Sign in
Sign up
home
>
HUABIO
> HUABIO Gfap antibody
GFAP
HUABIO
catalog: EM140707
mouse monoclonal (1-D4)
reactivity:
human
,
rat
application:
western blot
,
immunohistochemistry - paraffin section
,
immunohistochemistry - frozen section
Western blot analysis of GFAP on different lysates with Mouse anti-GFAP antibody (EM140707) at 1/5,000 dilution. Lane 1: Human brain tissue lysate Lane 2: Rat brain tissue lysate Lane 3: Human cerebellum tissue lysate Lane 4: Rat cerebellum tissue lysate Lysates/proteins at 20 µg/Lane. Predicted band size: 50 kDa Observed band size: 50 kDa Exposure time: 2 seconds; ECL: K1801; 4-20% SDS-PAGE gel. Proteins were transferred to a PVDF membrane and blocked with 5% NFDM/TBST for 1 hour at room temperature. The primary antibody (EM140707) at 1/5,000 dilution was used in 5% NFDM/TBST at 4℃ overnight. Goat Anti-Mouse IgG - HRP Secondary Antibody (HA1006) at 1:50,000 dilution was used for 1 hour at room temperature.
Application: IHC-Fr Species: Rat Site: Cerebral cortex Sample: Frozen section Antibody concentration: 1/1,000 Antigen retrieval: Not required
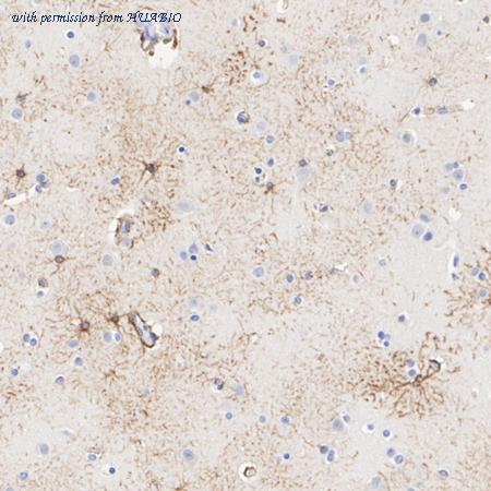
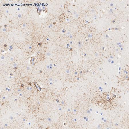
Immunohistochemical analysis of paraffin-embedded human brain tissue with Mouse anti-GFAP antibody (EM140707) at 1/1,000 dilution. The section was pre-treated using heat mediated antigen retrieval with Tris-EDTA buffer (pH 9.0) for 20 minutes. The tissues were blocked in 1% BSA for 20 minutes at room temperature, washed with ddH2O and PBS, and then probed with the primary antibody (EM140707) at 1/1,000 dilution for 1 hour at room temperature. The detection was performed using an HRP conjugated compact polymer system. DAB was used as the chromogen. Tissues were counterstained with hematoxylin and mounted with DPX.
quantity: 100μl
price: 360.00 USD
to the supplier
GFAP
HUABIO
catalog: ET1601-23
domestic rabbit monoclonal (SA03-04)
reactivity:
human
,
mouse
,
rat
application:
western blot
,
immunoprecipitation
,
immunohistochemistry - paraffin section
,
immunohistochemistry - frozen section
Application: IHC-Fr Species: Mouse Site: Cerebral cortex Sample: Frozen section (Fresh) Antibody concentration: 1/200 Antigen retrieval: Not required
Application: IHC-Fr Species: Rat Site: Cerebral cortex Sample: Frozen section Antibody concentration: 1/500 Antigen retrieval: Not required
Application: IF-tissue Species: Mouse Site: Cerebellum Sample: Paraffin-embedded section Antibody concentration: 1/500
quantity: 100μl
price: 385.00 USD
to the supplier
GFAP
HUABIO
catalog: HA600101F
mouse monoclonal (1-D4)
reactivity:
human
,
rat
application:
immunohistochemistry - frozen section
Immunofluorescence analysis of paraffin-embedded rat brain tissue labeling GFAP with Mouse anti-GFAP antibody (HA600101F) at 1/100 dilution. The section was pre-treated using heat mediated antigen retrieval with Tris-EDTA buffer (pH 9.0) for 20 minutes. The tissues were blocked in 10% negative goat serum for 1 hour at room temperature, washed with PBS, and then incubated overnight with GFAP-iFluor™ 488 (HA600101F, green) at 1/100 dilution overnight at +4℃ , washed with PBS. Nuclear DNA was labelled in blue with DAPI.
Application: IHC-Fr Species: Rat Site: brain Sample: Frozen section Antibody concentration: 1/200 Antigen retrieval: Not required
quantity: 100μl
price: 394.00 USD
to the supplier
GFAP
HUABIO
catalog: HA600102F
mouse monoclonal (1-D4)
reactivity:
human
,
rat
Immunofluorescence analysis of paraffin-embedded rat brain tissue labeling GFAP with Mouse anti-GFAP antibody (HA600102F) at 1/200 dilution. The section was pre-treated using heat mediated antigen retrieval with Tris-EDTA buffer (pH 9.0) for 20 minutes. The tissues were blocked in 10% negative goat serum for 1 hour at room temperature, washed with PBS, and then incubated overnight with GFAP-iFluor™ 594 (HA600102F, red) at 1/200 dilution overnight at +4℃ , washed with PBS. Nuclear DNA was labelled in blue with DAPI.
Immunofluorescence analysis of paraffin-embedded rat cerebellum tissue labeling GFAP with Mouse anti-GFAP antibody (HA600102F) at 1/200 dilution. The section was pre-treated using heat mediated antigen retrieval with Tris-EDTA buffer (pH 9.0) for 20 minutes. The tissues were blocked in 10% negative goat serum for 1 hour at room temperature, washed with PBS, and then incubated overnight with GFAP-iFluor™ 594 (HA600102F, red) at 1/200 dilution overnight at +4℃ , washed with PBS. Nuclear DNA was labelled in blue with DAPI.
quantity: 100μl
price: 394.00 USD
to the supplier
GFAP
HUABIO
catalog: HA600103F
mouse monoclonal (1-D4)
reactivity:
human
,
rat
Immunofluorescence analysis of paraffin-embedded rat brain tissue labeling GFAP with Mouse anti-GFAP antibody (HA600103F) at 1/100 dilution. The section was pre-treated using heat mediated antigen retrieval with Tris-EDTA buffer (pH 9.0) for 20 minutes. The tissues were blocked in 10% negative goat serum for 1 hour at room temperature, washed with PBS, and then incubated overnight with GFAP-iFluor™ 647 (HA600103F, red) at 1/100 dilution overnight at +4℃, washed with PBS. Nuclear DNA was labelled in blue with DAPI.
quantity: 100μl
price: 394.00 USD
to the supplier
GFAP
HUABIO
catalog: HA601342
mouse monoclonal (PSH05-17)
reactivity:
human
,
mouse
,
rat
application:
ELISA
Sandwich ELISA analysis of Human GFAP matched pair antibodies Elisa assay was performed by coating wells of a 96-well plate with 100 µl per well of capture antibody (HA722234) diluted in carbonate/bicarbonate buffer, at a concentration of 5 µg/ml overnight at 4℃. Wells of the plate were washed, blocked with 150 µl 0.05% tween-20 1%BSA blocking buffer, and incubated with serial diluted Recombinant human GFAP protein (HA210990) starting from 100000 pg/ml to 0 pg/ml and detect antibody (HA601342, Biotin, 0.2 µg/ml) for 1 hour at 30℃ with shaking. Then the plate was washed and incubated with 100 µl per well of SA-HRP for 0.5 hour at 30℃ with shaking. Detection was performed using an Ultra TMB Substrate for 10 minutes at room temperature in the dark. The reaction was stopped with sulfuric acid and absorbances were read on a spectrophotometer at 450 nm.
The concentrations of GFAP were interpolated from the GFAP standard curve and corrected for sample dilution. The mean GFAP concentration was determined to be 41.29 ng/ml in rat brain tissue extract. There was no detectable signal in 293T and NIH/3T3 cell extract.
quantity: 100μg
price: 649.00 USD
to the supplier
GFAP
HUABIO
catalog: HA601355B
mouse monoclonal (PSH05-17)
reactivity:
human
,
mouse
,
rat
conjugate: biotin
application:
ELISA
quantity: 100μl
price: 409.00 USD
to the supplier
GFAP
HUABIO
catalog: HA601380
mouse monoclonal (PSH10-24)
reactivity:
human
,
mouse
,
rat
application:
western blot
,
immunohistochemistry - paraffin section
,
immunohistochemistry - frozen section
Western blot analysis of GFAP on different lysates with Mouse anti-GFAP antibody (HA601380) at 1/2,000 dilution. Lane 1: HeLa cell lysate (negative) Lane 2: Human brain tissue lysate Lane 3: Mouse brain tissue lysate Lane 4: Rat brain tissue lysate Lane 5: Rat cerebellum tissue lysate Lysates/proteins at 20 µg/Lane. Predicted band size: 50 kDa Observed band size: 50 kDa Exposure time: 10 seconds; ECL: K1801; 4-20% SDS-PAGE gel. Proteins were transferred to a PVDF membrane and blocked with 5% NFDM/TBST for 1 hour at room temperature. The primary antibody (HA601380) at 1/2,000 dilution was used in 5% NFDM/TBST at 4℃ overnight. Goat Anti-Mouse IgG - HRP Secondary Antibody (HA1006) at 1/50,000 dilution was used for 1 hour at room temperature.
Application: IHC-Fr Species: Rat Site: Cerebral cortex Sample: Frozen section Antibody concentration: 1/500 Antigen retrieval: Not required
Immunohistochemical analysis of paraffin-embedded human brain tissue with Mouse anti-GFAP antibody (HA601380) at 1/1,000 dilution. The section was pre-treated using heat mediated antigen retrieval with Tris-EDTA buffer (pH 9.0) for 20 minutes. The tissues were blocked in 1% BSA for 20 minutes at room temperature, washed with ddH2O and PBS, and then probed with the primary antibody (HA601380) at 1/1,000 dilution for 1 hour at room temperature. The detection was performed using an HRP conjugated compact polymer system. DAB was used as the chromogen. Tissues were counterstained with hematoxylin and mounted with DPX.
quantity: 100μl
price: 360.00 USD
to the supplier
GFAP
HUABIO
catalog: HA610225
mouse monoclonal (PSH10-24)
reactivity:
human
,
mouse
,
rat
application:
western blot
,
immunohistochemistry - paraffin section
,
immunohistochemistry - frozen section
Western blot analysis of GFAP on different lysates with Mouse anti-GFAP antibody (HA610225) at 1/2,000 dilution. Lane 1: HeLa cell lysate (negative) Lane 2: Human brain tissue lysate Lane 3: Mouse brain tissue lysate Lane 4: Rat brain tissue lysate Lane 5: Rat cerebellum tissue lysate Lysates/proteins at 20 µg/Lane. Predicted band size: 50 kDa Observed band size: 50 kDa Exposure time: 10 seconds; ECL: K1801; 4-20% SDS-PAGE gel. Proteins were transferred to a PVDF membrane and blocked with 5% NFDM/TBST for 1 hour at room temperature. The primary antibody (HA610225) at 1/2,000 dilution was used in 5% NFDM/TBST at 4℃ overnight. Goat Anti-Mouse IgG - HRP Secondary Antibody (HA1006) at 1/50,000 dilution was used for 1 hour at room temperature.
Immunofluorescence analysis of frozen rat brain tissue with Mouse anti-GFAP antibody (HA610225) at 1/500 dilution. The section was not undergone antigen retrieval. The tissues were blocked in 10% negative goat serum for 1 hour at room temperature, washed with PBS, and then probed with the primary antibody (HA610225, green) at 1/500 dilution overnight at 4 ℃, washed with PBS. Goat Anti-Mouse IgG H&L (iFluor™ 488, HA1125) was used as the secondary antibody at 1/1,000 dilution. Nuclei were counterstained with DAPI (blue).
Immunohistochemical analysis of paraffin-embedded human brain tissue with Mouse anti-GFAP antibody (HA610225) at 1/1,000 dilution. The section was pre-treated using heat mediated antigen retrieval with Tris-EDTA buffer (pH 9.0) for 20 minutes. The tissues were blocked in 1% BSA for 20 minutes at room temperature, washed with ddH2O and PBS, and then probed with the primary antibody (HA610225) at 1/1,000 dilution for 1 hour at room temperature. The detection was performed using an HRP conjugated compact polymer system. DAB was used as the chromogen. Tissues were counterstained with hematoxylin and mounted with DPX.
quantity: 100μg
price: 649.00 USD
to the supplier
GFAP
HUABIO
catalog: HA722234
domestic rabbit monoclonal (PSH05-16)
reactivity:
human
,
mouse
,
rat
application:
ELISA
Sandwich ELISA analysis of Human GFAP matched pair antibodies Elisa assay was performed by coating wells of a 96-well plate with 100 µl per well of capture antibody (HA722234) diluted in carbonate/bicarbonate buffer, at a concentration of 5 µg/ml overnight at 4℃. Wells of the plate were washed, blocked with 150 µl 0.05% tween-20 1%BSA blocking buffer, and incubated with serial diluted Recombinant human GFAP protein (HA210990) starting from 100000 pg/ml to 0 pg/ml and detect antibody (HA601342, Biotin, 0.2 µg/ml) for 1 hour at 30℃ with shaking. Then the plate was washed and incubated with 100 µl per well of SA-HRP for 0.5 hour at 30℃ with shaking. Detection was performed using an Ultra TMB Substrate for 10 minutes at room temperature in the dark. The reaction was stopped with sulfuric acid and absorbances were read on a spectrophotometer at 450 nm.
The concentrations of GFAP were interpolated from the GFAP standard curve and corrected for sample dilution. The mean GFAP concentration was determined to be 41.29 ng/ml in rat brain tissue extract. There was no detectable signal in 293T and NIH/3T3 cell extract.
quantity: 100μl
price: 649.00 USD
to the supplier
GFAP
HUABIO
catalog: R1308-10
domestic rabbit polyclonal
reactivity:
human
,
mouse
,
rat
application:
western blot
,
immunohistochemistry - paraffin section
Western blot analysis on rat and mouse brain tissue lysates using anti-GFAP rabbit polyclonal antibodies.
Immunofluorescent staining of A172 cells using anti- GFAP rabbit polyclonal antibody.
Immunohistochemical analysis of paraffin-embedded human brain tissue using anti-GFAP rabbit polyclonal antibody.
quantity: 100μl
price: 330 USD
to the supplier
GFAP
HUABIO
catalog: R1308-9
domestic rabbit polyclonal
reactivity:
human
,
mouse
,
rat
application:
western blot
,
flow cytometry
,
immunohistochemistry - paraffin section
Western blot analysis on human brain tissue lysates using anti-GFAP rabbit polyclonal antibodies.
Western blot analysis of GFAP on mouse brain tissue lysates with Rabbit anti-GFAP antibody (R1308-9) at 1/500 dilution. Lysates/proteins at 20 µg/Lane. Predicted band size: 50 kDa Observed band size: 50 kDa Exposure time: 1 minute; 10% SDS-PAGE gel. Proteins were transferred to a PVDF membrane and blocked with 5% NFDM/TBST for 1 hour at room temperature. The primary antibody (R1308-9) at 1/500 dilution was used in 5% NFDM/TBST at room temperature for 2 hours. Goat Anti-Rabbit IgG - HRP Secondary Antibody (HA1001) at 1:200,000 dilution was used for 1 hour at room temperature.
Immunofluorescent staining of A172 cells using anti- GFAP rabbit polyclonal antibody.
quantity: 100μl
price: 330 USD
to the supplier
GFAP
HUABIO
catalog: HA601483
domestic rabbit polyclonal (SA03-04)
reactivity:
mouse
,
rat
application:
western blot
,
immunohistochemistry - frozen section
Application: IHC-Fr Species: Rat Site: cerebellum Sample: Frozen section Antibody concentration: 1/1,000 (GFAP, HA601483, Rat, red); 1/500 (GAD65, HA722750, Rabbit, green) Antigen retrieval: Not required
Western blot analysis of GFAP on different lysates with Rat anti-GFAP antibody (HA601483) at 1/2,000 dilution. Lane 1: Mouse brain tissue lysate Lane 2: Rat brain tissue lysate Lane 3: Mouse liver tissue lysate (negative) Lysates/proteins at 20 µg/Lane. Predicted band size: 50 kDa Observed band size: 50 kDa Exposure time: 1 minute; ECL: K1801; 4-20% SDS-PAGE gel. Proteins were transferred to a PVDF membrane and blocked with 5% NFDM/TBST for 1 hour at room temperature. The primary antibody (HA601483) at 1/2,000 dilution was used in primary antibody dilution (K1803) at 4℃ overnight. Goat Anti-Rat IgG H&L - HRP Secondary Antibody (HA1023) at 1/50,000 dilution was used for 1 hour at room temperature.
quantity: 100μl
price: 360.00 USD
to the supplier
GFAP
HUABIO
catalog: HA610317
domestic rabbit polyclonal (SA03-04)
reactivity:
mouse
,
rat
application:
western blot
,
immunohistochemistry - frozen section
Application: IHC-Fr Species: Rat Site: cerebellum Sample: Frozen section Antibody concentration: 1/1,000 (GFAP, HA610317, Rat, red); 1/500 (GAD65, HA722750, Rabbit, green) Antigen retrieval: Not required
Western blot analysis of GFAP on different lysates with Rat anti-GFAP antibody (HA610317) at 1/2,000 dilution. Lane 1: Mouse brain tissue lysate Lane 2: Rat brain tissue lysate Lane 3: Mouse liver tissue lysate (negative) Lysates/proteins at 20 µg/Lane. Predicted band size: 50 kDa Observed band size: 50 kDa Exposure time: 1 minute; ECL: K1801; 4-20% SDS-PAGE gel. Proteins were transferred to a PVDF membrane and blocked with 5% NFDM/TBST for 1 hour at room temperature. The primary antibody (HA610317) at 1/2,000 dilution was used in primary antibody dilution (K1803) at 4℃ overnight. Goat Anti-Rat IgG H&L - HRP Secondary Antibody (HA1023) at 1/50,000 dilution was used for 1 hour at room temperature.
quantity: 100μg
price: 649.00 USD
to the supplier