Sign in
Sign up
home
>
HUABIO
> HUABIO Glul antibody
Glutamine Synthetase
HUABIO
catalog: EM1902-39
mouse monoclonal (A3G2)
reactivity:
human
,
mouse
,
rat
application:
western blot
,
flow cytometry
,
immunohistochemistry - paraffin section
Western blot analysis of Glutamine Synthetase on different lysates with Mouse anti-Glutamine Synthetase antibody (EM1902-39) at 1/2,000 dilution. Lane 1: HeLa cell lysate Lane 2: MCF7 cell lysate Lane 3: HepG2 cell lysate Lane 4: K-562 cell lysate Lane 5: Jurkat cell lysate Lane 6: HEK-293 cell lysate Lane 7: SK-Br-3 cell lysate Lane 8: Human liver tissue lysate Lysates/proteins at 20 µg/Lane. Predicted band size: 42 kDa Observed band size: 42 kDa Exposure time: 30 seconds; 4-20% SDS-PAGE gel. Proteins were transferred to a PVDF membrane and blocked with 5% NFDM/TBST for 1 hour at room temperature. The primary antibody (EM1902-39) at 1/2,000 dilution was used in 5% NFDM/TBST at 4℃ overnight. Goat Anti-Mouse IgG - HRP Secondary Antibody (HA1006) at 1/50,000 dilution was used for 1 hour at room temperature.
Fluorescence multiplex immunohistochemical analysis of mouse liver (Formalin/PFA-fixed paraffin-embedded sections). Panel A: the merged image of anti-Desmin (ET1606-30, White), anti-HNF4α (HA721006, Red) and anti-GS (EM1902-39, Yellow) on liver. HRP Conjugated UltraPolymer Goat Polyclonal Antibody HA1119/HA1120 was used as a secondary antibody. The immunostaining was performed with the Sequential Immuno-staining Kit (IRISKit™MH010101, www.luminiris.cn). The section was incubated in three rounds of staining: in the order of ET1606-30 (1/800 dilution), HA721006 (1/5,000 dilution) and EM1902-39 (1/2,000 dilution) for 20 mins at room temperature. Each round was followed by a separate fluorescent tyramide signal amplification system. Heat mediated antigen retrieval with Tris-EDTA buffer (pH 9.0) for 30 mins at 95℃. DAPI (blue) was used as a nuclear counter stain. Image acquisition was performed with Zeiss Observer 7 Inverted Fluorescence Microscope.
Fluorescence multiplex immunohistochemical analysis of mouse liver (Formalin/PFA-fixed paraffin-embedded sections). Panel A: the merged image of anti-β-catenin (ET1601-5, Tangerine), anti-αSMA (ET1607-53, Yellow), anti-SOX9 (ET1611-56, Green), anti-Albumin (ET1702-55, Cyan) anti-GS (EM1902-39, Magenta) and anti-CK19 (ET1601-6, Orange) on liver. HRP Conjugated UltraPolymer Goat Polyclonal Antibody HA1119/HA1120 was used as a secondary antibody. The immunostaining was performed with the Sequential Immuno-staining Kit (IRISKit™MH010101, www.luminiris.cn). The section was incubated in six rounds of staining: in the order of ET1601-5 (1/2,000 dilution), ET1607-53 (1/3,000 dilution), ET1611-56 (1/1,500 dilution), ET1702-55 (1/3,000 dilution), EM1902-39 (1/2,000 dilution) and ET1601-6 (1/3,000 dilution) for 20 mins at room temperature. Each round was followed by a separate fluorescent tyramide signal amplification system. Heat mediated antigen retrieval with Tris-EDTA buffer (pH 9.0) for 30 mins at 95℃. DAPI (blue) was used as a nuclear counter stain. Image acquisition was performed with Olympus VS200 Slide Scanner.
quantity: 100μl
price: 360.00 USD
to the supplier
Glutamine Synthetase
HUABIO
catalog: HA601225
mouse monoclonal (A3G2-R)
reactivity:
human
,
mouse
,
rat
application:
western blot
,
immunohistochemistry - paraffin section
Western blot analysis of Glutamine Synthetase on different lysates with Mouse anti-Glutamine Synthetase antibody (HA601225) at 1/2,000 dilution. Lane 1: HeLa cell lysate Lane 2: MCF7 cell lysate Lane 3: HepG2 cell lysate Lane 4: K-562 cell lysate Lane 5: Jurkat cell lysate Lane 6: HEK-293 cell lysate Lane 7: SK-Br-3 cell lysate Lane 8: Human liver tissue lysate Lysates/proteins at 20 µg/Lane. Predicted band size: 42 kDa Observed band size: 42 kDa Exposure time: 50 seconds; 4-20% SDS-PAGE gel. Proteins were transferred to a PVDF membrane and blocked with 5% NFDM/TBST for 1 hour at room temperature. The primary antibody (HA601225) at 1/2,000 dilution was used in 5% NFDM/TBST at 4℃ overnight. Goat Anti-Mouse IgG - HRP Secondary Antibody (HA1006) at 1/50,000 dilution was used for 1 hour at room temperature.
Immunohistochemical analysis of paraffin-embedded human brain tissue with Mouse anti-Glutamine Synthetase antibody (HA601225) at 1/5,000 dilution. The section was pre-treated using heat mediated antigen retrieval with Tris-EDTA buffer (pH 9.0) for 20 minutes. The tissues were blocked in 1% BSA for 20 minutes at room temperature, washed with ddH2O and PBS, and then probed with the primary antibody (HA601225) at 1/5,000 dilution for 1 hour at room temperature. The detection was performed using an HRP conjugated compact polymer system. DAB was used as the chromogen. Tissues were counterstained with hematoxylin and mounted with DPX.
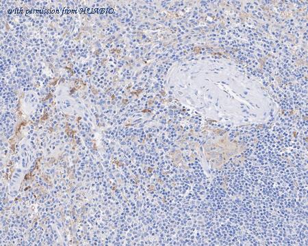
Immunohistochemical analysis of paraffin-embedded human spleen tissue with Mouse anti-Glutamine Synthetase antibody (HA601225) at 1/500 dilution. The section was pre-treated using heat mediated antigen retrieval with Tris-EDTA buffer (pH 9.0) for 20 minutes. The tissues were blocked in 1% BSA for 20 minutes at room temperature, washed with ddH2O and PBS, and then probed with the primary antibody (HA601225) at 1/500 dilution for 1 hour at room temperature. The detection was performed using an HRP conjugated compact polymer system. DAB was used as the chromogen. Tissues were counterstained with hematoxylin and mounted with DPX.
quantity: 100μl
price: 360.00 USD
to the supplier
Glutamine Synthetase
HUABIO
catalog: HA610100
mouse monoclonal (A3G2-R)
reactivity:
human
,
mouse
,
rat
application:
western blot
,
immunohistochemistry - paraffin section
Western blot analysis of Glutamine Synthetase on different lysates with Mouse anti-Glutamine Synthetase antibody (HA610100) at 1/2,000 dilution. Lane 1: HeLa cell lysate Lane 2: MCF7 cell lysate Lane 3: HepG2 cell lysate Lane 4: K-562 cell lysate Lane 5: Jurkat cell lysate Lane 6: HEK-293 cell lysate Lane 7: SK-Br-3 cell lysate Lane 8: Human liver tissue lysate Lysates/proteins at 20 µg/Lane. Predicted band size: 42 kDa Observed band size: 42 kDa Exposure time: 50 seconds; 4-20% SDS-PAGE gel. Proteins were transferred to a PVDF membrane and blocked with 5% NFDM/TBST for 1 hour at room temperature. The primary antibody (HA610100) at 1/2,000 dilution was used in 5% NFDM/TBST at 4℃ overnight. Goat Anti-Mouse IgG - HRP Secondary Antibody (HA1006) at 1/50,000 dilution was used for 1 hour at room temperature.
Immunohistochemical analysis of paraffin-embedded human brain tissue with Mouse anti-Glutamine Synthetase antibody (HA610100) at 1/5,000 dilution. The section was pre-treated using heat mediated antigen retrieval with Tris-EDTA buffer (pH 9.0) for 20 minutes. The tissues were blocked in 1% BSA for 20 minutes at room temperature, washed with ddH2O and PBS, and then probed with the primary antibody (HA610100) at 1/5,000 dilution for 1 hour at room temperature. The detection was performed using an HRP conjugated compact polymer system. DAB was used as the chromogen. Tissues were counterstained with hematoxylin and mounted with DPX.
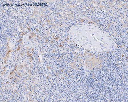
Immunohistochemical analysis of paraffin-embedded human spleen tissue with Mouse anti-Glutamine Synthetase antibody (HA610100) at 1/500 dilution. The section was pre-treated using heat mediated antigen retrieval with Tris-EDTA buffer (pH 9.0) for 20 minutes. The tissues were blocked in 1% BSA for 20 minutes at room temperature, washed with ddH2O and PBS, and then probed with the primary antibody (HA610100) at 1/500 dilution for 1 hour at room temperature. The detection was performed using an HRP conjugated compact polymer system. DAB was used as the chromogen. Tissues were counterstained with hematoxylin and mounted with DPX.
quantity: 100μg
price: 649.00 USD
to the supplier
Glutamine Synthetase
HUABIO
catalog: HA723212
domestic rabbit monoclonal (PSH10-48)
reactivity:
human
,
mouse
,
rat
application:
western blot
,
immunohistochemistry - frozen section
Application: IHC-Fr Species: Mouse Site: Cerebral cortex Sample: Frozen section Antibody concentration: 1:500 Antigen retrieval: Not required
Application: IHC-Fr Species: Rat Site: Cerebral cortex Sample: Frozen section Antibody concentration: 1:500 Antigen retrieval: Not required
Western blot analysis of Glutamine Synthetase on different lysates with Rabbit anti-Glutamine Synthetase antibody (HA723212) at 1/5,000 dilution. Lane 1: K-562 cell lysate Lane 2: HepG2 cell lysate Lane 3: Mouse brain tissue lysate Lane 4: Mouse liver tissue lysate Lane 5: Rat brain tissue lysate Lane 6: Rat liver tissue lysate Lysates/proteins at 20 µg/Lane. Predicted band size: 42 kDa Observed band size: 42 kDa Exposure time: 2 seconds; ECL: K1801; 4-20% SDS-PAGE gel. Proteins were transferred to a PVDF membrane and blocked with 5% NFDM/TBST for 1 hour at room temperature. The primary antibody (HA723212) at 1/5,000 dilution was used in primary antibody dilution at 4℃ overnight. Goat Anti-Rabbit IgG - HRP Secondary Antibody (HA1001) at 1/50,000 dilution was used for 1 hour at room temperature.
quantity: 100μl
price: 385.00 USD
to the supplier
Glutamine Synthetase
HUABIO
catalog: HA751351
domestic rabbit monoclonal (PSH10-48)
reactivity:
human
,
mouse
,
rat
application:
western blot
,
immunohistochemistry - frozen section
Application: IHC-Fr Species: Mouse Site: Cerebral cortex Sample: Frozen section Antibody concentration: 1:500 Antigen retrieval: Not required
Application: IHC-Fr Species: Rat Site: Cerebral cortex Sample: Frozen section Antibody concentration: 1:500 Antigen retrieval: Not required
Western blot analysis of Glutamine Synthetase on different lysates with Rabbit anti-Glutamine Synthetase antibody (HA751351) at 1/5,000 dilution. Lane 1: K-562 cell lysate Lane 2: HepG2 cell lysate Lane 3: Mouse brain tissue lysate Lane 4: Mouse liver tissue lysate Lane 5: Rat brain tissue lysate Lane 6: Rat liver tissue lysate Lysates/proteins at 20 µg/Lane. Predicted band size: 42 kDa Observed band size: 42 kDa Exposure time: 2 seconds; ECL: K1801; 4-20% SDS-PAGE gel. Proteins were transferred to a PVDF membrane and blocked with 5% NFDM/TBST for 1 hour at room temperature. The primary antibody (HA751351) at 1/5,000 dilution was used in primary antibody dilution at 4℃ overnight. Goat Anti-Rabbit IgG - HRP Secondary Antibody (HA1001) at 1/50,000 dilution was used for 1 hour at room temperature.
quantity: 100μl
price: 649.00 USD
to the supplier
Glutamine Synthetase
HUABIO
catalog: HA601428
domestic rabbit polyclonal (PSH10-48)
reactivity:
human
,
mouse
,
rat
application:
western blot
,
immunohistochemistry - frozen section
Application: IHC-Fr Species: Mouse Site: Cerebral cortex Sample: Frozen section Antibody concentration: 1:500 Antigen retrieval: Not required
Western blot analysis of Glutamine Synthetase on different lysates with Rat anti-Glutamine Synthetase antibody (HA601428) at 1/5,000 dilution. Lane 1: K-562 cell lysate Lane 2: HepG2 cell lysate Lane 3: Mouse brain tissue lysate Lane 4: Mouse liver tissue lysate Lane 5: Rat brain tissue lysate Lane 6: Rat liver tissue lysate Lysates/proteins at 20 µg/Lane. Predicted band size: 42 kDa Observed band size: 42 kDa Exposure time: 2 seconds; ECL: K1801; 4-20% SDS-PAGE gel. Proteins were transferred to a PVDF membrane and blocked with 5% NFDM/TBST for 1 hour at room temperature. The primary antibody (HA601428) at 1/5,000 dilution was used in primary antibody dilution (K1803) at 4℃ overnight. Goat Anti-Rat IgG H&L - HRP Secondary Antibody (HA1023) at 1/5,000 dilution was used for 1 hour at room temperature.
quantity: 100μl
price: 330 USD
to the supplier
Glutamine Synthetase
HUABIO
catalog: HA601516
domestic rabbit polyclonal (PSH10-48)
reactivity:
mouse
,
rat
application:
western blot
,
immunohistochemistry - frozen section
Application: IHC-Fr Species: Mouse Site: bran (P7) Sample: Frozen section Antibody concentration: 1/200 Antigen retrieval: Recommend. The section was pre-treated using 1% SDS buffer (in PBS, pH 7.4) for 5 minutes at room temperature.
Western blot analysis of Glutamine Synthetase on different lysates with Chicken anti-Glutamine Synthetase antibody (HA601516) at 1/5,000 dilution. Lane 1: Mouse brain tissue lysate (10 µg/Lane) Lane 2: Mouse liver tissue lysate (10 µg/Lane) Lane 3: Mouse kidney tissue lysate (10 µg/Lane) Lane 4: Rat brain tissue lysate (10 µg/Lane) Lane 5: Rat liver tissue lysate (10 µg/Lane) Predicted band size: 42 kDa Observed band size: 42 kDa Exposure time: 3 minutes; ECL: K1802; 4-20% SDS-PAGE gel. Proteins were transferred to a PVDF membrane and blocked with 5% NFDM/TBST for 1 hour at room temperature. The primary antibody (HA601516) at 1/5,000 dilution was used in primary antibody dilution (K1803) at 4℃ overnight. Rabbit Anti-Chicken IgY - HRP Secondary Antibody (HA1026) at 1/50,000 dilution was used for 1 hour at room temperature.
quantity: 100μl
price: 360.00 USD
to the supplier
Glutamine Synthetase
HUABIO
catalog: HA610268
domestic rabbit polyclonal (PSH10-48)
reactivity:
human
,
mouse
,
rat
application:
western blot
,
immunohistochemistry - frozen section
Application: IHC-Fr Species: Mouse Site: Cerebral cortex Sample: Frozen section Antibody concentration: 1:500 Antigen retrieval: Not required
Western blot analysis of Glutamine Synthetase on different lysates with Rat anti-Glutamine Synthetase antibody (HA610268) at 1/5,000 dilution. Lane 1: K-562 cell lysate Lane 2: HepG2 cell lysate Lane 3: Mouse brain tissue lysate Lane 4: Mouse liver tissue lysate Lane 5: Rat brain tissue lysate Lane 6: Rat liver tissue lysate Lysates/proteins at 20 µg/Lane. Predicted band size: 42 kDa Observed band size: 42 kDa Exposure time: 2 seconds; ECL: K1801; 4-20% SDS-PAGE gel. Proteins were transferred to a PVDF membrane and blocked with 5% NFDM/TBST for 1 hour at room temperature. The primary antibody (HA610268) at 1/5,000 dilution was used in primary antibody dilution (K1803) at 4℃ overnight. Goat Anti-Rat IgG H&L - HRP Secondary Antibody (HA1023) at 1/5,000 dilution was used for 1 hour at room temperature.
quantity: 100μg
price: 649.00 USD
to the supplier
Glutamine Synthetase
HUABIO
catalog: HA610346
domestic rabbit polyclonal (PSH10-48)
reactivity:
mouse
,
rat
application:
western blot
,
immunohistochemistry - frozen section
Application: IHC-Fr Species: Mouse Site: bran (P7) Sample: Frozen section Antibody concentration: 1/200 Antigen retrieval: Recommend. The section was pre-treated using 1% SDS buffer (in PBS, pH 7.4) for 5 minutes at room temperature.
Western blot analysis of Glutamine Synthetase on different lysates with Chicken anti-Glutamine Synthetase antibody (HA610346) at 1/5,000 dilution. Lane 1: Mouse brain tissue lysate (10 µg/Lane) Lane 2: Mouse liver tissue lysate (10 µg/Lane) Lane 3: Mouse kidney tissue lysate (10 µg/Lane) Lane 4: Rat brain tissue lysate (10 µg/Lane) Lane 5: Rat liver tissue lysate (10 µg/Lane) Predicted band size: 42 kDa Observed band size: 42 kDa Exposure time: 3 minutes; ECL: K1802; 4-20% SDS-PAGE gel. Proteins were transferred to a PVDF membrane and blocked with 5% NFDM/TBST for 1 hour at room temperature. The primary antibody (HA610346) at 1/5,000 dilution was used in primary antibody dilution (K1803) at 4℃ overnight. Rabbit Anti-Chicken IgY - HRP Secondary Antibody (HA1026) at 1/50,000 dilution was used for 1 hour at room temperature.
quantity: 100μl
price: 385.00 USD
to the supplier