domestic rabbit monoclonal (PSH03-45)
reactivity: human, mouse, rat
application: western blot
reactivity: human, mouse, rat
application: western blot

Western blot analysis of GALC on different lysates with Rabbit anti-GALC antibody (HA722004) at 1/5,000 dilution. Lane 1: 293T cell lysate Lane 2: A375 cell lysate Lane 3: A549 cell lysate Lane 4: HepG2 cell lysate Lane 5: NIH/3T3 cell lysate Lane 6: PC-12 cell lysate Lane 7: Mouse brain tissue lysate Lane 8: Mouse testis tissue lysate Lane 9: Rat brain tissue lysate Lane 10: Rat testis tissue lysate Lysates/proteins at 20 µg/Lane. Predicted band size: 77 kDa Observed band size: 60 kDa Exposure time: 43 seconds; 4-20% SDS-PAGE gel. Proteins were transferred to a PVDF membrane and blocked with 5% NFDM/TBST for 1 hour at room temperature. The primary antibody (HA722004) at 1/5,000 dilution was used in 5% NFDM/TBST at 4℃ overnight. Goat Anti-Rabbit IgG - HRP Secondary Antibody (HA1001) at 1/50,000 dilution was used for 1 hour at room temperature.

Immunocytochemistry analysis of A549 cells labeling GALC with Rabbit anti-GALC antibody (HA722004) at 1/100 dilution. Cells were fixed in 4% paraformaldehyde for 20 minutes at room temperature, permeabilized with 0.1% Triton X-100 in PBS for 5 minutes at room temperature, then blocked with 1% BSA in 10% negative goat serum for 1 hour at room temperature. Cells were then incubated with Rabbit anti-GALC antibody (HA722004) at 1/100 dilution in 1% BSA in PBST overnight at 4 ℃. Goat Anti-Rabbit IgG H&L (iFluor™ 488, HA1121) was used as the secondary antibody at 1/1,000 dilution. PBS instead of the primary antibody was used as the secondary antibody only control. Nuclear DNA was labelled in blue with DAPI. Beta tubulin (M1305-2, red) was stained at 1/100 dilution overnight at +4℃. Goat Anti-Mouse IgG H&L (iFluor™ 594, HA1126) was used as the secondary antibody at 1/1,000 dilution.
quantity: 100μl
price: 385.00 USD
to the supplier
domestic rabbit monoclonal (PSH04-32)
reactivity: human, mouse
application: western blot, immunohistochemistry - paraffin section
reactivity: human, mouse
application: western blot, immunohistochemistry - paraffin section

Western blot analysis of GALC on different lysates with Rabbit anti-GALC antibody (HA722115) at 1/2,000 dilution. Lane 1: 293T cell lysate (20 µg/Lane) Lane 2: A375 cell lysate (20 µg/Lane) Lane 3: A549 cell lysate (20 µg/Lane) Lane 4: SH-SY5Y cell lysate (20 µg/Lane) Predicted band size: 77 kDa Observed band size: 48 kDa Exposure time: 3 minutes; ECL: K1801; 4-20% SDS-PAGE gel. Proteins were transferred to a PVDF membrane and blocked with 5% NFDM/TBST for 1 hour at room temperature. The primary antibody (HA722115) at 1/2,000 dilution was used in 5% NFDM/TBST at 4℃ overnight. Goat Anti-Rabbit IgG - HRP Secondary Antibody (HA1001) at 1/50,000 dilution was used for 1 hour at room temperature.

Immunohistochemical analysis of paraffin-embedded human brain tissue with Rabbit anti-GALC antibody (HA722115) at 1/200 dilution. The section was pre-treated using heat mediated antigen retrieval with Tris-EDTA buffer (pH 9.0) for 20 minutes. The tissues were blocked in 1% BSA for 20 minutes at room temperature, washed with ddH2O and PBS, and then probed with the primary antibody (HA722115) at 1/200 dilution for 1 hour at room temperature. The detection was performed using an HRP conjugated compact polymer system. DAB was used as the chromogen. Tissues were counterstained with hematoxylin and mounted with DPX.

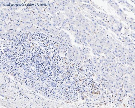
Immunohistochemical analysis of paraffin-embedded human liver cancer tissue with Rabbit anti-GALC antibody (HA722115) at 1/200 dilution. The section was pre-treated using heat mediated antigen retrieval with Tris-EDTA buffer (pH 9.0) for 20 minutes. The tissues were blocked in 1% BSA for 20 minutes at room temperature, washed with ddH2O and PBS, and then probed with the primary antibody (HA722115) at 1/200 dilution for 1 hour at room temperature. The detection was performed using an HRP conjugated compact polymer system. DAB was used as the chromogen. Tissues were counterstained with hematoxylin and mounted with DPX.
quantity: 100μl
price: 385.00 USD
to the supplier
domestic rabbit monoclonal (PSH03-45)
reactivity: human, mouse, rat
application: western blot
reactivity: human, mouse, rat
application: western blot

Western blot analysis of GALC on different lysates with Rabbit anti-GALC antibody (HA750879) at 1/5,000 dilution. Lane 1: 293T cell lysate Lane 2: A375 cell lysate Lane 3: A549 cell lysate Lane 4: HepG2 cell lysate Lane 5: NIH/3T3 cell lysate Lane 6: PC-12 cell lysate Lane 7: Mouse brain tissue lysate Lane 8: Mouse testis tissue lysate Lane 9: Rat brain tissue lysate Lane 10: Rat testis tissue lysate Lysates/proteins at 20 µg/Lane. Predicted band size: 77 kDa Observed band size: 60 kDa Exposure time: 43 seconds; 4-20% SDS-PAGE gel. Proteins were transferred to a PVDF membrane and blocked with 5% NFDM/TBST for 1 hour at room temperature. The primary antibody (HA750879) at 1/5,000 dilution was used in 5% NFDM/TBST at 4℃ overnight. Goat Anti-Rabbit IgG - HRP Secondary Antibody (HA1001) at 1/50,000 dilution was used for 1 hour at room temperature.

Immunocytochemistry analysis of A549 cells labeling GALC with Rabbit anti-GALC antibody (HA750879) at 1/100 dilution. Cells were fixed in 4% paraformaldehyde for 20 minutes at room temperature, permeabilized with 0.1% Triton X-100 in PBS for 5 minutes at room temperature, then blocked with 1% BSA in 10% negative goat serum for 1 hour at room temperature. Cells were then incubated with Rabbit anti-GALC antibody (HA750879) at 1/100 dilution in 1% BSA in PBST overnight at 4 ℃. Goat Anti-Rabbit IgG H&L (iFluor™ 488, HA1121) was used as the secondary antibody at 1/1,000 dilution. PBS instead of the primary antibody was used as the secondary antibody only control. Nuclear DNA was labelled in blue with DAPI. Beta tubulin (M1305-2, red) was stained at 1/100 dilution overnight at +4℃. Goat Anti-Mouse IgG H&L (iFluor™ 594, HA1126) was used as the secondary antibody at 1/1,000 dilution.
quantity: 100μl
price: 649.00 USD
to the supplier
domestic rabbit monoclonal (PSH04-32)
reactivity: human, mouse
application: western blot, immunohistochemistry - paraffin section
reactivity: human, mouse
application: western blot, immunohistochemistry - paraffin section

Western blot analysis of GALC on different lysates with Rabbit anti-GALC antibody (HA750941) at 1/2,000 dilution. Lane 1: 293T cell lysate (20 µg/Lane) Lane 2: A375 cell lysate (20 µg/Lane) Lane 3: A549 cell lysate (20 µg/Lane) Lane 4: SH-SY5Y cell lysate (20 µg/Lane) Predicted band size: 77 kDa Observed band size: 48 kDa Exposure time: 3 minutes; ECL: K1801; 4-20% SDS-PAGE gel. Proteins were transferred to a PVDF membrane and blocked with 5% NFDM/TBST for 1 hour at room temperature. The primary antibody (HA750941) at 1/2,000 dilution was used in 5% NFDM/TBST at 4℃ overnight. Goat Anti-Rabbit IgG - HRP Secondary Antibody (HA1001) at 1/50,000 dilution was used for 1 hour at room temperature.

Immunohistochemical analysis of paraffin-embedded human brain tissue with Rabbit anti-GALC antibody (HA750941) at 1/200 dilution. The section was pre-treated using heat mediated antigen retrieval with Tris-EDTA buffer (pH 9.0) for 20 minutes. The tissues were blocked in 1% BSA for 20 minutes at room temperature, washed with ddH2O and PBS, and then probed with the primary antibody (HA750941) at 1/200 dilution for 1 hour at room temperature. The detection was performed using an HRP conjugated compact polymer system. DAB was used as the chromogen. Tissues were counterstained with hematoxylin and mounted with DPX.

Immunohistochemical analysis of paraffin-embedded human liver cancer tissue with Rabbit anti-GALC antibody (HA750941) at 1/200 dilution. The section was pre-treated using heat mediated antigen retrieval with Tris-EDTA buffer (pH 9.0) for 20 minutes. The tissues were blocked in 1% BSA for 20 minutes at room temperature, washed with ddH2O and PBS, and then probed with the primary antibody (HA750941) at 1/200 dilution for 1 hour at room temperature. The detection was performed using an HRP conjugated compact polymer system. DAB was used as the chromogen. Tissues were counterstained with hematoxylin and mounted with DPX.
quantity: 100μl
price: 649.00 USD
to the supplier
