Sign in
Sign up
home
>
HUABIO
> HUABIO granzyme B antibody
Granzyme B
HUABIO
catalog: HA500252
domestic rabbit polyclonal
reactivity:
human
application:
immunohistochemistry - paraffin section
Fluorescence multiplex immunohistochemical analysis of human tonsil (Formalin/PFA-fixed paraffin-embedded sections). Panel A: the merged image of anti-CD14 (ET1610-85, Green), anti-CD21 (HA721163, Red) and anti-Granzyme B (HA500252, Yellow) on tonsil. HRP Conjugated UltraPolymer Goat Polyclonal Antibody HA1119/HA1120 was used as a secondary antibody. The immunostaining was performed with the Sequential Immuno-staining Kit (IRISKit™MH010101, www.luminiris.cn). The section was incubated in three rounds of staining: in the order of ET1610-85 (1/800 dilution), HA721163 (1/1,000 dilution) and HA500252 (1/200 dilution) for 20 mins at room temperature. Each round was followed by a separate fluorescent tyramide signal amplification system. Heat mediated antigen retrieval with Tris-EDTA buffer (pH 9.0) for 30 mins at 95℃. DAPI (blue) was used as a nuclear counter stain. Image acquisition was performed with Zeiss Observer 7 Inverted Fluorescence Microscope.
Fluorescence multiplex immunohistochemical analysis of tertiary lymphoid structures in human cervical cancer (Formalin/PFA-fixed paraffin-embedded sections). Panel A: the merged image of anti-Granzyme B (HA500252, magenta), anti-CD4 (ET1609-52, yellow) on tertiary lymphoid structures. Panel B: anti- Granzyme B stained on cytotoxic NK cells and dendritic cells. Panel C: anti-CD4 stained on helper T cells and Treg cells. HRP Conjugated UltraPolymer Goat Polyclonal Antibody HA1119/HA1120 was used as a secondary antibody. The immunostaining was performed with the Sequential Immuno-staining Kit (IRISKit™MH010101, www.luminiris.cn). The section was incubated in three rounds of staining: in the order of HA500252 (1/200 dilution), ET1609-52 (1/1,000 dilution) for 20 mins at room temperature. Each round was followed by a separate fluorescent tyramide signal amplification system. Heat mediated antigen retrieval with Tris-EDTA buffer (pH 9.0) for 30 mins at 95℃. DAPI (blue) was used as a nuclear counter stain. Image acquisition was performed with Olympus VS200 Slide Scanner.
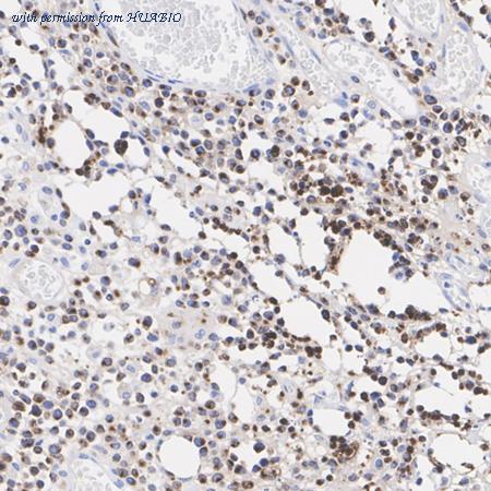
Immunohistochemical analysis of paraffin-embedded human spleen tissue using anti-Granzyme B antibody. The section was pre-treated using heat mediated antigen retrieval with Tris-EDTA buffer (pH 8.0-8.4) for 20 minutes.The tissues were blocked in 5% BSA for 30 minutes at room temperature, washed with ddH2O and PBS, and then probed with the primary antibody (HA500252, 1/400) for 30 minutes at room temperature. The detection was performed using an HRP conjugated compact polymer system. DAB was used as the chromogen. Tissues were counterstained with hematoxylin and mounted with DPX.
quantity: 100μl
price: 330 USD
to the supplier
Granzyme B
HUABIO
catalog: HA723664
domestic rabbit monoclonal (PSH14-66)
reactivity:
human
,
mouse
application:
western blot
,
immunohistochemistry - paraffin section
Western blot analysis of Granzyme B on different lysates with Rabbit anti-Granzyme B antibody (HA723664) at 1/100,000 dilution. Lane 1: NK-92 cell lysate (20 µg/Lane) Lane 2: K-562 cell lysate (negative) (20 µg/Lane) Lane 3: CTLL-2 cell lysate (20 µg/Lane) Lane 4: C2C12 cell lysate (negative) (20 µg/Lane) Predicted band size: 28 kDa Observed band size: 30 kDa Exposure time: 2 seconds; ECL: K1801; 4-20% SDS-PAGE gel. Proteins were transferred to a PVDF membrane and blocked with 5% NFDM/TBST for 1 hour at room temperature. The primary antibody (HA723664) at 1/100,000 dilution was used in primary antibody dilution (K1803) at 4℃ overnight. Goat Anti-Rabbit IgG - HRP Secondary Antibody (HA1001) at 1/50,000 dilution was used for 1 hour at room temperature.
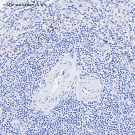
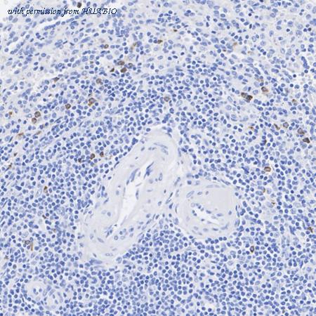
Immunohistochemical analysis of paraffin-embedded human NK/T-cell lymphoma tissue with Rabbit anti-Granzyme B antibody (HA723664) at 1/5,000 dilution. The section was pre-treated using heat mediated antigen retrieval with Tris-EDTA buffer (pH 9.0) for 20 minutes. The tissues were blocked in 1% BSA for 20 minutes at room temperature, washed with ddH2O and PBS, and then probed with the primary antibody (HA723664) at 1/5,000 dilution for 1 hour at room temperature. The detection was performed using an HRP conjugated compact polymer system. DAB was used as the chromogen. Tissues were counterstained with hematoxylin and mounted with DPX.
Immunohistochemical analysis of paraffin-embedded human spleen tissue with Rabbit anti-Granzyme B antibody (HA723664) at 1/500 dilution. The section was pre-treated using heat mediated antigen retrieval with Tris-EDTA buffer (pH 9.0) for 20 minutes. The tissues were blocked in 1% BSA for 20 minutes at room temperature, washed with ddH2O and PBS, and then probed with the primary antibody (HA723664) at 1/500 dilution for 1 hour at room temperature. The detection was performed using an HRP conjugated compact polymer system. DAB was used as the chromogen. Tissues were counterstained with hematoxylin and mounted with DPX.
quantity: 100μl
price: 385.00 USD
to the supplier
Human Granzyme B
HUABIO
catalog: HA723803
domestic rabbit monoclonal (PSH15-98)
reactivity:
human
application:
ELISA
Sandwich ELISA analysis of Human Granzyme B matched pair antibodies Capture: HA723803, Human Granzyme B Rabbit mAb [PSH15-98] Detector: HA723804, Human Granzyme B Rabbit mAb [PSH15-99] Elisa assay was performed by coating wells of a 96-well plate with 50 µl per well of capture antibody (HA723803) diluted in carbonate/bicarbonate buffer, at a concentration of 5 µg/ml overnight at 4℃. Wells of the plate were washed, blocked with 150 µl 0.05% tween-20 1% BSA blocking buffer, and incubated with serial diluted Recombinant Human Granzyme B protein (HA211076) protein starting from 10,000 pg/ml to 0 pg/ml and detect antibody (HA723804, Biotin, 0.2 µg/ml) for 1 hour at 30℃ with shaking. Then the plate was washed and incubated with 50 µl per well of SA-HRP for 0.5 hour at 30℃ with shaking. Detection was performed using an Ultra TMB Substrate for 10 minutes at room temperature in the dark. The reaction was stopped with sulfuric acid and absorbances were read on a spectrophotometer at 450 nm.
Interpolated concentrations of native Granzyme B in NK-92 and Jurkat cell culture supernatant. Capture: HA723803, Human Granzyme B Rabbit mAb [PSH15-98] Detector: HA723804, Human Granzyme B Rabbit mAb [PSH15-99] The concentrations of Granzyme B were measured in duplicates, interpolated from the Granzyme B standard curve and corrected for sample dilution. Undiluted samples are NK-92 cell culture supernatant 10% and Jurkat cell culture supernatant 50%. The interpolated dilution factor corrected values are plotted (mean +/- SD, n=2). The mean Granzyme B concentration was determined to be 45,446 pg/ml in NK-92 cell culture supernatant and undetectable in Jurkat cell culture supernatant.
Interpolated concentrations of spiked Granzyme B in human cell culture media samples. Capture: HA723803, Human Granzyme B Rabbit mAb [PSH15-98] Detector: HA723804, Human Granzyme B Rabbit mAb [PSH15-99] The concentrations of Granzyme B were measured in duplicates, interpolated from the Granzyme B standard curves and corrected for sample dilution. Diluted samples are as follows: 50% cell culture media with FBS. The interpolated dilution factor corrected values are plotted (mean +/- SD, n=2).
quantity: 100μl
price: 649.00 USD
to the supplier
Human Granzyme B
HUABIO
catalog: HA723804
domestic rabbit monoclonal (PSH15-99)
reactivity:
human
application:
ELISA
Sandwich ELISA analysis of Human Granzyme B matched pair antibodies Capture: HA723803, Human Granzyme B Rabbit mAb [PSH15-98] Detector: HA723804, Human Granzyme B Rabbit mAb [PSH15-99] Elisa assay was performed by coating wells of a 96-well plate with 50 µl per well of capture antibody (HA723803) diluted in carbonate/bicarbonate buffer, at a concentration of 5 µg/ml overnight at 4℃. Wells of the plate were washed, blocked with 150 µl 0.05% tween-20 1% BSA blocking buffer, and incubated with serial diluted Recombinant Human Granzyme B protein (HA211076) protein starting from 10,000 pg/ml to 0 pg/ml and detect antibody (HA723804, Biotin, 0.2 µg/ml) for 1 hour at 30℃ with shaking. Then the plate was washed and incubated with 50 µl per well of SA-HRP for 0.5 hour at 30℃ with shaking. Detection was performed using an Ultra TMB Substrate for 10 minutes at room temperature in the dark. The reaction was stopped with sulfuric acid and absorbances were read on a spectrophotometer at 450 nm.
Interpolated concentrations of native Granzyme B in NK-92 and Jurkat cell culture supernatant. Capture: HA723803, Human Granzyme B Rabbit mAb [PSH15-98] Detector: HA723804, Human Granzyme B Rabbit mAb [PSH15-99] The concentrations of Granzyme B were measured in duplicates, interpolated from the Granzyme B standard curve and corrected for sample dilution. Undiluted samples are NK-92 cell culture supernatant 10% and Jurkat cell culture supernatant 50%. The interpolated dilution factor corrected values are plotted (mean +/- SD, n=2). The mean Granzyme B concentration was determined to be 45,446 pg/ml in NK-92 cell culture supernatant and undetectable in Jurkat cell culture supernatant.
Interpolated concentrations of spiked Granzyme B in human cell culture media samples. Capture: HA723803, Human Granzyme B Rabbit mAb [PSH15-98] Detector: HA723804, Human Granzyme B Rabbit mAb [PSH15-99] The concentrations of Granzyme B were measured in duplicates, interpolated from the Granzyme B standard curves and corrected for sample dilution. Diluted samples are as follows: 50% cell culture media with FBS. The interpolated dilution factor corrected values are plotted (mean +/- SD, n=2).
quantity: 100μl
price: 649.00 USD
to the supplier
Human Granzyme B
HUABIO
catalog: HA723804B
domestic rabbit monoclonal (PSH15-99)
reactivity:
human
conjugate: biotin
application:
ELISA
Sandwich ELISA analysis of Human Granzyme B matched pair antibodies Capture: HA723803, Human Granzyme B Rabbit mAb [PSH15-98] Detector: HA723804, Human Granzyme B Rabbit mAb [PSH15-99] Elisa assay was performed by coating wells of a 96-well plate with 50 µl per well of capture antibody (HA723803) diluted in carbonate/bicarbonate buffer, at a concentration of 5 µg/ml overnight at 4℃. Wells of the plate were washed, blocked with 150 µl 0.05% tween-20 1% BSA blocking buffer, and incubated with serial diluted Recombinant Human Granzyme B protein (HA211076) protein starting from 10,000 pg/ml to 0 pg/ml and detect antibody (HA723804, Biotin, 0.2 µg/ml) for 1 hour at 30℃ with shaking. Then the plate was washed and incubated with 50 µl per well of SA-HRP for 0.5 hour at 30℃ with shaking. Detection was performed using an Ultra TMB Substrate for 10 minutes at room temperature in the dark. The reaction was stopped with sulfuric acid and absorbances were read on a spectrophotometer at 450 nm.
Interpolated concentrations of native Granzyme B in NK-92 and Jurkat cell culture supernatant. Capture: HA723803, Human Granzyme B Rabbit mAb [PSH15-98] Detector: HA723804, Human Granzyme B Rabbit mAb [PSH15-99] The concentrations of Granzyme B were measured in duplicates, interpolated from the Granzyme B standard curve and corrected for sample dilution. Undiluted samples are NK-92 cell culture supernatant 10% and Jurkat cell culture supernatant 50%. The interpolated dilution factor corrected values are plotted (mean +/- SD, n=2). The mean Granzyme B concentration was determined to be 45,446 pg/ml in NK-92 cell culture supernatant and undetectable in Jurkat cell culture supernatant.
Interpolated concentrations of spiked Granzyme B in human cell culture media samples. Capture: HA723803, Human Granzyme B Rabbit mAb [PSH15-98] Detector: HA723804, Human Granzyme B Rabbit mAb [PSH15-99] The concentrations of Granzyme B were measured in duplicates, interpolated from the Granzyme B standard curves and corrected for sample dilution. Diluted samples are as follows: 50% cell culture media with FBS. The interpolated dilution factor corrected values are plotted (mean +/- SD, n=2).
quantity: 100μl
price: 409.00 USD
to the supplier
Granzyme B
HUABIO
catalog: HA751527
domestic rabbit monoclonal (PSH14-66)
reactivity:
human
,
mouse
application:
western blot
,
immunohistochemistry - paraffin section
Western blot analysis of Granzyme B on different lysates with Rabbit anti-Granzyme B antibody (HA751527) at 1/100,000 dilution. Lane 1: NK-92 cell lysate (20 µg/Lane) Lane 2: K-562 cell lysate (negative) (20 µg/Lane) Lane 3: CTLL-2 cell lysate (20 µg/Lane) Lane 4: C2C12 cell lysate (negative) (20 µg/Lane) Predicted band size: 28 kDa Observed band size: 30 kDa Exposure time: 2 seconds; ECL: K1801; 4-20% SDS-PAGE gel. Proteins were transferred to a PVDF membrane and blocked with 5% NFDM/TBST for 1 hour at room temperature. The primary antibody (HA751527) at 1/100,000 dilution was used in primary antibody dilution (K1803) at 4℃ overnight. Goat Anti-Rabbit IgG - HRP Secondary Antibody (HA1001) at 1/50,000 dilution was used for 1 hour at room temperature.
Immunohistochemical analysis of paraffin-embedded human NK/T-cell lymphoma tissue with Rabbit anti-Granzyme B antibody (HA751527) at 1/5,000 dilution. The section was pre-treated using heat mediated antigen retrieval with Tris-EDTA buffer (pH 9.0) for 20 minutes. The tissues were blocked in 1% BSA for 20 minutes at room temperature, washed with ddH2O and PBS, and then probed with the primary antibody (HA751527) at 1/5,000 dilution for 1 hour at room temperature. The detection was performed using an HRP conjugated compact polymer system. DAB was used as the chromogen. Tissues were counterstained with hematoxylin and mounted with DPX.
Immunohistochemical analysis of paraffin-embedded human spleen tissue with Rabbit anti-Granzyme B antibody (HA751527) at 1/500 dilution. The section was pre-treated using heat mediated antigen retrieval with Tris-EDTA buffer (pH 9.0) for 20 minutes. The tissues were blocked in 1% BSA for 20 minutes at room temperature, washed with ddH2O and PBS, and then probed with the primary antibody (HA751527) at 1/500 dilution for 1 hour at room temperature. The detection was performed using an HRP conjugated compact polymer system. DAB was used as the chromogen. Tissues were counterstained with hematoxylin and mounted with DPX.
quantity: 100μl
price: 649.00 USD
to the supplier
Granzyme B
HUABIO
catalog: IRS032
domestic rabbit polyclonal
reactivity:
human
mIHC analysis of human tonsils tissue (Formalin/PFA-fixed paraffin-embedded sections) with Rabbit anti-Granzyme B antibody (IRS032) at 1/100 dilution. The immunostaining was performed with the IRISKitCmTSA Kit (900808). Heat mediated antigen retrieval with Tris-EDTA buffer (pH 9.0) for 30 mins at 95℃. DAPI (blue) was used as a nuclear counter stain. Image acquisition was performed with Olympus VS200 Slide Scanner.
quantity: 100μl
price: 330 USD
to the supplier