domestic rabbit monoclonal (JE34-63)
reactivity: human, mouse, rat
application: western blot, immunohistochemistry - paraffin section
reactivity: human, mouse, rat
application: western blot, immunohistochemistry - paraffin section

Western blot analysis of MYL9 on different lysates with Rabbit anti-MYL9 antibody (HA721361) at 1/1,000 dilution. Lane 1: Hela cell lysate Lane 2: Mouse colon tissue lysate Lane 3: Rat colon tissue lysate Lane 4: Rat uterus tissue lysate Lysates/proteins at 40 µg/Lane. Predicted band size: 20 kDa Observed band size: 19 kDa Exposure time: 2 minutes; 4-20% SDS-PAGE gel. Proteins were transferred to a PVDF membrane and blocked with 5% NFDM/TBST for 1 hour at room temperature. The primary antibody (HA721361) at 1/1,000 dilution was used in 5% NFDM/TBST at room temperature for 2 hours. Goat Anti-Rabbit IgG - HRP Secondary Antibody (HA1001) at 1:100,000 dilution was used for 1 hour at room temperature.

Western blot analysis of MYL9 on human stomach tissue lysates with Rabbit anti-MYL9 antibody (HA721361) at 1/1,000 dilution. Lysates/proteins at 40 µg/Lane. Predicted band size: 20 kDa Observed band size: 19 kDa Exposure time: 1 minutes; 4-20% SDS-PAGE gel. Proteins were transferred to a PVDF membrane and blocked with 5% NFDM/TBST for 1 hour at room temperature. The primary antibody (HA721361) at 1/1,000 dilution was used in 5% NFDM/TBST at room temperature for 2 hours. Goat Anti-Rabbit IgG - HRP Secondary Antibody (HA1001) at 1:100,000 dilution was used for 1 hour at room temperature.

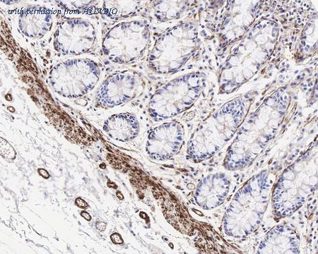
Immunohistochemical analysis of paraffin-embedded human colon tissue with Rabbit anti-MYL9 antibody (HA721361) at 1/1,000 dilution. The section was pre-treated using heat mediated antigen retrieval with Tris-EDTA buffer (pH 9.0) for 20 minutes. The tissues were blocked in 1% BSA for 20 minutes at room temperature, washed with ddH2O and PBS, and then probed with the primary antibody (HA721361) at 1/1,000 dilution for 1 hour at room temperature. The detection was performed using an HRP conjugated compact polymer system. DAB was used as the chromogen. Tissues were counterstained with hematoxylin and mounted with DPX.
quantity: 100μl
price: 385.00 USD
to the supplier
domestic rabbit monoclonal (PSH02-07)
reactivity: human, mouse, rat
application: western blot, flow cytometry
reactivity: human, mouse, rat
application: western blot, flow cytometry

Western blot analysis of MYL9 on different lysates with Rabbit anti-MYL9 antibody (HA721766) at 1/1,000 dilution. Lane 1: Jurkat cell lysate (20 µg/Lane) Lane 2: MDA-MB-231 cell lysate (20 µg/Lane) Lane 3: NIH/3T3 cell lysate (20 µg/Lane) Lane 4: C2C12 cell lysate (20 µg/Lane) Lane 5: C6 cell lysate (20 µg/Lane) Predicted band size: 20 kDa Observed band size: 18 kDa Exposure time: 2 minutes 45 seconds; 4-20% SDS-PAGE gel. Proteins were transferred to a PVDF membrane and blocked with 5% NFDM/TBST for 1 hour at room temperature. The primary antibody (HA721766) at 1/1,000 dilution was used in 5% NFDM/TBST at 4℃ overnight. Goat Anti-Rabbit IgG - HRP Secondary Antibody (HA1001) at 1/50,000 dilution was used for 1 hour at room temperature.

Flow cytometric analysis of A431 cells labeling MYL9. Cells were fixed and permeabilized. Then stained with the primary antibody (HA721766, 1μg/mL) (red) compared with Rabbit IgG Isotype Control (green). After incubation of the primary antibody at +4℃ for an hour, the cells were stained with a iFluor™ 488 conjugate-Goat anti-Rabbit IgG Secondary antibody (HA1121) at 1/1,000 dilution for 30 minutes at +4℃. Unlabelled sample was used as a control (cells without incubation with primary antibody; black).
quantity: 100μl
price: 385.00 USD
to the supplier
domestic rabbit monoclonal (PSH12-71)
reactivity: mouse, rat
application: western blot
reactivity: mouse, rat
application: western blot

Western blot analysis of Phospho-MYL9 (T18 + S19) on different lysates with Rabbit anti-Phospho-MYL9 (T18 + S19) antibody (HA723482) at 1/5,000 dilution. Lane 1: PC-12 cell lysate Lane 2: PC-12 treated with 100nM Calyculin A for 30 minutes cell lysate Lane 3: C2C12 cell lysate Lane 4: C2C12 starved overnight then add 100nM Calyculin A for 30 minutes then treated with 100ng/mL insulin for 20 minutes cell lysate Lane 5: C2C12 starved overnight then add 100nM Calyculin A for 30 minutes then treated with 100ng/mL insulin for 20 minutes cell lysate, then the membrane treated with λpp for 1 hour Lysates/proteins at 20 µg/Lane. Predicted band size: 20 kDa Observed band size: 19 kDa Exposure time: 30 seconds; ECL: K1801; 4-20% SDS-PAGE gel. Proteins were transferred to a PVDF membrane and blocked with 5% NFDM/TBST for 1 hour at room temperature. The primary antibody (HA723482) at 1/5,000 dilution was used in primary antibody dilution (K1803) at 4℃ overnight. Goat Anti-Rabbit IgG - HRP Secondary Antibody (HA1001) at 1/50,000 dilution was used for 1 hour at room temperature.
quantity: 100μl
price: 385.00 USD
to the supplier
domestic rabbit monoclonal (PSH02-07)
reactivity: human, mouse, rat
application: western blot, flow cytometry
reactivity: human, mouse, rat
application: western blot, flow cytometry

Western blot analysis of MYL9 on different lysates with Rabbit anti-MYL9 antibody (HA750777) at 1/1,000 dilution. Lane 1: Jurkat cell lysate (20 µg/Lane) Lane 2: MDA-MB-231 cell lysate (20 µg/Lane) Lane 3: NIH/3T3 cell lysate (20 µg/Lane) Lane 4: C2C12 cell lysate (20 µg/Lane) Lane 5: C6 cell lysate (20 µg/Lane) Predicted band size: 20 kDa Observed band size: 18 kDa Exposure time: 2 minutes 45 seconds; 4-20% SDS-PAGE gel. Proteins were transferred to a PVDF membrane and blocked with 5% NFDM/TBST for 1 hour at room temperature. The primary antibody (HA750777) at 1/1,000 dilution was used in 5% NFDM/TBST at 4℃ overnight. Goat Anti-Rabbit IgG - HRP Secondary Antibody (HA1001) at 1/50,000 dilution was used for 1 hour at room temperature.

Flow cytometric analysis of A431 cells labeling MYL9. Cells were fixed and permeabilized. Then stained with the primary antibody (HA750777, 1μg/mL) (red) compared with Rabbit IgG Isotype Control (green). After incubation of the primary antibody at +4℃ for an hour, the cells were stained with a iFluor™ 488 conjugate-Goat anti-Rabbit IgG Secondary antibody (HA1121) at 1/1,000 dilution for 30 minutes at +4℃. Unlabelled sample was used as a control (cells without incubation with primary antibody; black).
quantity: 100μl
price: 649.00 USD
to the supplier
domestic rabbit monoclonal (PSH12-71)
reactivity: mouse, rat
application: western blot
reactivity: mouse, rat
application: western blot

Western blot analysis of Phospho-MYL9 (T18 + S19) on different lysates with Rabbit anti-Phospho-MYL9 (T18 + S19) antibody (HA751447) at 1/5,000 dilution. Lane 1: PC-12 cell lysate Lane 2: PC-12 treated with 100nM Calyculin A for 30 minutes cell lysate Lane 3: C2C12 cell lysate Lane 4: C2C12 starved overnight then add 100nM Calyculin A for 30 minutes then treated with 100ng/mL insulin for 20 minutes cell lysate Lane 5: C2C12 starved overnight then add 100nM Calyculin A for 30 minutes then treated with 100ng/mL insulin for 20 minutes cell lysate, then the membrane treated with λpp for 1 hour Lysates/proteins at 20 µg/Lane. Predicted band size: 20 kDa Observed band size: 19 kDa Exposure time: 30 seconds; ECL: K1801; 4-20% SDS-PAGE gel. Proteins were transferred to a PVDF membrane and blocked with 5% NFDM/TBST for 1 hour at room temperature. The primary antibody (HA751447) at 1/5,000 dilution was used in primary antibody dilution (K1803) at 4℃ overnight. Goat Anti-Rabbit IgG - HRP Secondary Antibody (HA1001) at 1/50,000 dilution was used for 1 hour at room temperature.
quantity: 100μl
price: 649.00 USD
to the supplier
