Sign in
Sign up
home
>
HUABIO
> HUABIO GPX1 antibody
Glutathione peroxidase 1
HUABIO
catalog: EM1701-96
mouse monoclonal (A6-C0-B9)
reactivity:
human
application:
western blot
,
flow cytometry
,
immunohistochemistry - paraffin section
Western blot analysis of Glutathione peroxidase 1 on different lysates with Mouse anti-Glutathione peroxidase 1 antibody (EM1701-96) at 1/2,000 dilution. Lane 1: HEK-293 cell lysate (20 µg/Lane) Lane 2: HepG2 cell lysate (20 µg/Lane) Lane 3: SH-SY5Y cell lysate (20 µg/Lane) Lane 4: HT-29 cell lysate (20 µg/Lane) Lane 5: Human liver tissue lysate (40 µg/Lane) Lane 6: Human kidney tissue lysate (40 µg/Lane) Predicted band size: 22 kDa Observed band size: 22 kDa Exposure time: 24 seconds; 4-20% SDS-PAGE gel. Proteins were transferred to a PVDF membrane and blocked with 5% NFDM/TBST for 1 hour at room temperature. The primary antibody (EM1701-96) at 1/2,000 dilution was used in 5% NFDM/TBST at 4℃ overnight. Goat Anti-Mouse IgG - HRP Secondary Antibody (HA1006) at 1/50,000 dilution was used for 1 hour at room temperature.
Western blot analysis of Glutathione peroxidase 1 on different lysates with Mouse anti-Glutathione peroxidase 1 antibody (EM1701-96) at 1/2,000 dilution. Lane 1: HAP1-parental cell lysate Lane 2: HAP1-Glutathione peroxidase 1 KD cell lysate Lysates/proteins at 10 µg/Lane. Predicted band size: 22 kDa Observed band size: 22 kDa Exposure time: 180 seconds; ECL: K1801; 4-20% SDS-PAGE gel. Proteins were transferred to a PVDF membrane and blocked with 5% NFDM/TBST for 1 hour at room temperature. The primary antibody (EM1701-96) at 1/2,000 dilution was used in 5% NFDM/TBST at 4℃ overnight. Goat Anti-Mouse IgG - HRP Secondary Antibody (HA1006) at 1/50,000 dilution was used for 1 hour at room temperature.
Immunocytochemistry analysis of THP-1 cells labeling Glutathione peroxidase 1 with Mouse anti-Glutathione peroxidase 1 antibody (EM1701-96) at 1/100 dilution. Cells were fixed in 80% precooled methanol for 5 minutes at room temperature, then blocked with 1% BSA in 10% negative goat serum for 1 hour at room temperature. Cells were then incubated with Mouse anti-Glutathione peroxidase 1 antibody (EM1701-96) at 1/100 dilution in 1% BSA in PBST overnight at 4 ℃. Goat Anti-Mouse IgG H&L (iFluor™ 488, HA1125) was used as the secondary antibody at 1/1,000 dilution. PBS instead of the primary antibody was used as the secondary antibody only control. Nuclear DNA was labelled in blue with DAPI. beta Tubulin (ET1602-4, red) was stained at 1/100 dilution overnight at +4℃. Goat Anti-Rabbit IgG H&L (iFluor™ 594, HA1122) were used as the secondary antibody at 1/1,000 dilution.
quantity: 100μl
price: 360.00 USD
to the supplier
Glutathione peroxidase 1
HUABIO
catalog: EM1901-56
mouse monoclonal (C5-A10)
reactivity:
human
,
mouse
application:
western blot
,
flow cytometry
,
immunohistochemistry - paraffin section
Western blot analysis of Glutathione peroxidase 1 on different lysates with Mouse anti-Glutathione peroxidase 1 antibody (EM1901-56) at 1/2,000 dilution. Lane 1: HEK-293 cell lysate (20 µg/Lane) Lane 2: HepG2 cell lysate (20 µg/Lane) Lane 3: SH-SY5Y cell lysate (20 µg/Lane) Lane 4: HT-29 cell lysate (20 µg/Lane) Lane 5: Human liver tissue lysate (40 µg/Lane) Lane 6: Human kidney tissue lysate (40 µg/Lane) Predicted band size: 22 kDa Observed band size: 22 kDa Exposure time: 24 seconds; 4-20% SDS-PAGE gel. Proteins were transferred to a PVDF membrane and blocked with 5% NFDM/TBST for 1 hour at room temperature. The primary antibody (EM1901-56) at 1/2,000 dilution was used in 5% NFDM/TBST at 4℃ overnight. Goat Anti-Mouse IgG - HRP Secondary Antibody (HA1006) at 1/50,000 dilution was used for 1 hour at room temperature.
Immunocytochemistry analysis of THP-1 cells labeling Glutathione peroxidase 1 with Mouse anti-Glutathione peroxidase 1 antibody (EM1901-56) at 1/100 dilution. Cells were fixed in 80% precooled methanol for 5 minutes at room temperature, then blocked with 1% BSA in 10% negative goat serum for 1 hour at room temperature. Cells were then incubated with Mouse anti-Glutathione peroxidase 1 antibody (EM1901-56) at 1/100 dilution in 1% BSA in PBST overnight at 4 ℃. Goat Anti-Mouse IgG H&L (iFluor™ 488, HA1125) was used as the secondary antibody at 1/1,000 dilution. PBS instead of the primary antibody was used as the secondary antibody only control. Nuclear DNA was labelled in blue with DAPI. beta Tubulin (ET1602-4, red) was stained at 1/100 dilution overnight at +4℃. Goat Anti-Rabbit IgG H&L (iFluor™ 594, HA1122) were used as the secondary antibody at 1/1,000 dilution.
Immunohistochemical analysis of paraffin-embedded human liver tissue with Mouse anti-Glutathione peroxidase 1 antibody (EM1901-56) at 1/2,000 dilution. The section was pre-treated using heat mediated antigen retrieval with Tris-EDTA buffer (pH 9.0) for 20 minutes. The tissues were blocked in 1% BSA for 20 minutes at room temperature, washed with ddH2O and PBS, and then probed with the primary antibody (EM1901-56) at 1/2,000 dilution for 1 hour at room temperature. The detection was performed using an HRP conjugated compact polymer system. DAB was used as the chromogen. Tissues were counterstained with hematoxylin and mounted with DPX.
quantity: 100μl
price: 360.00 USD
to the supplier
Glutathione Peroxidase 1
HUABIO
catalog: EM40708
mouse monoclonal (C5-F6)
reactivity:
human
application:
western blot
,
flow cytometry
,
immunohistochemistry - paraffin section
Western blot analysis of Glutathione Peroxidase 1 on different lysates with Mouse anti-Glutathione Peroxidase 1 antibody (EM40708) at 1/2,000 dilution. Lane 1: THP-1 cell lysate Lane 2: HEK-293 cell lysate Lane 3: HepG2 cell lysate Lane 4: SH-SY5Y cell lysate Lane 5: HT-29 cell lysate Lysates/proteins at 20 µg/Lane. Predicted band size: 22 kDa Observed band size: 22 kDa Exposure time: 10 seconds; ECL: K1801; 4-20% SDS-PAGE gel. Proteins were transferred to a PVDF membrane and blocked with 5% NFDM/TBST for 1 hour at room temperature. The primary antibody (EM40708) at 1/2,000 dilution was used in 5% NFDM/TBST at 4℃ overnight. Goat Anti-Mouse IgG - HRP Secondary Antibody (HA1006) at 1/50,000 dilution was used for 1 hour at room temperature.
ICC staining GPX1 in Hela cells (red). Cells were fixed in paraformaldehyde, permeabilised with 0.25% Triton X100/PBS.
ICC staining GPX1 in HepG2 cells (red). Cells were fixed in paraformaldehyde, permeabilised with 0.25% Triton X100/PBS.
quantity: 100μl
price: 360.00 USD
to the supplier
Glutathione Peroxidase 1
HUABIO
catalog: ET1701-84
domestic rabbit monoclonal (JJ092-07)
reactivity:
human
,
mouse
,
rat
application:
western blot
,
immunoprecipitation
Western blot analysis of Glutathione Peroxidase 1 on different lysates. Proteins were transferred to a PVDF membrane and blocked with 5% BSA in PBS for 1 hour at room temperature. The primary antibody (ET1701-84, 1/500) was used in 5% BSA at room temperature for 2 hours. Goat Anti-Rabbit IgG - HRP Secondary Antibody (HA1001) at 1:5,000 dilution was used for 1 hour at room temperature. Positive control: Lane 1: HepG2 cell lysate Lane 2: THP-1 cell lysate
quantity: 100μl
price: 385.00 USD
to the supplier
Glutathione Peroxidase 1
HUABIO
catalog: ET1702-09
domestic rabbit monoclonal (JF0944)
reactivity:
human
,
mouse
application:
western blot
,
immunohistochemistry - paraffin section
Western blot analysis of Glutathione Peroxidase 1 on different lysates with Rabbit anti-Glutathione Peroxidase 1 antibody (ET1702-09) at 1/1,000 dilution. Lane 1: SH-SY5Y cell lysate Lane 2: THP-1 cell lysate Lane 3: HEK-293 cell lysate Lysates/proteins at 20 µg/Lane. Predicted band size: 22 kDa Observed band size: 22 kDa Exposure time: 25 seconds; ECL: K1802; 4-20% SDS-PAGE gel. Proteins were transferred to a PVDF membrane and blocked with 5% NFDM/TBST for 1 hour at room temperature. The primary antibody (ET1702-09) at 1/1,000 dilution was used in 5% NFDM/TBST at 4℃ overnight. Goat Anti-Rabbit IgG - HRP Secondary Antibody (HA1001) at 1/50,000 dilution was used for 1 hour at room temperature.
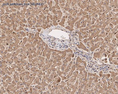
Immunohistochemical analysis of paraffin-embedded human liver tissue with Rabbit anti-Glutathione Peroxidase 1 antibody (ET1702-09) at 1/1,000 dilution. The section was pre-treated using heat mediated antigen retrieval with Tris-EDTA buffer (pH 9.0) for 20 minutes. The tissues were blocked in 1% BSA for 20 minutes at room temperature, washed with ddH2O and PBS, and then probed with the primary antibody (ET1702-09) at 1/1,000 dilution for 1 hour at room temperature. The detection was performed using an HRP conjugated compact polymer system. DAB was used as the chromogen. Tissues were counterstained with hematoxylin and mounted with DPX.
Immunohistochemical analysis of paraffin-embedded human kidney tissue using anti-Glutathione Peroxidase 1 antibody. Counter stained with hematoxylin.
quantity: 100μl
price: 385.00 USD
to the supplier
Glutathione peroxidase 1
HUABIO
catalog: HA601199
mouse monoclonal (A6-C0-B9-R)
reactivity:
human
application:
western blot
,
flow cytometry
,
immunohistochemistry - paraffin section
Western blot analysis of Glutathione peroxidase 1 on different lysates with Mouse anti-Glutathione peroxidase 1 antibody (HA601199) at 1/1,000 dilution. Lane 1: THP-1 cell lysate (20 µg/Lane) Lane 2: HEK-293 cell lysate (20 µg/Lane) Lane 3: HepG2 cell lysate (20 µg/Lane) Lane 4: HT-29 cell lysate (20 µg/Lane) Lane 5: Human liver tissue lysate (40 µg/Lane) Lane 6: Human kidney tissue lysate (40 µg/Lane) Predicted band size: 22 kDa Observed band size: 22 kDa Exposure time: 3 minutes; 4-20% SDS-PAGE gel. Proteins were transferred to a PVDF membrane and blocked with 5% NFDM/TBST for 1 hour at room temperature. The primary antibody (HA601199) at 1/1,000 dilution was used in 5% NFDM/TBST at 4℃ overnight. Goat Anti-Mouse IgG - HRP Secondary Antibody (HA1006) at 1/50,000 dilution was used for 1 hour at room temperature.
Immunocytochemistry analysis of THP-1 cells labeling Glutathione peroxidase 1 with Mouse anti-Glutathione peroxidase 1 antibody (HA601199) at 1/100 dilution. Cells were fixed in 80% precooled methanol for 5 minutes at room temperature, then blocked with 1% BSA in 10% negative goat serum for 1 hour at room temperature. Cells were then incubated with Mouse anti-Glutathione peroxidase 1 antibody (HA601199) at 1/100 dilution in 1% BSA in PBST overnight at 4 ℃. Goat Anti-Mouse IgG H&L (iFluor™ 488, HA1125) was used as the secondary antibody at 1/1,000 dilution. PBS instead of the primary antibody was used as the secondary antibody only control. Nuclear DNA was labelled in blue with DAPI. beta Tubulin (ET1602-4, red) was stained at 1/100 dilution overnight at +4℃. Goat Anti-Rabbit IgG H&L (iFluor™ 594, HA1122) were used as the secondary antibody at 1/1,000 dilution.
Immunohistochemical analysis of paraffin-embedded human liver tissue with Mouse anti-Glutathione peroxidase 1 antibody (HA601199) at 1/200 dilution. The section was pre-treated using heat mediated antigen retrieval with Tris-EDTA buffer (pH 9.0) for 20 minutes. The tissues were blocked in 1% BSA for 20 minutes at room temperature, washed with ddH2O and PBS, and then probed with the primary antibody (HA601199) at 1/200 dilution for 1 hour at room temperature. The detection was performed using an HRP conjugated compact polymer system. DAB was used as the chromogen. Tissues were counterstained with hematoxylin and mounted with DPX.
quantity: 100μl
price: 360.00 USD
to the supplier
Glutathione peroxidase 1
HUABIO
catalog: HA601200
mouse monoclonal (C5-A10-R)
reactivity:
human
application:
western blot
,
flow cytometry
,
immunohistochemistry - paraffin section
Western blot analysis of Glutathione peroxidase 1 on different lysates with Mouse anti-Glutathione peroxidase 1 antibody (HA601200) at 1/1,000 dilution. Lane 1: HEK-293 cell lysate (20 µg/Lane) Lane 2: HepG2 cell lysate (20 µg/Lane) Lane 3: SH-SY5Y cell lysate (20 µg/Lane) Lane 4: HT-29 cell lysate (20 µg/Lane) Lane 5: Human liver tissue lysate (40 µg/Lane) Lane 6: Human kidney tissue lysate (40 µg/Lane) Predicted band size: 22 kDa Observed band size: 22 kDa Exposure time: 24 seconds; 4-20% SDS-PAGE gel. Proteins were transferred to a PVDF membrane and blocked with 5% NFDM/TBST for 1 hour at room temperature. The primary antibody (HA601200) at 1/1,000 dilution was used in 5% NFDM/TBST at 4℃ overnight. Goat Anti-Mouse IgG - HRP Secondary Antibody (HA1006) at 1/50,000 dilution was used for 1 hour at room temperature.
Immunocytochemistry analysis of THP-1 cells labeling Glutathione peroxidase 1 with Mouse anti-Glutathione peroxidase 1 antibody (HA601200) at 1/100 dilution. Cells were fixed in 80% precooled methanol for 5 minutes at room temperature, then blocked with 1% BSA in 10% negative goat serum for 1 hour at room temperature. Cells were then incubated with Mouse anti-Glutathione peroxidase 1 antibody (HA601200) at 1/100 dilution in 1% BSA in PBST overnight at 4 ℃. Goat Anti-Mouse IgG H&L (iFluor™ 488, HA1125) was used as the secondary antibody at 1/1,000 dilution. PBS instead of the primary antibody was used as the secondary antibody only control. Nuclear DNA was labelled in blue with DAPI. beta Tubulin (ET1602-4, red) was stained at 1/100 dilution overnight at +4℃. Goat Anti-Rabbit IgG H&L (iFluor™ 594, HA1122) were used as the secondary antibody at 1/1,000 dilution.
Immunohistochemical analysis of paraffin-embedded human liver tissue with Mouse anti-Glutathione peroxidase 1 antibody (HA601200) at 1/1,000 dilution. The section was pre-treated using heat mediated antigen retrieval with Tris-EDTA buffer (pH 9.0) for 20 minutes. The tissues were blocked in 1% BSA for 20 minutes at room temperature, washed with ddH2O and PBS, and then probed with the primary antibody (HA601200) at 1/1,000 dilution for 1 hour at room temperature. The detection was performed using an HRP conjugated compact polymer system. DAB was used as the chromogen. Tissues were counterstained with hematoxylin and mounted with DPX.
quantity: 100μl
price: 360.00 USD
to the supplier
Glutathione peroxidase 1
HUABIO
catalog: HA610077
mouse monoclonal (A6-C0-B9-R)
reactivity:
human
application:
western blot
,
flow cytometry
,
immunohistochemistry - paraffin section
Western blot analysis of Glutathione peroxidase 1 on different lysates with Mouse anti-Glutathione peroxidase 1 antibody (HA610077) at 1/1,000 dilution. Lane 1: THP-1 cell lysate (20 µg/Lane) Lane 2: HEK-293 cell lysate (20 µg/Lane) Lane 3: HepG2 cell lysate (20 µg/Lane) Lane 4: HT-29 cell lysate (20 µg/Lane) Lane 5: Human liver tissue lysate (40 µg/Lane) Lane 6: Human kidney tissue lysate (40 µg/Lane) Predicted band size: 22 kDa Observed band size: 22 kDa Exposure time: 3 minutes; 4-20% SDS-PAGE gel. Proteins were transferred to a PVDF membrane and blocked with 5% NFDM/TBST for 1 hour at room temperature. The primary antibody (HA610077) at 1/1,000 dilution was used in 5% NFDM/TBST at 4℃ overnight. Goat Anti-Mouse IgG - HRP Secondary Antibody (HA1006) at 1/50,000 dilution was used for 1 hour at room temperature.
Immunocytochemistry analysis of THP-1 cells labeling Glutathione peroxidase 1 with Mouse anti-Glutathione peroxidase 1 antibody (HA610077) at 1/100 dilution. Cells were fixed in 80% precooled methanol for 5 minutes at room temperature, then blocked with 1% BSA in 10% negative goat serum for 1 hour at room temperature. Cells were then incubated with Mouse anti-Glutathione peroxidase 1 antibody (HA610077) at 1/100 dilution in 1% BSA in PBST overnight at 4 ℃. Goat Anti-Mouse IgG H&L (iFluor™ 488, HA1125) was used as the secondary antibody at 1/1,000 dilution. PBS instead of the primary antibody was used as the secondary antibody only control. Nuclear DNA was labelled in blue with DAPI. beta Tubulin (ET1602-4, red) was stained at 1/100 dilution overnight at +4℃. Goat Anti-Rabbit IgG H&L (iFluor™ 594, HA1122) were used as the secondary antibody at 1/1,000 dilution.
Immunohistochemical analysis of paraffin-embedded human liver tissue with Mouse anti-Glutathione peroxidase 1 antibody (HA610077) at 1/200 dilution. The section was pre-treated using heat mediated antigen retrieval with Tris-EDTA buffer (pH 9.0) for 20 minutes. The tissues were blocked in 1% BSA for 20 minutes at room temperature, washed with ddH2O and PBS, and then probed with the primary antibody (HA610077) at 1/200 dilution for 1 hour at room temperature. The detection was performed using an HRP conjugated compact polymer system. DAB was used as the chromogen. Tissues were counterstained with hematoxylin and mounted with DPX.
quantity: 100μg
price: 649.00 USD
to the supplier
Glutathione peroxidase 1
HUABIO
catalog: HA610078
mouse monoclonal (C5-A10-R)
reactivity:
human
application:
western blot
,
flow cytometry
,
immunohistochemistry - paraffin section
Western blot analysis of Glutathione peroxidase 1 on different lysates with Mouse anti-Glutathione peroxidase 1 antibody (HA610078) at 1/1,000 dilution. Lane 1: HEK-293 cell lysate (20 µg/Lane) Lane 2: HepG2 cell lysate (20 µg/Lane) Lane 3: SH-SY5Y cell lysate (20 µg/Lane) Lane 4: HT-29 cell lysate (20 µg/Lane) Lane 5: Human liver tissue lysate (40 µg/Lane) Lane 6: Human kidney tissue lysate (40 µg/Lane) Predicted band size: 22 kDa Observed band size: 22 kDa Exposure time: 24 seconds; 4-20% SDS-PAGE gel. Proteins were transferred to a PVDF membrane and blocked with 5% NFDM/TBST for 1 hour at room temperature. The primary antibody (HA610078) at 1/1,000 dilution was used in 5% NFDM/TBST at 4℃ overnight. Goat Anti-Mouse IgG - HRP Secondary Antibody (HA1006) at 1/50,000 dilution was used for 1 hour at room temperature.
Immunocytochemistry analysis of THP-1 cells labeling Glutathione peroxidase 1 with Mouse anti-Glutathione peroxidase 1 antibody (HA610078) at 1/100 dilution. Cells were fixed in 80% precooled methanol for 5 minutes at room temperature, then blocked with 1% BSA in 10% negative goat serum for 1 hour at room temperature. Cells were then incubated with Mouse anti-Glutathione peroxidase 1 antibody (HA610078) at 1/100 dilution in 1% BSA in PBST overnight at 4 ℃. Goat Anti-Mouse IgG H&L (iFluor™ 488, HA1125) was used as the secondary antibody at 1/1,000 dilution. PBS instead of the primary antibody was used as the secondary antibody only control. Nuclear DNA was labelled in blue with DAPI. beta Tubulin (ET1602-4, red) was stained at 1/100 dilution overnight at +4℃. Goat Anti-Rabbit IgG H&L (iFluor™ 594, HA1122) were used as the secondary antibody at 1/1,000 dilution.
Immunohistochemical analysis of paraffin-embedded human liver tissue with Mouse anti-Glutathione peroxidase 1 antibody (HA610078) at 1/1,000 dilution. The section was pre-treated using heat mediated antigen retrieval with Tris-EDTA buffer (pH 9.0) for 20 minutes. The tissues were blocked in 1% BSA for 20 minutes at room temperature, washed with ddH2O and PBS, and then probed with the primary antibody (HA610078) at 1/1,000 dilution for 1 hour at room temperature. The detection was performed using an HRP conjugated compact polymer system. DAB was used as the chromogen. Tissues were counterstained with hematoxylin and mounted with DPX.
quantity: 100μg
price: 649.00 USD
to the supplier
Glutathione Peroxidase 1
HUABIO
catalog: R1401-12
domestic rabbit polyclonal
reactivity:
human
,
mouse
application:
western blot
,
flow cytometry
,
immunohistochemistry - paraffin section
Western blot analysis of Glutathione Peroxidase 1 on different lysates. Proteins were transferred to a PVDF membrane and blocked with 5% BSA in PBS for 1 hour at room temperature. The primary antibody was used at a 1:500 dilution in 5% BSA at room temperature for 2 hours. Goat Anti-Rabbit IgG - HRP Secondary Antibody (HA1001) at 1:5,000 dilution was used for 1 hour at room temperature. Positive control: Lane 1: Mouse liver tissue lysate, untreated Lane 2: Human liver tissue lysate, untreated
ICC staining Glutathione Peroxidase 1 in 293T cells (green). Formalin fixed cells were permeabilized with 0.1% Triton X-100 in TBS for 10 minutes at room temperature and blocked with 1% Blocker BSA for 15 minutes at room temperature. Cells were probed with the antibody (R1401-12) at a dilution of 1:100 for 1 hour at room temperature, washed with PBS. Alexa Fluorc™ 488 Goat anti-Rabbit IgG was used as the secondary antibody at 1/100 dilution.
Immunohistochemical analysis of paraffin-embedded human liver tissue using anti-Glutathione Peroxidase 1 antibody. The section was pre-treated using heat mediated antigen retrieval with Tris-EDTA buffer (pH 8.0-8.4) for 20 minutes.The tissues were blocked in 5% BSA for 30 minutes at room temperature, washed with ddH2O and PBS, and then probed with the antibody (R1401-12) at 1/200 dilution, for 30 minutes at room temperature and detected using an HRP conjugated compact polymer system. DAB was used as the chromogen. Counter stained with hematoxylin and mounted with DPX.
quantity: 100μl
price: 330 USD
to the supplier