domestic rabbit polyclonal
reactivity: human, mouse, rat
application: western blot, immunohistochemistry - paraffin section
reactivity: human, mouse, rat
application: western blot, immunohistochemistry - paraffin section

Western blot analysis of PACT (PKR activating protein) / PRKRA on different lysates with Rabbit anti-PACT (PKR activating protein) / PRKRA antibody (ER62454) at 1/2,000 dilution. Lane 1: HeLa cell lysate (20 µg/Lane) Lane 2: MCF7 cell lysate (20 µg/Lane) Lane 3: C2C12 cell lysate (20 µg/Lane) Lane 4: PC-12 cell lysate (20 µg/Lane) Lane 5: Mouse testis tissue lysate (40 µg/Lane) Lane 6: Rat testis tissue lysate (40 µg/Lane) Predicted band size: 34 kDa Observed band size: 34 kDa Exposure time: 4 seconds; ECL: K1801; 4-20% SDS-PAGE gel. Proteins were transferred to a PVDF membrane and blocked with 5% NFDM/TBST for 1 hour at room temperature. The primary antibody (ER62454) at 1/2,000 dilution was used in 5% NFDM/TBST at 4℃ overnight. Goat Anti-Rabbit IgG - HRP Secondary Antibody (HA1001) at 1/50,000 dilution was used for 1 hour at room temperature.

Immunohistochemical analysis of paraffin-embedded human brain tissue with Rabbit anti-PACT (PKR activating protein) / PRKRA antibody (ER62454) at 1/1,000 dilution. The section was pre-treated using heat mediated antigen retrieval with Tris-EDTA buffer (pH 9.0) for 20 minutes. The tissues were blocked in 1% BSA for 20 minutes at room temperature, washed with ddH2O and PBS, and then probed with the primary antibody (ER62454) at 1/1,000 dilution for 1 hour at room temperature. The detection was performed using an HRP conjugated compact polymer system. DAB was used as the chromogen. Tissues were counterstained with hematoxylin and mounted with DPX.

Immunohistochemical analysis of paraffin-embedded mouse testis tissue with Rabbit anti-PACT (PKR activating protein) / PRKRA antibody (ER62454) at 1/5,000 dilution. The section was pre-treated using heat mediated antigen retrieval with Tris-EDTA buffer (pH 9.0) for 20 minutes. The tissues were blocked in 1% BSA for 20 minutes at room temperature, washed with ddH2O and PBS, and then probed with the primary antibody (ER62454) at 1/5,000 dilution for 1 hour at room temperature. The detection was performed using an HRP conjugated compact polymer system. DAB was used as the chromogen. Tissues were counterstained with hematoxylin and mounted with DPX.
quantity: 100μl
price: 330 USD
to the supplier
domestic rabbit monoclonal (PSH02-14)
reactivity: human, mouse, rat
application: western blot, flow cytometry, immunohistochemistry - paraffin section
reactivity: human, mouse, rat
application: western blot, flow cytometry, immunohistochemistry - paraffin section

Western blot analysis of PACT (PKR activating protein) / PRKRA on different lysates with Rabbit anti-PACT (PKR activating protein) / PRKRA antibody (HA721773) at 1/2,000 dilution and competitor's antibody at 1/1,000 dilution. Lane 1: K-562 cell lysate Lane 2: HeLa cell lysate Lane 3: MCF7 cell lysate Lane 4: C2C12 cell lysate Lane 5: PC-12 cell lysate Lane 6: Mouse testis tissue lysate Lane 7: Rat testis tissue lysate Lysates/proteins at 20 µg/Lane. Predicted band size: 34 kDa Observed band size: 34 kDa Exposure time: 30 seconds; ECL: K1801; 4-20% SDS-PAGE gel. Proteins were transferred to a PVDF membrane and blocked with 5% NFDM/TBST for 1 hour at room temperature. The primary antibody (HA721773) at 1/2,000 dilution and competitor's antibody at 1/1,000 dilution were used in 5% NFDM/TBST at 4℃ overnight. Goat Anti-Rabbit IgG - HRP Secondary Antibody (HA1001) at 1/50,000 dilution was used for 1 hour at room temperature.

Immunohistochemical analysis of paraffin-embedded human testis tissue with Rabbit anti-PACT (PKR activating protein) / PRKRA antibody (HA721773) at 1/1,000 dilution. The section was pre-treated using heat mediated antigen retrieval with Tris-EDTA buffer (pH 9.0) for 20 minutes. The tissues were blocked in 1% BSA for 20 minutes at room temperature, washed with ddH2O and PBS, and then probed with the primary antibody (HA721773) at 1/1,000 dilution for 1 hour at room temperature. The detection was performed using an HRP conjugated compact polymer system. DAB was used as the chromogen. Tissues were counterstained with hematoxylin and mounted with DPX.

Western blot analysis of PACT (PKR activating protein) / PRKRA on different lysates with Rabbit anti-PACT (PKR activating protein) / PRKRA antibody (HA721773) at 1/2,000 dilution. Lane 1: HeLa-si NT cell lysate Lane 2: HeLa-si PRKRA cell lysate Lysates/proteins at 10 µg/Lane. Predicted band size: 34 kDa Observed band size: 34 kDa Exposure time: 16 seconds; ECL: K1801; 4-20% SDS-PAGE gel. Proteins were transferred to a PVDF membrane and blocked with 5% NFDM/TBST for 1 hour at room temperature. The primary antibody (HA721773) at 1/2,000 dilution was used in 5% NFDM/TBST at 4℃ overnight. Goat Anti-Rabbit IgG - HRP Secondary Antibody (HA1001) at 1/100,000 dilution was used for 1 hour at room temperature.
quantity: 100μl
price: 385.00 USD
to the supplier
domestic rabbit monoclonal (PSH02-15)
reactivity: human, mouse, rat
application: western blot, flow cytometry, immunohistochemistry - paraffin section
reactivity: human, mouse, rat
application: western blot, flow cytometry, immunohistochemistry - paraffin section

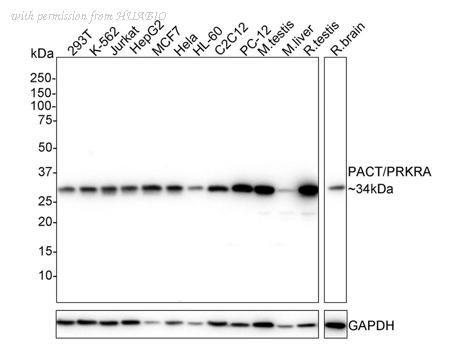
Western blot analysis of PACT (PKR activating protein) / PRKRA on different lysates with Rabbit anti-PACT (PKR activating protein) / PRKRA antibody (HA721774) at 1/1,000 dilution. Lane 1: 293T cell lysate Lane 2: K-562 cell lysate Lane 3: Jurkat cell lysate Lane 4: HepG2 cell lysate Lane 5: MCF7 cell lysate Lane 6: Hela cell lysate Lane 7: HL-60 cell lysate Lane 8: C2C12 cell lysate Lane 9: PC-12 cell lysate Lane 10: Mouse testis tissue lysate Lane 11: Mouse liver tissue lysate Lane 12: Rat testis tissue lysate Lane 13: Rat brain tissue lysate Cell lysates: 20ug/lane, tissue lysates: 40ug/lane Predicted band size: 34 kDa Observed band size: 34 kDa Exposure time: 1 minutes 2 seconds; 4-20% SDS-PAGE gel. Proteins were transferred to a PVDF membrane and blocked with 5% NFDM/TBST for 1 hour at room temperature. The primary antibody (HA721774) at 1/1,000 dilution was used in 5% NFDM/TBST at 4℃ overnight. Goat Anti-Rabbit IgG - HRP Secondary Antibody (HA1001) at 1/50,000 dilution was used for 1 hour at room temperature.

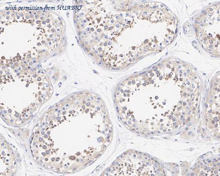
Immunohistochemical analysis of paraffin-embedded human testis tissue with Rabbit anti-PACT (PKR activating protein) / PRKRA antibody (HA721774) at 1/1,000 dilution. The section was pre-treated using heat mediated antigen retrieval with Tris-EDTA buffer (pH 9.0) for 20 minutes. The tissues were blocked in 1% BSA for 20 minutes at room temperature, washed with ddH2O and PBS, and then probed with the primary antibody (HA721774) at 1/1,000 dilution for 1 hour at room temperature. The detection was performed using an HRP conjugated compact polymer system. DAB was used as the chromogen. Tissues were counterstained with hematoxylin and mounted with DPX.

Immunohistochemical analysis of paraffin-embedded rat brain tissue with Rabbit anti-PACT (PKR activating protein) / PRKRA antibody (HA721774) at 1/5,000 dilution. The section was pre-treated using heat mediated antigen retrieval with Tris-EDTA buffer (pH 9.0) for 20 minutes. The tissues were blocked in 1% BSA for 20 minutes at room temperature, washed with ddH2O and PBS, and then probed with the primary antibody (HA721774) at 1/5,000 dilution for 1 hour at room temperature. The detection was performed using an HRP conjugated compact polymer system. DAB was used as the chromogen. Tissues were counterstained with hematoxylin and mounted with DPX.
quantity: 100μl
price: 385.00 USD
to the supplier
domestic rabbit monoclonal (PSH02-14)
reactivity: human, mouse, rat
application: western blot, flow cytometry, immunohistochemistry - paraffin section
reactivity: human, mouse, rat
application: western blot, flow cytometry, immunohistochemistry - paraffin section

Western blot analysis of PACT (PKR activating protein) / PRKRA on different lysates with Rabbit anti-PACT (PKR activating protein) / PRKRA antibody (HA750784) at 1/2,000 dilution and competitor's antibody at 1/1,000 dilution. Lane 1: K-562 cell lysate Lane 2: HeLa cell lysate Lane 3: MCF7 cell lysate Lane 4: C2C12 cell lysate Lane 5: PC-12 cell lysate Lane 6: Mouse testis tissue lysate Lane 7: Rat testis tissue lysate Lysates/proteins at 20 µg/Lane. Predicted band size: 34 kDa Observed band size: 34 kDa Exposure time: 30 seconds; ECL: K1801; 4-20% SDS-PAGE gel. Proteins were transferred to a PVDF membrane and blocked with 5% NFDM/TBST for 1 hour at room temperature. The primary antibody (HA750784) at 1/2,000 dilution and competitor's antibody at 1/1,000 dilution were used in 5% NFDM/TBST at 4℃ overnight. Goat Anti-Rabbit IgG - HRP Secondary Antibody (HA1001) at 1/50,000 dilution was used for 1 hour at room temperature.

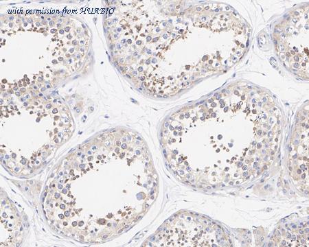
Immunohistochemical analysis of paraffin-embedded human testis tissue with Rabbit anti-PACT (PKR activating protein) / PRKRA antibody (HA750784) at 1/1,000 dilution. The section was pre-treated using heat mediated antigen retrieval with Tris-EDTA buffer (pH 9.0) for 20 minutes. The tissues were blocked in 1% BSA for 20 minutes at room temperature, washed with ddH2O and PBS, and then probed with the primary antibody (HA750784) at 1/1,000 dilution for 1 hour at room temperature. The detection was performed using an HRP conjugated compact polymer system. DAB was used as the chromogen. Tissues were counterstained with hematoxylin and mounted with DPX.

Western blot analysis of PACT (PKR activating protein) / PRKRA on different lysates with Rabbit anti-PACT (PKR activating protein) / PRKRA antibody (HA750784) at 1/2,000 dilution. Lane 1: HeLa-si NT cell lysate Lane 2: HeLa-si PRKRA cell lysate Lysates/proteins at 10 µg/Lane. Predicted band size: 34 kDa Observed band size: 34 kDa Exposure time: 16 seconds; ECL: K1801; 4-20% SDS-PAGE gel. Proteins were transferred to a PVDF membrane and blocked with 5% NFDM/TBST for 1 hour at room temperature. The primary antibody (HA750784) at 1/2,000 dilution was used in 5% NFDM/TBST at 4℃ overnight. Goat Anti-Rabbit IgG - HRP Secondary Antibody (HA1001) at 1/100,000 dilution was used for 1 hour at room temperature.
quantity: 100μl
price: 649.00 USD
to the supplier
domestic rabbit monoclonal (PSH02-15)
reactivity: human, mouse, rat
application: western blot, flow cytometry, immunohistochemistry - paraffin section
reactivity: human, mouse, rat
application: western blot, flow cytometry, immunohistochemistry - paraffin section

Western blot analysis of PACT (PKR activating protein) / PRKRA on different lysates with Rabbit anti-PACT (PKR activating protein) / PRKRA antibody (HA750785) at 1/1,000 dilution. Lane 1: 293T cell lysate Lane 2: K-562 cell lysate Lane 3: Jurkat cell lysate Lane 4: HepG2 cell lysate Lane 5: MCF7 cell lysate Lane 6: Hela cell lysate Lane 7: HL-60 cell lysate Lane 8: C2C12 cell lysate Lane 9: PC-12 cell lysate Lane 10: Mouse testis tissue lysate Lane 11: Mouse liver tissue lysate Lane 12: Rat testis tissue lysate Lane 13: Rat brain tissue lysate Cell lysates: 20ug/lane, tissue lysates: 40ug/lane Predicted band size: 34 kDa Observed band size: 34 kDa Exposure time: 1 minutes 2 seconds; 4-20% SDS-PAGE gel. Proteins were transferred to a PVDF membrane and blocked with 5% NFDM/TBST for 1 hour at room temperature. The primary antibody (HA750785) at 1/1,000 dilution was used in 5% NFDM/TBST at 4℃ overnight. Goat Anti-Rabbit IgG - HRP Secondary Antibody (HA1001) at 1/50,000 dilution was used for 1 hour at room temperature.

Immunohistochemical analysis of paraffin-embedded human testis tissue with Rabbit anti-PACT (PKR activating protein) / PRKRA antibody (HA750785) at 1/1,000 dilution. The section was pre-treated using heat mediated antigen retrieval with Tris-EDTA buffer (pH 9.0) for 20 minutes. The tissues were blocked in 1% BSA for 20 minutes at room temperature, washed with ddH2O and PBS, and then probed with the primary antibody (HA750785) at 1/1,000 dilution for 1 hour at room temperature. The detection was performed using an HRP conjugated compact polymer system. DAB was used as the chromogen. Tissues were counterstained with hematoxylin and mounted with DPX.

Immunohistochemical analysis of paraffin-embedded rat brain tissue with Rabbit anti-PACT (PKR activating protein) / PRKRA antibody (HA750785) at 1/5,000 dilution. The section was pre-treated using heat mediated antigen retrieval with Tris-EDTA buffer (pH 9.0) for 20 minutes. The tissues were blocked in 1% BSA for 20 minutes at room temperature, washed with ddH2O and PBS, and then probed with the primary antibody (HA750785) at 1/5,000 dilution for 1 hour at room temperature. The detection was performed using an HRP conjugated compact polymer system. DAB was used as the chromogen. Tissues were counterstained with hematoxylin and mounted with DPX.
quantity: 100μl
price: 649.00 USD
to the supplier
