Sign in
Sign up
home
>
HUABIO
> HUABIO H2BC3 antibody
Histone H2B (mono methyl R79)
HUABIO
catalog: ET1609-9
domestic rabbit monoclonal (ST0430)
reactivity:
human
,
mouse
,
rat
application:
immunohistochemistry - paraffin section
Immunohistochemical analysis of paraffin-embedded mouse colon tissue with Rabbit anti-Histone H2B (mono methyl R79) antibody (ET1609-9) at 1/50 dilution. The section was pre-treated using heat mediated antigen retrieval with Tris-EDTA buffer (pH 9.0) for 20 minutes. The tissues were blocked in 1% BSA for 20 minutes at room temperature, washed with ddH2O and PBS, and then probed with the primary antibody (ET1609-9) at 1/50 dilution for 1 hour at room temperature. The detection was performed using an HRP conjugated compact polymer system. DAB was used as the chromogen. Tissues were counterstained with hematoxylin and mounted with DPX.
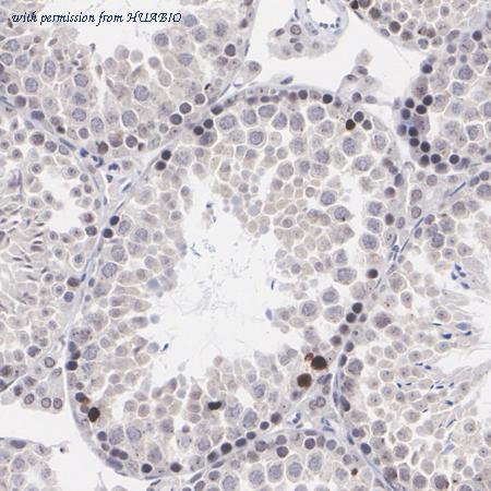
Immunohistochemical analysis of paraffin-embedded mouse testis tissue with Rabbit anti-Histone H2B (mono methyl R79) antibody (ET1609-9) at 1/50 dilution. The section was pre-treated using heat mediated antigen retrieval with Tris-EDTA buffer (pH 9.0) for 20 minutes. The tissues were blocked in 1% BSA for 20 minutes at room temperature, washed with ddH2O and PBS, and then probed with the primary antibody (ET1609-9) at 1/50 dilution for 1 hour at room temperature. The detection was performed using an HRP conjugated compact polymer system. DAB was used as the chromogen. Tissues were counterstained with hematoxylin and mounted with DPX.
Immunohistochemical analysis of paraffin-embedded rat colon tissue with Rabbit anti-Histone H2B (mono methyl R79) antibody (ET1609-9) at 1/50 dilution. The section was pre-treated using heat mediated antigen retrieval with Tris-EDTA buffer (pH 9.0) for 20 minutes. The tissues were blocked in 1% BSA for 20 minutes at room temperature, washed with ddH2O and PBS, and then probed with the primary antibody (ET1609-9) at 1/50 dilution for 1 hour at room temperature. The detection was performed using an HRP conjugated compact polymer system. DAB was used as the chromogen. Tissues were counterstained with hematoxylin and mounted with DPX.
quantity: 100μl
price: 385.00 USD
to the supplier
Histone H2B (acetyl K20)
HUABIO
catalog: ET1611-48
domestic rabbit monoclonal (SN72-09)
reactivity:
human
,
mouse
,
rat
application:
western blot
,
immunoprecipitation
,
flow cytometry
,
chromatin immunoprecipitation
,
immunohistochemistry - paraffin section
ICC staining Histone H2B(acetyl K20) (1/500) in SW480 cells (green). The nuclear counter stain is DAPI (blue). Cells were fixed in paraformaldehyde, permeabilised with 0.25% Triton X100/PBS.
ICC staining Histone H2B(acetyl K20) (1/50) in Hela cells (green). The nuclear counter stain is DAPI (blue). Cells were fixed in paraformaldehyde, permeabilised with 0.25% Triton X100/PBS.
ICC staining Histone H2B(acetyl K20) (1/200) in MCF-7 cells (green). The nuclear counter stain is DAPI (blue). Cells were fixed in paraformaldehyde, permeabilised with 0.25% Triton X100/PBS.
quantity: 100μl
price: 385.00 USD
to the supplier
Histone H2B
HUABIO
catalog: ET1612-25
domestic rabbit monoclonal (SD20-63)
reactivity:
human
,
mouse
,
rat
application:
western blot
,
immunoprecipitation
,
chromatin immunoprecipitation
,
immunohistochemistry - paraffin section
Western blot analysis of Histone H2B on different lysates. Proteins were transferred to a PVDF membrane and blocked with 5% BSA in PBS for 1 hour at room temperature. The primary antibody (ET1612-25, 1/500) was used in 5% BSA at room temperature for 2 hours. Goat Anti-Rabbit IgG - HRP Secondary Antibody (HA1001) at 1:5,000 dilution was used for 1 hour at room temperature. Positive control: Lane 1: Hela cell lysate Lane 2: PC-12 cell lysate
Immunohistochemical analysis of paraffin-embedded human tonsil tissue using anti-Histone H2B antibody. The section was pre-treated using heat mediated antigen retrieval with Tris-EDTA buffer (pH 8.0-8.4) for 20 minutes.The tissues were blocked in 5% BSA for 30 minutes at room temperature, washed with ddH2O and PBS, and then probed with the primary antibody (ET1612-25, 1/50) for 30 minutes at room temperature. The detection was performed using an HRP conjugated compact polymer system. DAB was used as the chromogen. Tissues were counterstained with hematoxylin and mounted with DPX.
Immunohistochemical analysis of paraffin-embedded human liver tissue with Rabbit anti-Histone H2B antibody (ET1612-25) at 1/5,000 dilution. The section was pre-treated using heat mediated antigen retrieval with sodium citrate buffer (pH 6.0) (high pressure) for 2 minutes. The tissues were blocked in 1% BSA for 20 minutes at room temperature, washed with ddH2O and PBS, and then probed with the primary antibody (ET1612-25) at 1/5,000 dilution for 1 hour at room temperature. The detection was performed using an HRP conjugated compact polymer system. DAB was used as the chromogen. Tissues were counterstained with hematoxylin and mounted with DPX.
quantity: 100μl
price: 385.00 USD
to the supplier
Histone H2B
HUABIO
catalog: HA500381
domestic rabbit polyclonal
reactivity:
human
,
mouse
,
rat
,
zebrafish
application:
western blot
,
immunohistochemistry - paraffin section
Western blot analysis of Histone H2B on different lysates with Rabbit anti-Histone H2B antibody (HA500381) at 1/2,000 dilution. Lane 1: MCF-7 cell lysate (10 µg/Lane) Lane 2: Hela cell lysate (10 µg/Lane) Lane 3: A549 cell lysate (10 µg/Lane) Lane 4: 293T cell lysate (10 µg/Lane) Lane 5: THP-1 cell lysate (10 µg/Lane) Lane 6: K562 cell lysate (10 µg/Lane) Lane 7: HL-60 cell lysate (10 µg/Lane) Lane 8: NIH/3T3 cell lysate (10 µg/Lane) Lane 9: Zebrafish tissue lysate (20 µg/Lane) Lane 10: PC-12 cell lysate (10 µg/Lane) Lane 11: RAW264.7 cell lysate (10 µg/Lane) Predicted band size: 14 kDa Observed band size: 14 kDa Exposure time: 1 minute; 15% SDS-PAGE gel. Proteins were transferred to a PVDF membrane and blocked with 5% NFDM/TBST for 1 hour at room temperature. The primary antibody (HA500381) at 1/2,000 dilution was used in 5% NFDM/TBST at room temperature for 2 hours. Goat Anti-Rabbit IgG - HRP Secondary Antibody (HA1001) at 1:300,000 dilution was used for 1 hour at room temperature.
Immunohistochemical analysis of paraffin-embedded rat large intestine tissue with Rabbit anti-Histone H2B antibody (HA500381) at 1/3,400 dilution. The section was pre-treated using heat mediated antigen retrieval with sodium citrate buffer (pH 6.0) (high pressure) for 2 minutes. The tissues were blocked in 1% BSA for 20 minutes at room temperature, washed with ddH2O and PBS, and then probed with the primary antibody (HA500381) at 1/3,400 dilution for 1 hour at room temperature. The detection was performed using an HRP conjugated compact polymer system. DAB was used as the chromogen. Tissues were counterstained with hematoxylin and mounted with DPX.
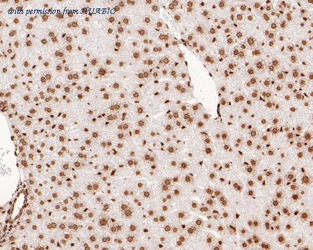
Immunohistochemical analysis of paraffin-embedded rat liver tissue with Rabbit anti-Histone H2B antibody (HA500381) at 1/3,400 dilution. The section was pre-treated using heat mediated antigen retrieval with sodium citrate buffer (pH 6.0) (high pressure) for 2 minutes. The tissues were blocked in 1% BSA for 20 minutes at room temperature, washed with ddH2O and PBS, and then probed with the primary antibody (HA500381) at 1/3,400 dilution for 1 hour at room temperature. The detection was performed using an HRP conjugated compact polymer system. DAB was used as the chromogen. Tissues were counterstained with hematoxylin and mounted with DPX.
quantity: 100μl
price: 330 USD
to the supplier
Histone H2B (acetyl K20)
HUABIO
catalog: HA721285
domestic rabbit monoclonal (PS01-46)
reactivity:
human
,
mouse
,
rat
application:
western blot
,
chromatin immunoprecipitation
,
immunohistochemistry - paraffin section
Western blot analysis of Histone H2B (acetyl K20) on different lysates with Rabbit anti-Histone H2B (acetyl K20) antibody (HA721285) at 1/1,000 dilution. Lane 1: Hela whole cell lysate (20 µg/Lane) Lane 2: Hela treated with 500 ng/ml TSA for 4 hours whole cell lysate (20 µg/Lane) Predicted band size: 14 kDa Observed band size: 14 kDa Exposure time: 2 minutes; 15% SDS-PAGE gel. Proteins were transferred to a PVDF membrane and blocked with 5% NFDM/TBST for 1 hour at room temperature. The primary antibody (HA721285) at 1/1,000 dilution was used in 5% NFDM/TBST at room temperature for 2 hours. Goat Anti-Rabbit IgG - HRP Secondary Antibody (HA1001) at 1/300,000 dilution was used for 1 hour at room temperature.
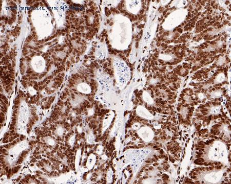
Immunohistochemical analysis of paraffin-embedded human colon carcinoma tissue with Rabbit anti-Histone H2B (acetyl K20) antibody (HA721285) at 1/1,000 dilution. The section was pre-treated using heat mediated antigen retrieval with sodium citrate buffer (pH 6.0) (high pressure) for 2 minutes. The tissues were blocked in 1% BSA for 20 minutes at room temperature, washed with ddH2O and PBS, and then probed with the primary antibody (HA721285) at 1/1,000 dilution for 1 hour at room temperature. The detection was performed using an HRP conjugated compact polymer system. DAB was used as the chromogen. Tissues were counterstained with hematoxylin and mounted with DPX.
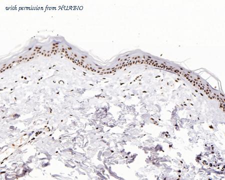
Immunohistochemical analysis of paraffin-embedded human skin tissue with Rabbit anti-Histone H2B (acetyl K20) antibody (HA721285) at 1/1,000 dilution. The section was pre-treated using heat mediated antigen retrieval with sodium citrate buffer (pH 6.0) (high pressure) for 2 minutes. The tissues were blocked in 1% BSA for 20 minutes at room temperature, washed with ddH2O and PBS, and then probed with the primary antibody (HA721285) at 1/1,000 dilution for 1 hour at room temperature. The detection was performed using an HRP conjugated compact polymer system. DAB was used as the chromogen. Tissues were counterstained with hematoxylin and mounted with DPX.
quantity: 100μl
price: 385.00 USD
to the supplier
Histone H2B
HUABIO
catalog: HA750287
domestic rabbit monoclonal (SD20-63)
reactivity:
human
,
mouse
,
rat
application:
western blot
,
immunoprecipitation
,
chromatin immunoprecipitation
,
immunohistochemistry - paraffin section
Western blot analysis of Histone H2B on different lysates. Proteins were transferred to a PVDF membrane and blocked with 5% BSA in PBS for 1 hour at room temperature. The primary antibody (HA750287, 1/500) was used in 5% BSA at room temperature for 2 hours. Goat Anti-Rabbit IgG - HRP Secondary Antibody (HA1001) at 1:5,000 dilution was used for 1 hour at room temperature. Positive control: Lane 1: Hela cell lysate Lane 2: PC-12 cell lysate
ICC staining of Histone H2B in A431 cells (green). Formalin fixed cells were permeabilized with 0.1% Triton X-100 in TBS for 10 minutes at room temperature and blocked with 1% Blocker BSA for 15 minutes at room temperature. Cells were probed with the primary antibody (HA750287, 1/50) for 1 hour at room temperature, washed with PBS. Alexa Fluor®488 Goat anti-Rabbit IgG was used as the secondary antibody at 1/1,000 dilution. The nuclear counter stain is DAPI (blue).
Immunohistochemical analysis of paraffin-embedded human tonsil tissue using anti-Histone H2B antibody. The section was pre-treated using heat mediated antigen retrieval with Tris-EDTA buffer (pH 8.0-8.4) for 20 minutes.The tissues were blocked in 5% BSA for 30 minutes at room temperature, washed with ddH2O and PBS, and then probed with the primary antibody (HA750287, 1/50) for 30 minutes at room temperature. The detection was performed using an HRP conjugated compact polymer system. DAB was used as the chromogen. Tissues were counterstained with hematoxylin and mounted with DPX.
quantity: 100μl
price: 649.00 USD
to the supplier
Histone H2B (acetyl K20)
HUABIO
catalog: HA750592
domestic rabbit monoclonal (PS01-46)
reactivity:
human
,
mouse
,
rat
application:
western blot
,
chromatin immunoprecipitation
,
immunohistochemistry - paraffin section
Western blot analysis of Histone H2B (acetyl K20) on different lysates with Rabbit anti-Histone H2B (acetyl K20) antibody (HA750592) at 1/1,000 dilution. Lane 1: Hela whole cell lysate (20 µg/Lane) Lane 2: Hela treated with 500 ng/ml TSA for 4 hours whole cell lysate (20 µg/Lane) Predicted band size: 14 kDa Observed band size: 14 kDa Exposure time: 2 minutes; 15% SDS-PAGE gel. Proteins were transferred to a PVDF membrane and blocked with 5% NFDM/TBST for 1 hour at room temperature. The primary antibody (HA750592) at 1/1,000 dilution was used in 5% NFDM/TBST at room temperature for 2 hours. Goat Anti-Rabbit IgG - HRP Secondary Antibody (HA1001) at 1/300,000 dilution was used for 1 hour at room temperature.
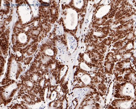
Immunohistochemical analysis of paraffin-embedded human colon carcinoma tissue with Rabbit anti-Histone H2B (acetyl K20) antibody (HA750592) at 1/1,000 dilution. The section was pre-treated using heat mediated antigen retrieval with sodium citrate buffer (pH 6.0) (high pressure) for 2 minutes. The tissues were blocked in 1% BSA for 20 minutes at room temperature, washed with ddH2O and PBS, and then probed with the primary antibody (HA750592) at 1/1,000 dilution for 1 hour at room temperature. The detection was performed using an HRP conjugated compact polymer system. DAB was used as the chromogen. Tissues were counterstained with hematoxylin and mounted with DPX.
Immunohistochemical analysis of paraffin-embedded human skin tissue with Rabbit anti-Histone H2B (acetyl K20) antibody (HA750592) at 1/1,000 dilution. The section was pre-treated using heat mediated antigen retrieval with sodium citrate buffer (pH 6.0) (high pressure) for 2 minutes. The tissues were blocked in 1% BSA for 20 minutes at room temperature, washed with ddH2O and PBS, and then probed with the primary antibody (HA750592) at 1/1,000 dilution for 1 hour at room temperature. The detection was performed using an HRP conjugated compact polymer system. DAB was used as the chromogen. Tissues were counterstained with hematoxylin and mounted with DPX.
quantity: 100μl
price: 649.00 USD
to the supplier