domestic rabbit monoclonal (JE64-66)
reactivity: human, mouse, rat
application: western blot, immunohistochemistry - paraffin section
reactivity: human, mouse, rat
application: western blot, immunohistochemistry - paraffin section

Western blot analysis of GALT on different lysates with Rabbit anti-GALT antibody (HA721092) at 1/500 dilution. Lane 1: Hela cell lysate (10 µg/Lane) Lane 2: HepG2 cell lysate (10 µg/Lane) Lane 3: Rat brain tissue lysate (20 µg/Lane) Lane 4: Mouse kidney tissue lysate (20 µg/Lane) Predicted band size: 43 kDa Observed band size: 43 kDa Exposure time: 2 minutes; 12% SDS-PAGE gel. Proteins were transferred to a PVDF membrane and blocked with 5% NFDM/TBST for 1 hour at room temperature. The primary antibody (HA721092) at 1/500 dilution was used in 5% NFDM/TBST at room temperature for 2 hours. Goat Anti-Rabbit IgG - HRP Secondary Antibody (HA1001) at 1:300,000 dilution was used for 1 hour at room temperature.

Western blot analysis of GALT on different lysates with Rabbit anti-GALT antibody (HA721092) at 1/1,000 dilution. Lane 1: HAP1-parental cell lysate Lane 2: HAP1-GALT KD cell lysate Lysates/proteins at 10 µg/Lane. Predicted band size: 43 kDa Observed band size: 43 kDa Exposure time: 62 seconds; ECL: K1801; 4-20% SDS-PAGE gel. Proteins were transferred to a PVDF membrane and blocked with 5% NFDM/TBST for 1 hour at room temperature. The primary antibody (HA721092) at 1/1,000 dilution was used in K1803 at 4℃ overnight. Goat Anti-Rabbit IgG - HRP Secondary Antibody (HA1001) at 1/50,000 dilution was used for 1 hour at room temperature.

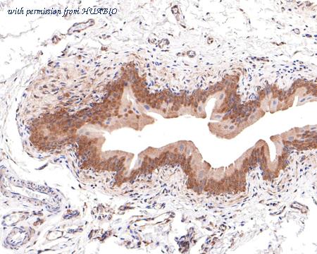
Immunohistochemical analysis of paraffin-embedded rat bladder tissue with Rabbit anti-GALT antibody (HA721092) at 1/100 dilution. The section was pre-treated using heat mediated antigen retrieval with Tris-EDTA buffer (pH 9.0) for 20 minutes. The tissues were blocked in 1% BSA for 20 minutes at room temperature, washed with ddH2O and PBS, and then probed with the primary antibody (HA721092) at 1/100 dilution for 1 hour at room temperature. The detection was performed using an HRP conjugated compact polymer system. DAB was used as the chromogen. Tissues were counterstained with hematoxylin and mounted with DPX.
quantity: 100μl
price: 385.00 USD
to the supplier
domestic rabbit monoclonal (PSH02-87)
reactivity: human, mouse, rat
application: western blot, flow cytometry
reactivity: human, mouse, rat
application: western blot, flow cytometry

Western blot analysis of GALT on different lysates with Rabbit anti-GALT antibody (HA721875) at 1/2,000 dilution. Lane 1: HepG2 cell lysate (20 µg/Lane) Lane 2: HeLa cell lysate (20 µg/Lane) Lane 3: A549 cell lysate (20 µg/Lane) Lane 4: K-562 cell lysate (20 µg/Lane) Lane 5: SH-SY5Y cell lysate (20 µg/Lane) Lane 6: PC-12 cell lysate (20 µg/Lane) Lane 7: Rat liver tissue lysate (40 µg/Lane) Predicted band size: 43 kDa Observed band size: 43 kDa Exposure time: 43 seconds; 4-20% SDS-PAGE gel. Proteins were transferred to a PVDF membrane and blocked with 5% NFDM/TBST for 1 hour at room temperature. The primary antibody (HA721875) at 1/2,000 dilution was used in 5% NFDM/TBST at 4℃ overnight. Goat Anti-Rabbit IgG - HRP Secondary Antibody (HA1001) at 1/50,000 dilution was used for 1 hour at room temperature.

Western blot analysis of GALT on different lysates with Rabbit anti-GALT antibody (HA721875) at 1/5,000 dilution. Lane 1: HAP1-parental cell lysate Lane 2: HAP1-GALT KD cell lysate Lysates/proteins at 10 µg/Lane. Predicted band size: 43 kDa Observed band size: 43 kDa Exposure time: 46 seconds; ECL: K1801; 4-20% SDS-PAGE gel. Proteins were transferred to a PVDF membrane and blocked with 5% NFDM/TBST for 1 hour at room temperature. The primary antibody (HA721875) at 1/5,000 dilution was used in primary antibody dilution (K1803) at 4℃ overnight. Goat Anti-Rabbit IgG - HRP Secondary Antibody (HA1001) at 1/50,000 dilution was used for 1 hour at room temperature.

Immunocytochemistry analysis of HeLa cells labeling GALT with Rabbit anti-GALT antibody (HA721875) at 1/100 dilution. Cells were fixed in 4% paraformaldehyde for 20 minutes at room temperature, permeabilized with 0.1% Triton X-100 in PBS for 5 minutes at room temperature, then blocked with 1% BSA in 10% negative goat serum for 1 hour at room temperature. Cells were then incubated with Rabbit anti-GALT antibody (HA721875) at 1/100 dilution in 1% BSA in PBST overnight at 4 ℃. Goat Anti-Rabbit IgG H&L (iFluor™ 488, HA1121) was used as the secondary antibody at 1/1,000 dilution. PBS instead of the primary antibody was used as the secondary antibody only control. Nuclear DNA was labelled in blue with DAPI.
quantity: 100μl
price: 385.00 USD
to the supplier
domestic rabbit monoclonal (PSH02-88)
reactivity: human, mouse
application: western blot
reactivity: human, mouse
application: western blot

Western blot analysis of GALT on different lysates with Rabbit anti-GALT antibody (HA721876) at 1/5,000 dilution and competitor's antibody at 1/2,000 dilution. Lane 1: HepG2 cell lysate (15 µg/Lane) Lane 2: HeLa cell lysate (15 µg/Lane) Lane 3: A549 cell lysate (15 µg/Lane) Lane 4: K-562 cell lysate (15 µg/Lane) Lane 5: THP-1 cell lysate (15 µg/Lane) Predicted band size: 43 kDa Observed band size: 43 kDa Exposure time: Lane 1-5 (left): 1 minute 34 seconds; ECL: K1801; Exposure time: Lane 1-5 (right): 3 minutes; ECL: K1802; 4-20% SDS-PAGE gel. Proteins were transferred to a PVDF membrane and blocked with 5% NFDM/TBST for 1 hour at room temperature. The primary antibody (HA721876) at 1/5,000 dilution and competitor's antibody at 1/2,000 dilution were used in 5% NFDM/TBST at 4℃ overnight. Goat Anti-Rabbit IgG - HRP Secondary Antibody (HA1001) at 1/50,000 dilution was used for 1 hour at room temperature.

Western blot analysis of GALT on different lysates with Rabbit anti-GALT antibody (HA721876) at 1/5,000 dilution. Lane 1: HAP1-parental cell lysate Lane 2: HAP1-GALT KD cell lysate Lysates/proteins at 10 µg/Lane. Predicted band size: 43 kDa Observed band size: 43 kDa Exposure time: 46 seconds; ECL: K1801; 4-20% SDS-PAGE gel. Proteins were transferred to a PVDF membrane and blocked with 5% NFDM/TBST for 1 hour at room temperature. The primary antibody (HA721876) at 1/5,000 dilution was used in primary antibody dilution (K1803) at 4℃ overnight. Goat Anti-Rabbit IgG - HRP Secondary Antibody (HA1001) at 1/50,000 dilution was used for 1 hour at room temperature.

Western blot analysis of GALT on different lysates with Rabbit anti-GALT antibody (HA721876) at 1/2,000 dilution. Lane 1: HepG2 cell lysate (20 µg/Lane) Lane 2: HeLa cell lysate (20 µg/Lane) Lane 3: A549 cell lysate (20 µg/Lane) Lane 4: K-562 cell lysate (20 µg/Lane) Lane 5: THP-1 cell lysate (20 µg/Lane) Lane 6: Jurkat cell lysate (20 µg/Lane) Lane 7: SiHa cell lysate (20 µg/Lane) Lane 8: SH-SY5Y cell lysate (20 µg/Lane) Lane 9: Mouse liver tissue lysate (40 µg/Lane) Predicted band size: 43 kDa Observed band size: 43 kDa Exposure time: 43 seconds; ECL: K1802; 4-20% SDS-PAGE gel. Proteins were transferred to a PVDF membrane and blocked with 5% NFDM/TBST for 1 hour at room temperature. The primary antibody (HA721876) at 1/2,000 dilution was used in 5% NFDM/TBST at 4℃ overnight. Goat Anti-Rabbit IgG - HRP Secondary Antibody (HA1001) at 1/50,000 dilution was used for 1 hour at room temperature.
quantity: 100μl
price: 385.00 USD
to the supplier
domestic rabbit monoclonal (PSH02-87)
reactivity: human, mouse, rat
application: western blot, flow cytometry
reactivity: human, mouse, rat
application: western blot, flow cytometry

Western blot analysis of GALT on different lysates with Rabbit anti-GALT antibody (HA750841) at 1/2,000 dilution. Lane 1: HepG2 cell lysate (20 µg/Lane) Lane 2: HeLa cell lysate (20 µg/Lane) Lane 3: A549 cell lysate (20 µg/Lane) Lane 4: K-562 cell lysate (20 µg/Lane) Lane 5: SH-SY5Y cell lysate (20 µg/Lane) Lane 6: PC-12 cell lysate (20 µg/Lane) Lane 7: Rat liver tissue lysate (40 µg/Lane) Predicted band size: 43 kDa Observed band size: 43 kDa Exposure time: 43 seconds; 4-20% SDS-PAGE gel. Proteins were transferred to a PVDF membrane and blocked with 5% NFDM/TBST for 1 hour at room temperature. The primary antibody (HA750841) at 1/2,000 dilution was used in 5% NFDM/TBST at 4℃ overnight. Goat Anti-Rabbit IgG - HRP Secondary Antibody (HA1001) at 1/50,000 dilution was used for 1 hour at room temperature.

Western blot analysis of GALT on different lysates with Rabbit anti-GALT antibody (HA750841) at 1/5,000 dilution. Lane 1: HAP1-parental cell lysate Lane 2: HAP1-GALT KD cell lysate Lysates/proteins at 10 µg/Lane. Predicted band size: 43 kDa Observed band size: 43 kDa Exposure time: 46 seconds; ECL: K1801; 4-20% SDS-PAGE gel. Proteins were transferred to a PVDF membrane and blocked with 5% NFDM/TBST for 1 hour at room temperature. The primary antibody (HA750841) at 1/5,000 dilution was used in primary antibody dilution (K1803) at 4℃ overnight. Goat Anti-Rabbit IgG - HRP Secondary Antibody (HA1001) at 1/50,000 dilution was used for 1 hour at room temperature.

Immunocytochemistry analysis of HeLa cells labeling GALT with Rabbit anti-GALT antibody (HA750841) at 1/100 dilution. Cells were fixed in 4% paraformaldehyde for 20 minutes at room temperature, permeabilized with 0.1% Triton X-100 in PBS for 5 minutes at room temperature, then blocked with 1% BSA in 10% negative goat serum for 1 hour at room temperature. Cells were then incubated with Rabbit anti-GALT antibody (HA750841) at 1/100 dilution in 1% BSA in PBST overnight at 4 ℃. Goat Anti-Rabbit IgG H&L (iFluor™ 488, HA1121) was used as the secondary antibody at 1/1,000 dilution. PBS instead of the primary antibody was used as the secondary antibody only control. Nuclear DNA was labelled in blue with DAPI.
quantity: 100μl
price: 649.00 USD
to the supplier
domestic rabbit monoclonal (PSH02-88)
reactivity: human, mouse
application: western blot
reactivity: human, mouse
application: western blot

Western blot analysis of GALT on different lysates with Rabbit anti-GALT antibody (HA750842) at 1/5,000 dilution and competitor's antibody at 1/2,000 dilution. Lane 1: HepG2 cell lysate (15 µg/Lane) Lane 2: HeLa cell lysate (15 µg/Lane) Lane 3: A549 cell lysate (15 µg/Lane) Lane 4: K-562 cell lysate (15 µg/Lane) Lane 5: THP-1 cell lysate (15 µg/Lane) Predicted band size: 43 kDa Observed band size: 43 kDa Exposure time: Lane 1-5 (left): 1 minute 34 seconds; ECL: K1801; Exposure time: Lane 1-5 (right): 3 minutes; ECL: K1802; 4-20% SDS-PAGE gel. Proteins were transferred to a PVDF membrane and blocked with 5% NFDM/TBST for 1 hour at room temperature. The primary antibody (HA750842) at 1/5,000 dilution and competitor's antibody at 1/2,000 dilution were used in 5% NFDM/TBST at 4℃ overnight. Goat Anti-Rabbit IgG - HRP Secondary Antibody (HA1001) at 1/50,000 dilution was used for 1 hour at room temperature.

Western blot analysis of GALT on different lysates with Rabbit anti-GALT antibody (HA750842) at 1/5,000 dilution. Lane 1: HAP1-parental cell lysate Lane 2: HAP1-GALT KD cell lysate Lysates/proteins at 10 µg/Lane. Predicted band size: 43 kDa Observed band size: 43 kDa Exposure time: 46 seconds; ECL: K1801; 4-20% SDS-PAGE gel. Proteins were transferred to a PVDF membrane and blocked with 5% NFDM/TBST for 1 hour at room temperature. The primary antibody (HA750842) at 1/5,000 dilution was used in primary antibody dilution (K1803) at 4℃ overnight. Goat Anti-Rabbit IgG - HRP Secondary Antibody (HA1001) at 1/50,000 dilution was used for 1 hour at room temperature.

Western blot analysis of GALT on different lysates with Rabbit anti-GALT antibody (HA750842) at 1/2,000 dilution. Lane 1: HepG2 cell lysate (20 µg/Lane) Lane 2: HeLa cell lysate (20 µg/Lane) Lane 3: A549 cell lysate (20 µg/Lane) Lane 4: K-562 cell lysate (20 µg/Lane) Lane 5: THP-1 cell lysate (20 µg/Lane) Lane 6: Jurkat cell lysate (20 µg/Lane) Lane 7: SiHa cell lysate (20 µg/Lane) Lane 8: SH-SY5Y cell lysate (20 µg/Lane) Lane 9: Mouse liver tissue lysate (40 µg/Lane) Predicted band size: 43 kDa Observed band size: 43 kDa Exposure time: 43 seconds; ECL: K1802; 4-20% SDS-PAGE gel. Proteins were transferred to a PVDF membrane and blocked with 5% NFDM/TBST for 1 hour at room temperature. The primary antibody (HA750842) at 1/2,000 dilution was used in 5% NFDM/TBST at 4℃ overnight. Goat Anti-Rabbit IgG - HRP Secondary Antibody (HA1001) at 1/50,000 dilution was used for 1 hour at room temperature.
quantity: 100μl
price: 649.00 USD
to the supplier
