Sign in
Sign up
home
>
HUABIO
> HUABIO CD274 antibody
PD-L1
HUABIO
catalog: ET1701-41-50UL
domestic rabbit monoclonal (JJ08-95)
reactivity:
human
application:
western blot
,
immunohistochemistry - paraffin section
Western blot analysis of PD-L1 on different lysates with Rabbit anti-PD-L1 antibody (ET1701-41) at 1/5,000 dilution. Lane 1: MDA-MB-231 cell lysate Lane 2: A375 cell lysate Lane 3: U-87 MG cell lysate Lane 4: THP-1 cell lysate Lysates/proteins at 20 µg/Lane. Predicted band size: 33 kDa Observed band size: 45 kDa Exposure time: 3 minutes 10 seconds; 4-20% SDS-PAGE gel. Proteins were transferred to a PVDF membrane and blocked with 5% NFDM/TBST for 1 hour at room temperature. The primary antibody (ET1701-41) at 1/5,000 dilution was used in 5% NFDM/TBST at 4℃ overnight. Goat Anti-Rabbit IgG - HRP Secondary Antibody (HA1001) at 1:50,000 dilution was used for 1 hour at room temperature.
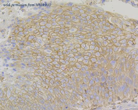
Immunohistochemical analysis of paraffin-embedded human non-small cell lung cancer tissue using anti-PD-L1 antibody. The section was pre-treated using heat mediated antigen retrieval with Tris-EDTA buffer (pH 8.0-8.4) for 20 minutes.The tissues were blocked in 5% BSA for 30 minutes at room temperature, washed with ddH2O and PBS, and then probed with the primary antibody (ET1701-41, 1/200) for 30 minutes at room temperature. The detection was performed using an HRP conjugated compact polymer system. DAB was used as the chromogen. Tissues were counterstained with hematoxylin and mounted with DPX.
quantity: 50μl
price: 205.00 USD
to the supplier
PD-L1
HUABIO
catalog: HA721176
domestic rabbit monoclonal (PD01-02)
reactivity:
human
application:
western blot
,
immunohistochemistry - paraffin section
Fluorescence multiplex immunohistochemical analysis of the human non-small cell lung cancer (Formalin/PFA-fixed paraffin-embedded sections). Panel A: the merged image of anti-CD20 (HA721138, green), anti-CD68 (HA601115, gray), anti-PD-L1 (HA721176, cyan), anti-panCK (HA601138, magenta) and anti-CD3 (HA720082, yellow) on human non-small cell lung cancer. Panel B: anti- CD20 stained on B cells. Panel C: anti-CD68 stained on macrophage M1 and macrophage M2. Panel D: anti-PD-L1 stained on dendritic cells and macrophages cells. Panel E: anti-panCK stained on cancer cells. Panel F: anti-CD3 stained on T cells. HRP Conjugated UltraPolymer Goat Polyclonal Antibody HA1119/HA1120 was used as a secondary antibody. The immunostaining was performed with the Sequential Immuno-staining Kit (IRISKit™MH010101, www.luminiris.cn). The section was incubated in five rounds of staining: in the order of HA721138 (1/1,500 dilution), HA601115 (1/2,000 dilution), HA721176 (1/1,000 dilution), HA601138 (1/3,000 dilution), and HA720082 (1/500 dilution) for 20 mins at room temperature. Each round was followed by a separate fluorescent tyramide signal amplification system. Heat mediated antigen retrieval with Tris-EDTA buffer (pH 9.0) for 30 mins at 95℃. DAPI (blue) was used as a nuclear counter stain. Image acquisition was performed with Olympus VS200 Slide Scanner.
Fluorescence multiplex immunohistochemical analysis of Tertiary Lymphoid Structures in Human Small Cell Lung Cancer (Formalin/PFA-fixed paraffin-embedded sections). Panel A: the merged image of anti-CD20 (HA721138, green), anti-PD-L1 (HA721176, cyan), anti-CD56 (ET1702-43, magenta) and anti-CD3 (HA720082, yellow) on tertiary lymphoid structures. Panel B: anti- CD20 stained on B cells. Panel C: anti-PD-L1 stained on dendritic cells and macrophages cells. Panel D: anti-CD56 stained on NKT cells. Panel E: anti-CD3 stained on T cells. HRP Conjugated UltraPolymer Goat Polyclonal Antibody HA1119/HA1120 was used as a secondary antibody. The immunostaining was performed with the Sequential Immuno-staining Kit (IRISKit™MH010101, www.luminiris.cn). The section was incubated in four rounds of staining: in the order of HA721138 (1/1,500 dilution), HA721176 (1/1,000 dilution), ET1702-43 (1/1,000 dilution), and HA720082 (1/500 dilution) for 20 mins at room temperature. Each round was followed by a separate fluorescent tyramide signal amplification system. Heat mediated antigen retrieval with Tris-EDTA buffer (pH 9.0) for 30 mins at 95℃. DAPI (blue) was used as a nuclear counter stain. Image acquisition was performed with Olympus VS200 Slide Scanner.
Fluorescence multiplex immunohistochemical analysis of Human non-small cell lung cancer (Formalin/PFA-fixed paraffin-embedded sections). Panel A: the merged image of anti-PD-L1 (HA721176, red), anti-CD34 (ET1606-11, green), anti-Pan-CK (HA601138, cyan), anti-CD20 (HA721138, magenta), anti-αSMA (ET1607-53, yellow) and anti-CD57 (HA601114, white) on NSCLC. Panel B: anti-PD-L1 stained on dendritic cells and macrophages cells. Panel C: anti- CD34 stained on endothelial cells. Panel D: anti-Pan-CK stained on cancer cells. Panel E: CD20 stained on B cells. Panel F: anti-αSMA stained on cancer-associated fibroblasts and smooth muscle cells. Panel G: anti-CD57 stained on NK cells and T cells. HRP Conjugated UltraPolymer Goat Polyclonal Antibody HA1119/HA1120 was used as a secondary antibody. The immunostaining was performed with the Sequential Immuno-staining Kit (IRISKit™MH010101, www.luminiris.cn). The section was incubated in six rounds of staining: in the order of HA721176 (1/1,000 dilution), ET1606-11 (1/1,000 dilution), HA601138 (1/3,000 dilution), HA721138 (1/2,000 dilution), ET1607-53 (1/3,000 dilution) and HA601114 (1/1,000 dilution) for 20 mins at room temperature. Each round was followed by a separate fluorescent tyramide signal amplification system. Heat mediated antigen retrieval with Tris-EDTA buffer (pH 9.0) for 30 mins at 95℃. DAPI (blue) was used as a nuclear counter stain. Image acquisition was performed with Olympus VS200 Slide Scanner.
quantity: 100μl
price: 385.00 USD
to the supplier
PD-L1
HUABIO
catalog: HA722300
domestic rabbit monoclonal (PD00-97)
reactivity:
human
application:
immunohistochemistry - paraffin section
Immunohistochemical analysis of paraffin-embedded human lung adenocarcinoma tissue with Rabbit anti-PD-L1 antibody (HA722300) at 1/1,000 dilution. The section was pre-treated using heat mediated antigen retrieval with Tris-EDTA buffer (pH 9.0) for 20 minutes. The tissues were blocked in 1% BSA for 20 minutes at room temperature, washed with ddH2O and PBS, and then probed with the primary antibody (HA722300) at 1/1,000 dilution for 1 hour at room temperature. The detection was performed using an HRP conjugated compact polymer system. DAB was used as the chromogen. Tissues were counterstained with hematoxylin and mounted with DPX.
quantity: 100μl
price: 385.00 USD
to the supplier
PD-L1
HUABIO
catalog: HA723510
domestic rabbit polyclonal (PSH13-23)
reactivity:
human
,
mouse
application:
western blot
Western blot analysis of PD-L1 on different lysates with Rabbit anti-PD-L1 antibody (HA723510) at 1/2,000 dilution. Lane 1: MDA-MB-231 cell lysate Lane 2: MCF7 cell lysate (negative) Lane 3: U-87 MG cell lysate Lane 4: HepG2 cell lysate (negative) Lysates/proteins at 20 µg/Lane. Predicted band size: 33 kDa Observed band size: 45-55 kDa Exposure time: 20 seconds; ECL: K1801; 4-20% SDS-PAGE gel. Proteins were transferred to a PVDF membrane and blocked with 5% NFDM/TBST for 1 hour at room temperature. The primary antibody (HA723510) at 1/2,000 dilution was used in 5% NFDM/TBST at 4℃ overnight. Goat Anti-Rabbit IgG - HRP Secondary Antibody (HA1001) at 1/50,000 dilution was used for 1 hour at room temperature.
Western blot analysis of PD-L1 on different lysates with Rabbit anti-PD-L1 antibody (HA723510) at 1/2,000 dilution. Lane 1: RAW264.7 cell lysate Lane 2: RAW264.7 treated with 10μg/mL LPS for 8 hours cell lysate Lane 3: J774A.1 cell lysate Lane 4: J774A.1 treated with 1μg/mL LPS for 24 hours cell lysate Lane 5: Mouse spleen tissue lysate Lane 6: Mouse lung tissue lysate Lysates/proteins at 20 µg/Lane. Predicted band size: 33 kDa Observed band size: 45-55 kDa Exposure time: 59 seconds; ECL: K1802; 4-20% SDS-PAGE gel. Proteins were transferred to a PVDF membrane and blocked with 5% NFDM/TBST for 1 hour at room temperature. The primary antibody (HA723510) at 1/2,000 dilution was used in 5% NFDM/TBST at 4℃ overnight. Goat Anti-Rabbit IgG - HRP Secondary Antibody (HA1001) at 1/50,000 dilution was used for 1 hour at room temperature.
quantity: 100μl
price: 385.00 USD
to the supplier
Human PD-L1
HUABIO
catalog: HA723740
domestic rabbit monoclonal (PSH15-36)
reactivity:
human
application:
ELISA
Sandwich ELISA analysis of Human PD-L1 matched pair antibodies Capture: HA723740, Human PD-L1 Rabbit mAb [PSH15-36] Detector: HA723741, Human PD-L1 Rabbit mAb [PSH15-37] Elisa assay was performed by coating wells of a 96-well plate with 100 µl per well of capture antibody (HA723740) diluted in carbonate/bicarbonate buffer, at a concentration of 5 µg/mL overnight at 4℃. Wells of the plate were washed, blocked with 150 µl 0.05% tween-20 1% BSA blocking buffer, and incubated with serial diluted Recombinant Human PD-L1 protein (HA210954) starting from 2,000 pg/ml to 0 pg/ml and detect antibody (HA723741, Biotin, 0.2 µg/ml) for 1 hour at 30℃ with shaking. Then the plate was washed and incubated with 100 µl per well of SA-HRP for 0.5 hour at 30℃ with shaking. Detection was performed using an Ultra TMB Substrate for 10 minutes at room temperature in the dark. The reaction was stopped with sulfuric acid and absorbances were read on a spectrophotometer at 450 nm.
Interpolated concentrations of native PD-L1 in A549 Cell extract samples based on a 1000 µg/ml extract load. Capture: HA723740, Human PD-L1 Rabbit mAb [PSH15-36] Detector: HA723741, Human PD-L1 Rabbit mAb [PSH15-37] Interpolated concentration of native PD-L1 was measured in duplicate at different sample concentrations. The interpolated dilution factor corrected values were plotted (mean +/- SD, n=2). The mean PD-L1 concentration was determined to be 1108 pg/mL in A549 treated Cell extract and undetectable in A549 untreated Cell extract.
Interpolated concentrations of spiked PD-L1 in cell culture media samples. Capture: HA723740, Human PD-L1 Rabbit mAb [PSH15-36] Detector: HA723741, Human PD-L1 Rabbit mAb [PSH15-37] The concentrations of PD-L1 were measured in duplicates, interpolated from the PD-L1 standard curves and corrected for sample dilution. Undiluted samples are as follows: cell culture media 50%. The interpolated dilution factor corrected values are plotted (mean +/- SD, n=2).
quantity: 100μl
price: 649.00 USD
to the supplier
Human PD-L1
HUABIO
catalog: HA723741
domestic rabbit monoclonal (PSH15-37)
reactivity:
human
application:
ELISA
Sandwich ELISA analysis of Human PD-L1 matched pair antibodies Capture: HA723740, Human PD-L1 Rabbit mAb [PSH15-36] Detector: HA723741, Human PD-L1 Rabbit mAb [PSH15-37] Elisa assay was performed by coating wells of a 96-well plate with 100 µl per well of capture antibody (HA723740) diluted in carbonate/bicarbonate buffer, at a concentration of 5 µg/mL overnight at 4℃. Wells of the plate were washed, blocked with 150 µl 0.05% tween-20 1% BSA blocking buffer, and incubated with serial diluted Recombinant Human PD-L1 protein (HA210954) starting from 2,000 pg/ml to 0 pg/ml and detect antibody (HA723741, Biotin, 0.2 µg/ml) for 1 hour at 30℃ with shaking. Then the plate was washed and incubated with 100 µl per well of SA-HRP for 0.5 hour at 30℃ with shaking. Detection was performed using an Ultra TMB Substrate for 10 minutes at room temperature in the dark. The reaction was stopped with sulfuric acid and absorbances were read on a spectrophotometer at 450 nm.
Interpolated concentrations of native PD-L1 in A549 Cell extract samples based on a 1000 µg/ml extract load. Capture: HA723740, Human PD-L1 Rabbit mAb [PSH15-36] Detector: HA723741, Human PD-L1 Rabbit mAb [PSH15-37] Interpolated concentration of native PD-L1 was measured in duplicate at different sample concentrations. The interpolated dilution factor corrected values were plotted (mean +/- SD, n=2). The mean PD-L1 concentration was determined to be 1108 pg/mL in A549 treated Cell extract and undetectable in A549 untreated Cell extract.
Interpolated concentrations of spiked PD-L1 in cell culture media samples. Capture: HA723740, Human PD-L1 Rabbit mAb [PSH15-36] Detector: HA723741, Human PD-L1 Rabbit mAb [PSH15-37] The concentrations of PD-L1 were measured in duplicates, interpolated from the PD-L1 standard curves and corrected for sample dilution. Undiluted samples are as follows: cell culture media 50%. The interpolated dilution factor corrected values are plotted (mean +/- SD, n=2).
quantity: 100μl
price: 649.00 USD
to the supplier
Human PD-L1
HUABIO
catalog: HA723742B
domestic rabbit monoclonal (PSH15-37)
reactivity:
human
conjugate: biotin
application:
ELISA
Sandwich ELISA analysis of Human PD-L1 matched pair antibodies Capture: HA723740, Human PD-L1 Rabbit mAb [PSH15-36] Detector: HA723741, Human PD-L1 Rabbit mAb [PSH15-37] Elisa assay was performed by coating wells of a 96-well plate with 100 µl per well of capture antibody (HA723740) diluted in carbonate/bicarbonate buffer, at a concentration of 5 µg/mL overnight at 4℃. Wells of the plate were washed, blocked with 150 µl 0.05% tween-20 1% BSA blocking buffer, and incubated with serial diluted Recombinant Human PD-L1 protein (HA210954) starting from 2,000 pg/ml to 0 pg/ml and detect antibody (HA723741, Biotin, 0.2 µg/ml) for 1 hour at 30℃ with shaking. Then the plate was washed and incubated with 100 µl per well of SA-HRP for 0.5 hour at 30℃ with shaking. Detection was performed using an Ultra TMB Substrate for 10 minutes at room temperature in the dark. The reaction was stopped with sulfuric acid and absorbances were read on a spectrophotometer at 450 nm.
Interpolated concentrations of native PD-L1 in A549 Cell extract samples based on a 1000 µg/ml extract load. Capture: HA723740, Human PD-L1 Rabbit mAb [PSH15-36] Detector: HA723741, Human PD-L1 Rabbit mAb [PSH15-37] Interpolated concentration of native PD-L1 was measured in duplicate at different sample concentrations. The interpolated dilution factor corrected values were plotted (mean +/- SD, n=2). The mean PD-L1 concentration was determined to be 1108 pg/mL in A549 treated Cell extract and undetectable in A549 untreated Cell extract.
Interpolated concentrations of spiked PD-L1 in cell culture media samples. Capture: HA723740, Human PD-L1 Rabbit mAb [PSH15-36] Detector: HA723741, Human PD-L1 Rabbit mAb [PSH15-37] The concentrations of PD-L1 were measured in duplicates, interpolated from the PD-L1 standard curves and corrected for sample dilution. Undiluted samples are as follows: cell culture media 50%. The interpolated dilution factor corrected values are plotted (mean +/- SD, n=2).
quantity: 100μl
price: 409.00 USD
to the supplier
PD-L1
HUABIO
catalog: HA750309
domestic rabbit monoclonal (JJ08-95)
reactivity:
human
application:
western blot
,
immunohistochemistry - paraffin section
Western blot analysis of PD-L1 on different lysates with Rabbit anti-PD-L1 antibody (HA750309) at 1/5,000 dilution. Lane 1: MDA-MB-231 cell lysate Lane 2: A375 cell lysate Lane 3: U-87 MG cell lysate Lane 4: THP-1 cell lysate Lysates/proteins at 20 µg/Lane. Predicted band size: 33 kDa Observed band size: 45 kDa Exposure time: 3 minutes 10 seconds; 4-20% SDS-PAGE gel. Proteins were transferred to a PVDF membrane and blocked with 5% NFDM/TBST for 1 hour at room temperature. The primary antibody (HA750309) at 1/5,000 dilution was used in 5% NFDM/TBST at 4℃ overnight. Goat Anti-Rabbit IgG - HRP Secondary Antibody (HA1001) at 1:50,000 dilution was used for 1 hour at room temperature.
Immunohistochemical analysis of paraffin-embedded human non-small cell lung cancer tissue using anti-PD-L1 antibody. The section was pre-treated using heat mediated antigen retrieval with Tris-EDTA buffer (pH 8.0-8.4) for 20 minutes.The tissues were blocked in 5% BSA for 30 minutes at room temperature, washed with ddH2O and PBS, and then probed with the primary antibody (HA750309, 1/200) for 30 minutes at room temperature. The detection was performed using an HRP conjugated compact polymer system. DAB was used as the chromogen. Tissues were counterstained with hematoxylin and mounted with DPX.
quantity: 100μl
price: 649.00 USD
to the supplier
PD-L1
HUABIO
catalog: HA751015
domestic rabbit monoclonal (PD00-97)
reactivity:
human
application:
immunohistochemistry - paraffin section
Immunohistochemical analysis of paraffin-embedded human lung adenocarcinoma tissue with Rabbit anti-PD-L1 antibody (HA751015) at 1/1,000 dilution. The section was pre-treated using heat mediated antigen retrieval with Tris-EDTA buffer (pH 9.0) for 20 minutes. The tissues were blocked in 1% BSA for 20 minutes at room temperature, washed with ddH2O and PBS, and then probed with the primary antibody (HA751015) at 1/1,000 dilution for 1 hour at room temperature. The detection was performed using an HRP conjugated compact polymer system. DAB was used as the chromogen. Tissues were counterstained with hematoxylin and mounted with DPX.
quantity: 100μl
price: 649.00 USD
to the supplier
PD-L1
HUABIO
catalog: HA751459
domestic rabbit polyclonal (PSH13-23)
reactivity:
human
,
mouse
application:
western blot
Western blot analysis of PD-L1 on different lysates with Rabbit anti-PD-L1 antibody (HA751459) at 1/2,000 dilution. Lane 1: MDA-MB-231 cell lysate Lane 2: MCF7 cell lysate (negative) Lane 3: U-87 MG cell lysate Lane 4: HepG2 cell lysate (negative) Lysates/proteins at 20 µg/Lane. Predicted band size: 33 kDa Observed band size: 45-55 kDa Exposure time: 20 seconds; ECL: K1801; 4-20% SDS-PAGE gel. Proteins were transferred to a PVDF membrane and blocked with 5% NFDM/TBST for 1 hour at room temperature. The primary antibody (HA751459) at 1/2,000 dilution was used in 5% NFDM/TBST at 4℃ overnight. Goat Anti-Rabbit IgG - HRP Secondary Antibody (HA1001) at 1/50,000 dilution was used for 1 hour at room temperature.
Western blot analysis of PD-L1 on different lysates with Rabbit anti-PD-L1 antibody (HA751459) at 1/2,000 dilution. Lane 1: RAW264.7 cell lysate Lane 2: RAW264.7 treated with 10μg/mL LPS for 8 hours cell lysate Lane 3: J774A.1 cell lysate Lane 4: J774A.1 treated with 1μg/mL LPS for 24 hours cell lysate Lane 5: Mouse spleen tissue lysate Lane 6: Mouse lung tissue lysate Lysates/proteins at 20 µg/Lane. Predicted band size: 33 kDa Observed band size: 45-55 kDa Exposure time: 59 seconds; ECL: K1802; 4-20% SDS-PAGE gel. Proteins were transferred to a PVDF membrane and blocked with 5% NFDM/TBST for 1 hour at room temperature. The primary antibody (HA751459) at 1/2,000 dilution was used in 5% NFDM/TBST at 4℃ overnight. Goat Anti-Rabbit IgG - HRP Secondary Antibody (HA1001) at 1/50,000 dilution was used for 1 hour at room temperature.
quantity: 100μl
price: 649.00 USD
to the supplier
Anti-PD-L1 Antibody [JJ08-95]
HUABIO
catalog: ET1701-41TR
domestic rabbit monoclonal (JJ08-95)
reactivity:
human
application:
western blot
,
immunohistochemistry - paraffin section
quantity: 20 uL
price: 99 USD
to the supplier