domestic rabbit monoclonal (JE43-23)
reactivity: human, mouse, rat
application: western blot
reactivity: human, mouse, rat
application: western blot

Western blot analysis of Phospho-Glucose Transporter GLUT4 (S488) on mouse heart tissue lysates (no heat) with Rabbit anti-Phospho-Glucose Transporter GLUT4 (S488) antibody (HA721866) at 1/1,000 dilution. Notice: no heat means the lysate is not boiled. Lysates/proteins at 30 µg/Lane. Predicted band size: 55 kDa Observed band size: 50 kDa Exposure time: 3 minutes; 4-20% SDS-PAGE gel. Proteins were transferred to a PVDF membrane and blocked with 5% NFDM/TBST for 1 hour at room temperature. The primary antibody (HA721866) at 1/1,000 dilution was used in 5% NFDM/TBST at 4℃ overnight. Goat Anti-Rabbit IgG - HRP Secondary Antibody (HA1001) at 1/50,000 dilution was used for 1 hour at room temperature.
quantity: 100μl
price: 385.00 USD
to the supplier
domestic rabbit monoclonal (PSH10-06)
reactivity: mouse, rat
application: western blot, immunohistochemistry - frozen section
reactivity: mouse, rat
application: western blot, immunohistochemistry - frozen section

Immunofluorescence analysis of frozen mouse heart tissue with Rabbit anti-Glucose Transporter GLUT4 antibody (HA723175) at 1/500 dilution. The section was not undergone antigen retrieval. The tissues were blocked in 10% negative goat serum for 1 hour at room temperature, washed with PBS, and then probed with the primary antibody (HA723175, green) at 1/500 dilution overnight at 4 ℃, washed with PBS. Goat Anti-Rabbit IgG H&L (iFluor™ 488, HA1121) was used as the secondary antibody at 1/1,000 dilution. Nuclei were counterstained with DAPI (blue).

Immunofluorescence analysis of frozen rat skeletal muscle tissue with Rabbit anti-Glucose Transporter GLUT4 antibody (HA723175) at 1/500 dilution. The section was not undergone antigen retrieval. The tissues were blocked in 10% negative goat serum for 1 hour at room temperature, washed with PBS, and then probed with the primary antibody (HA723175, green) at 1/500 dilution overnight at 4 ℃, washed with PBS. Goat Anti-Rabbit IgG H&L (iFluor™ 488, HA1121) was used as the secondary antibody at 1/1,000 dilution. Nuclei were counterstained with DAPI (blue).

Western blot analysis of Glucose Transporter GLUT4 on different lysates with Rabbit anti-Glucose Transporter GLUT4 antibody (HA723175) at 1/5,000 dilution. Lane 1: Mouse heart tissue lysate (no heat) (30 µg/Lane) Lane 2: Mouse skeletal muscle tissue lysate (no heat) (30 µg/Lane) Lane 3: Mouse kidney tissue lysate (no heat) (negative) (30 µg/Lane) Lane 4: Rat kidney tissue lysate (negative) (30 µg/Lane) Lane 5: Rat lung tissue lysate (no heat) (negative) (30 µg/Lane) Lane 6: Rat skeletal muscle tissue lysate (no heat) (30 µg/Lane) Notice: no heat means the lysate is not boiled. Predicted band size: 55 kDa Observed band size: 50 kDa Exposure time: 20 seconds; ECL: K1801; 4-20% SDS-PAGE gel. Proteins were transferred to a PVDF membrane and blocked with 5% NFDM/TBST for 1 hour at room temperature. The primary antibody (HA723175) at 1/5,000 dilution was used in 5% NFDM/TBST at 4℃ overnight. Goat Anti-Rabbit IgG - HRP Secondary Antibody (HA1001) at 1/50,000 dilution was used for 1 hour at room temperature.
quantity: 100μl
price: 385.00 USD
to the supplier
domestic rabbit monoclonal (PSH10-06)
reactivity: mouse, rat
application: western blot, immunohistochemistry - frozen section
reactivity: mouse, rat
application: western blot, immunohistochemistry - frozen section

Immunofluorescence analysis of frozen mouse heart tissue with Rabbit anti-Glucose Transporter GLUT4 antibody (HA751336) at 1/500 dilution. The section was not undergone antigen retrieval. The tissues were blocked in 10% negative goat serum for 1 hour at room temperature, washed with PBS, and then probed with the primary antibody (HA751336, green) at 1/500 dilution overnight at 4 ℃, washed with PBS. Goat Anti-Rabbit IgG H&L (iFluor™ 488, HA1121) was used as the secondary antibody at 1/1,000 dilution. Nuclei were counterstained with DAPI (blue).

Immunofluorescence analysis of frozen rat skeletal muscle tissue with Rabbit anti-Glucose Transporter GLUT4 antibody (HA751336) at 1/500 dilution. The section was not undergone antigen retrieval. The tissues were blocked in 10% negative goat serum for 1 hour at room temperature, washed with PBS, and then probed with the primary antibody (HA751336, green) at 1/500 dilution overnight at 4 ℃, washed with PBS. Goat Anti-Rabbit IgG H&L (iFluor™ 488, HA1121) was used as the secondary antibody at 1/1,000 dilution. Nuclei were counterstained with DAPI (blue).

Western blot analysis of Glucose Transporter GLUT4 on different lysates with Rabbit anti-Glucose Transporter GLUT4 antibody (HA751336) at 1/5,000 dilution. Lane 1: Mouse heart tissue lysate (no heat) (30 µg/Lane) Lane 2: Mouse skeletal muscle tissue lysate (no heat) (30 µg/Lane) Lane 3: Mouse kidney tissue lysate (no heat) (negative) (30 µg/Lane) Lane 4: Rat kidney tissue lysate (negative) (30 µg/Lane) Lane 5: Rat lung tissue lysate (no heat) (negative) (30 µg/Lane) Lane 6: Rat skeletal muscle tissue lysate (no heat) (30 µg/Lane) Notice: no heat means the lysate is not boiled. Predicted band size: 55 kDa Observed band size: 50 kDa Exposure time: 20 seconds; ECL: K1801; 4-20% SDS-PAGE gel. Proteins were transferred to a PVDF membrane and blocked with 5% NFDM/TBST for 1 hour at room temperature. The primary antibody (HA751336) at 1/5,000 dilution was used in 5% NFDM/TBST at 4℃ overnight. Goat Anti-Rabbit IgG - HRP Secondary Antibody (HA1001) at 1/50,000 dilution was used for 1 hour at room temperature.
quantity: 100μl
price: 649.00 USD
to the supplier
domestic rabbit polyclonal
reactivity: human, mouse, rat
application: western blot, immunohistochemistry - paraffin section
reactivity: human, mouse, rat
application: western blot, immunohistochemistry - paraffin section

Western blot analysis of Glucose Transporter GLUT4 on different lysates with Rabbit anti-Glucose Transporter GLUT4 antibody (R1402-3) at 1/2,000 dilution. Lane 1: Mouse heart tissue lysate (no heat) Lane 2: Mouse skeletal muscle tissue lysate (no heat) Lane 3: Rat skeletal muscle tissue lysate (no heat) Lane 4: Rat kidney tissue lysate (low expression) (no heat) Notice: no heat means the lysate is not boiled. Lysates/proteins at 20 µg/Lane. Predicted band size: 55 kDa Observed band size: 50 kDa Exposure time: 1 minute; ECL: K1801; 4-20% SDS-PAGE gel. Proteins were transferred to a PVDF membrane and blocked with 5% NFDM/TBST for 1 hour at room temperature. The primary antibody (R1402-3) at 1/2,000 dilution was used in 5% NFDM/TBST at 4℃ overnight. Goat Anti-Rabbit IgG - HRP Secondary Antibody (HA1001) at 1/50,000 dilution was used for 1 hour at room temperature.

ICC staining GLUT4 in MCF-7 cells (green). Cells were fixed in paraformaldehyde, permeabilised with 0.25% Triton X100/PBS.

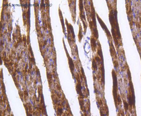
Immunohistochemical analysis of paraffin-embedded mouse heart tissue using anti-GLUT4 antibody. Counter stained with hematoxylin.
quantity: 100μl
price: 330 USD
to the supplier
