Sign in
Sign up
home
>
HUABIO
> HUABIO GSK3 antibody
Phospho-GSK3 (alpha + beta) (Y216 + Y279)
HUABIO
catalog: ET1607-54
domestic rabbit monoclonal (SY26-05)
reactivity:
human
,
mouse
,
rat
application:
western blot
,
immunoprecipitation
,
flow cytometry
,
immunohistochemistry - paraffin section
Western blot analysis of Phospho-GSK3 (alpha + beta) (Y216 + Y279) on different lysates with Rabbit anti-Phospho-GSK3 (alpha + beta) (Y216 + Y279) antibody (ET1607-54) at 1/5,000 dilution. Lane 1: 293T cell lysate Lane 2: SH-SY5Y cell lysate Lane 3: HeLa cell lysate Lane 4: HepG2 cell lysate Lane 5: MCF7 cell lysate Lane 6: NIH/3T3 cell lysate Lane 7: PC-12 cell lysate Lane 8: Mouse brain tissue lysate Lane 9: Rat brain tissue lysate Lane 10: 293T treated with λpp for 1 hour cell lysate Lane 11: SH-SY5Y treated with λpp for 1 hour cell lysate Lysates/proteins at 15 µg/Lane. Predicted band size: 47/51 kDa Observed band size: 47/51 kDa Exposure time: 5 minutes; 4-20% SDS-PAGE gel. Proteins were transferred to a PVDF membrane and blocked with 5% NFDM/TBST for 1 hour at room temperature. The primary antibody (ET1607-54) at 1/5,000 dilution was used in 5% NFDM/TBST at 4℃ overnight. Goat Anti-Rabbit IgG - HRP Secondary Antibody (HA1001) at 1:50,000 dilution was used for 1 hour at room temperature.
ICC staining of Phospho-GSK3 (alpha + beta) (Y216 + Y279) in A431 cells (green). Formalin fixed cells were permeabilized with 0.1% Triton X-100 in TBS for 10 minutes at room temperature and blocked with 10% negative goat serum for 15 minutes at room temperature. Cells were probed with the primary antibody (ET1607-54, 1/50) for 1 hour at room temperature, washed with PBS. Alexa Fluor®488 conjugate-Goat anti-Rabbit IgG was used as the secondary antibody at 1/1,000 dilution. The nuclear counter stain is DAPI (blue).
ICC staining of Phospho-GSK3 (alpha + beta) (Y216 + Y279) in Hela cells (green). Formalin fixed cells were permeabilized with 0.1% Triton X-100 in TBS for 10 minutes at room temperature and blocked with 10% negative goat serum for 15 minutes at room temperature. Cells were probed with the primary antibody (ET1607-54, 1/50) for 1 hour at room temperature, washed with PBS. Alexa Fluor®488 conjugate-Goat anti-Rabbit IgG was used as the secondary antibody at 1/1,000 dilution. The nuclear counter stain is DAPI (blue).
quantity: 100μl
price: 385.00 USD
to the supplier
GSK3 alpha
HUABIO
catalog: HA722217
domestic rabbit monoclonal (JE33-27)
reactivity:
human
,
mouse
,
rat
application:
western blot
,
immunohistochemistry - paraffin section
Western blot analysis of GSK3 alpha on different lysates with Rabbit anti-GSK3 alpha antibody (HA722217) at 1/2,000 dilution. Lane 1: HeLa cell lysate Lane 2: A431 cell lysate Lane 3: A549 cell lysate Lane 4: Jurkat cell lysate Lane 5: HCT 116cell lysate Lane 6: HEK-293 cell lysate Lane 7: U-87 MG cell lysate Lane 8: MCF7 cell lysate Lane 9: MDA-MB-231 cell lysate Lane 10: SK-Br-3 cell lysate Lane 11: Neuro-2a cell lysate Lane 12: NIH/3T3 cell lysate Lane 13: C6 cell lysate Lane 14: COS-1 cell lysate Lysates/proteins at 20 µg/Lane. Predicted band size: 51 kDa Observed band size: 51 kDa Exposure time: 42 seconds; ECL: K1801; 4-20% SDS-PAGE gel. Proteins were transferred to a PVDF membrane and blocked with 5% NFDM/TBST for 1 hour at room temperature. The primary antibody (HA722217) at 1/2,000 dilution was used in 5% NFDM/TBST at 4℃ overnight. Goat Anti-Rabbit IgG - HRP Secondary Antibody (HA1001) at 1/50,000 dilution was used for 1 hour at room temperature.
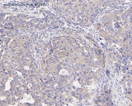
Immunohistochemical analysis of paraffin-embedded human ovary cancer tissue with Rabbit anti-GSK3 alpha antibody (HA722217) at 1/200 dilution. The section was pre-treated using heat mediated antigen retrieval with Tris-EDTA buffer (pH 9.0) for 20 minutes. The tissues were blocked in 1% BSA for 20 minutes at room temperature, washed with ddH2O and PBS, and then probed with the primary antibody (HA722217) at 1/200 dilution for 1 hour at room temperature. The detection was performed using an HRP conjugated compact polymer system. DAB was used as the chromogen. Tissues were counterstained with hematoxylin and mounted with DPX.
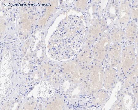
Immunohistochemical analysis of paraffin-embedded human kidney tissue with Rabbit anti-GSK3 alpha antibody (HA722217) at 1/1,000 dilution. The section was pre-treated using heat mediated antigen retrieval with Tris-EDTA buffer (pH 9.0) for 20 minutes. The tissues were blocked in 1% BSA for 20 minutes at room temperature, washed with ddH2O and PBS, and then probed with the primary antibody (HA722217) at 1/1,000 dilution for 1 hour at room temperature. The detection was performed using an HRP conjugated compact polymer system. DAB was used as the chromogen. Tissues were counterstained with hematoxylin and mounted with DPX.
quantity: 100μl
price: 385.00 USD
to the supplier
Phospho-GSK3 alpha (S21)
HUABIO
catalog: HA723069
domestic rabbit monoclonal (PSH09-11)
reactivity:
human
,
mouse
application:
western blot
,
immunohistochemistry - paraffin section
,
dot blot
Western blot analysis of Phospho-GSK3 alpha (S21) on different lysates with Rabbit anti-Phospho-GSK3 alpha (S21) antibody (HA723069) at 1/2,000 dilution. Lane 1: A549 cell lysate Lane 2: A549 treated with 100nM Calyculin A for 30 minutes cell lysate Lane 3: SH-SY5Y cell lysate Lane 4: SH-SY5Y treated with 200nM Calyculin A and 1μM Okadaic Acid for 1 hour cell lysate Lysates/proteins at 20 µg/Lane. Predicted band size: 51 kDa Observed band size: 51 kDa Exposure time: 1 minute; ECL: K1801; 4-20% SDS-PAGE gel. Proteins were transferred to a PVDF membrane and blocked with 5% NFDM/TBST for 1 hour at room temperature. The primary antibody (HA723069) at 1/2,000 dilution was used in 5% NFDM/TBST at 4℃ overnight. Goat Anti-Rabbit IgG - HRP Secondary Antibody (HA1001) at 1/50,000 dilution was used for 1 hour at room temperature.
Western blot analysis of Phospho-GSK3 alpha (S21) on different lysates with Rabbit anti-Phospho-GSK3 alpha (S21) antibody (HA723069) at 1/2,000 dilution. Lane 1: NIH/3T3 starved overnight cell lysate Lane 2: NIH/3T3 starved overnight then treated with 100ng/mL PDGF for 5 minutes cell lysate Lysates/proteins at 20 µg/Lane. Predicted band size: 51 kDa Observed band size: 51 kDa Exposure time: 3 minutes; ECL: K1801; 4-20% SDS-PAGE gel. Proteins were transferred to a PVDF membrane and blocked with 5% NFDM/TBST for 1 hour at room temperature. The primary antibody (HA723069) at 1/2,000 dilution was used in 5% NFDM/TBST at 4℃ overnight. Goat Anti-Rabbit IgG - HRP Secondary Antibody (HA1001) at 1/50,000 dilution was used for 1 hour at room temperature.
Immunohistochemical analysis of paraffin-embedded mouse testis tissue with Rabbit anti-Phospho-GSK3 alpha (S21) antibody (HA723069) at 1/500 dilution. The section was pre-treated using heat mediated antigen retrieval with Tris-EDTA buffer (pH 9.0) for 20 minutes. The tissues were blocked in 1% BSA for 20 minutes at room temperature, washed with ddH2O and PBS, and then probed with the primary antibody (HA723069) at 1/500 dilution for 1 hour at room temperature. The detection was performed using an HRP conjugated compact polymer system. DAB was used as the chromogen. Tissues were counterstained with hematoxylin and mounted with DPX.
quantity: 100μl
price: 385.00 USD
to the supplier
Phospho-GSK3 (alpha + beta) (Y216 + Y279)
HUABIO
catalog: HA750127
domestic rabbit monoclonal (SY26-05)
reactivity:
human
,
mouse
,
rat
application:
western blot
,
immunoprecipitation
,
flow cytometry
,
immunohistochemistry - paraffin section
Western blot analysis of Phospho-GSK3 (alpha + beta) (Y216 + Y279) on different lysates with Rabbit anti-Phospho-GSK3 (alpha + beta) (Y216 + Y279) antibody (HA750127) at 1/5,000 dilution. Lane 1: 293T cell lysate Lane 2: SH-SY5Y cell lysate Lane 3: HeLa cell lysate Lane 4: HepG2 cell lysate Lane 5: MCF7 cell lysate Lane 6: NIH/3T3 cell lysate Lane 7: PC-12 cell lysate Lane 8: Mouse brain tissue lysate Lane 9: Rat brain tissue lysate Lane 10: 293T treated with λpp for 1 hour cell lysate Lane 11: SH-SY5Y treated with λpp for 1 hour cell lysate Lysates/proteins at 15 µg/Lane. Predicted band size: 47/51 kDa Observed band size: 47/51 kDa Exposure time: 5 minutes; 4-20% SDS-PAGE gel. Proteins were transferred to a PVDF membrane and blocked with 5% NFDM/TBST for 1 hour at room temperature. The primary antibody (HA750127) at 1/5,000 dilution was used in 5% NFDM/TBST at 4℃ overnight. Goat Anti-Rabbit IgG - HRP Secondary Antibody (HA1001) at 1:50,000 dilution was used for 1 hour at room temperature.
ICC staining of Phospho-GSK3 (alpha + beta) (Y216 + Y279) in A431 cells (green). Formalin fixed cells were permeabilized with 0.1% Triton X-100 in TBS for 10 minutes at room temperature and blocked with 10% negative goat serum for 15 minutes at room temperature. Cells were probed with the primary antibody (HA750127, 1/50) for 1 hour at room temperature, washed with PBS. Alexa Fluor®488 conjugate-Goat anti-Rabbit IgG was used as the secondary antibody at 1/1,000 dilution. The nuclear counter stain is DAPI (blue).
ICC staining of Phospho-GSK3 (alpha + beta) (Y216 + Y279) in Hela cells (green). Formalin fixed cells were permeabilized with 0.1% Triton X-100 in TBS for 10 minutes at room temperature and blocked with 10% negative goat serum for 15 minutes at room temperature. Cells were probed with the primary antibody (HA750127, 1/50) for 1 hour at room temperature, washed with PBS. Alexa Fluor®488 conjugate-Goat anti-Rabbit IgG was used as the secondary antibody at 1/1,000 dilution. The nuclear counter stain is DAPI (blue).
quantity: 100μl
price: 649.00 USD
to the supplier
Phospho-GSK3 alpha (S21)
HUABIO
catalog: HA751265
domestic rabbit monoclonal (PSH09-11)
reactivity:
human
,
mouse
application:
western blot
,
immunohistochemistry - paraffin section
,
dot blot
Western blot analysis of Phospho-GSK3 alpha (S21) on different lysates with Rabbit anti-Phospho-GSK3 alpha (S21) antibody (HA751265) at 1/2,000 dilution. Lane 1: A549 cell lysate Lane 2: A549 treated with 100nM Calyculin A for 30 minutes cell lysate Lane 3: SH-SY5Y cell lysate Lane 4: SH-SY5Y treated with 200nM Calyculin A and 1μM Okadaic Acid for 1 hour cell lysate Lysates/proteins at 20 µg/Lane. Predicted band size: 51 kDa Observed band size: 51 kDa Exposure time: 1 minute; ECL: K1801; 4-20% SDS-PAGE gel. Proteins were transferred to a PVDF membrane and blocked with 5% NFDM/TBST for 1 hour at room temperature. The primary antibody (HA751265) at 1/2,000 dilution was used in 5% NFDM/TBST at 4℃ overnight. Goat Anti-Rabbit IgG - HRP Secondary Antibody (HA1001) at 1/50,000 dilution was used for 1 hour at room temperature.
Western blot analysis of Phospho-GSK3 alpha (S21) on different lysates with Rabbit anti-Phospho-GSK3 alpha (S21) antibody (HA751265) at 1/2,000 dilution. Lane 1: NIH/3T3 starved overnight cell lysate Lane 2: NIH/3T3 starved overnight then treated with 100ng/mL PDGF for 5 minutes cell lysate Lysates/proteins at 20 µg/Lane. Predicted band size: 51 kDa Observed band size: 51 kDa Exposure time: 3 minutes; ECL: K1801; 4-20% SDS-PAGE gel. Proteins were transferred to a PVDF membrane and blocked with 5% NFDM/TBST for 1 hour at room temperature. The primary antibody (HA751265) at 1/2,000 dilution was used in 5% NFDM/TBST at 4℃ overnight. Goat Anti-Rabbit IgG - HRP Secondary Antibody (HA1001) at 1/50,000 dilution was used for 1 hour at room temperature.
Immunohistochemical analysis of paraffin-embedded mouse testis tissue with Rabbit anti-Phospho-GSK3 alpha (S21) antibody (HA751265) at 1/500 dilution. The section was pre-treated using heat mediated antigen retrieval with Tris-EDTA buffer (pH 9.0) for 20 minutes. The tissues were blocked in 1% BSA for 20 minutes at room temperature, washed with ddH2O and PBS, and then probed with the primary antibody (HA751265) at 1/500 dilution for 1 hour at room temperature. The detection was performed using an HRP conjugated compact polymer system. DAB was used as the chromogen. Tissues were counterstained with hematoxylin and mounted with DPX.
quantity: 100μl
price: 649.00 USD
to the supplier
GSK3 alpha
HUABIO
catalog: R1312-1
domestic rabbit polyclonal
reactivity:
human
application:
western blot
,
flow cytometry
,
immunohistochemistry - paraffin section
Western blot analysis on different cell lysates using anti-GSK3 alpha rabbit polyclonal antibodies.
Western blot analysis of GSK3 alpha on different lysates with Rabbit anti-GSK3 alpha antibody (R1312-1) at 1/1,000 dilution. Lane 1: A549-WT cell lysate (10 µg/Lane) Lane 2: A549-KD GSK3 alpha cell lysate (10 µg/Lane) Predicted band size: 51 kDa Observed band size: 51 kDa Exposure time: 3 minutes; ECL: K1801; 4-20% SDS-PAGE gel. Proteins were transferred to a PVDF membrane and blocked with 5% NFDM/TBST for 1 hour at room temperature. The primary antibody (R1312-1) at 1/1,000 dilution was used in 5% NFDM/TBST at 4℃ overnight. Goat Anti-Rabbit IgG - HRP Secondary Antibody (HA1001) at 1/50,000 dilution was used for 1 hour at room temperature.
ICC staining GSK3 alpha in Hela cells (green). Cells were fixed in paraformaldehyde, permeabilised with 0.25% Triton X100/PBS.
quantity: 100μl
price: 330 USD
to the supplier