Sign in
Sign up
home
>
HUABIO
> HUABIO Oxt antibody
Oxytocin-neurophysin 1 / OXT
HUABIO
catalog: ER64173
domestic rabbit polyclonal
reactivity:
mouse
,
rat
application:
western blot
,
immunohistochemistry - paraffin section
Western blot analysis of Oxytocin-neurophysin 1 / OXT on mouse pituitary tissue lysates with Rabbit anti-Oxytocin-neurophysin 1 / OXT antibody (ER64173) at 1/2,000 dilution. Lysates/proteins at 40 µg/Lane. Predicted band size: 13 kDa Observed band size: 14 kDa Exposure time: 3 seconds; ECL: K1801; 4-20% SDS-PAGE gel. Proteins were transferred to a PVDF membrane and blocked with 5% NFDM/TBST for 1 hour at room temperature. The primary antibody (ER64173) at 1/2,000 dilution was used in 5% NFDM/TBST at 4℃ overnight. Goat Anti-Rabbit IgG - HRP Secondary Antibody (HA1001) at 1/50,000 dilution was used for 1 hour at room temperature.
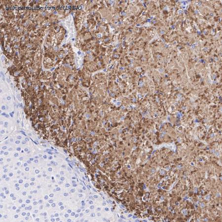
Immunohistochemical analysis of paraffin-embedded mouse pituitary tissue with Rabbit anti-Oxytocin-neurophysin 1 / OXT antibody (ER64173) at 1/8,000 dilution. The section was pre-treated using heat mediated antigen retrieval with Tris-EDTA buffer (pH 9.0) for 20 minutes. The tissues were blocked in 1% BSA for 20 minutes at room temperature, washed with ddH2O and PBS, and then probed with the primary antibody (ER64173) at 1/8,000 dilution for 1 hour at room temperature. The detection was performed using an HRP conjugated compact polymer system. DAB was used as the chromogen. Tissues were counterstained with hematoxylin and mounted with DPX.
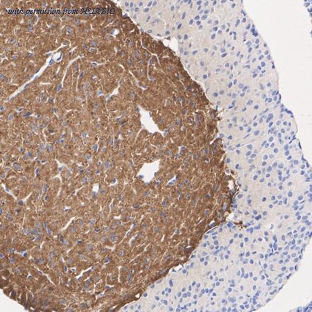
Immunohistochemical analysis of paraffin-embedded rat pituitary tissue with Rabbit anti-Oxytocin-neurophysin 1 / OXT antibody (ER64173) at 1/8,000 dilution. The section was pre-treated using heat mediated antigen retrieval with Tris-EDTA buffer (pH 9.0) for 20 minutes. The tissues were blocked in 1% BSA for 20 minutes at room temperature, washed with ddH2O and PBS, and then probed with the primary antibody (ER64173) at 1/8,000 dilution for 1 hour at room temperature. The detection was performed using an HRP conjugated compact polymer system. DAB was used as the chromogen. Tissues were counterstained with hematoxylin and mounted with DPX.
quantity: 100μl
price: 330 USD
to the supplier
Oxytocin-neurophysin 1 / OXT
HUABIO
catalog: HA722968
domestic rabbit monoclonal (PSH08-24)
reactivity:
human
,
mouse
,
rat
application:
western blot
,
immunohistochemistry - paraffin section
,
immunohistochemistry - frozen section
Application: IHC-Fr Species: Mouse Site: Paraventricular nucleus Sample: Frozen section Antibody concentration: 1/500 Antigen retrieval: Not required
Application: IHC-Fr Species: Rat Site: Supraoptic nucleus Sample: Frozen section Antibody concentration: 1/500 Antigen retrieval: Not required
Application: IF-tissue Species: Mouse Site: Pituitary Sample: Paraffin-embedded section Antibody concentration: 1/2,000
quantity: 100μl
price: 385.00 USD
to the supplier
Oxytocin-neurophysin 1 / OXT
HUABIO
catalog: HA751215
domestic rabbit monoclonal (PSH08-24)
reactivity:
human
,
mouse
,
rat
application:
western blot
,
immunohistochemistry - paraffin section
,
immunohistochemistry - frozen section
Application: IHC-Fr Species: Mouse Site: Paraventricular nucleus Sample: Frozen section Antibody concentration: 1/500 Antigen retrieval: Not required
Application: IHC-Fr Species: Rat Site: Supraoptic nucleus Sample: Frozen section Antibody concentration: 1/500 Antigen retrieval: Not required
Application: IF-tissue Species: Mouse Site: Pituitary Sample: Paraffin-embedded section Antibody concentration: 1/2,000
quantity: 100μl
price: 649.00 USD
to the supplier
Oxytocin-neurophysin 1 / OXT
HUABIO
catalog: HA601425
domestic rabbit polyclonal (PSH08-24)
reactivity:
human
,
mouse
,
rat
application:
immunohistochemistry - frozen section
Application: IHC-Fr Species: Mouse Site: Paraventricular nucleus Sample: Frozen section Antibody concentration: 1/500 Antigen retrieval: Not required
Application: IF-tissue Species: Mouse Site: Paraventricular nucleus Sample: Paraffin-embedded section Antibody concentration: 1/500
Application: IF-tissue Species: Mouse Site: Pituitary Sample: Paraffin-embedded section Antibody concentration: 1/500
quantity: 100μl
price: 330 USD
to the supplier
Oxytocin-neurophysin 1 / OXT
HUABIO
catalog: HA601426
domestic rabbit polyclonal (PSH08-24)
reactivity:
human
,
mouse
,
rat
application:
immunohistochemistry - paraffin section
,
immunohistochemistry - frozen section
Application: IHC-Fr Species: Mouse Site: Paraventricular nucleus Sample: Frozen section Antibody concentration: 1/500 Antigen retrieval: Not required
Application: IF-tissue Species: Mouse Site: Paraventricular nucleus Sample: Paraffin-embedded section Antibody concentration: 1/500
Application: IF-tissue Species: Mouse Site: Pituitary Sample: Paraffin-embedded section Antibody concentration: 1/500
quantity: 100μl
price: 330 USD
to the supplier
Oxytocin-neurophysin 1 / OXT
HUABIO
catalog: HA610265
domestic rabbit polyclonal (PSH08-24)
reactivity:
human
,
mouse
,
rat
application:
immunohistochemistry - frozen section
Application: IHC-Fr Species: Mouse Site: Paraventricular nucleus Sample: Frozen section Antibody concentration: 1/500 Antigen retrieval: Not required
Application: IF-tissue Species: Mouse Site: Paraventricular nucleus Sample: Paraffin-embedded section Antibody concentration: 1/500
Application: IF-tissue Species: Mouse Site: Pituitary Sample: Paraffin-embedded section Antibody concentration: 1/500
quantity: 100μg
price: 649.00 USD
to the supplier
Oxytocin-neurophysin 1 / OXT
HUABIO
catalog: HA610266
domestic rabbit polyclonal (PSH08-24)
reactivity:
human
,
mouse
,
rat
application:
immunohistochemistry - paraffin section
,
immunohistochemistry - frozen section
Application: IHC-Fr Species: Mouse Site: Paraventricular nucleus Sample: Frozen section Antibody concentration: 1/500 Antigen retrieval: Not required
Application: IF-tissue Species: Mouse Site: Paraventricular nucleus Sample: Paraffin-embedded section Antibody concentration: 1/500
Application: IF-tissue Species: Mouse Site: Pituitary Sample: Paraffin-embedded section Antibody concentration: 1/500
quantity: 100μg
price: 649.00 USD
to the supplier