Sign in
Sign up
home
>
HUABIO
> HUABIO Rbfox3 antibody
NeuN
HUABIO
catalog: ET1602-12-50UL
domestic rabbit monoclonal (SR45-07)
reactivity:
human
,
mouse
,
rat
application:
western blot
,
flow cytometry
,
immunohistochemistry - paraffin section
,
immunohistochemistry - frozen section
Application: IHC-Fr Species: Mouse Site: Cerebellum Sample: Frozen section Antibody concentration: 1: 1,000 (NeuN, ET1602-12, red); 1:1,000 (Iba1, HA601367, green) Antigen retrieval: Not required
Application: IHC-Fr Species: Mouse Site: Cerebellum Sample: Frozen section Antibody concentration: 1: 2,000 (NeuN, ET1602-12, red); 1:1,000 (SOX10, HA601413, green) Antigen retrieval: Not required
Application: IHC-Fr Species: Mouse Site: Hippocampus Sample: Frozen section Antibody concentration: 1:2,000 Antigen retrieval: Not required
quantity: 50μl
price: 205.00 USD
to the supplier
NeuN
HUABIO
catalog: HA601111
mouse monoclonal (PD01-45)
reactivity:
human
,
mouse
,
rat
application:
western blot
,
immunohistochemistry - paraffin section
,
immunohistochemistry - frozen section
Application: IHC-Fr Species: Mouse Site: Cerebellum Sample: Frozen section Antibody concentration: 1/500 (NeuN, HA601111, Mouse, green); 1/500 (Iba1, HA601368, Guinea pig, red) Antigen retrieval: Not required
Western blot analysis of NeuN on mouse cerebellum tissue lysates with Mouse anti-NeuN antibody (HA601111) at 1/1,000 dilution. Lysates/proteins at 20 µg/Lane. Predicted band size: 34 kDa Observed band size: 45/50 kDa Exposure time: 2 minutes; 10% SDS-PAGE gel. Proteins were transferred to a PVDF membrane and blocked with 5% NFDM/TBST for 1 hour at room temperature. The primary antibody (HA601111) at 1/1,000 dilution was used in 5% NFDM/TBST at room temperature for 2 hours. Goat Anti-Mouse IgG - HRP Secondary Antibody (HA1006) at 1:150,000 dilution was used for 1 hour at room temperature.
Western blot analysis of NeuN on different lysates with Mouse anti-NeuN antibody (HA601111) at 1/500 dilution. Lane 1: SH-SY5Y cell lysate Lane 2: SHG44 cell lysate Lysates/proteins at 10 µg/Lane. Predicted band size: 34 kDa Observed band size: 50 kDa Exposure time: 2 minutes; 10% SDS-PAGE gel. Proteins were transferred to a PVDF membrane and blocked with 5% NFDM/TBST for 1 hour at room temperature. The primary antibody (HA601111) at 1/500 dilution was used in 5% NFDM/TBST at room temperature for 2 hours. Goat Anti-Mouse IgG - HRP Secondary Antibody (HA1006) at 1:150,000 dilution was used for 1 hour at room temperature.
quantity: 100μl
price: 360.00 USD
to the supplier
NeuN
HUABIO
catalog: HA610031
mouse monoclonal (PD01-45)
reactivity:
human
,
mouse
,
rat
application:
western blot
,
immunohistochemistry - paraffin section
,
immunohistochemistry - frozen section
Application: IHC-Fr Species: Mouse Site: Cerebellum Sample: Frozen section Antibody concentration: 1/500 (NeuN, HA610031, Mouse, green); 1/500 (Iba1, HA601368, Guinea pig, red) Antigen retrieval: Not required
Western blot analysis of NeuN on mouse cerebellum tissue lysates with Mouse anti-NeuN antibody (HA610031) at 1/1,000 dilution. Lysates/proteins at 20 µg/Lane. Predicted band size: 34 kDa Observed band size: 45/50 kDa Exposure time: 2 minutes; 10% SDS-PAGE gel. Proteins were transferred to a PVDF membrane and blocked with 5% NFDM/TBST for 1 hour at room temperature. The primary antibody (HA610031) at 1/1,000 dilution was used in 5% NFDM/TBST at room temperature for 2 hours. Goat Anti-Mouse IgG - HRP Secondary Antibody (HA1006) at 1:150,000 dilution was used for 1 hour at room temperature.
Western blot analysis of NeuN on different lysates with Mouse anti-NeuN antibody (HA610031) at 1/500 dilution. Lane 1: SH-SY5Y cell lysate Lane 2: SHG44 cell lysate Lysates/proteins at 10 µg/Lane. Predicted band size: 34 kDa Observed band size: 50 kDa Exposure time: 2 minutes; 10% SDS-PAGE gel. Proteins were transferred to a PVDF membrane and blocked with 5% NFDM/TBST for 1 hour at room temperature. The primary antibody (HA610031) at 1/500 dilution was used in 5% NFDM/TBST at room temperature for 2 hours. Goat Anti-Mouse IgG - HRP Secondary Antibody (HA1006) at 1:150,000 dilution was used for 1 hour at room temperature.
quantity: 100μg
price: 649.00 USD
to the supplier
NeuN
HUABIO
catalog: HA720167F
domestic rabbit monoclonal (SR45-07)
reactivity:
human
,
mouse
,
rat
application:
immunohistochemistry - frozen section
Immunofluorescence analysis of paraffin-embedded mouse brain tissue labeling NeuN (HA720167F). The section was pre-treated using heat mediated antigen retrieval with sodium citrate buffer (pH 6.0) (high pressure) for 2 minutes. The tissues were blocked in 10% negative goat serum for 1 hour at room temperature, washed with PBS. And then probed with the primary antibody NeuN (HA720167F, iFluor™ 594) at 1/50 dilution overnight at 4 ℃, washed with PBS. DAPI was used as nuclear counterstain.
Immunofluorescence analysis of paraffin-embedded mouse cerebral cortex tissue labeling NeuN (HA720167F). The section was pre-treated using heat mediated antigen retrieval with sodium citrate buffer (pH 6.0) (high pressure) for 2 minutes. The tissues were blocked in 10% negative goat serum for 1 hour at room temperature, washed with PBS. And then probed with the primary antibody NeuN (HA720167F, iFluor™ 594) at 1/100 dilution overnight at 4 ℃, washed with PBS. DAPI was used as nuclear counterstain.
Immunofluorescence analysis of paraffin-embedded mouse hippocampus tissue labeling NeuN (HA720167F). The section was pre-treated using heat mediated antigen retrieval with sodium citrate buffer (pH 6.0) (high pressure) for 2 minutes. The tissues were blocked in 10% negative goat serum for 1 hour at room temperature, washed with PBS. And then probed with the primary antibody NeuN (HA720167F, iFluor™ 594) at 1/100 dilution overnight at 4 ℃, washed with PBS. DAPI was used as nuclear counterstain.
quantity: 100μl
price: 429.00 USD
to the supplier
NeuN
HUABIO
catalog: HA720168F
domestic rabbit monoclonal (SR45-07)
reactivity:
human
,
mouse
,
rat
Immunofluorescence analysis of paraffin-embedded mouse brain tissue labeling NeuN (HA720168F). The section was pre-treated using heat mediated antigen retrieval with sodium citrate buffer (pH 6.0) (high pressure) for 2 minutes. The tissues were blocked in 10% negative goat serum for 1 hour at room temperature, washed with PBS. And then probed with the primary antibody NeuN (HA720168F, iFluor™ 488) at 1/50 dilution overnight at 4 ℃, washed with PBS. DAPI was used as nuclear counterstain.
quantity: 100μl
price: 429.00 USD
to the supplier
NeuN
HUABIO
catalog: HA601397
domestic rabbit polyclonal (SR45-07)
reactivity:
human
,
mouse
,
rat
application:
immunohistochemistry - paraffin section
,
immunohistochemistry - frozen section
Application: IHC-Fr Species: Mouse Site: cerebellum Sample: Frozen section Antibody concentration: 1/1,000 (NeuN, HA601397, Rat, green); 1/500 (VGLUT1, HA723217, Rabbit, red) Antigen retrieval: Not required
Application: IHC-Fr Species: Mouse Site: Cerebellum Sample: Frozen section Antibody concentration: 1:1,000 Antigen retrieval: Not required
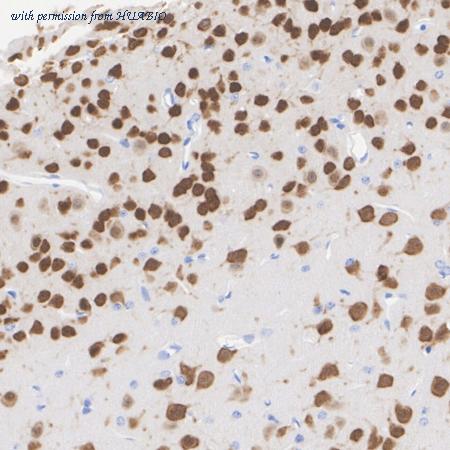
Immunohistochemical analysis of paraffin-embedded human cerebellum tissue with Rat anti-NeuN antibody (HA601397) at 1/2,000 dilution. The section was pre-treated using heat mediated antigen retrieval with Tris-EDTA buffer (pH 9.0) for 20 minutes. The tissues were blocked in 1% BSA for 20 minutes at room temperature, washed with ddH2O and PBS, and then probed with the primary antibody (HA601397) at 1/2,000 dilution for 1 hour at room temperature. The detection was performed using an HRP conjugated compact polymer system. DAB was used as the chromogen. Tissues were counterstained with hematoxylin and mounted with DPX.
quantity: 100μl
price: 330 USD
to the supplier
NeuN
HUABIO
catalog: HA601481
domestic rabbit polyclonal (SR45-07)
reactivity:
mouse
,
rat
application:
western blot
,
immunohistochemistry - frozen section
Application: IHC-Fr Species: Mouse Site: brain Sample: Frozen section Antibody concentration: 1/200 Antigen retrieval: Not required
Western blot analysis of NeuN on different lysates with Guinea pig anti-NeuN antibody (HA601481) at 1/10,000 dilution. Lane 1: Mouse brain tissue lysate Lane 2: C2C12 cell lysate (negative) Lane 3: Rat brain tissue lysate Lysates/proteins at 15 µg/Lane. Predicted band size: 34 kDa Observed band size: 45/50 kDa Exposure time: 20 seconds; ECL: K1801; 4-20% SDS-PAGE gel. Proteins were transferred to a PVDF membrane and blocked with 5% NFDM/TBST for 1 hour at room temperature. The primary antibody (HA601481) at 1/10,000 dilution was used in primary antibody dilution (K1803) at 4℃ overnight. Rabbit anti-Guinea pig IgG H&L - HRP Secondary Antibody (HA1021) at 1/50,000 dilution was used for 1 hour at room temperature.
quantity: 100μl
price: 360.00 USD
to the supplier
NeuN
HUABIO
catalog: HA601482
domestic rabbit polyclonal (SR45-07)
reactivity:
human
,
mouse
,
rat
application:
western blot
,
immunohistochemistry - paraffin section
,
immunohistochemistry - frozen section
Application: IHC-Fr Species: Mouse Site: brain Sample: Frozen section Antibody concentration: 1/1,000 (NeuN, HA601482, Mouse, green); 1/200 (QKI-6, HA601502, Guinea pig, red) Antigen retrieval: Not required
Immunohistochemical analysis of paraffin-embedded human brain tissue with Mouse anti-NeuN antibody (HA601482) at 1/5,000 dilution. The section was pre-treated using heat mediated antigen retrieval with Tris-EDTA buffer (pH 9.0) for 20 minutes. The tissues were blocked in 1% BSA for 20 minutes at room temperature, washed with ddH2O and PBS, and then probed with the primary antibody (HA601482) at 1/5,000 dilution for 1 hour at room temperature. The detection was performed using an HRP conjugated compact polymer system. DAB was used as the chromogen. Tissues were counterstained with hematoxylin and mounted with DPX.
Immunohistochemical analysis of paraffin-embedded mouse brain tissue with Mouse anti-NeuN antibody (HA601482) at 1/5,000 dilution. The section was pre-treated using heat mediated antigen retrieval with Tris-EDTA buffer (pH 9.0) for 20 minutes. The tissues were blocked in 1% BSA for 20 minutes at room temperature, washed with ddH2O and PBS, and then probed with the primary antibody (HA601482) at 1/5,000 dilution for 1 hour at room temperature. The detection was performed using an HRP conjugated compact polymer system. DAB was used as the chromogen. Tissues were counterstained with hematoxylin and mounted with DPX.
quantity: 100μl
price: 360.00 USD
to the supplier
NeuN
HUABIO
catalog: HA610237
domestic rabbit polyclonal (SR45-07)
reactivity:
human
,
mouse
,
rat
application:
immunohistochemistry - paraffin section
,
immunohistochemistry - frozen section
Application: IHC-Fr Species: Mouse Site: cerebellum Sample: Frozen section Antibody concentration: 1/1,000 (NeuN, HA610237, Rat, green); 1/500 (VGLUT1, HA723217, Rabbit, red) Antigen retrieval: Not required
Application: IHC-Fr Species: Mouse Site: Cerebellum Sample: Frozen section Antibody concentration: 1:1,000 Antigen retrieval: Not required
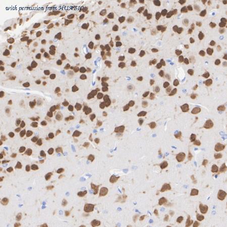
Immunohistochemical analysis of paraffin-embedded human cerebellum tissue with Rat anti-NeuN antibody (HA610237) at 1/2,000 dilution. The section was pre-treated using heat mediated antigen retrieval with Tris-EDTA buffer (pH 9.0) for 20 minutes. The tissues were blocked in 1% BSA for 20 minutes at room temperature, washed with ddH2O and PBS, and then probed with the primary antibody (HA610237) at 1/2,000 dilution for 1 hour at room temperature. The detection was performed using an HRP conjugated compact polymer system. DAB was used as the chromogen. Tissues were counterstained with hematoxylin and mounted with DPX.
quantity: 100μg
price: 649.00 USD
to the supplier
NeuN
HUABIO
catalog: HA610315
domestic rabbit polyclonal (SR45-07)
reactivity:
mouse
,
rat
application:
western blot
,
immunohistochemistry - frozen section
Application: IHC-Fr Species: Mouse Site: brain Sample: Frozen section Antibody concentration: 1/200 Antigen retrieval: Not required
Western blot analysis of NeuN on different lysates with Guinea pig anti-NeuN antibody (HA610315) at 1/10,000 dilution. Lane 1: Mouse brain tissue lysate Lane 2: C2C12 cell lysate (negative) Lane 3: Rat brain tissue lysate Lysates/proteins at 15 µg/Lane. Predicted band size: 34 kDa Observed band size: 45/50 kDa Exposure time: 20 seconds; ECL: K1801; 4-20% SDS-PAGE gel. Proteins were transferred to a PVDF membrane and blocked with 5% NFDM/TBST for 1 hour at room temperature. The primary antibody (HA610315) at 1/10,000 dilution was used in primary antibody dilution (K1803) at 4℃ overnight. Rabbit anti-Guinea pig IgG H&L - HRP Secondary Antibody (HA1021) at 1/50,000 dilution was used for 1 hour at room temperature.
quantity: 100μg
price: 649.00 USD
to the supplier
NeuN
HUABIO
catalog: HA610316
domestic rabbit polyclonal (SR45-07)
reactivity:
human
,
mouse
,
rat
application:
western blot
,
immunohistochemistry - paraffin section
,
immunohistochemistry - frozen section
Application: IHC-Fr Species: Mouse Site: brain Sample: Frozen section Antibody concentration: 1/1,000 (NeuN, HA610316, Mouse, green); 1/200 (QKI-6, HA601502, Guinea pig, red) Antigen retrieval: Not required
Immunohistochemical analysis of paraffin-embedded human brain tissue with Mouse anti-NeuN antibody (HA610316) at 1/5,000 dilution. The section was pre-treated using heat mediated antigen retrieval with Tris-EDTA buffer (pH 9.0) for 20 minutes. The tissues were blocked in 1% BSA for 20 minutes at room temperature, washed with ddH2O and PBS, and then probed with the primary antibody (HA610316) at 1/5,000 dilution for 1 hour at room temperature. The detection was performed using an HRP conjugated compact polymer system. DAB was used as the chromogen. Tissues were counterstained with hematoxylin and mounted with DPX.
Immunohistochemical analysis of paraffin-embedded mouse brain tissue with Mouse anti-NeuN antibody (HA610316) at 1/5,000 dilution. The section was pre-treated using heat mediated antigen retrieval with Tris-EDTA buffer (pH 9.0) for 20 minutes. The tissues were blocked in 1% BSA for 20 minutes at room temperature, washed with ddH2O and PBS, and then probed with the primary antibody (HA610316) at 1/5,000 dilution for 1 hour at room temperature. The detection was performed using an HRP conjugated compact polymer system. DAB was used as the chromogen. Tissues were counterstained with hematoxylin and mounted with DPX.
quantity: 100μg
price: 649.00 USD
to the supplier