Sign in
Sign up
home
>
HUABIO
> HUABIO ATF6 antibody
ATF6
HUABIO
catalog: EM1701-94
mouse monoclonal (8D3)
reactivity:
human
,
mouse
,
rat
application:
western blot
Western blot analysis of ATF6 on different lysates with Mouse anti-ATF6 antibody (EM1701-94) at 1/1,000 dilution. Lane 1: HeLa cell lysate (20 µg/Lane) Lane 2: Jurkat cell lysate (20 µg/Lane) Lane 3: RAW264.7 cell lysate (20 µg/Lane) Lane 4: PC-12 cell lysate (20 µg/Lane) Lane 5: Mouse brain tissue lysate (40 µg/Lane) Lane 6: Mouse kidney tissue lysate (40 µg/Lane) Predicted band size: 75 kDa Observed band size: 75 kDa Exposure time: 24 seconds; 4-20% SDS-PAGE gel. Proteins were transferred to a PVDF membrane and blocked with 5% NFDM/TBST for 1 hour at room temperature. The primary antibody (EM1701-94) at 1/1,000 dilution was used in 5% NFDM/TBST at 4℃ overnight. Goat Anti-Mouse IgG - HRP Secondary Antibody (HA1006) at 1/50,000 dilution was used for 1 hour at room temperature.
Immunocytochemistry analysis of HeLa cells labeling ATF6 with Mouse anti-ATF6 antibody (EM1701-94) at 1/100 dilution. Cells were fixed in 4% paraformaldehyde for 20 minutes at room temperature, permeabilized with 0.1% Triton X-100 in PBS for 5 minutes at room temperature, then blocked with 1% BSA in 10% negative goat serum for 1 hour at room temperature. Cells were then incubated with Mouse anti-ATF6 antibody (EM1701-94) at 1/100 dilution in 1% BSA in PBST overnight at 4 ℃. Goat Anti-Mouse IgG H&L (iFluor™ 488, HA1125) was used as the secondary antibody at 1/1,000 dilution. PBS instead of the primary antibody was used as the secondary antibody only control. Nuclear DNA was labelled in blue with DAPI. beta Tubulin (ET1602-4, red) was stained at 1/100 dilution overnight at +4℃. Goat Anti-Rabbit IgG H&L (iFluor™ 594, HA1122) were used as the secondary antibody at 1/1,000 dilution.
Immunocytochemistry analysis of PC-12 cells labeling ATF6 with Mouse anti-ATF6 antibody (EM1701-94) at 1/100 dilution. Cells were fixed in 4% paraformaldehyde for 20 minutes at room temperature, permeabilized with 0.1% Triton X-100 in PBS for 5 minutes at room temperature, then blocked with 1% BSA in 10% negative goat serum for 1 hour at room temperature. Cells were then incubated with Mouse anti-ATF6 antibody (EM1701-94) at 1/100 dilution in 1% BSA in PBST overnight at 4 ℃. Goat Anti-Mouse IgG H&L (iFluor™ 488, HA1125) was used as the secondary antibody at 1/1,000 dilution. PBS instead of the primary antibody was used as the secondary antibody only control. Nuclear DNA was labelled in blue with DAPI. beta Tubulin (ET1602-4, red) was stained at 1/100 dilution overnight at +4℃. Goat Anti-Rabbit IgG H&L (iFluor™ 594, HA1122) were used as the secondary antibody at 1/1,000 dilution.
quantity: 100μl
price: 360.00 USD
to the supplier
ATF6
HUABIO
catalog: ER1706-34
domestic rabbit polyclonal
reactivity:
human
,
rat
application:
western blot
,
flow cytometry
,
immunohistochemistry - paraffin section
Western blot analysis of ATF6 on Hela cell lysate using anti-ATF6 antibody at 1/500 dilution.
ICC staining ATF6 in HUVEC cells (green). The nuclear counter stain is DAPI (blue). Cells were fixed in paraformaldehyde, permeabilised with 0.25% Triton X100/PBS.
ICC staining ATF6 in A431 cells (green). The nuclear counter stain is DAPI (blue). Cells were fixed in paraformaldehyde, permeabilised with 0.25% Triton X100/PBS.
quantity: 100μl
price: 330 USD
to the supplier
ATF6
HUABIO
catalog: HA601321
mouse monoclonal (8D3-R)
reactivity:
human
,
mouse
,
rat
application:
western blot
Western blot analysis of ATF6 on different lysates with Mouse anti-ATF6 antibody (HA601321) at 1/1,000 dilution. Lane 1: HeLa cell lysate (20 µg/Lane) Lane 2: Jurkat cell lysate (20 µg/Lane) Lane 3: RAW264.7 cell lysate (20 µg/Lane) Lane 4: PC-12 cell lysate (20 µg/Lane) Lane 5: Mouse brain tissue lysate (40 µg/Lane) Lane 6: Mouse kidney tissue lysate (40 µg/Lane) Predicted band size: 75 kDa Observed band size: 75 kDa Exposure time: 1 minute 21 seconds; 4-20% SDS-PAGE gel. Proteins were transferred to a PVDF membrane and blocked with 5% NFDM/TBST for 1 hour at room temperature. The primary antibody (HA601321) at 1/1,000 dilution was used in 5% NFDM/TBST at 4℃ overnight. Goat Anti-Mouse IgG - HRP Secondary Antibody (HA1006) at 1/50,000 dilution was used for 1 hour at room temperature.
Immunocytochemistry analysis of HeLa cells labeling ATF6 with Mouse anti-ATF6 antibody (HA601321) at 1/100 dilution. Cells were fixed in 4% paraformaldehyde for 20 minutes at room temperature, permeabilized with 0.1% Triton X-100 in PBS for 5 minutes at room temperature, then blocked with 1% BSA in 10% negative goat serum for 1 hour at room temperature. Cells were then incubated with Mouse anti-ATF6 antibody (HA601321) at 1/100 dilution in 1% BSA in PBST overnight at 4 ℃. Goat Anti-Mouse IgG H&L (iFluor™ 488, HA1125) was used as the secondary antibody at 1/1,000 dilution. PBS instead of the primary antibody was used as the secondary antibody only control. Nuclear DNA was labelled in blue with DAPI. beta Tubulin (ET1602-4, red) was stained at 1/100 dilution overnight at +4℃. Goat Anti-Rabbit IgG H&L (iFluor™ 594, HA1122) were used as the secondary antibody at 1/1,000 dilution.
Western blot analysis of ATF6 on different lysates with Mouse anti-ATF6 antibody (HA601321) at 1/2,000 dilution. Lane 1: A549-WT cell lysate Lane 2: A549-KD ATF6 cell lysate Lysates/proteins at 10 µg/Lane. Predicted band size: 75 kDa Observed band size: 75 kDa Exposure time: 11 seconds; ECL: K1801; 4-20% SDS-PAGE gel. Proteins were transferred to a PVDF membrane and blocked with 5% NFDM/TBST for 1 hour at room temperature. The primary antibody (HA601321) at 1/2,000 dilution was used in 5% NFDM/TBST at 4℃ overnight. Goat Anti-Mouse IgG - HRP Secondary Antibody (HA1006) at 1/50,000 dilution was used for 1 hour at room temperature.
quantity: 100μl
price: 360.00 USD
to the supplier
ATF6
HUABIO
catalog: HA610193
mouse monoclonal (8D3-R)
reactivity:
human
,
mouse
,
rat
application:
western blot
Western blot analysis of ATF6 on different lysates with Mouse anti-ATF6 antibody (HA610193) at 1/1,000 dilution. Lane 1: HeLa cell lysate (20 µg/Lane) Lane 2: Jurkat cell lysate (20 µg/Lane) Lane 3: RAW264.7 cell lysate (20 µg/Lane) Lane 4: PC-12 cell lysate (20 µg/Lane) Lane 5: Mouse brain tissue lysate (40 µg/Lane) Lane 6: Mouse kidney tissue lysate (40 µg/Lane) Predicted band size: 75 kDa Observed band size: 75 kDa Exposure time: 1 minute 21 seconds; 4-20% SDS-PAGE gel. Proteins were transferred to a PVDF membrane and blocked with 5% NFDM/TBST for 1 hour at room temperature. The primary antibody (HA610193) at 1/1,000 dilution was used in 5% NFDM/TBST at 4℃ overnight. Goat Anti-Mouse IgG - HRP Secondary Antibody (HA1006) at 1/50,000 dilution was used for 1 hour at room temperature.
Immunocytochemistry analysis of HeLa cells labeling ATF6 with Mouse anti-ATF6 antibody (HA610193) at 1/100 dilution. Cells were fixed in 4% paraformaldehyde for 20 minutes at room temperature, permeabilized with 0.1% Triton X-100 in PBS for 5 minutes at room temperature, then blocked with 1% BSA in 10% negative goat serum for 1 hour at room temperature. Cells were then incubated with Mouse anti-ATF6 antibody (HA610193) at 1/100 dilution in 1% BSA in PBST overnight at 4 ℃. Goat Anti-Mouse IgG H&L (iFluor™ 488, HA1125) was used as the secondary antibody at 1/1,000 dilution. PBS instead of the primary antibody was used as the secondary antibody only control. Nuclear DNA was labelled in blue with DAPI. beta Tubulin (ET1602-4, red) was stained at 1/100 dilution overnight at +4℃. Goat Anti-Rabbit IgG H&L (iFluor™ 594, HA1122) were used as the secondary antibody at 1/1,000 dilution.
Western blot analysis of ATF6 on different lysates with Mouse anti-ATF6 antibody (HA610193) at 1/2,000 dilution. Lane 1: A549-WT cell lysate Lane 2: A549-KD ATF6 cell lysate Lysates/proteins at 10 µg/Lane. Predicted band size: 75 kDa Observed band size: 75 kDa Exposure time: 11 seconds; ECL: K1801; 4-20% SDS-PAGE gel. Proteins were transferred to a PVDF membrane and blocked with 5% NFDM/TBST for 1 hour at room temperature. The primary antibody (HA610193) at 1/2,000 dilution was used in 5% NFDM/TBST at 4℃ overnight. Goat Anti-Mouse IgG - HRP Secondary Antibody (HA1006) at 1/50,000 dilution was used for 1 hour at room temperature.
quantity: 100μg
price: 649.00 USD
to the supplier
ATF6
HUABIO
catalog: HA722722
domestic rabbit monoclonal (PSH06-59)
reactivity:
human
,
mouse
,
rat
application:
western blot
,
chromatin immunoprecipitation
,
immunohistochemistry - paraffin section
Western blot analysis of ATF6 on different lysates with Rabbit anti-ATF6 antibody (HA722722) at 1/1,000 dilution. Lane 1: HeLa cell lysate Lane 2: A431 cell lysate Lane 3: HUVEC cell lysate Lane 4: 293T cell lysate Lane 5: HepG2 cell lysate Lane 6: RAW264.7 cell lysate Lane 7: PC-12 cell lysate Lane 8: Mouse pancreas tissue lysate Lane 9: Mouse kidney tissue lysate Lane 10: Rat pancreas tissue lysate Lane 11: Rat kidney tissue lysate Lysates/proteins at 20 µg/Lane. Predicted band size: 75 kDa Observed band size: 100-110 kDa Exposure time: 2 minutes; ECL: K1801; 4-20% SDS-PAGE gel. Proteins were transferred to a PVDF membrane and blocked with 5% NFDM/TBST for 1 hour at room temperature. The primary antibody (HA722722) at 1/1,000 dilution was used in 5% NFDM/TBST at 4℃ overnight. Goat Anti-Rabbit IgG - HRP Secondary Antibody (HA1001) at 1/50,000 dilution was used for 1 hour at room temperature.
Immunohistochemical analysis of paraffin-embedded rat pancreas tissue with Rabbit anti-ATF6 antibody (HA722722) at 1/1,000 dilution. The section was pre-treated using heat mediated antigen retrieval with Tris-EDTA buffer (pH 9.0) for 20 minutes. The tissues were blocked in 1% BSA for 20 minutes at room temperature, washed with ddH2O and PBS, and then probed with the primary antibody (HA722722) at 1/1,000 dilution for 1 hour at room temperature. The detection was performed using an HRP conjugated compact polymer system. DAB was used as the chromogen. Tissues were counterstained with hematoxylin and mounted with DPX.
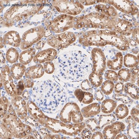
Immunohistochemical analysis of paraffin-embedded rat kidney tissue with Rabbit anti-ATF6 antibody (HA722722) at 1/200 dilution. The section was pre-treated using heat mediated antigen retrieval with Tris-EDTA buffer (pH 9.0) for 20 minutes. The tissues were blocked in 1% BSA for 20 minutes at room temperature, washed with ddH2O and PBS, and then probed with the primary antibody (HA722722) at 1/200 dilution for 1 hour at room temperature. The detection was performed using an HRP conjugated compact polymer system. DAB was used as the chromogen. Tissues were counterstained with hematoxylin and mounted with DPX.
quantity: 100μl
price: 385.00 USD
to the supplier
ATF6
HUABIO
catalog: HA751087
domestic rabbit monoclonal (PSH06-59)
reactivity:
human
,
mouse
,
rat
application:
western blot
,
chromatin immunoprecipitation
,
immunohistochemistry - paraffin section
Western blot analysis of ATF6 on different lysates with Rabbit anti-ATF6 antibody (HA751087) at 1/1,000 dilution. Lane 1: HeLa cell lysate Lane 2: A431 cell lysate Lane 3: HUVEC cell lysate Lane 4: 293T cell lysate Lane 5: HepG2 cell lysate Lane 6: RAW264.7 cell lysate Lane 7: PC-12 cell lysate Lane 8: Mouse pancreas tissue lysate Lane 9: Mouse kidney tissue lysate Lane 10: Rat pancreas tissue lysate Lane 11: Rat kidney tissue lysate Lysates/proteins at 20 µg/Lane. Predicted band size: 75 kDa Observed band size: 100-110 kDa Exposure time: 2 minutes; ECL: K1801; 4-20% SDS-PAGE gel. Proteins were transferred to a PVDF membrane and blocked with 5% NFDM/TBST for 1 hour at room temperature. The primary antibody (HA751087) at 1/1,000 dilution was used in 5% NFDM/TBST at 4℃ overnight. Goat Anti-Rabbit IgG - HRP Secondary Antibody (HA1001) at 1/50,000 dilution was used for 1 hour at room temperature.
Immunohistochemical analysis of paraffin-embedded rat pancreas tissue with Rabbit anti-ATF6 antibody (HA751087) at 1/1,000 dilution. The section was pre-treated using heat mediated antigen retrieval with Tris-EDTA buffer (pH 9.0) for 20 minutes. The tissues were blocked in 1% BSA for 20 minutes at room temperature, washed with ddH2O and PBS, and then probed with the primary antibody (HA751087) at 1/1,000 dilution for 1 hour at room temperature. The detection was performed using an HRP conjugated compact polymer system. DAB was used as the chromogen. Tissues were counterstained with hematoxylin and mounted with DPX.
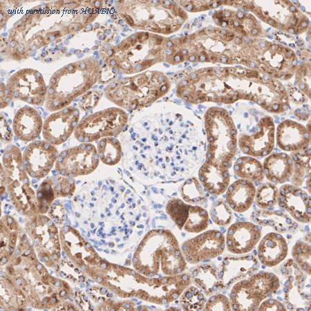
Immunohistochemical analysis of paraffin-embedded rat kidney tissue with Rabbit anti-ATF6 antibody (HA751087) at 1/200 dilution. The section was pre-treated using heat mediated antigen retrieval with Tris-EDTA buffer (pH 9.0) for 20 minutes. The tissues were blocked in 1% BSA for 20 minutes at room temperature, washed with ddH2O and PBS, and then probed with the primary antibody (HA751087) at 1/200 dilution for 1 hour at room temperature. The detection was performed using an HRP conjugated compact polymer system. DAB was used as the chromogen. Tissues were counterstained with hematoxylin and mounted with DPX.
quantity: 100μl
price: 649.00 USD
to the supplier