mouse monoclonal (1H2)
reactivity: human, mouse, rat
application: western blot, flow cytometry, immunohistochemistry - paraffin section
reactivity: human, mouse, rat
application: western blot, flow cytometry, immunohistochemistry - paraffin section

Western blot analysis of NFIB/NF1B2 on SH-SY5Y cell lysates using anti-NFIB/NF1B2 antibody at 1/1,000 dilution.

ICC staining NFIB/NF1B2 (green) in LO-2 cells. The nuclear counter stain is DAPI (blue). Cells were fixed in paraformaldehyde, permeabilised with 0.25% Triton X100/PBS.

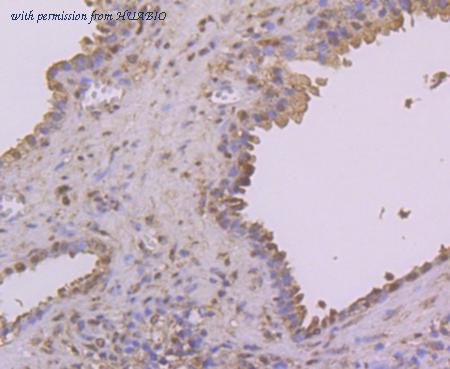
Immunohistochemical analysis of paraffin-embedded human colon carcinoma tissue with Mouse anti-NFIB / NF1B2 antibody (EM1701-67) at 1/1,000 dilution. The section was pre-treated using heat mediated antigen retrieval with sodium citrate buffer (pH 6.0) (high pressure) for 2 minutes. The tissues were blocked in 1% BSA for 20 minutes at room temperature, washed with ddH2O and PBS, and then probed with the primary antibody (EM1701-67) at 1/1,000 dilution for 1 hour at room temperature. The detection was performed using an HRP conjugated compact polymer system. DAB was used as the chromogen. Tissues were counterstained with hematoxylin and mounted with DPX.
quantity: 100μl
price: 360.00 USD
to the supplier
mouse monoclonal (1H4)
reactivity: human, mouse, rat
application: western blot, flow cytometry, immunohistochemistry - paraffin section
reactivity: human, mouse, rat
application: western blot, flow cytometry, immunohistochemistry - paraffin section

Western blot analysis of NFIB/NF1B2 on SH-SY5Y using anti-NFIB/NF1B2 antibody at 1/1,000 dilution.

Immunohistochemical analysis of paraffin-embedded rat heart tissue using anti-NFIB/NF1B2 antibody. Counter stained with hematoxylin.

Immunohistochemical analysis of paraffin-embedded human prostate tissue using anti-NFIB/NF1B2 antibody. Counter stained with hematoxylin.
quantity: 100μl
price: 360.00 USD
to the supplier
mouse monoclonal (1H5)
reactivity: human, mouse, rat
application: western blot, flow cytometry, immunohistochemistry - paraffin section
reactivity: human, mouse, rat
application: western blot, flow cytometry, immunohistochemistry - paraffin section

Western blot analysis of NFIB/NF1B2 on SH-SY5Y using anti-NFIB/NF1B2 antibody at 1/500 dilution.

Immunohistochemical analysis of paraffin-embedded rat heart tissue using anti-NFIB/NF1B2 antibody. Counter stained with hematoxylin.

Immunohistochemical analysis of paraffin-embedded mouse liver tissue using anti-NFIB/NF1B2 antibody. Counter stained with hematoxylin.
quantity: 100μl
price: 360.00 USD
to the supplier
mouse monoclonal (1H1)
reactivity: human, mouse, rat
application: flow cytometry, immunohistochemistry - paraffin section
reactivity: human, mouse, rat
application: flow cytometry, immunohistochemistry - paraffin section

Immunohistochemical analysis of paraffin-embedded rat heart tissue using anti-NFIB/NF1B2 antibody. Counter stained with hematoxylin.

Immunohistochemical analysis of paraffin-embedded human colon cancer tissue using anti-NFIB/NF1B2 antibody. Counter stained with hematoxylin.

Immunohistochemical analysis of paraffin-embedded human prostate tissue using anti-NFIB/NF1B2 antibody. Counter stained with hematoxylin.
quantity: 100μl
price: 360.00 USD
to the supplier
domestic rabbit monoclonal (JE35-21)
reactivity: human, mouse, rat
application: western blot, immunohistochemistry - paraffin section
reactivity: human, mouse, rat
application: western blot, immunohistochemistry - paraffin section

Western blot analysis of NFIB / NF1B2 on different lysates with Rabbit anti-NFIB / NF1B2 antibody (HA721879) at 1/10,000 dilution. Lane 1: SH-SY5Y cell lysate (20 µg/Lane) Lane 2: C6 cell lysate (20 µg/Lane) Lane 3: Human lung tissue lysate (40 µg/Lane) Lane 4: Mouse lung tissue lysate (40 µg/Lane) Predicted band size: 47 kDa Observed band size: 47 kDa Exposure time: 1 minute 2 seconds; 4-20% SDS-PAGE gel. Proteins were transferred to a PVDF membrane and blocked with 5% NFDM/TBST for 1 hour at room temperature. The primary antibody (HA721879) at 1/10,000 dilution was used in 5% NFDM/TBST at 4℃ overnight. Goat Anti-Rabbit IgG - HRP Secondary Antibody (HA1001) at 1/50,000 dilution was used for 1 hour at room temperature.

Immunocytochemistry analysis of HeLa cells labeling NFIB / NF1B2 with Rabbit anti-NFIB / NF1B2 antibody (HA721879) at 1/100 dilution. Cells were fixed in 4% paraformaldehyde for 20 minutes at room temperature, permeabilized with 0.1% Triton X-100 in PBS for 5 minutes at room temperature, then blocked with 1% BSA in 10% negative goat serum for 1 hour at room temperature. Cells were then incubated with Rabbit anti-NFIB / NF1B2 antibody (HA721879) at 1/100 dilution in 1% BSA in PBST overnight at 4 ℃. Goat Anti-Rabbit IgG H&L (iFluor™ 488, HA1121) was used as the secondary antibody at 1/1,000 dilution. PBS instead of the primary antibody was used as the secondary antibody only control. Nuclear DNA was labelled in blue with DAPI.

Immunohistochemical analysis of paraffin-embedded human breast tissue with Rabbit anti-NFIB / NF1B2 antibody (HA721879) at 1/2,000 dilution. The section was pre-treated using heat mediated antigen retrieval with sodium citrate buffer (pH 6.0) (high pressure) for 2 minutes. The tissues were blocked in 1% BSA for 20 minutes at room temperature, washed with ddH2O and PBS, and then probed with the primary antibody (HA721879) at 1/2,000 dilution for 1 hour at room temperature. The detection was performed using an HRP conjugated compact polymer system. DAB was used as the chromogen. Tissues were counterstained with hematoxylin and mounted with DPX.
quantity: 100μl
price: 385.00 USD
to the supplier
