MEK3
HUABIO
catalog: ET1612-2
domestic rabbit monoclonal (SD20-93)
reactivity: human, mouse, rat
application: western blot, immunoprecipitation, flow cytometry, immunohistochemistry - paraffin section

Western blot analysis of MEK3 on Hela cell lysates. Proteins were transferred to a PVDF membrane and blocked with 5% BSA in PBS for 1 hour at room temperature. The primary antibody (ET1612-2, 1/500) was used in 5% BSA at room temperature for 2 hours. Goat Anti-Rabbit IgG - HRP Secondary Antibody (HA1001) at 1:200,000 dilution was used for 1 hour at room temperature. Predicted band size: 39 kDa Observed band size: 39 kDa

ICC staining of MEK3 in Hela cells (green). Formalin fixed cells were permeabilized with 0.1% Triton X-100 in TBS for 10 minutes at room temperature and blocked with 10% negative goat serum for 15 minutes at room temperature. Cells were probed with the primary antibody (ET1612-2, 1/50) for 1 hour at room temperature, washed with PBS. Alexa Fluor®488 conjugate-Goat anti-Rabbit IgG was used as the secondary antibody at 1/1,000 dilution. The nuclear counter stain is DAPI (blue).

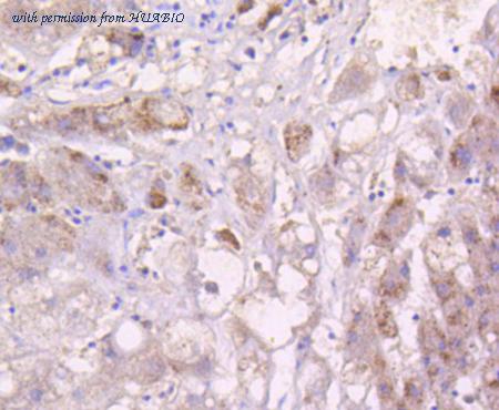
Immunohistochemical analysis of paraffin-embedded human liver tissue using anti-MEK3 antibody. The section was pre-treated using heat mediated antigen retrieval with Tris-EDTA buffer (pH 9.0) for 20 minutes.The tissues were blocked in 1% BSA for 30 minutes at room temperature, washed with ddH2O and PBS, and then probed with the primary antibody (ET1612-2, 1/50) for 30 minutes at room temperature. The detection was performed using an HRP conjugated compact polymer system. DAB was used as the chromogen. Tissues were counterstained with hematoxylin and mounted with DPX.
quantity: 100μl
price: 385.00 USD
to the supplier
MEK3+MEK6
HUABIO
catalog: ET1701-48
domestic rabbit monoclonal (JJ087-09)
reactivity: human, mouse, rat
application: western blot, immunoprecipitation, flow cytometry, immunohistochemistry - paraffin section