domestic rabbit polyclonal
reactivity: human, mouse, rat
application: western blot, immunohistochemistry - paraffin section
reactivity: human, mouse, rat
application: western blot, immunohistochemistry - paraffin section

Western blot analysis of Caveolin-1 on different lysates using anti-Caveolin-1 antibody at 1/500 dilution. Positive control: Lane 1: F9 cell lysate Lane 2: A549 cell lysate Lane 3: Mouse lung tissue lysate Lane 4: Mouse liver tissue lysate Lane 5: Human lung tissue lysate Lane 6: Hela cell lysate

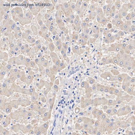
Immunohistochemical analysis of paraffin-embedded human liver tissue with Rabbit anti-Catalase antibody (ER40125) at 1/200 dilution. The section was pre-treated using heat mediated antigen retrieval with Tris-EDTA buffer (pH 9.0) for 20 minutes. The tissues were blocked in 1% BSA for 20 minutes at room temperature, washed with ddH2O and PBS, and then probed with the primary antibody (ER40125) at 1/200 dilution for 1 hour at room temperature. The detection was performed using an HRP conjugated compact polymer system. DAB was used as the chromogen. Tissues were counterstained with hematoxylin and mounted with DPX.

Immunohistochemical analysis of paraffin-embedded rat lung tissue using anti-catalase antibody. Counter stained with hematoxylin.
quantity: 100μl
price: 330 USD
to the supplier
domestic rabbit monoclonal (JM11-12)
reactivity: human, mouse, rat, zebrafish
application: western blot, immunohistochemistry - paraffin section
reactivity: human, mouse, rat, zebrafish
application: western blot, immunohistochemistry - paraffin section

Western blot analysis of Catalase on different lysates with Rabbit anti-Catalase antibody (ET1703-31) at 1/1,000 dilution. Lane 1: 293T-si NT cell lysate Lane 2: 293T-si Catalase cell lysate Lysates/proteins at 20 µg/Lane. Predicted band size: 60 kDa Observed band size: 60 kDa Exposure time: 20 seconds; ECL: K1801; 4-20% SDS-PAGE gel. Proteins were transferred to a PVDF membrane and blocked with 5% NFDM/TBST for 1 hour at room temperature. The primary antibody (ET1703-31) at 1/1,000 dilution was used in 5% NFDM/TBST at 4℃ overnight. Goat Anti-Rabbit IgG - HRP Secondary Antibody (HA1001) at 1/50,000 dilution was used for 1 hour at room temperature.

Western blot analysis of Catalase on different lysates. Proteins were transferred to a PVDF membrane and blocked with 5% BSA in PBS for 1 hour at room temperature. The primary antibody (ET1703-31, 1/500) was used in 5% BSA at room temperature for 2 hours. Goat Anti-Rabbit IgG - HRP Secondary Antibody (HA1001) at 1:200,000 dilution was used for 1 hour at room temperature. Positive control: Lane 1: Hela cell lysate Lane 2: HepG2 cell lysate

Immunohistochemical analysis of paraffin-embedded mouse liver tissue with Rabbit anti-Catalase antibody (ET1703-31) at 1/1,000 dilution. The section was pre-treated using heat mediated antigen retrieval with Tris-EDTA buffer (pH 9.0) for 20 minutes. The tissues were blocked in 1% BSA for 20 minutes at room temperature, washed with ddH2O and PBS, and then probed with the primary antibody (ET1703-31) at 1/1,000 dilution for 1 hour at room temperature. The detection was performed using an HRP conjugated compact polymer system. DAB was used as the chromogen. Tissues were counterstained with hematoxylin and mounted with DPX.
quantity: 100μl
price: 385.00 USD
to the supplier
domestic rabbit monoclonal (JM11-12)
reactivity: human, mouse, rat, zebrafish
application: western blot, immunohistochemistry - paraffin section
reactivity: human, mouse, rat, zebrafish
application: western blot, immunohistochemistry - paraffin section

Western blot analysis of Catalase on different lysates with Rabbit anti-Catalase antibody (HA750377) at 1/1,000 dilution. Lane 1: 293T-si NT cell lysate Lane 2: 293T-si Catalase cell lysate Lysates/proteins at 20 µg/Lane. Predicted band size: 60 kDa Observed band size: 60 kDa Exposure time: 20 seconds; ECL: K1801; 4-20% SDS-PAGE gel. Proteins were transferred to a PVDF membrane and blocked with 5% NFDM/TBST for 1 hour at room temperature. The primary antibody (HA750377) at 1/1,000 dilution was used in 5% NFDM/TBST at 4℃ overnight. Goat Anti-Rabbit IgG - HRP Secondary Antibody (HA1001) at 1/50,000 dilution was used for 1 hour at room temperature.

Western blot analysis of Catalase on different lysates. Proteins were transferred to a PVDF membrane and blocked with 5% BSA in PBS for 1 hour at room temperature. The primary antibody (HA750377, 1/500) was used in 5% BSA at room temperature for 2 hours. Goat Anti-Rabbit IgG - HRP Secondary Antibody (HA1001) at 1:200,000 dilution was used for 1 hour at room temperature. Positive control: Lane 1: Hela cell lysate Lane 2: HepG2 cell lysate

Immunohistochemical analysis of paraffin-embedded mouse liver tissue with Rabbit anti-Catalase antibody (HA750377) at 1/1,000 dilution. The section was pre-treated using heat mediated antigen retrieval with Tris-EDTA buffer (pH 9.0) for 20 minutes. The tissues were blocked in 1% BSA for 20 minutes at room temperature, washed with ddH2O and PBS, and then probed with the primary antibody (HA750377) at 1/1,000 dilution for 1 hour at room temperature. The detection was performed using an HRP conjugated compact polymer system. DAB was used as the chromogen. Tissues were counterstained with hematoxylin and mounted with DPX.
quantity: 100μl
price: 649.00 USD
to the supplier
mouse monoclonal (4-G10)
reactivity: human, mouse, rat
application: western blot, flow cytometry, immunohistochemistry - paraffin section
reactivity: human, mouse, rat
application: western blot, flow cytometry, immunohistochemistry - paraffin section

Western blot analysis on mouse liver lysates using anti-catalse mouse mAb.

ICC staining catalse in HepG2 cells (red). Cells were fixed in paraformaldehyde, permeabilised with 0.25% Triton X100/PBS.

Immunohistochemical analysis of paraffin-embedded human liver tissue with Mouse anti-Catalase antibody (M1501-6) at 1/400 dilution. The section was pre-treated using heat mediated antigen retrieval with Tris-EDTA buffer (pH 9.0) for 20 minutes. The tissues were blocked in 1% BSA for 20 minutes at room temperature, washed with ddH2O and PBS, and then probed with the primary antibody (M1501-6) at 1/400 dilution for 1 hour at room temperature. The detection was performed using an HRP conjugated compact polymer system. DAB was used as the chromogen. Tissues were counterstained with hematoxylin and mounted with DPX.
quantity: 100μl
price: 360.00 USD
to the supplier
