AMACR
HUABIO
catalog: HA723543
domestic rabbit monoclonal (PSH13-54)
reactivity: human, mouse
application: western blot, immunohistochemistry - paraffin section

Western blot analysis of AMACR on different lysates with Rabbit anti-AMACR antibody (HA723543) at 1/5,000 dilution. Lane 1: LNCaP cell lysate (20 µg/Lane) Lane 2: U-2 OS cell lysate (low expression) (20 µg/Lane) Lane 3: A375 cell lysate (20 µg/Lane) Lane 4: Mouse kidney tissue lysate (40 µg/Lane) Predicted band size: 42 kDa Observed band size: 42 kDa Exposure time: 2 minute 22 seconds; ECL: K1801; 4-20% SDS-PAGE gel. Proteins were transferred to a PVDF membrane and blocked with 5% NFDM/TBST for 1 hour at room temperature. The primary antibody (HA723543) at 1/5,000 dilution was used in primary antibody dilution (K1803) at 4℃ overnight. Goat Anti-Rabbit IgG - HRP Secondary Antibody (HA1001) at 1/50,000 dilution was used for 1 hour at room temperature.

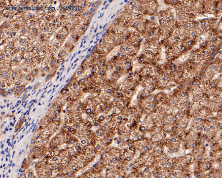
Immunohistochemical analysis of paraffin-embedded human prostate cancer tissue with Rabbit anti-AMACR antibody (HA723543) at 1/10,000 dilution. The section was pre-treated using heat mediated antigen retrieval with Tris-EDTA buffer (pH 9.0) for 20 minutes. The tissues were blocked in 1% BSA for 20 minutes at room temperature, washed with ddH2O and PBS, and then probed with the primary antibody (HA723543) at 1/10,000 dilution for 1 hour at room temperature. The detection was performed using an HRP conjugated compact polymer system. DAB was used as the chromogen. Tissues were counterstained with hematoxylin and mounted with DPX.

Immunohistochemical analysis of paraffin-embedded human prostate cancer tissue with Rabbit anti-AMACR antibody (HA723543) at 1/10,000 dilution. The section was pre-treated using heat mediated antigen retrieval with Tris-EDTA buffer (pH 9.0) for 20 minutes. The tissues were blocked in 1% BSA for 20 minutes at room temperature, washed with ddH2O and PBS, and then probed with the primary antibody (HA723543) at 1/10,000 dilution for 1 hour at room temperature. The detection was performed using an HRP conjugated compact polymer system. DAB was used as the chromogen. Tissues were counterstained with hematoxylin and mounted with DPX.
quantity: 100μl
price: 385.00 USD
to the supplier
AMACR
HUABIO
catalog: HA723544
domestic rabbit monoclonal (PSH13-55)
reactivity: human, mouse, rat
application: western blot, immunohistochemistry - paraffin section

Western blot analysis of AMACR on different lysates with Rabbit anti-AMACR antibody (HA723544) at 1/5,000 dilution. Lane 1: LNCaP cell lysate (20 µg/Lane) Lane 2: U-2 OS cell lysate (low expression) (20 µg/Lane) Lane 3: A375 cell lysate (20 µg/Lane) Lane 4: Mouse kidney tissue lysate (40 µg/Lane) Lane 5: Rat kidney tissue lysate (40 µg/Lane) Predicted band size: 42 kDa Observed band size: 42 kDa Exposure time: 20 seconds; ECL: K1801; 4-20% SDS-PAGE gel. Proteins were transferred to a PVDF membrane and blocked with 5% NFDM/TBST for 1 hour at room temperature. The primary antibody (HA723544) at 1/5,000 dilution was used in primary antibody dilution (K1803) at 4℃ overnight. Goat Anti-Rabbit IgG - HRP Secondary Antibody (HA1001) at 1/50,000 dilution was used for 1 hour at room temperature.

Immunohistochemical analysis of paraffin-embedded human prostate cancer tissue with Rabbit anti-AMACR antibody (HA723544) at 1/1,000 dilution. The section was pre-treated using heat mediated antigen retrieval with Tris-EDTA buffer (pH 9.0) for 20 minutes. The tissues were blocked in 1% BSA for 20 minutes at room temperature, washed with ddH2O and PBS, and then probed with the primary antibody (HA723544) at 1/1,000 dilution for 1 hour at room temperature. The detection was performed using an HRP conjugated compact polymer system. DAB was used as the chromogen. Tissues were counterstained with hematoxylin and mounted with DPX.

Immunohistochemical analysis of paraffin-embedded human prostate cancer tissue with Rabbit anti-AMACR antibody (HA723544) at 1/1,000 dilution. The section was pre-treated using heat mediated antigen retrieval with Tris-EDTA buffer (pH 9.0) for 20 minutes. The tissues were blocked in 1% BSA for 20 minutes at room temperature, washed with ddH2O and PBS, and then probed with the primary antibody (HA723544) at 1/1,000 dilution for 1 hour at room temperature. The detection was performed using an HRP conjugated compact polymer system. DAB was used as the chromogen. Tissues were counterstained with hematoxylin and mounted with DPX.
quantity: 100μl
price: 385.00 USD
to the supplier
AMACR
HUABIO
catalog: HA751474
domestic rabbit monoclonal (PSH13-55)
reactivity: human, mouse, rat
application: western blot, immunohistochemistry - paraffin section

Western blot analysis of AMACR on different lysates with Rabbit anti-AMACR antibody (HA751474) at 1/5,000 dilution. Lane 1: LNCaP cell lysate (20 µg/Lane) Lane 2: U-2 OS cell lysate (low expression) (20 µg/Lane) Lane 3: A375 cell lysate (20 µg/Lane) Lane 4: Mouse kidney tissue lysate (40 µg/Lane) Lane 5: Rat kidney tissue lysate (40 µg/Lane) Predicted band size: 42 kDa Observed band size: 42 kDa Exposure time: 20 seconds; ECL: K1801; 4-20% SDS-PAGE gel. Proteins were transferred to a PVDF membrane and blocked with 5% NFDM/TBST for 1 hour at room temperature. The primary antibody (HA751474) at 1/5,000 dilution was used in primary antibody dilution (K1803) at 4℃ overnight. Goat Anti-Rabbit IgG - HRP Secondary Antibody (HA1001) at 1/50,000 dilution was used for 1 hour at room temperature.

Immunohistochemical analysis of paraffin-embedded human prostate cancer tissue with Rabbit anti-AMACR antibody (HA751474) at 1/1,000 dilution. The section was pre-treated using heat mediated antigen retrieval with Tris-EDTA buffer (pH 9.0) for 20 minutes. The tissues were blocked in 1% BSA for 20 minutes at room temperature, washed with ddH2O and PBS, and then probed with the primary antibody (HA751474) at 1/1,000 dilution for 1 hour at room temperature. The detection was performed using an HRP conjugated compact polymer system. DAB was used as the chromogen. Tissues were counterstained with hematoxylin and mounted with DPX.

Immunohistochemical analysis of paraffin-embedded human prostate cancer tissue with Rabbit anti-AMACR antibody (HA751474) at 1/1,000 dilution. The section was pre-treated using heat mediated antigen retrieval with Tris-EDTA buffer (pH 9.0) for 20 minutes. The tissues were blocked in 1% BSA for 20 minutes at room temperature, washed with ddH2O and PBS, and then probed with the primary antibody (HA751474) at 1/1,000 dilution for 1 hour at room temperature. The detection was performed using an HRP conjugated compact polymer system. DAB was used as the chromogen. Tissues were counterstained with hematoxylin and mounted with DPX.
quantity: 100μl
price: 649.00 USD
to the supplier