Sign in
Sign up
home
>
HUABIO
> HUABIO Mapk14 antibody
p38 alpha / MAPK14
HUABIO
catalog: EM40307
mouse monoclonal (9-B9)
reactivity:
human
,
mouse
,
rat
application:
western blot
,
flow cytometry
,
immunohistochemistry - paraffin section
Western blot analysis of p38 alpha / MAPK14 on different lysates with Mouse anti-p38 alpha / MAPK14 antibody (EM40307) at 1/1,000 dilution. Lane 1: HeLa cell lysate Lane 2: Jurkat cell lysate Lane 3: RAW264.7 cell lysate Lane 4: PC-12 cell lysate Lane 5: C6 cell lysate Lysates/proteins at 20 µg/Lane. Predicted band size: 41 kDa Observed band size: 38 kDa Exposure time: 10 seconds; ECL: K1801; 4-20% SDS-PAGE gel. Proteins were transferred to a PVDF membrane and blocked with 5% NFDM/TBST for 1 hour at room temperature. The primary antibody (EM40307) at 1/1,000 dilution was used in 5% NFDM/TBST at 4℃ overnight. Goat Anti-Mouse IgG - HRP Secondary Antibody (HA1006) at 1/50,000 dilution was used for 1 hour at room temperature.
Immunocytochemistry analysis of HeLa cells untreated / treated with UV for 30 minutes then recover 30 minutes labeling p38 alpha / MAPK14 with Mouse anti-p38 alpha / MAPK14 antibody (EM40307) at 1/500 dilution. Cells were fixed in 4% paraformaldehyde for 15 minutes at room temperature, permeabilized with 0.1% Triton X-100 in PBS for 15 minutes at room temperature, then blocked with 1% BSA in 10% negative goat serum for 1 hour at room temperature. Cells were then incubated with Mouse anti-p38 alpha / MAPK14 antibody (EM40307) at 1/500 dilution in 1% BSA in PBST overnight at 4 ℃. Goat Anti-Mouse IgG H&L (iFluor™ 488, HA1125) was used as the secondary antibody at 1/1,000 dilution. PBS instead of the primary antibody was used as the secondary antibody only control. Nuclear DNA was labelled in blue with DAPI. beta Tubulin (ET1602-4, red) was stained at 1/100 dilution overnight at +4℃. Goat Anti-Rabbit IgG H&L (iFluor™ 594, HA1122) were used as the secondary antibody at 1/1,000 dilution.
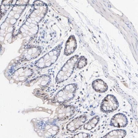
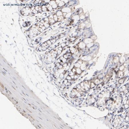
Immunohistochemical analysis of paraffin-embedded mouse stomach tissue with Mouse anti-p38 alpha / MAPK14 antibody (EM40307) at 1/5,000 dilution. The section was pre-treated using heat mediated antigen retrieval with Tris-EDTA buffer (pH 9.0) for 20 minutes. The tissues were blocked in 1% BSA for 20 minutes at room temperature, washed with ddH2O and PBS, and then probed with the primary antibody (EM40307) at 1/5,000 dilution for 1 hour at room temperature. The detection was performed using an HRP conjugated compact polymer system. DAB was used as the chromogen. Tissues were counterstained with hematoxylin and mounted with DPX.
quantity: 100μl
price: 360.00 USD
to the supplier
Phospho-p38 (T180)
HUABIO
catalog: ER2001-51
domestic rabbit polyclonal
reactivity:
human
,
mouse
,
rat
application:
western blot
Western blot analysis of Phospho-p38 (T180) on different lysates with Rabbit anti-Phospho-p38 (T180) antibody (ER2001-51) at 1/2,000 dilution. Lane 1: NIH/3T3 cell lysate Lane 2: NIH/3T3 cell lysate, the membrane treated with λpp for 1 hour Lysates/proteins at 20 µg/Lane. Predicted band size: 41 kDa Observed band size: 41 kDa Exposure time: 20 seconds; ECL: K1801; 4-20% SDS-PAGE gel. Proteins were transferred to a PVDF membrane and blocked with 5% NFDM/TBST for 1 hour at room temperature. The primary antibody (ER2001-51) at 1/2,000 dilution was used in 5% NFDM/TBST at 4℃ overnight. Goat Anti-Rabbit IgG - HRP Secondary Antibody (HA1001) at 1/50,000 dilution was used for 1 hour at room temperature.
Western blot analysis of Phospho-p38 (T180) on different lysates. Proteins were transferred to a PVDF membrane and blocked with 5% BSA in PBS for 1 hour at room temperature. The primary antibody (ER2001-51, 1/500) was used in 5% BSA at room temperature for 2 hours. Goat Anti-Rabbit IgG - HRP Secondary Antibody (HA1001) at 1:5,000 dilution was used for 1 hour at room temperature. Positive control: Lane 1: 293 cell lysate, untreated with UV Lane 2: 293 cell lysate, treated with UV for 60 minutes
Western blot analysis of Phospho-p38 (T180) on different lysates. Proteins were transferred to a PVDF membrane and blocked with 5% BSA in PBS for 1 hour at room temperature. The primary antibody (ER2001-51, 1/500) was used in 5% BSA at room temperature for 2 hours. Goat Anti-Rabbit IgG - HRP Secondary Antibody (HA1001) at 1:5,000 dilution was used for 1 hour at room temperature. Positive control: Lane 1: A431 cell lysate, untreated with UV Lane 2: A431 cell lysate, treated with UV for 40 minutes
quantity: 100μl
price: 330 USD
to the supplier
Phospho-p38 (T180 + Y182)
HUABIO
catalog: ER2001-52
domestic rabbit polyclonal
reactivity:
human
,
mouse
,
rat
application:
western blot
Western blot analysis of Phospho-p38 (T180 + Y182) on different lysates with Rabbit anti-Phospho-p38 (T180 + Y182) antibody (ER2001-52) at 1/1,000 dilution. Lane 1: NIH/3T3 cell lysate Lane 2: NIH/3T3 treated with 250ng/mL anisomycin for 30 minutes cell lysate Lane 3: HeLa cell lysate Lane 4: HeLa treated with 25μg/mL anisomycin for 30 minutes cell lysate Lane 5: C6 cell lysate Lane 6: C6 treated with 25μg/mL anisomycin for 30 minutes cell lysate Lysates/proteins at 20 µg/Lane. Predicted band size: 41 kDa Observed band size: 41 kDa Exposure time: 1 minute 29 seconds; ECL: K1802; 4-20% SDS-PAGE gel. Proteins were transferred to a PVDF membrane and blocked with 5% NFDM/TBST for 1 hour at room temperature. The primary antibody (ER2001-52) at 1/1,000 dilution was used in 5% NFDM/TBST at 4℃ overnight. Goat Anti-Rabbit IgG - HRP Secondary Antibody (HA1001) at 1/50,000 dilution was used for 1 hour at room temperature.
Western blot analysis of Phospho-p38 (T180 + Y182) on different lysates with Rabbit anti-Phospho-p38 (T180 + Y182) antibody (ER2001-52) at 1/2,000 dilution. Lane 1: PC-12 cell lysate (40 µg/Lane) Lane 2: PC-12 treated with UV for 1 hour cell lysate (40 µg/Lane) Predicted band size: 41 kDa Observed band size: 41 kDa Exposure time: 3 minutes; ECL: K1802; 4-20% SDS-PAGE gel. Proteins were transferred to a PVDF membrane and blocked with 5% NFDM/TBST for 1 hour at room temperature. The primary antibody (ER2001-52) at 1/2,000 dilution was used in 5% NFDM/TBST at 4℃ overnight. Goat Anti-Rabbit IgG - HRP Secondary Antibody (HA1001) at 1/50,000 dilution was used for 1 hour at room temperature.
quantity: 100μl
price: 330 USD
to the supplier
p38 alpha / MAPK14
HUABIO
catalog: ET1602-26
domestic rabbit monoclonal (SR43-04)
reactivity:
human
,
mouse
,
rat
application:
western blot
,
flow cytometry
Western blot analysis of p38 alpha / MAPK14 on different lysates with Rabbit anti-p38 alpha / MAPK14 antibody (ET1602-26) at 1/1,000 dilution. Lane 1: Hela cell lysate Lane 2: NIH/3T3 cell lysate Lane 3: PC-12 cell lysate Lane 4: THP-1 cell lysate Lane 5: Jurkat cell lysate Lysates/proteins at 10 µg/Lane. Predicted band size: 41 kDa Observed band size: 38 kDa Exposure time: 2 minutes; 12% SDS-PAGE gel. Proteins were transferred to a PVDF membrane and blocked with 5% NFDM/TBST for 1 hour at room temperature. The primary antibody (ET1602-26) at 1/1,000 dilution was used in 5% NFDM/TBST at room temperature for 2 hours. Goat Anti-Rabbit IgG - HRP Secondary Antibody (HA1001) at 1:300,000 dilution was used for 1 hour at room temperature.
Western blot analysis of p38 alpha / MAPK14 on different lysates with Rabbit anti-p38 alpha / MAPK14 antibody (ET1602-26) at 1/1,000 dilution. Lane 1: THP-1 cell lysate (10 µg/Lane) Lane 2: C2C12 cell lysate (10 µg/Lane) Lane 3: PC-12 cell lysate (10 µg/Lane) Lane 4: Rat kidney tissue lysate (20 µg/Lane) Lane 5: Mouse kidney tissue lysate (20 µg/Lane) Predicted band size: 41 kDa Observed band size: 38 kDa Exposure time: 3 minutes 10 seconds; 10% SDS-PAGE gel. Proteins were transferred to a PVDF membrane and blocked with 5% NFDM/TBST for 1 hour at room temperature. The primary antibody (ET1602-26) at 1/1,000 dilution was used in 5% NFDM/TBST at room temperature for 2 hours. Goat Anti-Rabbit IgG - HRP Secondary Antibody (HA1001) at 1:100,000 dilution was used for 1 hour at room temperature.
Western blot analysis of p38 alpha / MAPK14 on different lysates with Rabbit anti-p38 alpha / MAPK14 antibody (ET1602-26) at 1/2,000 dilution. Lane 1: A549-WT cell lysate Lane 2: A549-KD p38 alpha / MAPK14 cell lysate Lysates/proteins at 10 µg/Lane. Predicted band size: 41 kDa Observed band size: 38 kDa Exposure time: 3 minutes; ECL: K1801; 4-20% SDS-PAGE gel. Proteins were transferred to a PVDF membrane and blocked with 5% NFDM/TBST for 1 hour at room temperature. The primary antibody (ET1602-26) at 1/2,000 dilution was used in 5% NFDM/TBST at 4℃ overnight. Goat Anti-Rabbit IgG - HRP Secondary Antibody (HA1001) at 1/50,000 dilution was used for 1 hour at room temperature.
quantity: 100μl
price: 385.00 USD
to the supplier
p38 alpha / MAPK14
HUABIO
catalog: ET1702-65
domestic rabbit monoclonal (JF55-07)
reactivity:
human
,
mouse
,
rat
application:
western blot
,
flow cytometry
,
immunohistochemistry - paraffin section
Western blot analysis of p38 alpha / MAPK14 on different lysates with Rabbit anti-p38 alpha / MAPK14 antibody (ET1702-65) at 1/5,000 dilution. Lane 1: HeLa cell lysate Lane 2: Jurkat cell lysate Lane 3: HEK-293 cell lysate Lane 4: NIH/3T3 cell lysate Lane 5: Neuro-2a cell lysate Lane 6: RAW264.7 cell lysate Lane 7: PC-12 cell lysate Lane 8: C6 cell lysate Lysates/proteins at 15 µg/Lane. Predicted band size: 41 kDa Observed band size: 38 kDa Exposure time: 3 minutes; 4-20% SDS-PAGE gel. Proteins were transferred to a PVDF membrane and blocked with 5% NFDM/TBST for 1 hour at room temperature. The primary antibody (ET1702-65) at 1/5,000 dilution was used in 5% NFDM/TBST at 4℃ overnight. Goat Anti-Rabbit IgG - HRP Secondary Antibody (HA1001) at 1/50,000 dilution was used for 1 hour at room temperature.
All lanes: Western blot analysis of p38 alpha / MAPK14 with anti-p38 alpha / MAPK14 antibody[JF55-07] (ET1702-65) at 1:500 dilution. Lane 1: Wild-type Hela whole cell lysate (10 µg). Lane 2: p38 alpha / MAPK14 knockout Hela whole cell lysate (10 µg). ET1702-65 was shown to specifically react with p38 alpha / MAPK14 in wild-type Hela cells. No band was observed when p38 alpha / MAPK14 knockout sample was tested. Wild-type and p38 alpha / MAPK14 knockout samples were subjected to SDS-PAGE. Proteins were transferred to a PVDF membrane and blocked with 5% NFDM in TBST for 1 hour at room temperature. The primary antibody (ET1702-65, 1/500) was used in 5% BSA at room temperature for 2 hours. Goat Anti-Rabbit IgG-HRP Secondary Antibody (HA1001) at 1:100,000 dilution was used for 1 hour at room temperature.
Western blot analysis of p38 alpha / MAPK14 on different lysates with Rabbit anti-p38 alpha / MAPK14 antibody (ET1702-65) at 1/1,000 dilution. Lane 1: THP-1 cell lysate (10 µg/Lane) Lane 2: C2C12 cell lysate (10 µg/Lane) Lane 3: PC-12 cell lysate (10 µg/Lane) Lane 4: Rat kidney tissue lysate (20 µg/Lane) Lane 5: Mouse kidney tissue lysate (20 µg/Lane) Predicted band size: 41 kDa Observed band size: 38 kDa Exposure time: 3 minutes 10 seconds; 10% SDS-PAGE gel. Proteins were transferred to a PVDF membrane and blocked with 5% NFDM/TBST for 1 hour at room temperature. The primary antibody (ET1702-65) at 1/1,000 dilution was used in 5% NFDM/TBST at room temperature for 2 hours. Goat Anti-Rabbit IgG - HRP Secondary Antibody (HA1001) at 1:100,000 dilution was used for 1 hour at room temperature.
quantity: 100μl
price: 385.00 USD
to the supplier
p38 alpha/MAPK14 + p38 beta/MAPK11 + p38 gamma/MAPK12
HUABIO
catalog: HA722019
domestic rabbit monoclonal (PSH03-60)
reactivity:
human
,
mouse
,
rat
application:
western blot
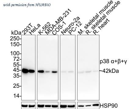
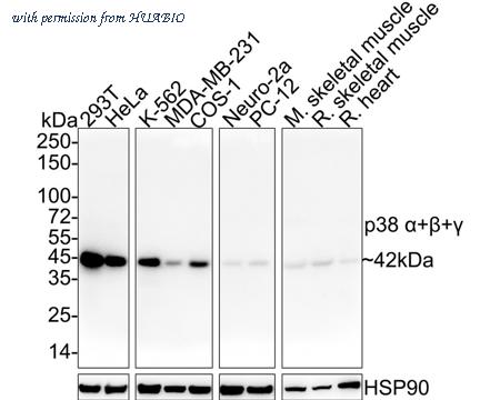
Western blot analysis of p38 alpha/MAPK14 + p38 beta/MAPK11 + p38 gamma/MAPK12 on different lysates with Rabbit anti-p38 alpha/MAPK14 + p38 beta/MAPK11 + p38 gamma/MAPK12 antibody (HA722019) at 1/2,000 dilution. Lane 1: 293T cell lysate (30 µg/Lane) Lane 2: HeLa cell lysate (30 µg/Lane) Lane 3: K-562 cell lysate (30 µg/Lane) Lane 4: MDA-MB-231 cell lysate (30 µg/Lane) Lane 5: COS-1 cell lysate (30 µg/Lane) Lane 6: Neuro-2a cell lysate (30 µg/Lane) Lane 7: PC-12 cell lysate (30 µg/Lane) Lane 8: Mouse skeletal muscle tissue lysate (30 µg/Lane) Lane 9: Rat skeletal muscle tissue lysate (30 µg/Lane) Lane 10: Rat heart tissue lysate (30 µg/Lane) Predicted band size: 42 kDa Observed band size: 42 kDa Exposure time: 40 seconds; ECL: K1802; 4-20% SDS-PAGE gel. Proteins were transferred to a PVDF membrane and blocked with 5% NFDM/TBST for 1 hour at room temperature. The primary antibody (HA722019) at 1/2,000 dilution was used in 5% NFDM/TBST at 4℃ overnight. Goat Anti-Rabbit IgG - HRP Secondary Antibody (HA1001) at 1/50,000 dilution was used for 1 hour at room temperature.
Western blot analysis of p38 alpha/MAPK14 + p38 beta/MAPK11 + p38 gamma/MAPK12 with Rabbit anti-p38 alpha/MAPK14 + p38 beta/MAPK11 + p38 gamma/MAPK12 antibody (HA722019) at 1/2,000 dilution. Lane 1: Human p38 gamma recombinant protein, 30ng/Lane Lane 2: Human p38 alpha recombinant protein, 50ng/Lane Lane 3: Human p38 delta recombinant protein, 50ng/Lane Lane 4: Human p38 beta recombinant protein, 50ng/Lane Exposure time: 43 seconds; ECL: K1801; 4-20% SDS-PAGE gel. Proteins were transferred to a PVDF membrane and blocked with 5% NFDM/TBST for 1 hour at room temperature. The primary antibody (HA722019) at 1/2,000 dilution was used in 5% NFDM/TBST at room temperature for 2 hours. Goat Anti-Rabbit IgG - HRP Secondary Antibody (HA1001) at 1/50,000 dilution was used for 1 hour at room temperature.
quantity: 100μl
price: 385.00 USD
to the supplier
p38 MAPK
HUABIO
catalog: HA722036
domestic rabbit polyclonal (PSH03-72)
reactivity:
human
,
mouse
,
rat
application:
western blot
Western blot analysis of p38 MAPK on different lysates with Rabbit anti-p38 MAPK antibody (HA722036) at 1/1,000 dilution. Lane 1: 293T cell lysate Lane 2: HeLa cell lysate Lane 3: K-562 cell lysate Lane 4: COS-1 cell lysate Lane 5: Neuro-2a cell lysate Lane 6: PC-12 cell lysate Lysates/proteins at 30 µg/Lane. Predicted band size: 42 kDa Observed band size: 42 kDa Exposure time: 4 seconds; 4-20% SDS-PAGE gel. Proteins were transferred to a PVDF membrane and blocked with 5% NFDM/TBST for 1 hour at room temperature. The primary antibody (HA722036) at 1/1,000 dilution was used in 5% NFDM/TBST at 4℃ overnight. Goat Anti-Rabbit IgG - HRP Secondary Antibody (HA1001) at 1/50,000 dilution was used for 1 hour at room temperature.
quantity: 100μl
price: 385.00 USD
to the supplier
Phospho-p38 (T180)
HUABIO
catalog: HA722150
domestic rabbit monoclonal (JE77-37)
reactivity:
human
,
mouse
,
rat
application:
western blot
,
immunohistochemistry - paraffin section
Western blot analysis of Phospho-p38 (T180) on different lysates with Rabbit anti-Phospho-p38 (T180) antibody (HA722150) at 1/1,000 dilution. Lane 1: Jurkat cell lysate Lane 2: Jurkat treated with UV for 1 hour cell lysate Lane 3: Jurkat treated with UV for 1 hour cell lysate, then the membrane treated with λpp for 1 hour Lane 4: PC-12 cell lysate Lane 5: PC-12 treated with UV for 1 hour cell lysate Lysates/proteins at 20 µg/Lane. Predicted band size: 41 kDa Observed band size: 38 kDa Exposure time: 2 minutes; ECL: K1801; 4-20% SDS-PAGE gel. Proteins were transferred to a PVDF membrane and blocked with 5% NFDM/TBST for 1 hour at room temperature. The primary antibody (HA722150) at 1/1,000 dilution was used in 5% NFDM/TBST at 4℃ overnight. Goat Anti-Rabbit IgG - HRP Secondary Antibody (HA1001) at 1/50,000 dilution was used for 1 hour at room temperature.
Immunocytochemistry analysis of Jurkat cells treated with or without UV for 1 hour labeling Phospho-p38 (T180) with Rabbit anti-Phospho-p38 (T180) antibody (HA722150) at 1/100 dilution. Cells were fixed in 4% paraformaldehyde for 20 minutes at room temperature, permeabilized with 0.1% Triton X-100 in PBS for 5 minutes at room temperature, then blocked with 1% BSA in 10% negative goat serum for 1 hour at room temperature. Cells were then incubated with Rabbit anti-Phospho-p38 (T180) antibody (HA722150) at 1/100 dilution in 1% BSA in PBST overnight at 4 ℃. Goat Anti-Rabbit IgG H&L (iFluor™ 488, HA1121) was used as the secondary antibody at 1/1,000 dilution. PBS instead of the primary antibody was used as the secondary antibody only control. Nuclear DNA was labelled in blue with DAPI. Beta tubulin (M1305-2, red) was stained at 1/100 dilution overnight at +4℃. Goat Anti-Mouse IgG H&L (iFluor™ 594, HA1126) was used as the secondary antibody at 1/1,000 dilution.
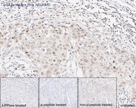
Immunohistochemical analysis of paraffin-embedded human breast cancer tissue untreated / treated with λpp / phospho-peptide / non-phospho-peptide with Rabbit anti-Phospho-p38 (T180) antibody (HA722150) at 1/200 dilution. The section was pre-treated using heat mediated antigen retrieval with sodium citrate buffer (pH 6.0) (high pressure) for 2 minutes. The tissues were blocked in 1% BSA for 20 minutes at room temperature, washed with ddH2O and PBS, and then probed with the primary antibody (HA722150) at 1/200 dilution for 1 hour at room temperature. The detection was performed using an HRP conjugated compact polymer system. DAB was used as the chromogen. Tissues were counterstained with hematoxylin and mounted with DPX.
quantity: 100μl
price: 385.00 USD
to the supplier
Phospho-p38 alpha (T180)
HUABIO
catalog: HA722657
domestic rabbit monoclonal (PSH06-25)
reactivity:
human
,
mouse
,
rat
application:
western blot
,
flow cytometry
,
immunohistochemistry - paraffin section
Western blot analysis of Phospho-p38 alpha (T180) on different lysates with Rabbit anti-Phospho-p38 alpha (T180) antibody (HA722657) at 1/2,000 dilution and pan p38 antibody (ET1702-65) at 1/1,000 dilution. Lane 1: Jurkat cell lysate Lane 2: Jurkat treated with UV for 1 hour cell lysate Lane 3: NIH/3T3 cell lysate Lane 4: NIH/3T3 treated with 25μg/mL Anisomycin for 30 minutes cell lysate Lane 5: C6 cell lysate Lane 6: C6 treated with 25μg/mL Anisomycin for 30 minutes cell lysate Lysates/proteins at 20 µg/Lane. Predicted band size: 41 kDa Observed band size: 38 kDa Exposure time: 1 minute 20 seconds; ECL: K1802; 4-20% SDS-PAGE gel. Proteins were transferred to a PVDF membrane and blocked with 5% NFDM/TBST for 1 hour at room temperature. The primary antibody (HA722657) at 1/2,000 dilution and pan p38 antibody (ET1702-65) at 1/1,000 dilution were used in 5% NFDM/TBST at 4℃ overnight. Goat Anti-Rabbit IgG - HRP Secondary Antibody (HA1001) at 1/50,000 dilution was used for 1 hour at room temperature.
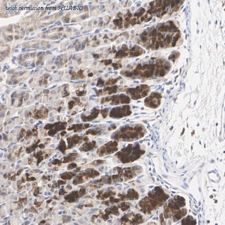
Immunohistochemical analysis of paraffin-embedded mouse colon tissue with Rabbit anti-Phospho-p38 alpha (T180) antibody (HA722657) at 1/500 dilution. The section was pre-treated using heat mediated antigen retrieval with sodium citrate buffer (pH 6.0) (high pressure) for 2 minutes. The tissues were blocked in 1% BSA for 20 minutes at room temperature, washed with ddH2O and PBS, and then probed with the primary antibody (HA722657) at 1/500 dilution for 1 hour at room temperature. The detection was performed using an HRP conjugated compact polymer system. DAB was used as the chromogen. Tissues were counterstained with hematoxylin and mounted with DPX.
Immunohistochemical analysis of paraffin-embedded rat colon tissue with Rabbit anti-Phospho-p38 alpha (T180) antibody (HA722657) at 1/500 dilution. The section was pre-treated using heat mediated antigen retrieval with sodium citrate buffer (pH 6.0) (high pressure) for 2 minutes. The tissues were blocked in 1% BSA for 20 minutes at room temperature, washed with ddH2O and PBS, and then probed with the primary antibody (HA722657) at 1/500 dilution for 1 hour at room temperature. The detection was performed using an HRP conjugated compact polymer system. DAB was used as the chromogen. Tissues were counterstained with hematoxylin and mounted with DPX.
quantity: 100μl
price: 385.00 USD
to the supplier
Phospho-p38 alpha (T180 + Y182)
HUABIO
catalog: HA722669
domestic rabbit monoclonal (PSH06-35)
reactivity:
human
,
mouse
,
rat
application:
western blot
,
flow cytometry
Western blot analysis of Phospho-p38 alpha (T180 + Y182) on different lysates with Rabbit anti-Phospho-p38 alpha (T180 + Y182) antibody (HA722669) at 1/2,000 dilution and p38 alpha antibody (ET1702-65) at 1/1,000 dilution. Lane 1: Jurkat cell lysate (20 µg/Lane) Lane 2: Jurkat treated with UV for 1 hour cell lysate (20 µg/Lane) Lane 3: NIH/3T3 cell lysate (20 µg/Lane) Lane 4: NIH/3T3 treated with 25μg/mL Anisomycin for 30 minutes cell lysate (20 µg/Lane) Lane 5: C6 cell lysate (20 µg/Lane) Lane 6: C6 treated with 25μg/mL Anisomycin for 30 minutes cell lysate (20 µg/Lane) Predicted band size: 41 kDa Observed band size: 38 kDa Exposure time: 3 minutes; ECL: K1802; 4-20% SDS-PAGE gel. Proteins were transferred to a PVDF membrane and blocked with 5% NFDM/TBST for 1 hour at room temperature. The primary antibody (HA722669) at 1/2,000 dilution and p38 alpha antibody (ET1702-65) at 1/1,000 dilution were used in 5% NFDM/TBST at 4℃ overnight. Goat Anti-Rabbit IgG - HRP Secondary Antibody (HA1001) at 1/50,000 dilution was used for 1 hour at room temperature.
Western blot analysis of Phospho-p38 alpha (T180 + Y182) on different lysates with Rabbit anti-Phospho-p38 alpha (T180 + Y182) antibody (HA722669) at 1/1,000 dilution. Lane 1: PC-12 cell lysate (20 µg/Lane) Lane 2: PC-12 treated with 25μg/mL Anisomycin for 30 minutes cell lysate (20 µg/Lane) Predicted band size: 41 kDa Observed band size: 38 kDa Exposure time: 3 minute 30 secons; ECL: K1802; 4-20% SDS-PAGE gel. Proteins were transferred to a PVDF membrane and blocked with 5% NFDM/TBST for 1 hour at room temperature. The primary antibody (HA722669) at 1/1,000 dilution was used in 5% NFDM/TBST at 4℃ overnight. Goat Anti-Rabbit IgG - HRP Secondary Antibody (HA1001) at 1/50,000 dilution was used for 1 hour at room temperature.
Immunocytochemistry analysis of Jurkat cells treated with UV for 1 hour labeling Phospho-p38 alpha (T180 + Y182) with Rabbit anti-Phospho-p38 alpha (T180 + Y182) antibody (HA722669) at 1/50 dilution. Cells were fixed in 4% paraformaldehyde for 20 minutes at room temperature, permeabilized with 0.1% Triton X-100 in PBS for 5 minutes at room temperature, then blocked with 1% BSA in 10% negative goat serum for 1 hour at room temperature. Cells were then incubated with Rabbit anti-Phospho-p38 alpha (T180 + Y182) antibody (HA722669) at 1/50 dilution in 1% BSA in PBST overnight at 4 ℃. Goat Anti-Rabbit IgG H&L (iFluor™ 488, HA1121) was used as the secondary antibody at 1/1,000 dilution. PBS instead of the primary antibody was used as the secondary antibody only control. Nuclear DNA was labelled in blue with DAPI. Beta tubulin (M1305-2, red) was stained at 1/100 dilution overnight at +4℃. Goat Anti-Mouse IgG H&L (iFluor™ 594, HA1126) was used as the secondary antibody at 1/1,000 dilution.
quantity: 100μl
price: 385.00 USD
to the supplier
p38 alpha / MAPK14
HUABIO
catalog: HA750040
domestic rabbit monoclonal (SR43-04)
reactivity:
human
,
mouse
,
rat
application:
western blot
,
flow cytometry
Western blot analysis of p38 alpha / MAPK14 on different lysates with Rabbit anti-p38 alpha / MAPK14 antibody (HA750040) at 1/1,000 dilution. Lane 1: Hela cell lysate Lane 2: NIH/3T3 cell lysate Lane 3: PC-12 cell lysate Lane 4: THP-1 cell lysate Lane 5: Jurkat cell lysate Lysates/proteins at 10 µg/Lane. Predicted band size: 41 kDa Observed band size: 38 kDa Exposure time: 2 minutes; 12% SDS-PAGE gel. Proteins were transferred to a PVDF membrane and blocked with 5% NFDM/TBST for 1 hour at room temperature. The primary antibody (HA750040) at 1/1,000 dilution was used in 5% NFDM/TBST at room temperature for 2 hours. Goat Anti-Rabbit IgG - HRP Secondary Antibody (HA1001) at 1:300,000 dilution was used for 1 hour at room temperature.
Western blot analysis of p38 alpha / MAPK14 on different lysates with Rabbit anti-p38 alpha / MAPK14 antibody (HA750040) at 1/1,000 dilution. Lane 1: THP-1 cell lysate (10 µg/Lane) Lane 2: C2C12 cell lysate (10 µg/Lane) Lane 3: PC-12 cell lysate (10 µg/Lane) Lane 4: Rat kidney tissue lysate (20 µg/Lane) Lane 5: Mouse kidney tissue lysate (20 µg/Lane) Predicted band size: 41 kDa Observed band size: 38 kDa Exposure time: 3 minutes 10 seconds; 10% SDS-PAGE gel. Proteins were transferred to a PVDF membrane and blocked with 5% NFDM/TBST for 1 hour at room temperature. The primary antibody (HA750040) at 1/1,000 dilution was used in 5% NFDM/TBST at room temperature for 2 hours. Goat Anti-Rabbit IgG - HRP Secondary Antibody (HA1001) at 1:100,000 dilution was used for 1 hour at room temperature.
Western blot analysis of p38 alpha / MAPK14 on different lysates with Rabbit anti-p38 alpha / MAPK14 antibody (HA750040) at 1/2,000 dilution. Lane 1: A549-WT cell lysate Lane 2: A549-KD p38 alpha / MAPK14 cell lysate Lysates/proteins at 10 µg/Lane. Predicted band size: 41 kDa Observed band size: 38 kDa Exposure time: 3 minutes; ECL: K1801; 4-20% SDS-PAGE gel. Proteins were transferred to a PVDF membrane and blocked with 5% NFDM/TBST for 1 hour at room temperature. The primary antibody (HA750040) at 1/2,000 dilution was used in 5% NFDM/TBST at 4℃ overnight. Goat Anti-Rabbit IgG - HRP Secondary Antibody (HA1001) at 1/50,000 dilution was used for 1 hour at room temperature.
quantity: 100μl
price: 649.00 USD
to the supplier
p38 alpha/MAPK14 + p38 beta/MAPK11 + p38 gamma/MAPK12
HUABIO
catalog: HA750894
domestic rabbit monoclonal (PSH03-60)
reactivity:
human
,
mouse
,
rat
application:
western blot
Western blot analysis of p38 alpha/MAPK14 + p38 beta/MAPK11 + p38 gamma/MAPK12 on different lysates with Rabbit anti-p38 alpha/MAPK14 + p38 beta/MAPK11 + p38 gamma/MAPK12 antibody (HA750894) at 1/2,000 dilution. Lane 1: 293T cell lysate (30 µg/Lane) Lane 2: HeLa cell lysate (30 µg/Lane) Lane 3: K-562 cell lysate (30 µg/Lane) Lane 4: MDA-MB-231 cell lysate (30 µg/Lane) Lane 5: COS-1 cell lysate (30 µg/Lane) Lane 6: Neuro-2a cell lysate (30 µg/Lane) Lane 7: PC-12 cell lysate (30 µg/Lane) Lane 8: Mouse skeletal muscle tissue lysate (30 µg/Lane) Lane 9: Rat skeletal muscle tissue lysate (30 µg/Lane) Lane 10: Rat heart tissue lysate (30 µg/Lane) Predicted band size: 42 kDa Observed band size: 42 kDa Exposure time: 40 seconds; ECL: K1802; 4-20% SDS-PAGE gel. Proteins were transferred to a PVDF membrane and blocked with 5% NFDM/TBST for 1 hour at room temperature. The primary antibody (HA750894) at 1/2,000 dilution was used in 5% NFDM/TBST at 4℃ overnight. Goat Anti-Rabbit IgG - HRP Secondary Antibody (HA1001) at 1/50,000 dilution was used for 1 hour at room temperature.
Western blot analysis of p38 alpha/MAPK14 + p38 beta/MAPK11 + p38 gamma/MAPK12 with Rabbit anti-p38 alpha/MAPK14 + p38 beta/MAPK11 + p38 gamma/MAPK12 antibody (HA750894) at 1/2,000 dilution. Lane 1: Human p38 gamma recombinant protein, 30ng/Lane Lane 2: Human p38 alpha recombinant protein, 50ng/Lane Lane 3: Human p38 delta recombinant protein, 50ng/Lane Lane 4: Human p38 beta recombinant protein, 50ng/Lane Exposure time: 43 seconds; ECL: K1801; 4-20% SDS-PAGE gel. Proteins were transferred to a PVDF membrane and blocked with 5% NFDM/TBST for 1 hour at room temperature. The primary antibody (HA750894) at 1/2,000 dilution was used in 5% NFDM/TBST at room temperature for 2 hours. Goat Anti-Rabbit IgG - HRP Secondary Antibody (HA1001) at 1/50,000 dilution was used for 1 hour at room temperature.
quantity: 100μl
price: 649.00 USD
to the supplier
p38 MAPK
HUABIO
catalog: HA750906
domestic rabbit polyclonal (PSH03-72)
reactivity:
human
,
mouse
,
rat
application:
western blot
Western blot analysis of p38 MAPK on different lysates with Rabbit anti-p38 MAPK antibody (HA750906) at 1/1,000 dilution. Lane 1: 293T cell lysate Lane 2: HeLa cell lysate Lane 3: K-562 cell lysate Lane 4: COS-1 cell lysate Lane 5: Neuro-2a cell lysate Lane 6: PC-12 cell lysate Lysates/proteins at 30 µg/Lane. Predicted band size: 42 kDa Observed band size: 42 kDa Exposure time: 4 seconds; 4-20% SDS-PAGE gel. Proteins were transferred to a PVDF membrane and blocked with 5% NFDM/TBST for 1 hour at room temperature. The primary antibody (HA750906) at 1/1,000 dilution was used in 5% NFDM/TBST at 4℃ overnight. Goat Anti-Rabbit IgG - HRP Secondary Antibody (HA1001) at 1/50,000 dilution was used for 1 hour at room temperature.
quantity: 100μl
price: 649.00 USD
to the supplier
Phospho-p38 alpha (T180)
HUABIO
catalog: HA751062
domestic rabbit monoclonal (PSH06-25)
reactivity:
human
,
mouse
,
rat
application:
western blot
,
flow cytometry
,
immunohistochemistry - paraffin section
Western blot analysis of Phospho-p38 alpha (T180) on different lysates with Rabbit anti-Phospho-p38 alpha (T180) antibody (HA751062) at 1/2,000 dilution and pan p38 antibody (ET1702-65) at 1/1,000 dilution. Lane 1: Jurkat cell lysate Lane 2: Jurkat treated with UV for 1 hour cell lysate Lane 3: NIH/3T3 cell lysate Lane 4: NIH/3T3 treated with 25μg/mL Anisomycin for 30 minutes cell lysate Lane 5: C6 cell lysate Lane 6: C6 treated with 25μg/mL Anisomycin for 30 minutes cell lysate Lysates/proteins at 20 µg/Lane. Predicted band size: 41 kDa Observed band size: 38 kDa Exposure time: 1 minute 20 seconds; ECL: K1802; 4-20% SDS-PAGE gel. Proteins were transferred to a PVDF membrane and blocked with 5% NFDM/TBST for 1 hour at room temperature. The primary antibody (HA751062) at 1/2,000 dilution and pan p38 antibody (ET1702-65) at 1/1,000 dilution were used in 5% NFDM/TBST at 4℃ overnight. Goat Anti-Rabbit IgG - HRP Secondary Antibody (HA1001) at 1/50,000 dilution was used for 1 hour at room temperature.
Immunohistochemical analysis of paraffin-embedded mouse colon tissue with Rabbit anti-Phospho-p38 alpha (T180) antibody (HA751062) at 1/500 dilution. The section was pre-treated using heat mediated antigen retrieval with sodium citrate buffer (pH 6.0) (high pressure) for 2 minutes. The tissues were blocked in 1% BSA for 20 minutes at room temperature, washed with ddH2O and PBS, and then probed with the primary antibody (HA751062) at 1/500 dilution for 1 hour at room temperature. The detection was performed using an HRP conjugated compact polymer system. DAB was used as the chromogen. Tissues were counterstained with hematoxylin and mounted with DPX.
Immunohistochemical analysis of paraffin-embedded rat colon tissue with Rabbit anti-Phospho-p38 alpha (T180) antibody (HA751062) at 1/500 dilution. The section was pre-treated using heat mediated antigen retrieval with sodium citrate buffer (pH 6.0) (high pressure) for 2 minutes. The tissues were blocked in 1% BSA for 20 minutes at room temperature, washed with ddH2O and PBS, and then probed with the primary antibody (HA751062) at 1/500 dilution for 1 hour at room temperature. The detection was performed using an HRP conjugated compact polymer system. DAB was used as the chromogen. Tissues were counterstained with hematoxylin and mounted with DPX.
quantity: 100μl
price: 649.00 USD
to the supplier
Phospho-p38 alpha (T180 + Y182)
HUABIO
catalog: HA751074
domestic rabbit monoclonal (PSH06-35)
reactivity:
human
,
mouse
,
rat
application:
western blot
,
flow cytometry
Western blot analysis of Phospho-p38 alpha (T180 + Y182) on different lysates with Rabbit anti-Phospho-p38 alpha (T180 + Y182) antibody (HA751074) at 1/2,000 dilution and p38 alpha antibody (ET1702-65) at 1/1,000 dilution. Lane 1: Jurkat cell lysate (20 µg/Lane) Lane 2: Jurkat treated with UV for 1 hour cell lysate (20 µg/Lane) Lane 3: NIH/3T3 cell lysate (20 µg/Lane) Lane 4: NIH/3T3 treated with 25μg/mL Anisomycin for 30 minutes cell lysate (20 µg/Lane) Lane 5: C6 cell lysate (20 µg/Lane) Lane 6: C6 treated with 25μg/mL Anisomycin for 30 minutes cell lysate (20 µg/Lane) Predicted band size: 41 kDa Observed band size: 38 kDa Exposure time: 3 minutes; ECL: K1802; 4-20% SDS-PAGE gel. Proteins were transferred to a PVDF membrane and blocked with 5% NFDM/TBST for 1 hour at room temperature. The primary antibody (HA751074) at 1/2,000 dilution and p38 alpha antibody (ET1702-65) at 1/1,000 dilution were used in 5% NFDM/TBST at 4℃ overnight. Goat Anti-Rabbit IgG - HRP Secondary Antibody (HA1001) at 1/50,000 dilution was used for 1 hour at room temperature.
Western blot analysis of Phospho-p38 alpha (T180 + Y182) on different lysates with Rabbit anti-Phospho-p38 alpha (T180 + Y182) antibody (HA751074) at 1/1,000 dilution. Lane 1: PC-12 cell lysate (20 µg/Lane) Lane 2: PC-12 treated with 25μg/mL Anisomycin for 30 minutes cell lysate (20 µg/Lane) Predicted band size: 41 kDa Observed band size: 38 kDa Exposure time: 3 minute 30 secons; ECL: K1802; 4-20% SDS-PAGE gel. Proteins were transferred to a PVDF membrane and blocked with 5% NFDM/TBST for 1 hour at room temperature. The primary antibody (HA751074) at 1/1,000 dilution was used in 5% NFDM/TBST at 4℃ overnight. Goat Anti-Rabbit IgG - HRP Secondary Antibody (HA1001) at 1/50,000 dilution was used for 1 hour at room temperature.
Immunocytochemistry analysis of Jurkat cells treated with UV for 1 hour labeling Phospho-p38 alpha (T180 + Y182) with Rabbit anti-Phospho-p38 alpha (T180 + Y182) antibody (HA751074) at 1/50 dilution. Cells were fixed in 4% paraformaldehyde for 20 minutes at room temperature, permeabilized with 0.1% Triton X-100 in PBS for 5 minutes at room temperature, then blocked with 1% BSA in 10% negative goat serum for 1 hour at room temperature. Cells were then incubated with Rabbit anti-Phospho-p38 alpha (T180 + Y182) antibody (HA751074) at 1/50 dilution in 1% BSA in PBST overnight at 4 ℃. Goat Anti-Rabbit IgG H&L (iFluor™ 488, HA1121) was used as the secondary antibody at 1/1,000 dilution. PBS instead of the primary antibody was used as the secondary antibody only control. Nuclear DNA was labelled in blue with DAPI. Beta tubulin (M1305-2, red) was stained at 1/100 dilution overnight at +4℃. Goat Anti-Mouse IgG H&L (iFluor™ 594, HA1126) was used as the secondary antibody at 1/1,000 dilution.
quantity: 100μl
price: 649.00 USD
to the supplier
p38 alpha / MAPK14
HUABIO
catalog: R1308-3
domestic rabbit polyclonal
reactivity:
human
,
mouse
,
rat
application:
western blot
,
flow cytometry
,
immunohistochemistry - paraffin section
Western blot analysis of p38 alpha / MAPK14 on different lysates with Rabbit anti-p38 alpha / MAPK14 antibody (R1308-3) at 1/5,000 dilution. Lane 1: HeLa cell lysate Lane 2: Jurkat cell lysate Lane 3: MCF7 cell lysate Lane 4: NIH/3T3 cell lysate Lane 5: RAW264.7 cell lysate Lane 6: PC-12 cell lysate Lane 7: C6 cell lysate Lysates/proteins at 20 µg/Lane. Predicted band size: 41 kDa Observed band size: 45 kDa Exposure time: 25 seconds; ECL: K1801; 4-20% SDS-PAGE gel. Proteins were transferred to a PVDF membrane and blocked with 5% NFDM/TBST for 1 hour at room temperature. The primary antibody (R1308-3) at 1/5,000 dilution was used in primary antibody dilution (K1803) at 4℃ overnight. Goat Anti-Rabbit IgG - HRP Secondary Antibody (HA1001) at 1/50,000 dilution was used for 1 hour at room temperature.
Immunocytochemistry analysis of HeLa cells untreated / treated with UV for 30 minutes then recover for 30 minutes labeling p38 alpha / MAPK14 with Rabbit anti-p38 alpha / MAPK14 antibody (R1308-3) at 1/100 dilution. Cells were fixed in 4% paraformaldehyde for 15 minutes at room temperature, permeabilized with 0.1% Triton X-100 in PBS for 15 minutes at room temperature, then blocked with 1% BSA in 10% negative goat serum for 1 hour at room temperature. Cells were then incubated with Rabbit anti-p38 alpha / MAPK14 antibody (R1308-3) at 1/100 dilution in 1% BSA in PBST overnight at 4 ℃. Goat Anti-Rabbit IgG H&L (iFluor™ 488, HA1121) was used as the secondary antibody at 1/1,000 dilution. PBS instead of the primary antibody was used as the secondary antibody only control. Nuclear DNA was labelled in blue with DAPI. Beta tubulin (HA601187, red) was stained at 1/100 dilution overnight at +4℃. Goat Anti-Mouse IgG H&L (iFluor™ 594, HA1126) was used as the secondary antibody at 1/1,000 dilution.
Immunohistochemical analysis of paraffin-embedded human kidney tissue with Rabbit anti-p38 alpha / MAPK14 antibody (R1308-3) at 1/200 dilution. The section was pre-treated using heat mediated antigen retrieval with Tris-EDTA buffer (pH 9.0) for 20 minutes. The tissues were blocked in 1% BSA for 20 minutes at room temperature, washed with ddH2O and PBS, and then probed with the primary antibody (R1308-3) at 1/200 dilution for 1 hour at room temperature. The detection was performed using an HRP conjugated compact polymer system. DAB was used as the chromogen. Tissues were counterstained with hematoxylin and mounted with DPX.
quantity: 100μl
price: 330 USD
to the supplier