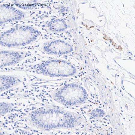
Peripherin
HUABIO
catalog: HA601405
domestic rabbit polyclonal (PSH10-70)
reactivity: human, mouse, rat
application: western blot, immunohistochemistry - paraffin section, immunohistochemistry - frozen section
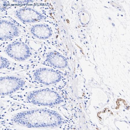
Peripherin
HUABIO
catalog: HA610245
domestic rabbit polyclonal (PSH10-70)
reactivity: human, mouse, rat
application: western blot, immunohistochemistry - paraffin section, immunohistochemistry - frozen section