Sign in
Sign up
home
>
HUABIO
> HUABIO Ptbp1 antibody
PTBP1
HUABIO
catalog: EM1701-63
mouse monoclonal (9A1)
reactivity:
human
,
rat
application:
western blot
,
flow cytometry
,
immunohistochemistry - paraffin section
Western blot analysis of PTBP1 on different lysates with Mouse anti-PTBP1 antibody (EM1701-63) at 1/5,000 dilution. Lane 1: Jurkat cell lysate Lane 2: A431 cell lysate Lane 3: K562 cell lysate Lysates/proteins at 10 µg/Lane. Predicted band size: 57 kDa Observed band size: 57 kDa Exposure time: 2 minutes; 10% SDS-PAGE gel. Proteins were transferred to a PVDF membrane and blocked with 5% NFDM/TBST for 1 hour at room temperature. The primary antibody (EM1701-63) at 1/5,000 dilution was used in 5% NFDM/TBST at room temperature for 2 hours. Goat Anti-Mouse IgG - HRP Secondary Antibody (HA1006) at 1:100,000 dilution was used for 1 hour at room temperature.
ICC staining PTBP1 in A549 cells (green). The nuclear counter stain is DAPI (blue). Cells were fixed in paraformaldehyde, permeabilised with 0.25% Triton X100/PBS.
ICC staining PTBP1 in 293T cells (green). The nuclear counter stain is DAPI (blue). Cells were fixed in paraformaldehyde, permeabilised with 0.25% Triton X100/PBS.
quantity: 100μl
price: 360.00 USD
to the supplier
PTBP1
HUABIO
catalog: ET7106-58
domestic rabbit monoclonal (JU41-20)
reactivity:
human
,
mouse
,
rat
application:
western blot
,
immunohistochemistry - paraffin section
Western blot analysis of PTBP1 on different lysates with Rabbit anti-PTBP1 antibody (ET7106-58) at 1/500 dilution. Lane 1: K562 cell lysate Lane 2: Jurkat cell lysate Lysates/proteins at 10 µg/Lane. Predicted band size: 57 kDa Observed band size: 57 kDa Exposure time: 1 minute; 10% SDS-PAGE gel. Proteins were transferred to a PVDF membrane and blocked with 5% NFDM/TBST for 1 hour at room temperature. The primary antibody (ET7106-58) at 1/500 dilution was used in 5% NFDM/TBST at room temperature for 2 hours. Goat Anti-Rabbit IgG - HRP Secondary Antibody (HA1001) at 1:200,000 dilution was used for 1 hour at room temperature.
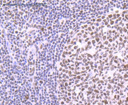
Immunohistochemical analysis of paraffin-embedded human tonsil tissue using anti-PTBP1 antibody. The section was pre-treated using heat mediated antigen retrieval with Tris-EDTA buffer (pH 9.0) for 20 minutes.The tissues were blocked in 1% BSA for 30 minutes at room temperature, washed with ddH2O and PBS, and then probed with the primary antibody (ET7106-58, 1/50) for 30 minutes at room temperature. The detection was performed using an HRP conjugated compact polymer system. DAB was used as the chromogen. Tissues were counterstained with hematoxylin and mounted with DPX.
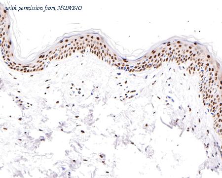
Immunohistochemical analysis of paraffin-embedded human skin tissue with Rabbit anti-PTBP1 antibody (ET7106-58) at 1/400 dilution. The section was pre-treated using heat mediated antigen retrieval with sodium citrate buffer (pH 6.0) (high pressure) for 2 minutes. The tissues were blocked in 1% BSA for 20 minutes at room temperature, washed with ddH2O and PBS, and then probed with the primary antibody (ET7106-58) at 1/400 dilution for 1 hour at room temperature. The detection was performed using an HRP conjugated compact polymer system. DAB was used as the chromogen. Tissues were counterstained with hematoxylin and mounted with DPX.
quantity: 100μl
price: 385.00 USD
to the supplier
PTBP1
HUABIO
catalog: HA601197
mouse monoclonal (5C1-R)
reactivity:
human
,
mouse
,
rat
application:
western blot
,
immunohistochemistry - paraffin section
Western blot analysis of PTBP1 on different lysates with Mouse anti-PTBP1 antibody (HA601197) at 1/1,000 dilution. Lane 1: HeLa cell lysate (20 µg/Lane) Lane 2: HepG2 cell lysate (20 µg/Lane) Lane 3: Jurkat cell lysate (20 µg/Lane) Lane 4: K-562 cell lysate (20 µg/Lane) Lane 5: 293T cell lysate (20 µg/Lane) Lane 6: SW620 cell lysate (20 µg/Lane) Lane 7: A431 cell lysate (20 µg/Lane) Lane 8: A549 cell lysate (20 µg/Lane) Lane 9: NIH/3T3 cell lysate (20 µg/Lane) Lane 10: C6 cell lysate (20 µg/Lane) Lane 11: Human kidney tissue lysate (40 µg/Lane) Predicted band size: 60 kDa Observed band size: 55 kDa Exposure time: 20 seconds; 4-20% SDS-PAGE gel. Proteins were transferred to a PVDF membrane and blocked with 5% NFDM/TBST for 1 hour at room temperature. The primary antibody (HA601197) at 1/1,000 dilution was used in 5% NFDM/TBST at 4℃ overnight. Goat Anti-Mouse IgG - HRP Secondary Antibody (HA1006) at 1/50,000 dilution was used for 1 hour at room temperature.
Immunocytochemistry analysis of HeLa cells labeling PTBP1 with Mouse anti-PTBP1 antibody (HA601197) at 1/100 dilution. Cells were fixed in 4% paraformaldehyde for 20 minutes at room temperature, permeabilized with 0.1% Triton X-100 in PBS for 5 minutes at room temperature, then blocked with 1% BSA in 10% negative goat serum for 1 hour at room temperature. Cells were then incubated with Mouse anti-PTBP1 antibody (HA601197) at 1/100 dilution in 1% BSA in PBST overnight at 4 ℃. Goat Anti-Mouse IgG H&L (iFluor™ 488, HA1125) was used as the secondary antibody at 1/1,000 dilution. PBS instead of the primary antibody was used as the secondary antibody only control. Nuclear DNA was labelled in blue with DAPI. beta Tubulin (ET1602-4, red) was stained at 1/100 dilution overnight at +4℃. Goat Anti-Rabbit IgG H&L (iFluor™ 594, HA1122) were used as the secondary antibody at 1/1,000 dilution.
Immunohistochemical analysis of paraffin-embedded human colon carcinoma tissue with Mouse anti-PTBP1 antibody (HA601197) at 1/1,000 dilution. The section was pre-treated using heat mediated antigen retrieval with sodium citrate buffer (pH 6.0) (high pressure) for 2 minutes. The tissues were blocked in 1% BSA for 20 minutes at room temperature, washed with ddH2O and PBS, and then probed with the primary antibody (HA601197) at 1/1,000 dilution for 1 hour at room temperature. The detection was performed using an HRP conjugated compact polymer system. DAB was used as the chromogen. Tissues were counterstained with hematoxylin and mounted with DPX.
quantity: 100μl
price: 360.00 USD
to the supplier
PTBP1
HUABIO
catalog: HA610075
mouse monoclonal (5C1-R)
reactivity:
human
,
mouse
,
rat
application:
western blot
,
immunohistochemistry - paraffin section
Western blot analysis of PTBP1 on different lysates with Mouse anti-PTBP1 antibody (HA610075) at 1/1,000 dilution. Lane 1: HeLa cell lysate (20 µg/Lane) Lane 2: HepG2 cell lysate (20 µg/Lane) Lane 3: Jurkat cell lysate (20 µg/Lane) Lane 4: K-562 cell lysate (20 µg/Lane) Lane 5: 293T cell lysate (20 µg/Lane) Lane 6: SW620 cell lysate (20 µg/Lane) Lane 7: A431 cell lysate (20 µg/Lane) Lane 8: A549 cell lysate (20 µg/Lane) Lane 9: NIH/3T3 cell lysate (20 µg/Lane) Lane 10: C6 cell lysate (20 µg/Lane) Lane 11: Human kidney tissue lysate (40 µg/Lane) Predicted band size: 60 kDa Observed band size: 55 kDa Exposure time: 20 seconds; 4-20% SDS-PAGE gel. Proteins were transferred to a PVDF membrane and blocked with 5% NFDM/TBST for 1 hour at room temperature. The primary antibody (HA610075) at 1/1,000 dilution was used in 5% NFDM/TBST at 4℃ overnight. Goat Anti-Mouse IgG - HRP Secondary Antibody (HA1006) at 1/50,000 dilution was used for 1 hour at room temperature.
Immunocytochemistry analysis of HeLa cells labeling PTBP1 with Mouse anti-PTBP1 antibody (HA610075) at 1/100 dilution. Cells were fixed in 4% paraformaldehyde for 20 minutes at room temperature, permeabilized with 0.1% Triton X-100 in PBS for 5 minutes at room temperature, then blocked with 1% BSA in 10% negative goat serum for 1 hour at room temperature. Cells were then incubated with Mouse anti-PTBP1 antibody (HA610075) at 1/100 dilution in 1% BSA in PBST overnight at 4 ℃. Goat Anti-Mouse IgG H&L (iFluor™ 488, HA1125) was used as the secondary antibody at 1/1,000 dilution. PBS instead of the primary antibody was used as the secondary antibody only control. Nuclear DNA was labelled in blue with DAPI. beta Tubulin (ET1602-4, red) was stained at 1/100 dilution overnight at +4℃. Goat Anti-Rabbit IgG H&L (iFluor™ 594, HA1122) were used as the secondary antibody at 1/1,000 dilution.
Immunohistochemical analysis of paraffin-embedded human colon carcinoma tissue with Mouse anti-PTBP1 antibody (HA610075) at 1/1,000 dilution. The section was pre-treated using heat mediated antigen retrieval with sodium citrate buffer (pH 6.0) (high pressure) for 2 minutes. The tissues were blocked in 1% BSA for 20 minutes at room temperature, washed with ddH2O and PBS, and then probed with the primary antibody (HA610075) at 1/1,000 dilution for 1 hour at room temperature. The detection was performed using an HRP conjugated compact polymer system. DAB was used as the chromogen. Tissues were counterstained with hematoxylin and mounted with DPX.
quantity: 100μg
price: 649.00 USD
to the supplier
PTBP1
HUABIO
catalog: M1701-7
mouse monoclonal (5C1)
reactivity:
human
,
mouse
,
rat
application:
western blot
,
immunohistochemistry - paraffin section
Western blot analysis of PTBP1 on different lysates with Mouse anti-PTBP1 antibody (M1701-7) at 1/1,000 dilution. Lane 1: HeLa cell lysate (20 µg/Lane) Lane 2: HepG2 cell lysate (20 µg/Lane) Lane 3: Jurkat cell lysate (20 µg/Lane) Lane 4: K-562 cell lysate (20 µg/Lane) Lane 5: 293T cell lysate (20 µg/Lane) Lane 6: SW620 cell lysate (20 µg/Lane) Lane 7: A431 cell lysate (20 µg/Lane) Lane 8: A549 cell lysate (20 µg/Lane) Lane 9: NIH/3T3 cell lysate (20 µg/Lane) Lane 10: C6 cell lysate (20 µg/Lane) Lane 11: Human kidney tissue lysate (40 µg/Lane) Predicted band size: 60 kDa Observed band size: 55 kDa Exposure time: 20 seconds; 4-20% SDS-PAGE gel. Proteins were transferred to a PVDF membrane and blocked with 5% NFDM/TBST for 1 hour at room temperature. The primary antibody (M1701-7) at 1/1,000 dilution was used in 5% NFDM/TBST at 4℃ overnight. Goat Anti-Mouse IgG - HRP Secondary Antibody (HA1006) at 1/50,000 dilution was used for 1 hour at room temperature.
Western blot analysis of PTBP1 on mouse kidney tissue lysates with Mouse anti-PTBP1 antibody (M1701-7) at 1/1,000 dilution. Lysates/proteins at 20 µg/Lane. Predicted band size: 56 kDa Observed band size: 56 kDa Exposure time: 2 minutes; 8% SDS-PAGE gel. Proteins were transferred to a PVDF membrane and blocked with 5% NFDM/TBST for 1 hour at room temperature. The primary antibody (M1701-7) at 1/1,000 dilution was used in 5% NFDM/TBST at room temperature for 2 hours. Goat Anti-Mouse IgG - HRP Secondary Antibody (HA1006) at 1:100,000 dilution was used for 1 hour at room temperature.
Immunocytochemistry analysis of HeLa cells labeling PTBP1 with Mouse anti-PTBP1 antibody (M1701-7) at 1/100 dilution. Cells were fixed in 4% paraformaldehyde for 20 minutes at room temperature, permeabilized with 0.1% Triton X-100 in PBS for 5 minutes at room temperature, then blocked with 1% BSA in 10% negative goat serum for 1 hour at room temperature. Cells were then incubated with Mouse anti-PTBP1 antibody (M1701-7) at 1/100 dilution in 1% BSA in PBST overnight at 4 ℃. Goat Anti-Mouse IgG H&L (iFluor™ 488, HA1125) was used as the secondary antibody at 1/1,000 dilution. PBS instead of the primary antibody was used as the secondary antibody only control. Nuclear DNA was labelled in blue with DAPI. beta Tubulin (ET1602-4, red) was stained at 1/100 dilution overnight at +4℃. Goat Anti-Rabbit IgG H&L (iFluor™ 594, HA1122) were used as the secondary antibody at 1/1,000 dilution.
quantity: 100μl
price: 360.00 USD
to the supplier
PTBP1
HUABIO
catalog: R1403-2
domestic rabbit polyclonal
reactivity:
human
,
mouse
,
rat
application:
western blot
,
immunohistochemistry - paraffin section
Western blot analysis on cell lysates using anti- PTBP1 rabbit polyclonal antibodies.
ICC staining PTBP1 in Hela cells (green). Cells were fixed in paraformaldehyde.
Immunohistochemical analysis of paraffin-embedded mouse testis tissue using anti- PTBP1 rabbit polyclonal antibody.
quantity: 100μl
price: 330 USD
to the supplier