Sign in
Sign up
home
>
HUABIO
> HUABIO SLC7A11 antibody
xCT/SLC7A11
HUABIO
catalog: HA600097
mouse monoclonal (A7C5)
reactivity:
human
,
mouse
application:
western blot
,
flow cytometry
,
immunohistochemistry - paraffin section
Western blot analysis of xCT/SLC7A11 on different lysates with Mouse anti-xCT/SLC7A11 antibody (HA600097) at 1/2,000 dilution. Lane 1: HCT 116 cell lysate (20 µg/Lane) Lane 2: A549 cell lysate (20 µg/Lane) Lane 3: HT-29 cell lysate (20 µg/Lane) Lane 4: MDA-MB-231 cell lysate (20 µg/Lane) Lane 5: MDA-MB-468 cell lysate (20 µg/Lane) Predicted band size: 55 kDa Observed band size: 55 kDa Exposure time: 2 seconds; ECL: K1801; 4-20% SDS-PAGE gel. Proteins were transferred to a PVDF membrane and blocked with 5% NFDM/TBST for 1 hour at room temperature. The primary antibody (HA600097) at 1/2,000 dilution was used in 5% NFDM/TBST at 4℃ overnight. Goat Anti-Mouse IgG - HRP Secondary Antibody (HA1006) at 1/50,000 dilution was used for 1 hour at room temperature.
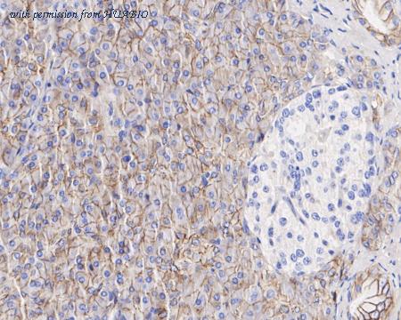
Immunohistochemical analysis of paraffin-embedded human pancreas tissue with Mouse anti-xCT/SLC7A11 antibody (HA600097) at 1/200 dilution. The section was pre-treated using heat mediated antigen retrieval with Tris-EDTA buffer (pH 9.0) for 20 minutes. The tissues were blocked in 1% BSA for 20 minutes at room temperature, washed with ddH2O and PBS, and then probed with the primary antibody (HA600097) at 1/200 dilution for 1 hour at room temperature. The detection was performed using an HRP conjugated compact polymer system. DAB was used as the chromogen. Tissues were counterstained with hematoxylin and mounted with DPX.
Flow cytometric analysis of A549 cells labeling xCT/SLC7A11. Cells were washed twice with cold PBS and resuspend. Then stained with the primary antibody (HA600097, 10ug/ml) (red) compared with Mouse IgG1 Isotype Control (green). After incubation of the primary antibody at +4℃ for 30 minutes, the cells were stained with a iFluor™ 488 conjugate-Goat anti-Mouse IgG Secondary antibody (HA1125) at 1/1,000 dilution for 30 minutes at +4℃. Unlabelled sample was used as a control (cells without incubation with primary antibody; black).
quantity: 100μl
price: 360.00 USD
to the supplier
xCT/SLC7A11
HUABIO
catalog: HA600098-50UL
mouse monoclonal (A7C6)
reactivity:
human
,
mouse
application:
western blot
,
flow cytometry
,
immunohistochemistry - paraffin section
Western blot analysis of xCT/SLC7A11 on HT-29 cell lysates with Mouse anti-xCT/SLC7A11 antibody (HA600098) at 1/1,000 dilution. Lysates/proteins at 10 µg/Lane. Predicted band size: 55 kDa Observed band size: 55 kDa Exposure time: 2 minute 30 seconds; ECL: K1801; 4-20% SDS-PAGE gel. Proteins were transferred to a PVDF membrane and blocked with 5% NFDM/TBST for 1 hour at room temperature. The primary antibody (HA600098) at 1/1,000 dilution was used in 5% NFDM/TBST at 4℃ overnight. Goat Anti-Mouse IgG - HRP Secondary Antibody (HA1006) at 1/50,000 dilution was used for 1 hour at room temperature.
Immunocytochemistry analysis of HeLa cells labeling xCT/SLC7A11 with Mouse anti-xCT/SLC7A11 antibody (HA600098) at 1/250 dilution. Cells were fixed in 4% paraformaldehyde for 20 minutes at room temperature, permeabilized with 0.1% Triton X-100 in PBS for 5 minutes at room temperature, then blocked with 1% BSA in 10% negative goat serum for 1 hour at room temperature. Cells were then incubated with Mouse anti-xCT/SLC7A11 antibody (HA600098) at 1/250 dilution in 1% BSA in PBST overnight at 4 ℃. Goat Anti-Mouse IgG H&L (iFluor™ 488, HA1125) was used as the secondary antibody at 1/1,000 dilution. PBS instead of the primary antibody was used as the secondary antibody only control. Nuclear DNA was labelled in blue with DAPI. beta Tubulin (ET1602-4, red) was stained at 1/100 dilution overnight at +4℃. Goat Anti-Rabbit IgG H&L (iFluor™ 594, HA1122) was used as the secondary antibody at 1/1,000 dilution.
Immunocytochemistry analysis of A549 cells labeling xCT/SLC7A11 with Mouse anti-xCT/SLC7A11 antibody (HA600098) at 1/250 dilution. Cells were fixed in 4% paraformaldehyde for 20 minutes at room temperature, permeabilized with 0.1% Triton X-100 in PBS for 5 minutes at room temperature, then blocked with 1% BSA in 10% negative goat serum for 1 hour at room temperature. Cells were then incubated with Mouse anti-xCT/SLC7A11 antibody (HA600098) at 1/250 dilution in 1% BSA in PBST overnight at 4 ℃. Goat Anti-Mouse IgG H&L (iFluor™ 488, HA1125) was used as the secondary antibody at 1/1,000 dilution. PBS instead of the primary antibody was used as the secondary antibody only control. Nuclear DNA was labelled in blue with DAPI. beta Tubulin (ET1602-4, red) was stained at 1/100 dilution overnight at +4℃. Goat Anti-Rabbit IgG H&L (iFluor™ 594, HA1122) was used as the secondary antibody at 1/1,000 dilution.
quantity: 50μl
price: 205.00 USD
to the supplier
xCT/SLC7A11
HUABIO
catalog: HA601071-50UL
mouse monoclonal (A7C6-R)
reactivity:
human
,
mouse
application:
western blot
,
flow cytometry
,
immunohistochemistry - paraffin section
Western blot analysis of xCT/SLC7A11 on different lysates with Mouse anti-xCT/SLC7A11 antibody (HA601071) at 1/500 dilution. Lane 1: HT-29 cell lysate Lane 2: A549 cell lysate Lysates/proteins at 10 µg/Lane. Predicted band size: 55 kDa Observed band size: 55 kDa Exposure time: 30 seconds; 10% SDS-PAGE gel. Proteins were transferred to a PVDF membrane and blocked with 5% NFDM/TBST for 1 hour at room temperature. The primary antibody (HA601071) at 1/500 dilution was used in 5% NFDM/TBST at room temperature for 2 hours. Goat Anti-Mouse IgG - HRP Secondary Antibody (HA1006) at 1:100,000 dilution was used for 1 hour at room temperature.
Western blot analysis of xCT/SLC7A11 on HCT116 cell lysates with Mouse anti-xCT/SLC7A11 antibody (HA601071) at 1/5,000 dilution. Lysates/proteins at 10 µg/Lane. Predicted band size: 55 kDa Observed band size: 55 kDa Exposure time: 1 minute; 12% SDS-PAGE gel. Proteins were transferred to a PVDF membrane and blocked with 5% NFDM/TBST for 1 hour at room temperature. The primary antibody (HA601071) at 1/5,000 dilution was used in 5% NFDM/TBST at room temperature for 2 hours. Goat Anti-Mouse IgG - HRP Secondary Antibody (HA1006) at 1:100,000 dilution was used for 1 hour at room temperature.
Immunohistochemical analysis of paraffin-embedded human pancreas tissue with Mouse anti-xCT/SLC7A11 antibody (HA601071) at 1/200 dilution. The section was pre-treated using heat mediated antigen retrieval with Tris-EDTA buffer (pH 9.0) for 20 minutes. The tissues were blocked in 1% BSA for 20 minutes at room temperature, washed with ddH2O and PBS, and then probed with the primary antibody (HA601071) at 1/200 dilution for 1 hour at room temperature. The detection was performed using an HRP conjugated compact polymer system. DAB was used as the chromogen. Tissues were counterstained with hematoxylin and mounted with DPX.
quantity: 50μl
price: 205.00 USD
to the supplier
xCT/SLC7A11
HUABIO
catalog: HA610011
mouse monoclonal (A7C6-R)
reactivity:
human
,
mouse
application:
western blot
,
flow cytometry
,
immunohistochemistry - paraffin section
Western blot analysis of xCT/SLC7A11 on different lysates with Mouse anti-xCT/SLC7A11 antibody (HA610011) at 1/500 dilution. Lane 1: HT-29 cell lysate Lane 2: A549 cell lysate Lysates/proteins at 10 µg/Lane. Predicted band size: 55 kDa Observed band size: 55 kDa Exposure time: 30 seconds; 10% SDS-PAGE gel. Proteins were transferred to a PVDF membrane and blocked with 5% NFDM/TBST for 1 hour at room temperature. The primary antibody (HA610011) at 1/500 dilution was used in 5% NFDM/TBST at room temperature for 2 hours. Goat Anti-Mouse IgG - HRP Secondary Antibody (HA1006) at 1:100,000 dilution was used for 1 hour at room temperature.
Western blot analysis of xCT/SLC7A11 on HCT116 cell lysates with Mouse anti-xCT/SLC7A11 antibody (HA610011) at 1/5,000 dilution. Lysates/proteins at 10 µg/Lane. Predicted band size: 55 kDa Observed band size: 55 kDa Exposure time: 1 minute; 12% SDS-PAGE gel. Proteins were transferred to a PVDF membrane and blocked with 5% NFDM/TBST for 1 hour at room temperature. The primary antibody (HA610011) at 1/5,000 dilution was used in 5% NFDM/TBST at room temperature for 2 hours. Goat Anti-Mouse IgG - HRP Secondary Antibody (HA1006) at 1:100,000 dilution was used for 1 hour at room temperature.
Immunohistochemical analysis of paraffin-embedded human pancreas tissue with Mouse anti-xCT/SLC7A11 antibody (HA610011) at 1/200 dilution. The section was pre-treated using heat mediated antigen retrieval with Tris-EDTA buffer (pH 9.0) for 20 minutes. The tissues were blocked in 1% BSA for 20 minutes at room temperature, washed with ddH2O and PBS, and then probed with the primary antibody (HA610011) at 1/200 dilution for 1 hour at room temperature. The detection was performed using an HRP conjugated compact polymer system. DAB was used as the chromogen. Tissues were counterstained with hematoxylin and mounted with DPX.
quantity: 100μg
price: 649.00 USD
to the supplier
xCT/SLC7A11
HUABIO
catalog: HA721868
domestic rabbit monoclonal (JE31-93)
reactivity:
human
,
mouse
,
rat
application:
western blot
,
immunoprecipitation
Western blot analysis of xCT/SLC7A11 on different lysates with Rabbit anti-xCT/SLC7A11 antibody (HA721868) at 1/1,000 dilution. Lane 1: HepG2 cell lysate (20 µg/Lane) Lane 2: HeLa cell lysate (20 µg/Lane) Lane 3: 293T cell lysate (20 µg/Lane) Lane 4: Mouse liver tissue lysate (40 µg/Lane) Lane 5: Mouse brain tissue lysate (40 µg/Lane) Lane 6: Rat brain tissue lysate (40 µg/Lane) Lane 7: Rat liver tissue lysate (40 µg/Lane) Predicted band size: 55 kDa Observed band size: 55 kDa Exposure time: 5 seconds; ECL: K1801; 4-20% SDS-PAGE gel. Proteins were transferred to a PVDF membrane and blocked with 5% NFDM/TBST for 1 hour at room temperature. The primary antibody (HA721868) at 1/1,000 dilution was used in 5% NFDM/TBST at 4℃ overnight. Goat Anti-Rabbit IgG - HRP Secondary Antibody (HA1001) at 1/50,000 dilution was used for 1 hour at room temperature.
Western blot analysis of xCT/SLC7A11 on PC-12 cell lysates with Rabbit anti-xCT/SLC7A11 antibody (HA721868) at 1/1,000 dilution. Lysates/proteins at 10 µg/Lane. Predicted band size: 55 kDa Observed band size: 55 kDa Exposure time: 1 minute; ECL: K1801; 4-20% SDS-PAGE gel. Proteins were transferred to a PVDF membrane and blocked with 5% NFDM/TBST for 1 hour at room temperature. The primary antibody (HA721868) at 1/1,000 dilution was used in 5% NFDM/TBST at 4℃ overnight. Goat Anti-Rabbit IgG - HRP Secondary Antibody (HA1001) at 1/50,000 dilution was used for 1 hour at room temperature.
xCT/SLC7A11 was immunoprecipitated in 0.2mg HeLa cell lysate with HA721868 at 2 µg/10 µl beads. Western blot was performed from the immunoprecipitate using HA721868 at 1/1,000 dilution. Anti-Rabbit IgG for IP Nano-secondary antibody (NBI01H) at 1/5,000 dilution was used for 1 hour at room temperature. Lane 1: HeLa cell lysate (input) Lane 2: HA721868 IP in HeLa cell lysate Lane 3: Rabbit IgG instead of HA721868 in HeLa cell lysate Blocking/Dilution buffer: 5% NFDM/TBST Exposure time: 24 seconds; ECL: K1801
quantity: 100μl
price: 385.00 USD
to the supplier
xCT/SLC7A11
HUABIO
catalog: HA600098
mouse monoclonal (A7C6)
reactivity:
human
,
mouse
application:
western blot
,
flow cytometry
,
immunohistochemistry - paraffin section
quantity: 100μl
price: 360.00 USD
to the supplier