domestic rabbit monoclonal (PSH01-52)
reactivity: human, mouse, rat
application: western blot, immunoprecipitation, immunohistochemistry - paraffin section
reactivity: human, mouse, rat
application: western blot, immunoprecipitation, immunohistochemistry - paraffin section

Western blot analysis of GANAB on different lysates with Rabbit anti-GANAB antibody (HA721695) at 1/5,000 dilution and competitor's antibody at 1/1,000 dilution. Lane 1: HeLa cell lysate Lane 2: HepG2 cell lysate Lane 3: HEK-293 cell lysate Lane 4: Raji cell lysate Lane 5: NIH/3T3 cell lysate Lane 6: C2C12 cell lysate Lane 7: PC-12 cell lysate Lysates/proteins at 15 µg/Lane. Predicted band size: 107 kDa Observed band size: 107 kDa Exposure time: 1 minute 21 seconds; ECL: K1801; 4-20% SDS-PAGE gel. Proteins were transferred to a PVDF membrane and blocked with 5% NFDM/TBST for 1 hour at room temperature. The primary antibody (HA721695) at 1/5,000 dilution and competitor's antibody at 1/1,000 dilution were used in 5% NFDM/TBST at 4℃ overnight. Goat Anti-Rabbit IgG - HRP Secondary Antibody (HA1001) at 1/50,000 dilution was used for 1 hour at room temperature.

Immunofluorescence analysis of paraffin-embedded human thyroid tissue labeling GANAB with Rabbit anti-GANAB antibody (HA721695) at 1/200 dilution. The section was pre-treated using heat mediated antigen retrieval with Tris-EDTA buffer (pH 9.0) for 20 minutes. The tissues were blocked in 10% negative goat serum for 1 hour at room temperature, washed with PBS, and then probed with the primary antibody (HA721695, green) at 1/200 dilution overnight at 4 ℃, washed with PBS. Goat Anti-Rabbit IgG H&L (iFluor™ 488, HA1121) was used as the secondary antibody at 1/1,000 dilution. Nuclei were counterstained with DAPI (blue).

Western blot analysis of GANAB on different lysates with Rabbit anti-GANAB antibody (HA721695) at 1/1,000 dilution. Lane 1: HeLa cell lysate (20 µg/Lane) Lane 2: HepG2 cell lysate (20 µg/Lane) Lane 3: LoVo cell lysate (20 µg/Lane) Lane 4: HEK-293 cell lysate (20 µg/Lane) Lane 5: U-2 OS cell lysate (20 µg/Lane) Lane 6: K-562 cell lysate (20 µg/Lane) Lane 7: Jurkat cell lysate (20 µg/Lane) Lane 8: HL-60 cell lysate (20 µg/Lane) Lane 9: Raji cell lysate (20 µg/Lane) Lane 10: NIH/3T3 cell lysate (20 µg/Lane) Lane 11: C2C12 cell lysate (20 µg/Lane) Lane 12: RAW264.7 cell lysate (20 µg/Lane) Lane 13: Mouse spleen tissue lysate (40 µg/Lane) Predicted band size: 107 kDa Observed band size: 107 kDa Exposure time: 1 minute 2 seconds; ECL: K1801; 4-20% SDS-PAGE gel. Proteins were transferred to a PVDF membrane and blocked with 5% NFDM/TBST for 1 hour at room temperature. The primary antibody (HA721695) at 1/1,000 dilution was used in 5% NFDM/TBST at room temperature for 2 hours. Goat Anti-Rabbit IgG - HRP Secondary Antibody (HA1001) at 1/50,000 dilution was used for 1 hour at room temperature.
quantity: 100μl
price: 385.00 USD
to the supplier
domestic rabbit monoclonal (PSH01-53)
reactivity: human
application: western blot, immunohistochemistry - paraffin section
reactivity: human
application: western blot, immunohistochemistry - paraffin section

Western blot analysis of GANAB on different lysates with Rabbit anti-GANAB antibody (HA721696) at 1/1,000 dilution. Lane 1: HeLa cell lysate (20 µg/Lane) Lane 2: HepG2 cell lysate (20 µg/Lane) Lane 3: LoVo cell lysate (20 µg/Lane) Lane 4: HEK-293 cell lysate (20 µg/Lane) Lane 5: U-2 OS cell lysate (20 µg/Lane) Lane 6: K-562 cell lysate (20 µg/Lane) Lane 7: Jurkat cell lysate (20 µg/Lane) Lane 8: HL-60 cell lysate (20 µg/Lane) Lane 9: Raji cell lysate (20 µg/Lane) Predicted band size: 107 kDa Observed band size: 107 kDa Exposure time: 1 minute 2 seconds; ECL: K1801; 4-20% SDS-PAGE gel. Proteins were transferred to a PVDF membrane and blocked with 5% NFDM/TBST for 1 hour at room temperature. The primary antibody (HA721696) at 1/1,000 dilution was used in 5% NFDM/TBST at room temperature for 2 hours. Goat Anti-Rabbit IgG - HRP Secondary Antibody (HA1001) at 1/50,000 dilution was used for 1 hour at room temperature.

Immunofluorescence analysis of paraffin-embedded human thyroid tissue labeling GANAB with Rabbit anti-GANAB antibody (HA721696) at 1/200 dilution. The section was pre-treated using heat mediated antigen retrieval with Tris-EDTA buffer (pH 9.0) for 20 minutes. The tissues were blocked in 10% negative goat serum for 1 hour at room temperature, washed with PBS, and then probed with the primary antibody (HA721696, green) at 1/200 dilution overnight at 4 ℃, washed with PBS. Goat Anti-Rabbit IgG H&L (iFluor™ 488, HA1121) was used as the secondary antibody at 1/1,000 dilution. Nuclei were counterstained with DAPI (blue).

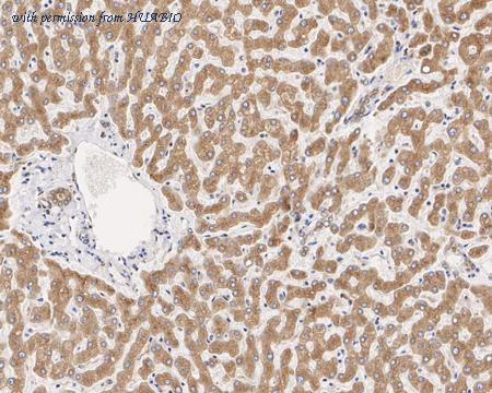
Immunohistochemical analysis of paraffin-embedded human liver tissue with Rabbit anti-GANAB antibody (HA721696) at 1/1,000 dilution. The section was pre-treated using heat mediated antigen retrieval with Tris-EDTA buffer (pH 9.0) for 20 minutes. The tissues were blocked in 1% BSA for 20 minutes at room temperature, washed with ddH2O and PBS, and then probed with the primary antibody (HA721696) at 1/1,000 dilution for 1 hour at room temperature. The detection was performed using an HRP conjugated compact polymer system. DAB was used as the chromogen. Tissues were counterstained with hematoxylin and mounted with DPX.
quantity: 100μl
price: 385.00 USD
to the supplier
domestic rabbit monoclonal (PSH01-52)
reactivity: human, mouse, rat
application: western blot, immunoprecipitation, immunohistochemistry - paraffin section
reactivity: human, mouse, rat
application: western blot, immunoprecipitation, immunohistochemistry - paraffin section

Western blot analysis of GANAB on different lysates with Rabbit anti-GANAB antibody (HA750728) at 1/5,000 dilution and competitor's antibody at 1/1,000 dilution. Lane 1: HeLa cell lysate Lane 2: HepG2 cell lysate Lane 3: HEK-293 cell lysate Lane 4: Raji cell lysate Lane 5: NIH/3T3 cell lysate Lane 6: C2C12 cell lysate Lane 7: PC-12 cell lysate Lysates/proteins at 15 µg/Lane. Predicted band size: 107 kDa Observed band size: 107 kDa Exposure time: 1 minute 21 seconds; ECL: K1801; 4-20% SDS-PAGE gel. Proteins were transferred to a PVDF membrane and blocked with 5% NFDM/TBST for 1 hour at room temperature. The primary antibody (HA750728) at 1/5,000 dilution and competitor's antibody at 1/1,000 dilution were used in 5% NFDM/TBST at 4℃ overnight. Goat Anti-Rabbit IgG - HRP Secondary Antibody (HA1001) at 1/50,000 dilution was used for 1 hour at room temperature.

Immunofluorescence analysis of paraffin-embedded human thyroid tissue labeling GANAB with Rabbit anti-GANAB antibody (HA750728) at 1/200 dilution. The section was pre-treated using heat mediated antigen retrieval with Tris-EDTA buffer (pH 9.0) for 20 minutes. The tissues were blocked in 10% negative goat serum for 1 hour at room temperature, washed with PBS, and then probed with the primary antibody (HA750728, green) at 1/200 dilution overnight at 4 ℃, washed with PBS. Goat Anti-Rabbit IgG H&L (iFluor™ 488, HA1121) was used as the secondary antibody at 1/1,000 dilution. Nuclei were counterstained with DAPI (blue).

Western blot analysis of GANAB on different lysates with Rabbit anti-GANAB antibody (HA750728) at 1/1,000 dilution. Lane 1: HeLa cell lysate (20 µg/Lane) Lane 2: HepG2 cell lysate (20 µg/Lane) Lane 3: LoVo cell lysate (20 µg/Lane) Lane 4: HEK-293 cell lysate (20 µg/Lane) Lane 5: U-2 OS cell lysate (20 µg/Lane) Lane 6: K-562 cell lysate (20 µg/Lane) Lane 7: Jurkat cell lysate (20 µg/Lane) Lane 8: HL-60 cell lysate (20 µg/Lane) Lane 9: Raji cell lysate (20 µg/Lane) Lane 10: NIH/3T3 cell lysate (20 µg/Lane) Lane 11: C2C12 cell lysate (20 µg/Lane) Lane 12: RAW264.7 cell lysate (20 µg/Lane) Lane 13: Mouse spleen tissue lysate (40 µg/Lane) Predicted band size: 107 kDa Observed band size: 107 kDa Exposure time: 1 minute 2 seconds; ECL: K1801; 4-20% SDS-PAGE gel. Proteins were transferred to a PVDF membrane and blocked with 5% NFDM/TBST for 1 hour at room temperature. The primary antibody (HA750728) at 1/1,000 dilution was used in 5% NFDM/TBST at room temperature for 2 hours. Goat Anti-Rabbit IgG - HRP Secondary Antibody (HA1001) at 1/50,000 dilution was used for 1 hour at room temperature.
quantity: 100μl
price: 649.00 USD
to the supplier
domestic rabbit monoclonal (PSH01-53)
reactivity: human
application: western blot, immunohistochemistry - paraffin section
reactivity: human
application: western blot, immunohistochemistry - paraffin section

Western blot analysis of GANAB on different lysates with Rabbit anti-GANAB antibody (HA750729) at 1/1,000 dilution. Lane 1: HeLa cell lysate (20 µg/Lane) Lane 2: HepG2 cell lysate (20 µg/Lane) Lane 3: LoVo cell lysate (20 µg/Lane) Lane 4: HEK-293 cell lysate (20 µg/Lane) Lane 5: U-2 OS cell lysate (20 µg/Lane) Lane 6: K-562 cell lysate (20 µg/Lane) Lane 7: Jurkat cell lysate (20 µg/Lane) Lane 8: HL-60 cell lysate (20 µg/Lane) Lane 9: Raji cell lysate (20 µg/Lane) Predicted band size: 107 kDa Observed band size: 107 kDa Exposure time: 1 minute 2 seconds; ECL: K1801; 4-20% SDS-PAGE gel. Proteins were transferred to a PVDF membrane and blocked with 5% NFDM/TBST for 1 hour at room temperature. The primary antibody (HA750729) at 1/1,000 dilution was used in 5% NFDM/TBST at room temperature for 2 hours. Goat Anti-Rabbit IgG - HRP Secondary Antibody (HA1001) at 1/50,000 dilution was used for 1 hour at room temperature.

Immunofluorescence analysis of paraffin-embedded human thyroid tissue labeling GANAB with Rabbit anti-GANAB antibody (HA750729) at 1/200 dilution. The section was pre-treated using heat mediated antigen retrieval with Tris-EDTA buffer (pH 9.0) for 20 minutes. The tissues were blocked in 10% negative goat serum for 1 hour at room temperature, washed with PBS, and then probed with the primary antibody (HA750729, green) at 1/200 dilution overnight at 4 ℃, washed with PBS. Goat Anti-Rabbit IgG H&L (iFluor™ 488, HA1121) was used as the secondary antibody at 1/1,000 dilution. Nuclei were counterstained with DAPI (blue).

Immunohistochemical analysis of paraffin-embedded human liver tissue with Rabbit anti-GANAB antibody (HA750729) at 1/1,000 dilution. The section was pre-treated using heat mediated antigen retrieval with Tris-EDTA buffer (pH 9.0) for 20 minutes. The tissues were blocked in 1% BSA for 20 minutes at room temperature, washed with ddH2O and PBS, and then probed with the primary antibody (HA750729) at 1/1,000 dilution for 1 hour at room temperature. The detection was performed using an HRP conjugated compact polymer system. DAB was used as the chromogen. Tissues were counterstained with hematoxylin and mounted with DPX.
quantity: 100μl
price: 649.00 USD
to the supplier
