ICAM1HUABIOcatalog: HA723878
domestic rabbit monoclonal (PSH16-76)
reactivity: mouse, rat
application: western blot, immunohistochemistry - paraffin section

Western blot analysis of ICAM1 on different lysates with Rabbit anti-ICAM1 antibody (HA723878) at 1/10,000 dilution.
Lane 1: C6 cell lysate (20 µg/Lane)
Lane 2: Mouse kidney tissue lysate (30 µg/Lane)
Lane 3: Mouse spleen tissue lysate (30 µg/Lane)
Lane 4: Mouse liver tissue lysate (30 µg/Lane)
Lane 5: Rat spleen tissue lysate (30 µg/Lane)
Lane 6: Rat kidney tissue lysate (30 µg/Lane)
Predicted band size: 60 kDa
Observed band size: 75-100 kDa
Exposure time: 59 seconds; ECL: K1801;
4-20% SDS-PAGE gel.
Proteins were transferred to a PVDF membrane and blocked with 5% NFDM/TBST for 1 hour at room temperature. The primary antibody (HA723878) at 1/10,000 dilution was used in primary antibody dilution (K1803) at 4℃ overnight. Goat Anti-Rabbit IgG - HRP Secondary Antibody (HA1001) at 1/50,000 dilution was used for 1 hour at room temperature.

Western blot analysis of ICAM1 on different lysates with Rabbit anti-ICAM1 antibody (HA723878) at 1/5,000 dilution.
Lane 1: RAW264.7 cell lysate
Lane 2: RAW264.7 cell lysate treated with deglycosylation
Lysates/proteins at 20 µg/Lane.
Predicted band size: 60 kDa
Observed band size: 60-120 kDa
Exposure time: 3 minutes; ECL: K1802;
4-20% SDS-PAGE gel.
Proteins were transferred to a PVDF membrane and blocked with 5% NFDM/TBST for 1 hour at room temperature. The primary antibody (HA723878) at 1/5,000 dilution was used in primary antibody dilution (K1803) at 4℃ overnight. Goat Anti-Rabbit IgG - HRP Secondary Antibody (HA1001) at 1/50,000 dilution was used for 1 hour at room temperature.

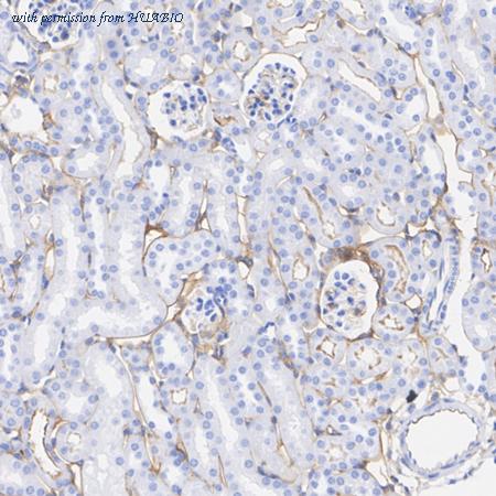
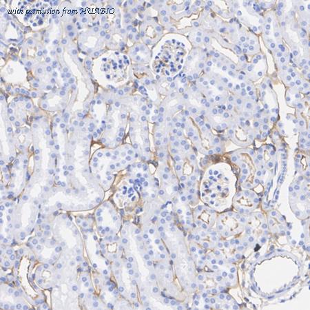
Immunohistochemical analysis of paraffin-embedded mouse kidney tissue with Rabbit anti-ICAM1 antibody (HA723878) at 1/1,000 dilution.
The section was pre-treated using heat mediated antigen retrieval with Tris-EDTA buffer (pH 9.0) for 20 minutes. The tissues were blocked in 1% BSA for 20 minutes at room temperature, washed with ddH2O and PBS, and then probed with the primary antibody (HA723878) at 1/1,000 dilution for 1 hour at room temperature. The detection was performed using an HRP conjugated compact polymer system. DAB was used as the chromogen. Tissues were counterstained with hematoxylin and mounted with DPX.
quantity: 100μl
price: 385.00 USD
to the supplier