mouse monoclonal (11D5)
reactivity: human
application: western blot, immunohistochemistry - paraffin section
reactivity: human
application: western blot, immunohistochemistry - paraffin section

Western blot analysis of GST3 on different lysates with Mouse anti-GST3 antibody (EM1801-18) at 1/2,000 dilution. Lane 1: HeLa cell lysate Lane 2: HEK-293 cell lysate Lane 3: MDA-MB-231 cell lysate Lane 4: HT-29 cell lysate Lane 5: Jurkat cell lysate Lane 6: K-562 cell lysate Lane 7: JAR cell lysate Lane 8: Human brain tissue lysate Lane 9: Human lung tissue lysate Lysates/proteins at 20 µg/Lane. Predicted band size: 23 kDa Observed band size: 23 kDa Exposure time: 24 seconds; 4-20% SDS-PAGE gel. Proteins were transferred to a PVDF membrane and blocked with 5% NFDM/TBST for 1 hour at room temperature. The primary antibody (EM1801-18) at 1/2,000 dilution was used in 5% NFDM/TBST at 4℃ overnight. Anti-Mouse IgG for IP Nano-secondary antibody (NBI02H) at 1/5,000 dilution was used for 1 hour at room temperature.

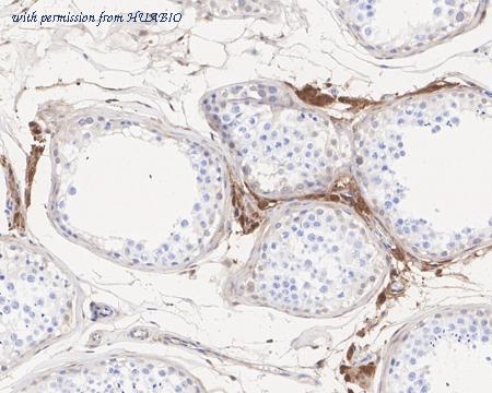
Immunohistochemical analysis of paraffin-embedded human testis tissue with Mouse anti-GST3 antibody (EM1801-18) at 1/10,000 dilution. The section was pre-treated using heat mediated antigen retrieval with sodium citrate buffer (pH 6.0) (high pressure) for 2 minutes. The tissues were blocked in 1% BSA for 20 minutes at room temperature, washed with ddH2O and PBS, and then probed with the primary antibody (EM1801-18) at 1/10,000 dilution for 1 hour at room temperature. The detection was performed using an HRP conjugated compact polymer system. DAB was used as the chromogen. Tissues were counterstained with hematoxylin and mounted with DPX.

Western blot analysis of GST3 on different lysates with Mouse anti-GST3 antibody (EM1801-18) at 1/1,000 dilution. Lane 1: HCT 116-si NT cell lysate Lane 2: HCT 116-si GST3 cell lysate Lysates/proteins at 10 µg/Lane. Predicted band size: 23 kDa Observed band size: 23 kDa Exposure time: 3 seconds; ECL: K1801; 4-20% SDS-PAGE gel. Proteins were transferred to a PVDF membrane and blocked with 5% NFDM/TBST for 1 hour at room temperature. The primary antibody (EM1801-18) at 1/1,000 dilution was used in 5% NFDM/TBST at 4℃ overnight. Goat Anti-Mouse IgG - HRP Secondary Antibody (HA1006) at 1/50,000 dilution was used for 1 hour at room temperature.
quantity: 100μl
price: 360.00 USD
to the supplier
domestic rabbit polyclonal
reactivity: human, mouse, rat
application: western blot, immunohistochemistry - paraffin section
reactivity: human, mouse, rat
application: western blot, immunohistochemistry - paraffin section

Western blot analysis of GST3 on different cell lysate using anti-GST3 antibody at 1/1,000 dilution. Positive control: Lane 1: SiHa cell lysate Lane 2: Hela cell lysate Lane 3: A549 cell lysate Lane 4: Mouse kidney tissue lysate Lane 5: Rat liver tissue lysate

ICC staining GST3 in A549 cells (green). The nuclear counter stain is DAPI (blue). Cells were fixed in paraformaldehyde, permeabilised with 0.25% Triton X100/PBS.

ICC staining GST3 in HUVEC cells (green). The nuclear counter stain is DAPI (blue). Cells were fixed in paraformaldehyde, permeabilised with 0.25% Triton X100/PBS.
quantity: 100μl
price: 330 USD
to the supplier
domestic rabbit monoclonal (JB40-79)
reactivity: human, mouse, rat
application: western blot, immunohistochemistry - paraffin section
reactivity: human, mouse, rat
application: western blot, immunohistochemistry - paraffin section

Western blot analysis of GST3 on different lysates with Rabbit anti-GST3 antibody (ET7107-71) at 1/1,000 dilution. Lane 1: HCT 116 cell lysate Lane 1: HT-29 cell lysate Lane 1: K-562 cell lysate Lane 1: A549 cell lysate Lane 2: Mouse liver tissue lysate Lane 2: Mouse brain tissue lysate Lane 2: Rat brain tissue lysate Lysates/proteins at 20 µg/Lane1-4 and 40ug/Lane5-7. Predicted band size: 23 kDa Observed band size: 25 kDa Exposure time: 8 seconds; ECL: K1801; 4-20% SDS-PAGE gel. Proteins were transferred to a PVDF membrane and blocked with 5% NFDM/TBST for 1 hour at room temperature. The primary antibody (ET7107-71) at 1/1,000 dilution was used in 5% NFDM/TBST at 4℃ overnight. Goat Anti-Rabbit IgG - HRP Secondary Antibody (HA1001) at 1/50,000 dilution was used for 1 hour at room temperature.

Western blot analysis of GST3 on different lysates with Rabbit anti-GST3 antibody (ET7107-71) at 1/1,000 dilution. Lane 1: HCT 116-si NT cell lysate Lane 2: HCT 116-si GST3 cell lysate Lysates/proteins at 10 µg/Lane. Predicted band size: 23 kDa Observed band size: 23 kDa Exposure time: 8 seconds; ECL: K1801; 4-20% SDS-PAGE gel. Proteins were transferred to a PVDF membrane and blocked with 5% NFDM/TBST for 1 hour at room temperature. The primary antibody (ET7107-71) at 1/1,000 dilution was used in 5% NFDM/TBST at 4℃ overnight. Goat Anti-Rabbit IgG - HRP Secondary Antibody (HA1001) at 1/50,000 dilution was used for 1 hour at room temperature.

ICC staining of GST3 in A431 cells (green). Formalin fixed cells were permeabilized with 0.1% Triton X-100 in TBS for 10 minutes at room temperature and blocked with 1% Blocker BSA for 15 minutes at room temperature. Cells were probed with the primary antibody (ET7107-71, 1/50) for 1 hour at room temperature, washed with PBS. Alexa Fluor®488 Goat anti-Rabbit IgG was used as the secondary antibody at 1/1,000 dilution. The nuclear counter stain is DAPI (blue).
quantity: 100μl
price: 385.00 USD
to the supplier
mouse monoclonal (11D5-R)
reactivity: human
application: western blot, immunohistochemistry - paraffin section
reactivity: human
application: western blot, immunohistochemistry - paraffin section

Western blot analysis of GST3 on different lysates with Mouse anti-GST3 antibody (HA601272) at 1/2,000 dilution. Lane 1: HeLa cell lysate Lane 2: HEK-293 cell lysate Lane 3: MDA-MB-231 cell lysate Lane 4: HT-29 cell lysate Lane 5: Jurkat cell lysate Lane 6: K-562 cell lysate Lane 7: JAR cell lysate Lane 8: Human brain tissue lysate Lane 9: Human lung tissue lysate Lysates/proteins at 20 µg/Lane. Predicted band size: 23 kDa Observed band size: 23 kDa Exposure time: 1 minute 2 seconds; 4-20% SDS-PAGE gel. Proteins were transferred to a PVDF membrane and blocked with 5% NFDM/TBST for 1 hour at room temperature. The primary antibody (HA601272) at 1/2,000 dilution was used in 5% NFDM/TBST at 4℃ overnight. Anti-Mouse IgG for IP Nano-secondary antibody (NBI02H) at 1/5,000 dilution was used for 1 hour at room temperature.

Immunocytochemistry analysis of HT-29 cells labeling GST3 with Mouse anti-GST3 antibody (HA601272) at 1/100 dilution. Cells were fixed in 4% paraformaldehyde for 20 minutes at room temperature, permeabilized with 0.1% Triton X-100 in PBS for 5 minutes at room temperature, then blocked with 1% BSA in 10% negative goat serum for 1 hour at room temperature. Cells were then incubated with Mouse anti-GST3 antibody (HA601272) at 1/100 dilution in 1% BSA in PBST overnight at 4 ℃. Goat Anti-Mouse IgG H&L (iFluor™ 488, HA1125) was used as the secondary antibody at 1/1,000 dilution. PBS instead of the primary antibody was used as the secondary antibody only control. Nuclear DNA was labelled in blue with DAPI. beta Tubulin (ET1602-4, red) was stained at 1/100 dilution overnight at +4℃. Goat Anti-Rabbit IgG H&L (iFluor™ 594, HA1122) were used as the secondary antibody at 1/1,000 dilution.

Immunohistochemical analysis of paraffin-embedded human testis tissue with Mouse anti-GST3 antibody (HA601272) at 1/5,000 dilution. The section was pre-treated using heat mediated antigen retrieval with Tris-EDTA buffer (pH 9.0) for 20 minutes. The tissues were blocked in 1% BSA for 20 minutes at room temperature, washed with ddH2O and PBS, and then probed with the primary antibody (HA601272) at 1/5,000 dilution for 1 hour at room temperature. The detection was performed using an HRP conjugated compact polymer system. DAB was used as the chromogen. Tissues were counterstained with hematoxylin and mounted with DPX.
quantity: 100μl
price: 360.00 USD
to the supplier
mouse monoclonal (11D5-R)
reactivity: human
application: western blot, immunohistochemistry - paraffin section
reactivity: human
application: western blot, immunohistochemistry - paraffin section

Western blot analysis of GST3 on different lysates with Mouse anti-GST3 antibody (HA610147) at 1/2,000 dilution. Lane 1: HeLa cell lysate Lane 2: HEK-293 cell lysate Lane 3: MDA-MB-231 cell lysate Lane 4: HT-29 cell lysate Lane 5: Jurkat cell lysate Lane 6: K-562 cell lysate Lane 7: JAR cell lysate Lane 8: Human brain tissue lysate Lane 9: Human lung tissue lysate Lysates/proteins at 20 µg/Lane. Predicted band size: 23 kDa Observed band size: 23 kDa Exposure time: 1 minute 2 seconds; 4-20% SDS-PAGE gel. Proteins were transferred to a PVDF membrane and blocked with 5% NFDM/TBST for 1 hour at room temperature. The primary antibody (HA610147) at 1/2,000 dilution was used in 5% NFDM/TBST at 4℃ overnight. Anti-Mouse IgG for IP Nano-secondary antibody (NBI02H) at 1/5,000 dilution was used for 1 hour at room temperature.

Immunocytochemistry analysis of HT-29 cells labeling GST3 with Mouse anti-GST3 antibody (HA610147) at 1/100 dilution. Cells were fixed in 4% paraformaldehyde for 20 minutes at room temperature, permeabilized with 0.1% Triton X-100 in PBS for 5 minutes at room temperature, then blocked with 1% BSA in 10% negative goat serum for 1 hour at room temperature. Cells were then incubated with Mouse anti-GST3 antibody (HA610147) at 1/100 dilution in 1% BSA in PBST overnight at 4 ℃. Goat Anti-Mouse IgG H&L (iFluor™ 488, HA1125) was used as the secondary antibody at 1/1,000 dilution. PBS instead of the primary antibody was used as the secondary antibody only control. Nuclear DNA was labelled in blue with DAPI. beta Tubulin (ET1602-4, red) was stained at 1/100 dilution overnight at +4℃. Goat Anti-Rabbit IgG H&L (iFluor™ 594, HA1122) were used as the secondary antibody at 1/1,000 dilution.

Immunohistochemical analysis of paraffin-embedded human testis tissue with Mouse anti-GST3 antibody (HA610147) at 1/5,000 dilution. The section was pre-treated using heat mediated antigen retrieval with Tris-EDTA buffer (pH 9.0) for 20 minutes. The tissues were blocked in 1% BSA for 20 minutes at room temperature, washed with ddH2O and PBS, and then probed with the primary antibody (HA610147) at 1/5,000 dilution for 1 hour at room temperature. The detection was performed using an HRP conjugated compact polymer system. DAB was used as the chromogen. Tissues were counterstained with hematoxylin and mounted with DPX.
quantity: 100μg
price: 649.00 USD
to the supplier
