 hour at room temperature, washed with PBS. Alexa Fluor®488 Goat anti-Mouse IgG was used as the secondary antibody at 1/1,000 dilution. The nuclear counter stain is DAPI (blue).
quantity: 100μl
price: 360.00 USD
to the supplier
domestic rabbit polyclonal
reactivity: human, mouse, rat
application: western blot, flow cytometry, immunohistochemistry - paraffin section
reactivity: human, mouse, rat
application: western blot, flow cytometry, immunohistochemistry - paraffin section

Western blot analysis of Annexin A3 on different lysates using anti-Annexin A3 antibody at 1/1,000 dilution. Positive control: Lane 1: Siha Lane 2: Hela Lane 3: Rat spleen tissue Lane 4: Rat liver tissue Lane 5: Mouse lung tissue

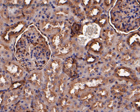
Immunohistochemical analysis of paraffin-embedded rat kidney tissue using anti-Annexin A3 antibody. Counter stained with hematoxylin.

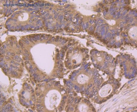
Immunohistochemical analysis of paraffin-embedded human colon cancer tissue using anti-Annexin A3 antibody. Counter stained with hematoxylin.
quantity: 100μl
price: 330 USD
to the supplier
mouse monoclonal (A1F7-R)
reactivity: human, mouse, rat
application: western blot
reactivity: human, mouse, rat
application: western blot

Western blot analysis of Annexin A3 on different lysates with Mouse anti-Annexin A3 antibody (HA601303) at 1/2,000 dilution. Lane 1: A431 cell lysate (20 µg/Lane) Lane 2: HEK-293 cell lysate (20 µg/Lane) Lane 3: HepG2 cell lysate (20 µg/Lane) Lane 4: HeLa cell lysate (20 µg/Lane) Lane 5: HT-29 cell lysate (20 µg/Lane) Lane 6: MCF7 cell lysate (20 µg/Lane) Lane 7: Human lung tissue lysate (40 µg/Lane) Lane 8: Mouse lung tissue lysate (40 µg/Lane) Predicted band size: 36 kDa Observed band size: 33/36 kDa Exposure time: 12 seconds; 4-20% SDS-PAGE gel. Proteins were transferred to a PVDF membrane and blocked with 5% NFDM/TBST for 1 hour at room temperature. The primary antibody (HA601303) at 1/2,000 dilution was used in 5% NFDM/TBST at 4℃ overnight. Goat Anti-Mouse IgG - HRP Secondary Antibody (HA1006) at 1/50,000 dilution was used for 1 hour at room temperature.
quantity: 100μl
price: 360.00 USD
to the supplier
mouse monoclonal (A1F7-R)
reactivity: human, mouse, rat
application: western blot
reactivity: human, mouse, rat
application: western blot

Western blot analysis of Annexin A3 on different lysates with Mouse anti-Annexin A3 antibody (HA610176) at 1/2,000 dilution. Lane 1: A431 cell lysate (20 µg/Lane) Lane 2: HEK-293 cell lysate (20 µg/Lane) Lane 3: HepG2 cell lysate (20 µg/Lane) Lane 4: HeLa cell lysate (20 µg/Lane) Lane 5: HT-29 cell lysate (20 µg/Lane) Lane 6: MCF7 cell lysate (20 µg/Lane) Lane 7: Human lung tissue lysate (40 µg/Lane) Lane 8: Mouse lung tissue lysate (40 µg/Lane) Predicted band size: 36 kDa Observed band size: 33/36 kDa Exposure time: 12 seconds; 4-20% SDS-PAGE gel. Proteins were transferred to a PVDF membrane and blocked with 5% NFDM/TBST for 1 hour at room temperature. The primary antibody (HA610176) at 1/2,000 dilution was used in 5% NFDM/TBST at 4℃ overnight. Goat Anti-Mouse IgG - HRP Secondary Antibody (HA1006) at 1/50,000 dilution was used for 1 hour at room temperature.
quantity: 100μg
price: 649.00 USD
to the supplier
