domestic rabbit polyclonal
reactivity: human, mouse
application: western blot, flow cytometry, immunohistochemistry - paraffin section
reactivity: human, mouse
application: western blot, flow cytometry, immunohistochemistry - paraffin section

Western blot analysis of Fibrinogen on mouse bone marrow and human kidney tissue lysates using anti-Fibrinogen antibody at 1/500 dilution.

ICC staining Fibrinogen in NIH-3T3 cells (green). The nuclear counter stain is DAPI (blue). Cells were fixed in paraformaldehyde, permeabilised with 0.25% Triton X100/PBS.

ICC staining Fibrinogen in A549 cells (green). The nuclear counter stain is DAPI (blue). Cells were fixed in paraformaldehyde, permeabilised with 0.25% Triton X100/PBS.
quantity: 100μl
price: 330 USD
to the supplier
domestic rabbit monoclonal (JG37-18)
reactivity: human
application: western blot, flow cytometry, immunohistochemistry - paraffin section
reactivity: human
application: western blot, flow cytometry, immunohistochemistry - paraffin section

Western blot analysis of Fibrinogen gamma chain on human plasma lysates lysates with Rabbit anti-Fibrinogen gamma chain antibody (ET7108-46) at 1/500 dilution. Lysates/proteins at 20 µg/Lane. Predicted band size: 52 kDa Observed band size: 55 kDa Exposure time: 2 minutes; 10% SDS-PAGE gel. Proteins were transferred to a PVDF membrane and blocked with 5% NFDM/TBST for 1 hour at room temperature. The primary antibody (ET7108-46) at 1/500 dilution was used in 5% NFDM/TBST at room temperature for 2 hours. Goat Anti-Rabbit IgG - HRP Secondary Antibody (HA1001) at 1:200,000 dilution was used for 1 hour at room temperature.

Immunohistochemical analysis of paraffin-embedded human colon tissue with Rabbit anti-Fibrinogen gamma chain antibody (ET7108-46) at 1/50 dilution. The section was pre-treated using heat mediated antigen retrieval with Tris-EDTA buffer (pH 9.0) for 20 minutes. The tissues were blocked in 1% BSA for 20 minutes at room temperature, washed with ddH2O and PBS, and then probed with the primary antibody (ET7108-46) at 1/50 dilution for 1 hour at room temperature. The detection was performed using an HRP conjugated compact polymer system. DAB was used as the chromogen. Tissues were counterstained with hematoxylin and mounted with DPX.

Flow cytometric analysis of Fibrinogen gamma chain was done on HepG2 cells. The cells were fixed, permeabilized and stained with the primary antibody (ET7108-46, 1/50) (purple). After incubation of the primary antibody at room temperature for an hour, the cells were stained with a Alexa Fluor®488 conjugate-Goat anti-Rabbit IgG Secondary antibody at 1/1000 dilution for 30 minutes.Unlabelled sample was used as a control (cells without incubation with primary antibody; yellow).
quantity: 100μl
price: 385.00 USD
to the supplier
mouse monoclonal (D5-B3)
reactivity: human
application: western blot, immunohistochemistry - paraffin section
reactivity: human
application: western blot, immunohistochemistry - paraffin section

Western blot analysis of Fibrinogen on HepG2 cell lysate. Proteins were transferred to a PVDF membrane and blocked with 5% BSA in PBS for 1 hour at room temperature. The primary antibody (M1510-11, 1/100) was used in 5% BSA at room temperature for 2 hours. Goat Anti-Mouse IgG - HRP Secondary Antibody (HA1006) at 1:5,000 dilution was used for 1 hour at room temperature.

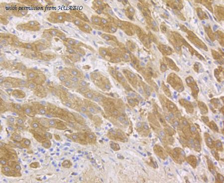
Immunohistochemical analysis of paraffin-embedded human liver tissue using anti-Fibrinogen antibody. The section was pre-treated using heat mediated antigen retrieval with Tris-EDTA buffer (pH 8.0-8.4) for 20 minutes.The tissues were blocked in 5% BSA for 30 minutes at room temperature, washed with ddH2O and PBS, and then probed with the antibody (M1510-11) at 1/50 dilution, for 30 minutes at room temperature and detected using an HRP conjugated compact polymer system. DAB was used as the chromogen. Counter stained with hematoxylin and mounted with DPX.

Immunohistochemical analysis of paraffin-embedded human placenta tissue using anti-Fibrinogen antibody. The section was pre-treated using heat mediated antigen retrieval with Tris-EDTA buffer (pH 8.0-8.4) for 20 minutes.The tissues were blocked in 5% BSA for 30 minutes at room temperature, washed with ddH2O and PBS, and then probed with the antibody (M1510-11) at 1/50 dilution, for 30 minutes at room temperature and detected using an HRP conjugated compact polymer system. DAB was used as the chromogen. Counter stained with hematoxylin and mounted with DPX.
quantity: 100μl
price: 360.00 USD
to the supplier
mouse monoclonal (11-B3-D8)
reactivity: human
application: western blot, ELISA, immunohistochemistry - paraffin section
reactivity: human
application: western blot, ELISA, immunohistochemistry - paraffin section

1. High specificity Due to their recognition of only one epitope, mAbs are best known for their high specificity. Producing highly specific monoclonal antibodies supplies researchers with the benefits of improved target identification and less background signal. 2. Batch-to-batch reproducibility Since a monoclonal antibody is made by cloning a unique while blood cell. All subsequent products developed from this antibody trace back to its original, unique parent cell. This makes for great batch-to-batch reproducibility. 3. Guaranteed long term supply Hybridoma serves as a continuous source of monoclonal antibody.
quantity: 100μl
price: 360.00 USD
to the supplier
mouse monoclonal (1-A7)
reactivity: human
application: western blot, ELISA, immunohistochemistry - paraffin section
reactivity: human
application: western blot, ELISA, immunohistochemistry - paraffin section

1. High specificity Due to their recognition of only one epitope, mAbs are best known for their high specificity. Producing highly specific monoclonal antibodies supplies researchers with the benefits of improved target identification and less background signal. 2. Batch-to-batch reproducibility Since a monoclonal antibody is made by cloning a unique while blood cell. All subsequent products developed from this antibody trace back to its original, unique parent cell. This makes for great batch-to-batch reproducibility. 3. Guaranteed long term supply Hybridoma serves as a continuous source of monoclonal antibody.
quantity: 100μl
price: 360.00 USD
to the supplier
