Sign in
Sign up
home
>
HUABIO
> HUABIO FKHRL1 antibody
FOXO3A
HUABIO
catalog: ER1706-79
domestic rabbit polyclonal
reactivity:
human
,
mouse
application:
western blot
,
flow cytometry
,
immunohistochemistry - paraffin section
Western blot analysis of FOXO3A on different cell lysate using anti-FOXO3A antibody at 1/500 dilution. Positive control: Lane 1: SH-SY5Y Lane 2: K562
ICC staining FOXO3A in A431 cells (green). The nuclear counter stain is DAPI (blue). Cells were fixed in paraformaldehyde, permeabilised with 0.25% Triton X100/PBS.
ICC staining FOXO3A in LOVO cells (green). The nuclear counter stain is DAPI (blue). Cells were fixed in paraformaldehyde, permeabilised with 0.25% Triton X100/PBS.
quantity: 100μl
price: 330 USD
to the supplier
FOXO3A
HUABIO
catalog: ET1604-11
domestic rabbit monoclonal (SP0054)
reactivity:
human
,
mouse
,
rat
application:
western blot
Western blot analysis of FOXO3A on different lysates with Rabbit anti-FOXO3A antibody (ET1604-11) at 1/1,000 dilution. Lane 1: 293T cell lysate Lane 2: HEK-293 cell lysate Lane 3: Jurkat cell lysate Lane 4: SH-SY5Y cell lysate Lysates/proteins at 20 µg/Lane. Predicted band size: 71 kDa Observed band size: 82 kDa Exposure time: 46 seconds; ECL: K1801; 4-20% SDS-PAGE gel. Proteins were transferred to a PVDF membrane and blocked with 5% NFDM/TBST for 1 hour at room temperature. The primary antibody (ET1604-11) at 1/1,000 dilution was used in 5% NFDM/TBST at 4℃ overnight. Goat Anti-Rabbit IgG - HRP Secondary Antibody (HA1001) at 1:50,000 dilution was used for 1 hour at room temperature.
Immunocytochemistry analysis of MCF7 cells labeling FOXO3A with Rabbit anti-FOXO3A antibody (ET1604-11) at 1/100 dilution. Cells were fixed in 4% paraformaldehyde for 15 minutes at room temperature, permeabilized with 0.1% Triton X-100 in PBS for 15 minutes at room temperature, then blocked with 1% BSA in 10% negative goat serum for 1 hour at room temperature. Cells were then incubated with Rabbit anti-FOXO3A antibody (ET1604-11) at 1/100 dilution in 1% BSA in PBST overnight at 4 ℃. Goat Anti-Rabbit IgG H&L (iFluor™ 488, HA1121) was used as the secondary antibody at 1/1,000 dilution. PBS instead of the primary antibody was used as the secondary antibody only control. Nuclear DNA was labelled in blue with DAPI. Beta tubulin (M1305-2, red) was stained at 1/100 dilution overnight at +4℃. Goat Anti-Mouse IgG H&L (iFluor™ 594, HA1126) was used as the secondary antibody at 1/1,000 dilution.
quantity: 100μl
price: 385.00 USD
to the supplier
Phospho-FOXO3a (S253)
HUABIO
catalog: ET1609-49
domestic rabbit monoclonal (ST49-01)
reactivity:
human
,
mouse
,
rat
application:
western blot
,
flow cytometry
,
immunohistochemistry - paraffin section
Western blot analysis of Phospho-FOXO3a (S253) on different lysates with Rabbit anti-Phospho-FOXO3a (S253) antibody (ET1609-49) at 1/1,000 dilution. Lane 1: Hela cell lysate Lane 2: PC-12 cell lysate Lane 3: THP-1 cell lysate Lane 4: K562 cell lysate Lysates/proteins at 10 µg/Lane. Predicted band size: 71 kDa Observed band size: 100 kDa Exposure time: 1 minute; 8% SDS-PAGE gel. Proteins were transferred to a PVDF membrane and blocked with 5% NFDM/TBST for 1 hour at room temperature. The primary antibody (ET1609-49) at 1/1,000 dilution was used in 5% NFDM/TBST at room temperature for 2 hours. Goat Anti-Rabbit IgG - HRP Secondary Antibody (HA1001) at 1:300,000 dilution was used for 1 hour at room temperature.
Western blot analysis of Phospho-FOXO3a (S253) on different lysates with Rabbit anti-Phospho-FOXO3a (S253) antibody (ET1609-49) at 1/1,000 dilution. Lane 1: 293T whole cell lysate Lane 2: 293T treated with 50 uM LY294002 and 1 uM Wortmannin for 16 hours whole cell lysate Lysates/proteins at 15 µg/Lane. Predicted band size: 71 kDa Observed band size: 100 kDa Exposure time: 20 seconds; 4-20% SDS-PAGE gel. Proteins were transferred to a PVDF membrane and blocked with 5% NFDM/TBST for 1 hour at room temperature. The primary antibody (ET1609-49) at 1/1,000 dilution was used in 5% NFDM/TBST at room temperature for 2 hours. Goat Anti-Rabbit IgG - HRP Secondary Antibody (HA1001) at 1:200,000 dilution was used for 1 hour at room temperature.
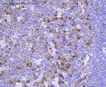
Immunohistochemical analysis of paraffin-embedded human tonsil tissue using anti-Phospho-FOXO3a (S253) antibody. The section was pre-treated using heat mediated antigen retrieval with Tris-EDTA buffer (pH 8.0-8.4) for 20 minutes.The tissues were blocked in 5% BSA for 30 minutes at room temperature, washed with ddH2O and PBS, and then probed with the primary antibody (ET1609-49, 1/50) for 30 minutes at room temperature. The detection was performed using an HRP conjugated compact polymer system. DAB was used as the chromogen. Tissues were counterstained with hematoxylin and mounted with DPX.
quantity: 100μl
price: 385.00 USD
to the supplier
Phospho-FOXO1A (T24)+ FOXO3A (T32)+ FOXO4 (T28)+ FOXO6 (T26)
HUABIO
catalog: HA722499
domestic rabbit monoclonal (PSH06-00)
reactivity:
human
,
mouse
application:
western blot
,
flow cytometry
Western blot analysis of Phospho-FOXO1A (T24)+ FOXO3A (T32)+ FOXO4 (T28)+ FOXO6 (T26) on different lysates with Rabbit anti-Phospho-FOXO1A (T24)+ FOXO3A (T32)+ FOXO4 (T28)+ FOXO6 (T26) antibody (HA722499) at 1/1,000 dilution. Lane 1: Jurkat cell lysate Lane 2: Jurkat treated with 20μM LY294002 for 2 hours cell lysate Lane 3: Jurkat treated with 100nM Calyculin A for 40 minutes cell lysate Lane 4: NIH/3T3 starved for 24 hours cell lysate Lane 5: NIH/3T3 starved for 24 hours then add 100nM Calyculin A for 30 minutes cell lysate Lysates/proteins at 20 µg/Lane. Observed band size: 55-150 kDa Exposure time: 20 seconds; ECL: K1801; 4-20% SDS-PAGE gel. Proteins were transferred to a PVDF membrane and blocked with 5% NFDM/TBST for 1 hour at room temperature. The primary antibody (HA722499) at 1/1,000 dilution was used in 5% NFDM/TBST at 4℃ overnight. Goat Anti-Rabbit IgG - HRP Secondary Antibody (HA1001) at 1/50,000 dilution was used for 1 hour at room temperature.
Flow cytometric analysis of Jurkat cells treated with 20μM LY294002 for 2 hours (left, negative) and Jurkat cells treated with 100nM Calyculin A for 40 minutes (right, positive) labeling Phospho-FOXO1A (T24)+ FOXO3A (T32)+ FOXO4 (T28)+ FOXO6 (T26). Cells were fixed and permeabilized. Then stained with the primary antibody (HA722499, 1/1,000) (red) compared with Rabbit IgG Isotype Control (green). After incubation of the primary antibody at +4℃ for an hour, the cells were stained with a iFluor™ 488 conjugate-Goat anti-Rabbit IgG Secondary antibody (HA1121) at 1/1,000 dilution for 30 minutes at +4℃. Unlabelled sample was used as a control (cells without incubation with primary antibody; black).
Immunocytochemistry analysis of Jurkat cells treated with 20μM LY294002 for 2 hours (upper, negative) and Jurkat cells treated with 100nM Calyculin A for 40 minutes (lower, positive) labeling Phospho-FOXO1A (T24)+ FOXO3A (T32)+ FOXO4 (T28)+ FOXO6 (T26) with Rabbit anti-Phospho-FOXO1A (T24)+ FOXO3A (T32)+ FOXO4 (T28)+ FOXO6 (T26) antibody (HA722499) at 1/1,000 dilution. Cells were fixed in 4% paraformaldehyde for 20 minutes at room temperature, permeabilized with 0.1% Triton X-100 in PBS for 5 minutes at room temperature, then blocked with 1% BSA in 10% negative goat serum for 1 hour at room temperature. Cells were then incubated with Rabbit anti-Phospho-FOXO1A (T24)+ FOXO3A (T32)+ FOXO4 (T28)+ FOXO6 (T26) antibody (HA722499) at 1/1,000 dilution in 1% BSA in PBST overnight at 4 ℃. Goat Anti-Rabbit IgG H&L (iFluor™ 488, HA1121) was used as the secondary antibody at 1/1,000 dilution. PBS instead of the primary antibody was used as the secondary antibody only control. Nuclear DNA was labelled in blue with DAPI. Beta tubulin (M1305-2, red) was stained at 1/100 dilution overnight at +4℃. Goat Anti-Mouse IgG H&L (iFluor™ 594, HA1126) was used as the secondary antibody at 1/1,000 dilution.
quantity: 100μl
price: 385.00 USD
to the supplier
Phospho-FOXO3a (S253)
HUABIO
catalog: HA750178
domestic rabbit monoclonal (ST49-01)
reactivity:
human
,
mouse
,
rat
application:
western blot
,
flow cytometry
,
immunohistochemistry - paraffin section
Western blot analysis of Phospho-FOXO3a (S253) on different lysates with Rabbit anti-Phospho-FOXO3a (S253) antibody (HA750178) at 1/1,000 dilution. Lane 1: Hela cell lysate Lane 2: PC-12 cell lysate Lane 3: THP-1 cell lysate Lane 4: K562 cell lysate Lysates/proteins at 10 µg/Lane. Predicted band size: 71 kDa Observed band size: 100 kDa Exposure time: 1 minute; 8% SDS-PAGE gel. Proteins were transferred to a PVDF membrane and blocked with 5% NFDM/TBST for 1 hour at room temperature. The primary antibody (HA750178) at 1/1,000 dilution was used in 5% NFDM/TBST at room temperature for 2 hours. Goat Anti-Rabbit IgG - HRP Secondary Antibody (HA1001) at 1:300,000 dilution was used for 1 hour at room temperature.
Western blot analysis of Phospho-FOXO3a (S253) on different lysates with Rabbit anti-Phospho-FOXO3a (S253) antibody (HA750178) at 1/1,000 dilution. Lane 1: 293T whole cell lysate Lane 2: 293T treated with 50 uM LY294002 and 1 uM Wortmannin for 16 hours whole cell lysate Lysates/proteins at 15 µg/Lane. Predicted band size: 71 kDa Observed band size: 100 kDa Exposure time: 20 seconds; 4-20% SDS-PAGE gel. Proteins were transferred to a PVDF membrane and blocked with 5% NFDM/TBST for 1 hour at room temperature. The primary antibody (HA750178) at 1/1,000 dilution was used in 5% NFDM/TBST at room temperature for 2 hours. Goat Anti-Rabbit IgG - HRP Secondary Antibody (HA1001) at 1:200,000 dilution was used for 1 hour at room temperature.
Immunohistochemical analysis of paraffin-embedded human tonsil tissue using anti-Phospho-FOXO3a (S253) antibody. The section was pre-treated using heat mediated antigen retrieval with Tris-EDTA buffer (pH 8.0-8.4) for 20 minutes.The tissues were blocked in 5% BSA for 30 minutes at room temperature, washed with ddH2O and PBS, and then probed with the primary antibody (HA750178, 1/50) for 30 minutes at room temperature. The detection was performed using an HRP conjugated compact polymer system. DAB was used as the chromogen. Tissues were counterstained with hematoxylin and mounted with DPX.
quantity: 100μl
price: 649.00 USD
to the supplier
Phospho-FOXO1A (T24)+ FOXO3A (T32)+ FOXO4 (T28)+ FOXO6 (T26)
HUABIO
catalog: HA751040
domestic rabbit monoclonal (PSH06-00)
reactivity:
human
,
mouse
application:
western blot
,
flow cytometry
Western blot analysis of Phospho-FOXO1A (T24)+ FOXO3A (T32)+ FOXO4 (T28)+ FOXO6 (T26) on different lysates with Rabbit anti-Phospho-FOXO1A (T24)+ FOXO3A (T32)+ FOXO4 (T28)+ FOXO6 (T26) antibody (HA751040) at 1/1,000 dilution. Lane 1: Jurkat cell lysate Lane 2: Jurkat treated with 20μM LY294002 for 2 hours cell lysate Lane 3: Jurkat treated with 100nM Calyculin A for 40 minutes cell lysate Lane 4: NIH/3T3 starved for 24 hours cell lysate Lane 5: NIH/3T3 starved for 24 hours then add 100nM Calyculin A for 30 minutes cell lysate Lysates/proteins at 20 µg/Lane. Observed band size: 55-150 kDa Exposure time: 20 seconds; ECL: K1801; 4-20% SDS-PAGE gel. Proteins were transferred to a PVDF membrane and blocked with 5% NFDM/TBST for 1 hour at room temperature. The primary antibody (HA751040) at 1/1,000 dilution was used in 5% NFDM/TBST at 4℃ overnight. Goat Anti-Rabbit IgG - HRP Secondary Antibody (HA1001) at 1/50,000 dilution was used for 1 hour at room temperature.
Flow cytometric analysis of Jurkat cells treated with 20μM LY294002 for 2 hours (left, negative) and Jurkat cells treated with 100nM Calyculin A for 40 minutes (right, positive) labeling Phospho-FOXO1A (T24)+ FOXO3A (T32)+ FOXO4 (T28)+ FOXO6 (T26). Cells were fixed and permeabilized. Then stained with the primary antibody (HA751040, 1/1,000) (red) compared with Rabbit IgG Isotype Control (green). After incubation of the primary antibody at +4℃ for an hour, the cells were stained with a iFluor™ 488 conjugate-Goat anti-Rabbit IgG Secondary antibody (HA1121) at 1/1,000 dilution for 30 minutes at +4℃. Unlabelled sample was used as a control (cells without incubation with primary antibody; black).
Immunocytochemistry analysis of Jurkat cells treated with 20μM LY294002 for 2 hours (upper, negative) and Jurkat cells treated with 100nM Calyculin A for 40 minutes (lower, positive) labeling Phospho-FOXO1A (T24)+ FOXO3A (T32)+ FOXO4 (T28)+ FOXO6 (T26) with Rabbit anti-Phospho-FOXO1A (T24)+ FOXO3A (T32)+ FOXO4 (T28)+ FOXO6 (T26) antibody (HA751040) at 1/1,000 dilution. Cells were fixed in 4% paraformaldehyde for 20 minutes at room temperature, permeabilized with 0.1% Triton X-100 in PBS for 5 minutes at room temperature, then blocked with 1% BSA in 10% negative goat serum for 1 hour at room temperature. Cells were then incubated with Rabbit anti-Phospho-FOXO1A (T24)+ FOXO3A (T32)+ FOXO4 (T28)+ FOXO6 (T26) antibody (HA751040) at 1/1,000 dilution in 1% BSA in PBST overnight at 4 ℃. Goat Anti-Rabbit IgG H&L (iFluor™ 488, HA1121) was used as the secondary antibody at 1/1,000 dilution. PBS instead of the primary antibody was used as the secondary antibody only control. Nuclear DNA was labelled in blue with DAPI. Beta tubulin (M1305-2, red) was stained at 1/100 dilution overnight at +4℃. Goat Anti-Mouse IgG H&L (iFluor™ 594, HA1126) was used as the secondary antibody at 1/1,000 dilution.
quantity: 100μl
price: 649.00 USD
to the supplier