Sign in
Sign up
home
>
HUABIO
> HUABIO Uchl1 antibody
PGP9.5
HUABIO
catalog: EM1701-86
mouse monoclonal (B1-5-6)
reactivity:
human
,
mouse
,
rat
application:
western blot
,
flow cytometry
,
immunohistochemistry - paraffin section
Western blot analysis of PGP9.5 on different lysates with Mouse anti-PGP9.5 antibody (EM1701-86) at 1/2,000 dilution. Lane 1: A-172 cell lysate (20 µg/Lane) Lane 2: SHG-44 cell lysate (20 µg/Lane) Lane 3: U-87 MG cell lysate (20 µg/Lane) Lane 4: SH-SY5Y cell lysate (20 µg/Lane) Lane 5: NCI-H1299 cell lysate (20 µg/Lane) Lane 6: A549 cell lysate (20 µg/Lane) Lane 7: 293T cell lysate (20 µg/Lane) Lane 8: LNCaP cell lysate (negative) (20 µg/Lane) Lane 9: K-562 cell lysate (negative) (20 µg/Lane) Lane 10: Neuro-2a cell lysate (20 µg/Lane) Lane 11: C6 cell lysate (20 µg/Lane) Lane 12: PC-12 cell lysate (20 µg/Lane) Lane 13: Mouse brain tissue lysate (20 µg/Lane) Lane 14: Rat brain tissue lysate (20 µg/Lane) Predicted band size: 25 kDa Observed band size: 25 kDa Exposure time: 1 minute 50 seconds; ECL: K1801; 4-20% SDS-PAGE gel. Proteins were transferred to a PVDF membrane and blocked with 5% NFDM/TBST for 1 hour at room temperature. The primary antibody (EM1701-86) at 1/2,000 dilution was used in 5% NFDM/TBST at 4℃ overnight. Goat Anti-Mouse IgG - HRP Secondary Antibody (HA1006) at 1/50,000 dilution was used for 1 hour at room temperature.
Western blot analysis of PGP9.5 on different lysates with Mouse anti-PGP9.5 antibody (EM1701-86) at 1/2,000 dilution. Lane 1: A549-si NT cell lysate (10 µg/Lane) Lane 2: A549-si PGP9.5 cell lysate (10 µg/Lane) Predicted band size: 25 kDa Observed band size: 25 kDa Exposure time: 30 seconds; ECL: K1802; 4-20% SDS-PAGE gel. Proteins were transferred to a PVDF membrane and blocked with 5% NFDM/TBST for 1 hour at room temperature. The primary antibody (EM1701-86) at 1/2,000 dilution was used in 5% NFDM/TBST at 4℃ overnight. Goat Anti-Mouse IgG - HRP Secondary Antibody (HA1006) at 1/50,000 dilution was used for 1 hour at room temperature.
Immunocytochemistry analysis of Neuro-2a cells labeling PGP9.5 with Mouse anti-PGP9.5 antibody (EM1701-86) at 1/100 dilution. Cells were fixed in 4% paraformaldehyde for 20 minutes at room temperature, permeabilized with 0.1% Triton X-100 in PBS for 5 minutes at room temperature, then blocked with 1% BSA in 10% negative goat serum for 1 hour at room temperature. Cells were then incubated with Mouse anti-PGP9.5 antibody (EM1701-86) at 1/100 dilution in 1% BSA in PBST overnight at 4 ℃. Goat Anti-Mouse IgG H&L (iFluor™ 488, HA1125) was used as the secondary antibody at 1/1,000 dilution. PBS instead of the primary antibody was used as the secondary antibody only control. Nuclear DNA was labelled in blue with DAPI. beta Tubulin (ET1602-4, red) was stained at 1/100 dilution overnight at +4℃. Goat Anti-Rabbit IgG H&L (iFluor™ 594, HA1122) was used as the secondary antibody at 1/1,000 dilution.
quantity: 100μl
price: 360.00 USD
to the supplier
PGP9.5
HUABIO
catalog: ET1702-83
domestic rabbit monoclonal (JF93-08)
reactivity:
human
,
mouse
,
rat
application:
western blot
,
immunoprecipitation
,
immunohistochemistry - paraffin section
Western blot analysis of PGP9.5 on different lysates with Rabbit anti-PGP9.5 antibody (ET1702-83) at 1/1,000 dilution. Lane 1: A549-si NT cell lysate Lane 2: A549-si PGP9.5 cell lysate Lysates/proteins at 10 µg/Lane. Predicted band size: 25 kDa Observed band size: 25 kDa Exposure time: 3 minutes; ECL: K1802; 4-20% SDS-PAGE gel. Proteins were transferred to a PVDF membrane and blocked with 5% NFDM/TBST for 1 hour at room temperature. The primary antibody (ET1702-83) at 1/1,000 dilution was used in 5% NFDM/TBST at 4℃ overnight. Goat Anti-Rabbit IgG - HRP Secondary Antibody (HA1001) at 1/50,000 dilution was used for 1 hour at room temperature.
ICC staining of PGP9.5 in PC-3M cells (red). Formalin fixed cells were permeabilized with 0.1% Triton X-100 in TBS for 10 minutes at room temperature and blocked with 1% Blocker BSA for 15 minutes at room temperature. Cells were probed with the primary antibody (ET1702-83, 1/50) for 1 hour at room temperature, washed with PBS. Alexa Fluor®594 Goat anti-Rabbit IgG was used as the secondary antibody at 1/1,000 dilution. The nuclear counter stain is DAPI (blue).
ICC staining of PGP9.5 in Hela cells (red). Formalin fixed cells were permeabilized with 0.1% Triton X-100 in TBS for 10 minutes at room temperature and blocked with 1% Blocker BSA for 15 minutes at room temperature. Cells were probed with the primary antibody (ET1702-83, 1/50) for 1 hour at room temperature, washed with PBS. Alexa Fluor®594 Goat anti-Rabbit IgG was used as the secondary antibody at 1/1,000 dilution. The nuclear counter stain is DAPI (blue).
quantity: 100μl
price: 385.00 USD
to the supplier
PGP9.5
HUABIO
catalog: ET1703-22-50UL
domestic rabbit monoclonal (JM10-59)
reactivity:
human
,
mouse
,
rat
application:
western blot
,
immunoprecipitation
,
flow cytometry
,
immunohistochemistry - paraffin section
,
immunohistochemistry - frozen section
Western blot analysis of PGP9.5 on different lysates with Rabbit anti-PGP9.5 antibody (ET1703-22) at 1/2,000 dilution. Lane 1: A-172 cell lysate (20 µg/Lane) Lane 2: SHG-44 cell lysate (20 µg/Lane) Lane 3: U-87 MG cell lysate (20 µg/Lane) Lane 4: SH-SY5Y cell lysate (20 µg/Lane) Lane 5: NCI-H1299 cell lysate (20 µg/Lane) Lane 6: A549 cell lysate (20 µg/Lane) Lane 7: 293T cell lysate (20 µg/Lane) Lane 8: Neuro-2a cell lysate (20 µg/Lane) Lane 9: C6 cell lysate (20 µg/Lane) Lane 10: PC-12 cell lysate (20 µg/Lane) Lane 11: Mouse brain tissue lysate (30 µg/Lane) Lane 12: Rat brain tissue lysate (30 µg/Lane) Lane 13: LNCaP cell lysate (negative) (20 µg/Lane) Lane 14: K-562 cell lysate (negative) (20 µg/Lane) Predicted band size: 25 kDa Observed band size: 25 kDa Exposure time: 7 seconds; ECL: K1801; 4-20% SDS-PAGE gel. Proteins were transferred to a PVDF membrane and blocked with 5% NFDM/TBST for 1 hour at room temperature. The primary antibody (ET1703-22) at 1/2,000 dilution was used in 5% NFDM/TBST at 4℃ overnight. Goat Anti-Rabbit IgG - HRP Secondary Antibody (HA1001) at 1/50,000 dilution was used for 1 hour at room temperature.
Western blot analysis of PGP9.5 on different lysates with Rabbit anti-PGP9.5 antibody (ET1703-22) at 1/5,000 dilution. Lane 1: A549-si NT cell lysate (10 µg/Lane) Lane 2: A549-si PGP9.5 cell lysate (10 µg/Lane) Predicted band size: 25 kDa Observed band size: 25 kDa Exposure time: 3 seconds; ECL: K1801; 4-20% SDS-PAGE gel. Proteins were transferred to a PVDF membrane and blocked with 5% NFDM/TBST for 1 hour at room temperature. The primary antibody (ET1703-22) at 1/5,000 dilution was used in 5% NFDM/TBST at 4℃ overnight. Goat Anti-Rabbit IgG - HRP Secondary Antibody (HA1001) at 1/50,000 dilution was used for 1 hour at room temperature.
Immunohistochemical analysis of paraffin-embedded human appendix tissue with Rabbit anti-PGP9.5 antibody (ET1703-22) at 1/5,000 dilution. The section was pre-treated using heat mediated antigen retrieval with Tris-EDTA buffer (pH 9.0) for 20 minutes. The tissues were blocked in 1% BSA for 20 minutes at room temperature, washed with ddH2O and PBS, and then probed with the primary antibody (ET1703-22) at 1/5,000 dilution for 1 hour at room temperature. The detection was performed using an HRP conjugated compact polymer system. DAB was used as the chromogen. Tissues were counterstained with hematoxylin and mounted with DPX.
quantity: 50μl
price: 205.00 USD
to the supplier
PGP9.5
HUABIO
catalog: HA723585
domestic rabbit monoclonal (PSH13-92)
reactivity:
human
,
mouse
,
rat
application:
western blot
,
flow cytometry
,
immunohistochemistry - paraffin section
Western blot analysis of PGP9.5 on different lysates with Rabbit anti-PGP9.5 antibody (HA723585) at 1/5,000 dilution. Lane 1: A549 cell lysate Lane 2: LNCaP cell lysate (negative) Lane 3: DU145 cell lysate Lane 4: SH-SY5Y cell lysate Lane 5: Neuro-2a cell lysate Lane 6: C6 cell lysate Lysates/proteins at 20 µg/Lane. Predicted band size: 25 kDa Observed band size: 27 kDa Exposure time: 2 seconds; ECL: K1801; 4-20% SDS-PAGE gel. Proteins were transferred to a PVDF membrane and blocked with 5% NFDM/TBST for 1 hour at room temperature. The primary antibody (HA723585) at 1/5,000 dilution was used in primary antibody dilution (K1803) at 4℃ overnight. Goat Anti-Rabbit IgG - HRP Secondary Antibody (HA1001) at 1/50,000 dilution was used for 1 hour at room temperature.
Immunocytochemistry analysis of A549 (positive) and LNCaP (negative) labeling PGP9.5 with Rabbit anti-PGP9.5 antibody (HA723585) at 1/500 dilution. Cells were fixed in 4% paraformaldehyde for 15 minutes at room temperature, permeabilized with 0.1% Triton X-100 in PBS for 15 minutes at room temperature, then blocked with 1% BSA in 10% negative goat serum for 1 hour at room temperature. Cells were then incubated with Rabbit anti-PGP9.5 antibody (HA723585) at 1/500 dilution in 1% BSA in PBST overnight at 4 ℃. Goat Anti-Rabbit IgG H&L (iFluor™ 488, HA1121) was used as the secondary antibody at 1/1,000 dilution. PBS instead of the primary antibody was used as the secondary antibody only control. Nuclear DNA was labelled in blue with DAPI. Beta tubulin (HA601187, red) was stained at 1/100 dilution overnight at +4℃. Goat Anti-Mouse IgG H&L (iFluor™ 594, HA1126) was used as the secondary antibody at 1/1,000 dilution.
Immunocytochemistry analysis of Neuro-2a cells labeling PGP9.5 with Rabbit anti-PGP9.5 antibody (HA723585) at 1/250 dilution. Cells were fixed in 4% paraformaldehyde for 15 minutes at room temperature, permeabilized with 0.1% Triton X-100 in PBS for 15 minutes at room temperature, then blocked with 1% BSA in 10% negative goat serum for 1 hour at room temperature. Cells were then incubated with Rabbit anti-PGP9.5 antibody (HA723585) at 1/250 dilution in 1% BSA in PBST overnight at 4 ℃. Goat Anti-Rabbit IgG H&L (iFluor™ 488, HA1121) was used as the secondary antibody at 1/1,000 dilution. PBS instead of the primary antibody was used as the secondary antibody only control. Nuclear DNA was labelled in blue with DAPI. Beta tubulin (HA601187, red) was stained at 1/100 dilution overnight at +4℃. Goat Anti-Mouse IgG H&L (iFluor™ 594, HA1126) was used as the secondary antibody at 1/1,000 dilution.
quantity: 100μl
price: 385.00 USD
to the supplier
PGP9.5
HUABIO
catalog: HA750375
domestic rabbit monoclonal (JM10-59)
reactivity:
human
,
mouse
,
rat
application:
western blot
,
immunoprecipitation
,
flow cytometry
,
immunohistochemistry - paraffin section
,
immunohistochemistry - frozen section
Western blot analysis of PGP9.5 on different lysates with Rabbit anti-PGP9.5 antibody (HA750375) at 1/2,000 dilution. Lane 1: A-172 cell lysate (20 µg/Lane) Lane 2: SHG-44 cell lysate (20 µg/Lane) Lane 3: U-87 MG cell lysate (20 µg/Lane) Lane 4: SH-SY5Y cell lysate (20 µg/Lane) Lane 5: NCI-H1299 cell lysate (20 µg/Lane) Lane 6: A549 cell lysate (20 µg/Lane) Lane 7: 293T cell lysate (20 µg/Lane) Lane 8: Neuro-2a cell lysate (20 µg/Lane) Lane 9: C6 cell lysate (20 µg/Lane) Lane 10: PC-12 cell lysate (20 µg/Lane) Lane 11: Mouse brain tissue lysate (30 µg/Lane) Lane 12: Rat brain tissue lysate (30 µg/Lane) Lane 13: LNCaP cell lysate (negative) (20 µg/Lane) Lane 14: K-562 cell lysate (negative) (20 µg/Lane) Predicted band size: 25 kDa Observed band size: 25 kDa Exposure time: 7 seconds; ECL: K1801; 4-20% SDS-PAGE gel. Proteins were transferred to a PVDF membrane and blocked with 5% NFDM/TBST for 1 hour at room temperature. The primary antibody (HA750375) at 1/2,000 dilution was used in 5% NFDM/TBST at 4℃ overnight. Goat Anti-Rabbit IgG - HRP Secondary Antibody (HA1001) at 1/50,000 dilution was used for 1 hour at room temperature.
Western blot analysis of PGP9.5 on different lysates with Rabbit anti-PGP9.5 antibody (HA750375) at 1/5,000 dilution. Lane 1: A549-si NT cell lysate (10 µg/Lane) Lane 2: A549-si PGP9.5 cell lysate (10 µg/Lane) Predicted band size: 25 kDa Observed band size: 25 kDa Exposure time: 3 seconds; ECL: K1801; 4-20% SDS-PAGE gel. Proteins were transferred to a PVDF membrane and blocked with 5% NFDM/TBST for 1 hour at room temperature. The primary antibody (HA750375) at 1/5,000 dilution was used in 5% NFDM/TBST at 4℃ overnight. Goat Anti-Rabbit IgG - HRP Secondary Antibody (HA1001) at 1/50,000 dilution was used for 1 hour at room temperature.
Immunohistochemical analysis of paraffin-embedded human appendix tissue with Rabbit anti-PGP9.5 antibody (HA750375) at 1/5,000 dilution. The section was pre-treated using heat mediated antigen retrieval with Tris-EDTA buffer (pH 9.0) for 20 minutes. The tissues were blocked in 1% BSA for 20 minutes at room temperature, washed with ddH2O and PBS, and then probed with the primary antibody (HA750375) at 1/5,000 dilution for 1 hour at room temperature. The detection was performed using an HRP conjugated compact polymer system. DAB was used as the chromogen. Tissues were counterstained with hematoxylin and mounted with DPX.
quantity: 100μl
price: 649.00 USD
to the supplier
PGP9.5
HUABIO
catalog: R1511-8
domestic rabbit polyclonal
reactivity:
human
,
mouse
,
rat
application:
western blot
,
flow cytometry
,
immunohistochemistry - paraffin section
Western blot analysis of PGP9.5 on different lysates with Rabbit anti-PGP9.5 antibody (R1511-8) at 1/1,000 dilution. Lane 1: A549-si NT cell lysate Lane 2: A549-si PGP9.5 cell lysate Lysates/proteins at 10 µg/Lane. Predicted band size: 25 kDa Observed band size: 25 kDa Exposure time: 3 seconds; ECL: K1801; 4-20% SDS-PAGE gel. Proteins were transferred to a PVDF membrane and blocked with 5% NFDM/TBST for 1 hour at room temperature. The primary antibody (R1511-8) at 1/1,000 dilution was used in 5% NFDM/TBST at 4℃ overnight. Goat Anti-Rabbit IgG - HRP Secondary Antibody (HA1001) at 1/50,000 dilution was used for 1 hour at room temperature.
Western blot analysis of PGP9.5 on different lysates. Proteins were transferred to a PVDF membrane and blocked with 5% BSA in PBS for 1 hour at room temperature. The primary antibody (R1511-8, 1/500) was used in 5% BSA at room temperature for 2 hours. Goat Anti-Rabbit IgG - HRP Secondary Antibody (HA1001) at 1:5,000 dilution was used for 1 hour at room temperature. Positive control: Lane 1: SHG-44 cell lysate Lane 2: A172 cell lysate
ICC staining of PGP9.5 in N2A cells (green). Formalin fixed cells were permeabilized with 0.1% Triton X-100 in TBS for 10 minutes at room temperature and blocked with 1% Blocker BSA for 15 minutes at room temperature. Cells were probed with the primary antibody (R1511-8, 1/200) for 1 hour at room temperature, washed with PBS. Alexa Fluor®488 Goat anti-Rabbit IgG was used as the secondary antibody at 1/1,000 dilution. The nuclear counter stain is DAPI (blue).
quantity: 100μl
price: 330 USD
to the supplier
PGP9.5
HUABIO
catalog: HA601514
domestic rabbit polyclonal (JM10-59)
reactivity:
human
,
mouse
,
rat
application:
western blot
,
immunohistochemistry - paraffin section
,
immunohistochemistry - frozen section
Application: IHC-Fr Species: Rat Site: pancreas Sample: Frozen section Antibody concentration: 1/200 Antigen retrieval: Not required
Application: IF-Tissue Species: Human Site: pancreas Sample: Paraffin-embedded section Antibody concentration: 1/500
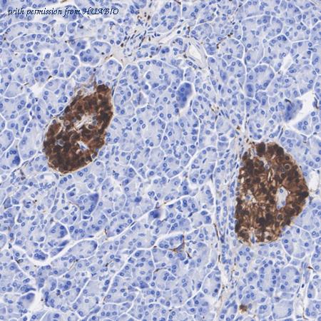
Immunohistochemical analysis of paraffin-embedded human pancreas tissue with Mouse anti-PGP9.5 antibody (HA601514) at 1/5,000 dilution. The section was pre-treated using heat mediated antigen retrieval with Tris-EDTA buffer (pH 9.0) for 20 minutes. The tissues were blocked in 1% BSA for 20 minutes at room temperature, washed with ddH2O and PBS, and then probed with the primary antibody (HA601514) at 1/5,000 dilution for 1 hour at room temperature. The detection was performed using an HRP conjugated compact polymer system. DAB was used as the chromogen. Tissues were counterstained with hematoxylin and mounted with DPX.
quantity: 100μl
price: 360.00 USD
to the supplier
PGP9.5
HUABIO
catalog: HA601515
domestic rabbit polyclonal (JM10-59)
reactivity:
human
,
mouse
,
rat
application:
western blot
,
immunohistochemistry - paraffin section
,
immunohistochemistry - frozen section
Application: IHC-Fr Species: Rat Site: pancreas Sample: Frozen section Antibody concentration: 1/200 Antigen retrieval: Not required
Application: IF-Tissue Species: Human Site: pancreas Sample: Paraffin-embedded section Antibody concentration: 1/500
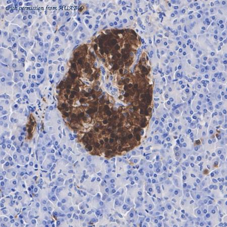
Immunohistochemical analysis of paraffin-embedded human pancreas tissue with Rat anti-PGP9.5 antibody (HA601515) at 1/2,000 dilution. The section was pre-treated using heat mediated antigen retrieval with Tris-EDTA buffer (pH 9.0) for 20 minutes. The tissues were blocked in 1% BSA for 20 minutes at room temperature, washed with ddH2O and PBS, and then probed with the primary antibody (HA601515) at 1/2,000 dilution for 1 hour at room temperature. The detection was performed using an HRP conjugated compact polymer system. DAB was used as the chromogen. Tissues were counterstained with hematoxylin and mounted with DPX.
quantity: 100μl
price: 360.00 USD
to the supplier
PGP9.5
HUABIO
catalog: HA610344
domestic rabbit polyclonal (JM10-59)
reactivity:
human
,
mouse
,
rat
application:
western blot
,
immunohistochemistry - paraffin section
,
immunohistochemistry - frozen section
Application: IHC-Fr Species: Rat Site: pancreas Sample: Frozen section Antibody concentration: 1/200 Antigen retrieval: Not required
Application: IF-Tissue Species: Human Site: pancreas Sample: Paraffin-embedded section Antibody concentration: 1/500
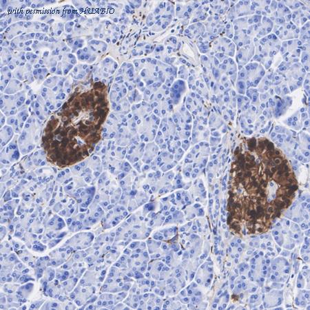
Immunohistochemical analysis of paraffin-embedded human pancreas tissue with Mouse anti-PGP9.5 antibody (HA610344) at 1/5,000 dilution. The section was pre-treated using heat mediated antigen retrieval with Tris-EDTA buffer (pH 9.0) for 20 minutes. The tissues were blocked in 1% BSA for 20 minutes at room temperature, washed with ddH2O and PBS, and then probed with the primary antibody (HA610344) at 1/5,000 dilution for 1 hour at room temperature. The detection was performed using an HRP conjugated compact polymer system. DAB was used as the chromogen. Tissues were counterstained with hematoxylin and mounted with DPX.
quantity: 100μl
price: 385.00 USD
to the supplier
PGP9.5
HUABIO
catalog: HA610345
domestic rabbit polyclonal (JM10-59)
reactivity:
human
,
mouse
,
rat
application:
western blot
,
immunohistochemistry - paraffin section
,
immunohistochemistry - frozen section
Application: IHC-Fr Species: Rat Site: pancreas Sample: Frozen section Antibody concentration: 1/200 Antigen retrieval: Not required
Application: IF-Tissue Species: Human Site: pancreas Sample: Paraffin-embedded section Antibody concentration: 1/500
Immunohistochemical analysis of paraffin-embedded human pancreas tissue with Rat anti-PGP9.5 antibody (HA610345) at 1/2,000 dilution. The section was pre-treated using heat mediated antigen retrieval with Tris-EDTA buffer (pH 9.0) for 20 minutes. The tissues were blocked in 1% BSA for 20 minutes at room temperature, washed with ddH2O and PBS, and then probed with the primary antibody (HA610345) at 1/2,000 dilution for 1 hour at room temperature. The detection was performed using an HRP conjugated compact polymer system. DAB was used as the chromogen. Tissues were counterstained with hematoxylin and mounted with DPX.
quantity: 100μl
price: 385.00 USD
to the supplier