Sign in
Sign up
home
>
HUABIO
> HUABIO SIRT1 antibody
SIRT1
HUABIO
catalog: ER130811
domestic rabbit polyclonal
reactivity:
human
,
mouse
application:
western blot
,
flow cytometry
,
immunohistochemistry - paraffin section
Western blot analysis of SIRT1 on different lysates with Rabbit anti-SIRT1 antibody (ER130811) at 1/500 dilution. Lane 1: Hela cell lysate Lane 2: Jurkat cell lysate Lysates/proteins at 10 µg/Lane. Predicted band size: 82 kDa Observed band size: 110 kDa Exposure time: 2 minutes; 6% SDS-PAGE gel. Proteins were transferred to a PVDF membrane and blocked with 5% NFDM/TBST for 1 hour at room temperature. The primary antibody (ER130811) at 1/500 dilution was used in 5% NFDM/TBST at room temperature for 2 hours. Goat Anti-Rabbit IgG - HRP Secondary Antibody (HA1001) at 1:300,000 dilution was used for 1 hour at room temperature.
Western blot analysis of SIRT1 on F9 cell lysates with Rabbit anti-SIRT1 antibody (ER130811) at 1/2,000 dilution. Lysates/proteins at 10 µg/Lane. Predicted band size: 82 kDa Observed band size: 110 kDa Exposure time: 1 minute; 8% SDS-PAGE gel. Proteins were transferred to a PVDF membrane and blocked with 5% NFDM/TBST for 1 hour at room temperature. The primary antibody (ER130811) at 1/2,000 dilution was used in 5% NFDM/TBST at room temperature for 2 hours. Goat Anti-Rabbit IgG - HRP Secondary Antibody (HA1001) at 1:300,000 dilution was used for 1 hour at room temperature.
Immunocytochemistry analysis of HeLa cells labeling SIRT1 with Rabbit anti-SIRT1 antibody (ER130811) at 1/100 dilution. Cells were fixed in 4% paraformaldehyde for 20 minutes at room temperature, permeabilized with 0.1% Triton X-100 in PBS for 5 minutes at room temperature, then blocked with 1% BSA in 10% negative goat serum for 1 hour at room temperature. Cells were then incubated with Rabbit anti-SIRT1 antibody (ER130811) at 1/100 dilution in 1% BSA in PBST overnight at 4 ℃. Goat Anti-Rabbit IgG H&L (iFluor™ 488, HA1121) was used as the secondary antibody at 1/1,000 dilution. PBS instead of the primary antibody was used as the secondary antibody only control. Nuclear DNA was labelled in blue with DAPI. Beta tubulin (M1305-2, red) was stained at 1/100 dilution overnight at +4℃. Goat Anti-Mouse IgG H&L (iFluor™ 594, HA1126) was used as the secondary antibody at 1/1,000 dilution.
quantity: 100μl
price: 330 USD
to the supplier
SIRT1
HUABIO
catalog: ET1603-3
domestic rabbit monoclonal (SZ04-01)
reactivity:
human
,
mouse
,
rat
application:
western blot
,
chromatin immunoprecipitation
,
immunohistochemistry - paraffin section
Western blot analysis of SIRT1 on different lysates with Rabbit anti-SIRT1 antibody (ET1603-3) at 1/2,000 dilution. Lane 1: HeLa cell lysate (15 µg/Lane) Lane 2: HEK-293 cell lysate (15 µg/Lane) Lane 3: A549 cell lysate (15 µg/Lane) Lane 4: F9 cell lysate (15 µg/Lane) Lane 5: Mouse testis tissue lysate (20 µg/Lane) Lane 6: Rat testis tissue lysate (20 µg/Lane) Predicted band size: 82 kDa Observed band size: 110 kDa Exposure time: 2 minutes 37 seconds; 4-20% SDS-PAGE gel. Proteins were transferred to a PVDF membrane and blocked with 5% NFDM/TBST for 1 hour at room temperature. The primary antibody (ET1603-3) at 1/2,000 dilution was used in 5% NFDM/TBST at 4℃ overnight. Goat Anti-Rabbit IgG - HRP Secondary Antibody (HA1001) at 1/50,000 dilution was used for 1 hour at room temperature.
Western blot analysis of SIRT1 on different lysates with Rabbit anti-SIRT1 antibody (ET1603-3) at 1/20,000 dilution. Lane 1: HEK-293-si NT cell lysate Lane 2: HEK-293-si SIRT1 cell lysate Lysates/proteins at 10 µg/Lane. Predicted band size: 82 kDa Observed band size: 110 kDa Exposure time: 50 seconds; 4-20% SDS-PAGE gel. Proteins were transferred to a PVDF membrane and blocked with 5% NFDM/TBST for 1 hour at room temperature. The primary antibody (ET1603-3) at 1/20,000 dilution was used in 5% NFDM/TBST at 4℃ overnight. Goat Anti-Rabbit IgG - HRP Secondary Antibody (HA1001) at 1/100,000 dilution was used for 1 hour at room temperature.
Immunocytochemistry analysis of HEK-293 cells labeling SIRT1 with Rabbit anti-SIRT1 antibody (ET1603-3) at 1/100 dilution. Cells were fixed in 4% paraformaldehyde for 15 minutes at room temperature, permeabilized with 0.1% Triton X-100 in PBS for 15 minutes at room temperature, then blocked with 1% BSA in 10% negative goat serum for 1 hour at room temperature. Cells were then incubated with Rabbit anti-SIRT1 antibody (ET1603-3) at 1/100 dilution in 1% BSA in PBST overnight at 4 ℃. Goat Anti-Rabbit IgG H&L (iFluor™ 488, HA1121) was used as the secondary antibody at 1/1,000 dilution. PBS instead of the primary antibody was used as the secondary antibody only control. Nuclear DNA was labelled in blue with DAPI. Beta tubulin (HA601187, red) was stained at 1/100 dilution overnight at +4℃. Goat Anti-Mouse IgG H&L (iFluor™ 594, HA1126) was used as the secondary antibody at 1/1,000 dilution.
quantity: 100μl
price: 385.00 USD
to the supplier
Phospho-SIRT1 (S47)
HUABIO
catalog: ET1611-31
domestic rabbit monoclonal (SN06-40)
reactivity:
human
application:
western blot
,
immunohistochemistry - paraffin section
Western blot analysis of Phospho-SIRT1 (S47) on different lysates with Rabbit anti-Phospho-SIRT1 (S47) antibody (ET1611-31) at 1/2,000 dilution. Lane 1: 293T whole cell lysate (20 µg/Lane) Lane 2: 293T treated with 100nM Calyculin A for15 minutes whole cell lysate (20 µg/Lane) Predicted band size: 82 kDa Observed band size: 130 kDa Exposure time: 3 minutes; 4-20% SDS-PAGE gel. Proteins were transferred to a PVDF membrane and blocked with 5% NFDM/TBST for 1 hour at room temperature. The primary antibody (ET1611-31) at 1/2,000 dilution was used in 5% NFDM/TBST at 4℃ overnight. Goat Anti-Rabbit IgG - HRP Secondary Antibody (HA1001) at 1:50,000 dilution was used for 1 hour at room temperature.
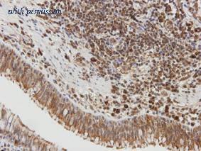
Immunohistochemical analysis of paraffin-embedded human testis tissue with Rabbit anti-Phospho-SIRT1 (S47) antibody (ET1611-31) at 1/200 dilution. The section was pre-treated using heat mediated antigen retrieval with sodium citrate buffer (pH 6.0) (high pressure) for 2 minutes. The tissues were blocked in 1% BSA for 20 minutes at room temperature, washed with ddH2O and PBS, and then probed with the primary antibody (ET1611-31) at 1/200 dilution for 1 hour at room temperature. The detection was performed using an HRP conjugated compact polymer system. DAB was used as the chromogen. Tissues were counterstained with hematoxylin and mounted with DPX.
Immunohistochemical analysis of paraffin-embedded human colon tissue with Rabbit anti-Phospho-SIRT1 (S47) antibody (ET1611-31) at 1/200 dilution. The section was pre-treated using heat mediated antigen retrieval with sodium citrate buffer (pH 6.0) (high pressure) for 2 minutes. The tissues were blocked in 1% BSA for 20 minutes at room temperature, washed with ddH2O and PBS, and then probed with the primary antibody (ET1611-31) at 1/200 dilution for 1 hour at room temperature. The detection was performed using an HRP conjugated compact polymer system. DAB was used as the chromogen. Tissues were counterstained with hematoxylin and mounted with DPX.
quantity: 100μl
price: 385.00 USD
to the supplier
Phospho-SIRT1 (T530)
HUABIO
catalog: ET1701-27
domestic rabbit monoclonal (JJ206-6)
reactivity:
human
application:
western blot
,
flow cytometry
,
immunohistochemistry - paraffin section
ICC staining of Phospho-SIRT1 (T530) in HepG2 cells (green). Formalin fixed cells were permeabilized with 0.1% Triton X-100 in TBS for 10 minutes at room temperature and blocked with 1% Blocker BSA for 15 minutes at room temperature. Cells were probed with the primary antibody (ET1701-27, 1/50) for 1 hour at room temperature, washed with PBS. Alexa Fluor®488 Goat anti-Rabbit IgG was used as the secondary antibody at 1/1,000 dilution. The nuclear counter stain is DAPI (blue).
ICC staining of Phospho-SIRT1 (T530) in Hela cells (green). Formalin fixed cells were permeabilized with 0.1% Triton X-100 in TBS for 10 minutes at room temperature and blocked with 1% Blocker BSA for 15 minutes at room temperature. Cells were probed with the primary antibody (ET1701-27, 1/50) for 1 hour at room temperature, washed with PBS. Alexa Fluor®488 Goat anti-Rabbit IgG was used as the secondary antibody at 1/1,000 dilution. The nuclear counter stain is DAPI (blue).
ICC staining of Phospho-SIRT1 (T530) in 293 cells (green). Formalin fixed cells were permeabilized with 0.1% Triton X-100 in TBS for 10 minutes at room temperature and blocked with 1% Blocker BSA for 15 minutes at room temperature. Cells were probed with the primary antibody (ET1701-27, 1/50) for 1 hour at room temperature, washed with PBS. Alexa Fluor®488 Goat anti-Rabbit IgG was used as the secondary antibody at 1/1,000 dilution. The nuclear counter stain is DAPI (blue).
quantity: 100μl
price: 385.00 USD
to the supplier
SIRT1
HUABIO
catalog: ET7110-49
domestic rabbit monoclonal (JE11-04)
reactivity:
human
application:
western blot
Western blot analysis of SIRT1 on different lysates with Rabbit anti-SIRT1 antibody (ET7110-49) at 1/2,000 dilution. Lane 1: HAP1-parental cell lysate Lane 2: HAP1-SIRT1 KD cell lysate Lysates/proteins at 10 µg/Lane. Predicted band size: 80 kDa Observed band size: 120 kDa Exposure time: 78 seconds; ECL: K1801; 4-20% SDS-PAGE gel. Proteins were transferred to a PVDF membrane and blocked with 5% NFDM/TBST for 1 hour at room temperature. The primary antibody (ET7110-49) at 1/2,000 dilution was used in K1803 at 4℃ overnight. Goat Anti-Rabbit IgG - HRP Secondary Antibody (HA1001) at 1/50,000 dilution was used for 1 hour at room temperature.
Western blot analysis of SIRT1 on different lysates. Proteins were transferred to a PVDF membrane and blocked with 5% BSA in PBS for 1 hour at room temperature. The primary antibody (ET7110-49, 1/500) was used in 5% BSA at room temperature for 2 hours. Goat Anti-Rabbit IgG - HRP Secondary Antibody (HA1001) at 1:5,000 dilution was used for 1 hour at room temperature. Positive control: Lane 1: Jurkat cell lysate Lane 2: HepG2 cell lysate Lane 3: Hela cell lysate
ICC staining of SIRT1 in Hela cells (red). Formalin fixed cells were permeabilized with 0.1% Triton X-100 in TBS for 10 minutes at room temperature and blocked with 1% Blocker BSA for 15 minutes at room temperature. Cells were probed with the primary antibody (ET7110-49, 1/50) for 1 hour at room temperature, washed with PBS. Alexa Fluor®594 Goat anti-Rabbit IgG was used as the secondary antibody at 1/1,000 dilution. The nuclear counter stain is DAPI (blue).
quantity: 100μl
price: 385.00 USD
to the supplier
SIRT1
HUABIO
catalog: HA750064
domestic rabbit monoclonal (SZ04-01)
reactivity:
human
,
mouse
,
rat
application:
western blot
,
chromatin immunoprecipitation
,
immunohistochemistry - paraffin section
Western blot analysis of SIRT1 on different lysates with Rabbit anti-SIRT1 antibody (HA750064) at 1/2,000 dilution. Lane 1: HeLa cell lysate (15 µg/Lane) Lane 2: HEK-293 cell lysate (15 µg/Lane) Lane 3: A549 cell lysate (15 µg/Lane) Lane 4: F9 cell lysate (15 µg/Lane) Lane 5: Mouse testis tissue lysate (20 µg/Lane) Lane 6: Rat testis tissue lysate (20 µg/Lane) Predicted band size: 82 kDa Observed band size: 110 kDa Exposure time: 2 minutes 37 seconds; 4-20% SDS-PAGE gel. Proteins were transferred to a PVDF membrane and blocked with 5% NFDM/TBST for 1 hour at room temperature. The primary antibody (HA750064) at 1/2,000 dilution was used in 5% NFDM/TBST at 4℃ overnight. Goat Anti-Rabbit IgG - HRP Secondary Antibody (HA1001) at 1/50,000 dilution was used for 1 hour at room temperature.
Western blot analysis of SIRT1 on different lysates with Rabbit anti-SIRT1 antibody (HA750064) at 1/20,000 dilution. Lane 1: HEK-293-si NT cell lysate Lane 2: HEK-293-si SIRT1 cell lysate Lysates/proteins at 10 µg/Lane. Predicted band size: 82 kDa Observed band size: 110 kDa Exposure time: 50 seconds; 4-20% SDS-PAGE gel. Proteins were transferred to a PVDF membrane and blocked with 5% NFDM/TBST for 1 hour at room temperature. The primary antibody (HA750064) at 1/20,000 dilution was used in 5% NFDM/TBST at 4℃ overnight. Goat Anti-Rabbit IgG - HRP Secondary Antibody (HA1001) at 1/100,000 dilution was used for 1 hour at room temperature.
Immunocytochemistry analysis of HEK-293 cells labeling SIRT1 with Rabbit anti-SIRT1 antibody (HA750064) at 1/100 dilution. Cells were fixed in 4% paraformaldehyde for 15 minutes at room temperature, permeabilized with 0.1% Triton X-100 in PBS for 15 minutes at room temperature, then blocked with 1% BSA in 10% negative goat serum for 1 hour at room temperature. Cells were then incubated with Rabbit anti-SIRT1 antibody (HA750064) at 1/100 dilution in 1% BSA in PBST overnight at 4 ℃. Goat Anti-Rabbit IgG H&L (iFluor™ 488, HA1121) was used as the secondary antibody at 1/1,000 dilution. PBS instead of the primary antibody was used as the secondary antibody only control. Nuclear DNA was labelled in blue with DAPI. Beta tubulin (HA601187, red) was stained at 1/100 dilution overnight at +4℃. Goat Anti-Mouse IgG H&L (iFluor™ 594, HA1126) was used as the secondary antibody at 1/1,000 dilution.
quantity: 100μl
price: 649.00 USD
to the supplier
SIRT1
HUABIO
catalog: M1506-3
mouse monoclonal (7-C5-B2)
reactivity:
human
,
mouse
application:
western blot
,
immunohistochemistry - paraffin section
Western blot analysis of SIRT1 on different lysates with Mouse anti-SIRT1 antibody (M1506-3) at 1/2,000 dilution. Lane 1: HAP1-parental cell lysate Lane 2: HAP1-SIRT1 KD cell lysate Lysates/proteins at 10 µg/Lane. Predicted band size: 80 kDa Observed band size: 120 kDa Exposure time: 30 seconds; ECL: K1801; 4-20% SDS-PAGE gel. Proteins were transferred to a PVDF membrane and blocked with 5% NFDM/TBST for 1 hour at room temperature. The primary antibody (M1506-3) at 1/2,000 dilution was used in K1803 at 4℃ overnight. Goat Anti-Mouse IgG - HRP Secondary Antibody (HA1006) at 1/50,000 dilution was used for 1 hour at room temperature.
Immunocytochemistry analysis of HeLa cells labeling SIRT1 with Mouse anti-SIRT1 antibody (M1506-3) at 1/100 dilution. Cells were fixed in 4% paraformaldehyde for 15 minutes at room temperature, permeabilized with 0.1% Triton X-100 in PBS for 15 minutes at room temperature, then blocked with 1% BSA in 10% negative goat serum for 1 hour at room temperature. Cells were then incubated with Mouse anti-SIRT1 antibody (M1506-3) at 1/100 dilution in 1% BSA in PBST overnight at 4 ℃. Goat Anti-Mouse IgG H&L (iFluor™ 488, HA1125) was used as the secondary antibody at 1/1,000 dilution. PBS instead of the primary antibody was used as the secondary antibody only control. Nuclear DNA was labelled in blue with DAPI. beta Tubulin (ET1602-4, red) was stained at 1/100 dilution overnight at +4℃. Goat Anti-Rabbit IgG H&L (iFluor™ 594, HA1122) were used as the secondary antibody at 1/1,000 dilution.
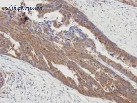
Immunohistochemical analysis of paraffin-embedded human lung carcinoma tissue using anti- SIRT1 mouse mAb.
quantity: 100μl
price: 360.00 USD
to the supplier