Sign in
Sign up
home
>
HUABIO
> HUABIO Tubb5 antibody
beta Tubulin
HUABIO
catalog: EM0103
mouse monoclonal (1-B11)
reactivity:
human
,
mouse
,
rat
,
zebrafish
application:
western blot
,
flow cytometry
,
immunohistochemistry - paraffin section
Western blot analysis of beta Tubulin on different lysates with Mouse anti-beta Tubulin antibody (EM0103) at 1/20,000 dilution. Lane 1: K-562 cell lysate Lane 2: Jurkat cell lysate Lane 3: HeLa cell lysate Lane 4: NIH/3T3 cell lysate Lane 5: RAW264.7 cell lysate Lane 6: C6 cell lysate Lysates/proteins at 15 µg/Lane. Predicted band size: 50 kDa Observed band size: 50 kDa Exposure time: 1 minute 40 seconds; 4-20% SDS-PAGE gel. Proteins were transferred to a PVDF membrane and blocked with 5% NFDM/TBST for 1 hour at room temperature. The primary antibody (EM0103) at 1/20,000 dilution was used in 5% NFDM/TBST at room temperature for 2 hours. Goat Anti-Mouse IgG - HRP Secondary Antibody (HA1006) at 1:50,000 dilution was used for 1 hour at room temperature.
Immunocytochemistry analysis of HeLa cells labeling beta Tubulin with Mouse anti-beta Tubulin antibody (EM0103) at 1/100 dilution. Cells were fixed in 4% paraformaldehyde for 20 minutes at room temperature, permeabilized with 0.1% Triton X-100 in PBS for 5 minutes at room temperature, then blocked with 1% BSA in 10% negative goat serum for 1 hour at room temperature. Cells were then incubated with Mouse anti-beta Tubulin antibody (EM0103) at 1/100 dilution in 1% BSA in PBST overnight at 4 ℃. Goat Anti-Mouse IgG H&L (iFluor™ 488, HA1125) was used as the secondary antibody at 1/1,000 dilution. PBS instead of the primary antibody was used as the secondary antibody only control. Nuclear DNA was labelled in blue with DAPI. beta Tubulin (ET1602-4, red) was stained at 1/100 dilution overnight at +4℃. Goat Anti-Rabbit IgG H&L (iFluor™ 594, HA1122) were used as the secondary antibody at 1/1,000 dilution.
Immunocytochemistry analysis of NIH/3T3 cells labeling beta Tubulin with Mouse anti-beta Tubulin antibody (EM0103) at 1/100 dilution. Cells were fixed in 4% paraformaldehyde for 20 minutes at room temperature, permeabilized with 0.1% Triton X-100 in PBS for 5 minutes at room temperature, then blocked with 1% BSA in 10% negative goat serum for 1 hour at room temperature. Cells were then incubated with Mouse anti-beta Tubulin antibody (EM0103) at 1/100 dilution in 1% BSA in PBST overnight at 4 ℃. Goat Anti-Mouse IgG H&L (iFluor™ 488, HA1125) was used as the secondary antibody at 1/1,000 dilution. PBS instead of the primary antibody was used as the secondary antibody only control. Nuclear DNA was labelled in blue with DAPI. beta Tubulin (ET1602-4, red) was stained at 1/100 dilution overnight at +4℃. Goat Anti-Rabbit IgG H&L (iFluor™ 594, HA1122) were used as the secondary antibody at 1/1,000 dilution.
quantity: 100μl
price: 360.00 USD
to the supplier
beta Tubulin
HUABIO
catalog: EM1701-59
mouse monoclonal (1-B11)
reactivity:
human
,
mouse
,
rat
,
zebrafish
conjugate: HRP
application:
western blot
,
immunohistochemistry - paraffin section
Western blot analysis of beta Tubulin on different lysates with Mouse anti-beta Tubulin antibody (EM1701-59) at 1/2,000 dilution. Lane 1: K-562 cell lysate Lane 2: Jurkat cell lysate Lane 3: HeLa cell lysate Lane 4: NIH/3T3 cell lysate Lane 5: RAW264.7 cell lysate Lane 6: C6 cell lysate Lysates/proteins at 20 µg/Lane. Predicted band size: 50 kDa Observed band size: 50 kDa Exposure time: 20 seconds; ECL: K1801; 4-20% SDS-PAGE gel. Proteins were transferred to a PVDF membrane and blocked with 5% NFDM/TBST for 1 hour at room temperature. The primary antibody (EM1701-59) at 1/2,000 dilution was used in 5% NFDM/TBST at room temperature for 2 hours.
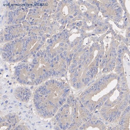
Immunohistochemical analysis of paraffin-embedded human colon cancer tissue with Mouse anti-beta Tubulin antibody (EM1701-59, HRP) at 1/2,000 dilution. The section was pre-treated using heat mediated antigen retrieval with Tris-EDTA buffer (pH 9.0) for 20 minutes. The tissues were blocked in 1% BSA for 20 minutes at room temperature, washed with ddH2O and PBS, and then probed with the primary antibody (EM1701-59, HRP) at 1/2,000 dilution for 1 hour at room temperature. DAB was used as the chromogen. Tissues were counterstained with hematoxylin and mounted with DPX.
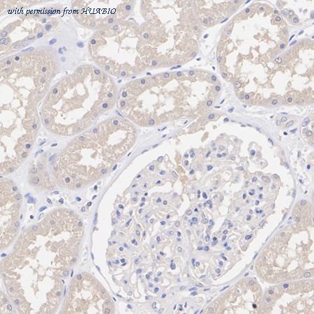
Immunohistochemical analysis of paraffin-embedded human kidney tissue with Mouse anti-beta Tubulin antibody (EM1701-59, HRP) at 1/500 dilution. The section was pre-treated using heat mediated antigen retrieval with Tris-EDTA buffer (pH 9.0) for 20 minutes. The tissues were blocked in 1% BSA for 20 minutes at room temperature, washed with ddH2O and PBS, and then probed with the primary antibody (EM1701-59, HRP) at 1/500 dilution for 1 hour at room temperature. DAB was used as the chromogen. Tissues were counterstained with hematoxylin and mounted with DPX.
quantity: 100μl
price: 374.00 USD
to the supplier
beta Tubulin
HUABIO
catalog: ET1602-4
domestic rabbit monoclonal (SR25-04)
reactivity:
human
,
mouse
,
rat
application:
western blot
,
flow cytometry
,
immunohistochemistry - paraffin section
Western blot analysis of beta Tubulin on different lysates with Rabbit anti-beta Tubulin antibody (ET1602-4) at 1/20,000 dilution. Lane 1: HeLa cell lysate (15 µg/Lane) Lane 2: 293T cell lysate (15 µg/Lane) Lane 3: MCF7 cell lysate (15 µg/Lane) Lane 4: SH-SY5Y cell lysate (15 µg/Lane) Lane 5: U-2 OS cell lysate (15 µg/Lane) Lane 6: Jurkat cell lysate (15 µg/Lane) Lane 7: Neuro-2a cell lysate (15 µg/Lane) Lane 8: NIH/3T3 cell lysate (15 µg/Lane) Lane 9: PC-12 cell lysate (15 µg/Lane) Lane 10: Mouse brain tissue lysate (20 µg/Lane) Lane 11: Rat brain tissue lysate (20 µg/Lane) Predicted band size: 50 kDa Observed band size: 50 kDa Exposure time: 1 minute 20 seconds; ECL: K1801; 4-20% SDS-PAGE gel. Proteins were transferred to a PVDF membrane and blocked with 5% NFDM/TBST for 1 hour at room temperature. The primary antibody (ET1602-4) at 1/20,000 dilution was used in 5% NFDM/TBST at room temperature for 2 hours. Goat Anti-Rabbit IgG - HRP Secondary Antibody (HA1001) at 1:100,000 dilution was used for 1 hour at room temperature.
Immunocytochemistry analysis of A549 cells labeling beta Tubulin with Rabbit anti-beta Tubulin antibody (ET1602-4) at 1/500 dilution. Cells were fixed in 4% paraformaldehyde for 15 minutes at room temperature, permeabilized with 0.1% Triton X-100 in PBS for 15 minutes at room temperature, then blocked with 1% BSA in 10% negative goat serum for 1 hour at room temperature. Cells were then incubated with Rabbit anti-beta Tubulin antibody (ET1602-4) at 1/500 dilution in 1% BSA in PBST overnight at 4 ℃. Goat Anti-Rabbit IgG H&L (iFluor™ 488, HA1121) was used as the secondary antibody at 1/1,000 dilution. PBS instead of the primary antibody was used as the secondary antibody only control. Nuclear DNA was labelled in blue with DAPI. Beta tubulin (HA601187, red) was stained at 1/100 dilution overnight at +4℃. Goat Anti-Mouse IgG H&L (iFluor™ 594, HA1126) was used as the secondary antibody at 1/1,000 dilution.
Immunocytochemistry analysis of HeLa cells labeling beta Tubulin with Rabbit anti-beta Tubulin antibody (ET1602-4) at 1/500 dilution. Cells were fixed in 4% paraformaldehyde for 15 minutes at room temperature, permeabilized with 0.1% Triton X-100 in PBS for 15 minutes at room temperature, then blocked with 1% BSA in 10% negative goat serum for 1 hour at room temperature. Cells were then incubated with Rabbit anti-beta Tubulin antibody (ET1602-4) at 1/500 dilution in 1% BSA in PBST overnight at 4 ℃. Goat Anti-Rabbit IgG H&L (iFluor™ 488, HA1121) was used as the secondary antibody at 1/1,000 dilution. PBS instead of the primary antibody was used as the secondary antibody only control. Nuclear DNA was labelled in blue with DAPI. Beta tubulin (HA601187, red) was stained at 1/100 dilution overnight at +4℃. Goat Anti-Mouse IgG H&L (iFluor™ 594, HA1126) was used as the secondary antibody at 1/1,000 dilution.
quantity: 100μl
price: 385.00 USD
to the supplier
beta Tubulin
HUABIO
catalog: ET1702-68
domestic rabbit monoclonal (JF41-50)
reactivity:
human
,
mouse
,
rat
conjugate: HRP
application:
western blot
Western blot analysis of beta Tubulin on different lysates. Proteins were transferred to a PVDF membrane and blocked with 5% BSA in PBS for 1 hour at room temperature. The primary antibody (ET1702-68, 1/10,000) was used in 5% BSA at room temperature for 2 hours. Positive control: Lane 1: Hela cell lysate Lane 2: PC-12 cell lysate Lane 3: NIH/3T3 cell lysate
quantity: 100μl
price: 409.00 USD
to the supplier
beta Tubulin
HUABIO
catalog: HA600110F
mouse monoclonal (A1-A4-R)
reactivity:
human
,
mouse
,
rat
application:
flow cytometry
Immunocytochemistry analysis of HeLa cells labeling beta Tubulin with Mouse anti-beta Tubulin antibody (HA600110F) at 1/100 dilution. Cells were fixed in 4% paraformaldehyde for 20 minutes at room temperature, permeabilized with 0.1% Triton X-100 in PBS for 5 minutes at room temperature, then blocked with 1% BSA in 10% negative goat serum for 1 hour at room temperature. Cells were then incubated with Mouse anti-beta Tubulin antibody (HA600110F) at 1/100 dilution in 1% BSA in PBST overnight at 4 ℃. Nuclear DNA was labelled in blue with DAPI.
Immunocytochemistry analysis of NIH/3T3 cells labeling beta Tubulin with Mouse anti-beta Tubulin antibody (HA600110F) at 1/100 dilution. Cells were fixed in 4% paraformaldehyde for 20 minutes at room temperature, permeabilized with 0.1% Triton X-100 in PBS for 5 minutes at room temperature, then blocked with 1% BSA in 10% negative goat serum for 1 hour at room temperature. Cells were then incubated with Mouse anti-beta Tubulin antibody (HA600110F) at 1/100 dilution in 1% BSA in PBST overnight at 4 ℃. Nuclear DNA was labelled in blue with DAPI.
Immunofluorescence analysis of paraffin-embedded human kidney tissue labeling beta Tubulin (HA600110F). The section was pre-treated using heat mediated antigen retrieval with Tris-EDTA buffer (pH 9.0) for 20 minutes. The tissues were blocked in 10% negative goat serum for 1 hour at room temperature, washed with PBS. And then probed with the primary antibodies beta Tubulin (HA600110F, red) at 1/200 dilution overnight at 4 ℃, washed with PBS. DAPI was used as nuclear counterstain.
quantity: 100μl
price: 394.00 USD
to the supplier
beta Tubulin
HUABIO
catalog: HA601147
mouse monoclonal (1-B11-R)
reactivity:
human
,
mouse
,
rat
application:
western blot
,
immunohistochemistry - paraffin section
Western blot analysis of beta Tubulin on different lysates with Mouse anti-beta Tubulin antibody (HA601147) at 1/5,000 dilution. Lane 1: HeLa cell lysate Lane 2: MCF7 cell lysate Lane 3: NCCIT cell lysate Lane 4: PC-12 cell lysate Lane 5: F9 cell lysate Lane 6: NIH/3T3 cell lysate Lysates/proteins at 20 µg/Lane. Predicted band size: 50 kDa Observed band size: 50 kDa Exposure time: 2 minutes; 10% SDS-PAGE gel. Proteins were transferred to a PVDF membrane and blocked with 5% NFDM/TBST for 1 hour at room temperature. The primary antibody (HA601147) at 1/5,000 dilution was used in 5% NFDM/TBST at room temperature for 2 hours. Goat Anti-Mouse IgG - HRP Secondary Antibody (HA1006) at 1:150,000 dilution was used for 1 hour at room temperature.
Immunocytochemistry analysis of HeLa cells labeling beta Tubulin with Mouse anti-beta Tubulin antibody (HA601147) at 1/100 dilution. Cells were fixed in 4% paraformaldehyde for 30 minutes, permeabilized with 0.05% Triton X-100 in PBS for 20 minutes, and then blocked with 2% negative goat serum for 30 minutes at room temperature. Cells were then incubated with Mouse anti-beta Tubulin antibody (HA601147) at 1/100 dilution in 2% negative goat serum overnight at 4 ℃. Goat Anti-Mouse IgG H&L (iFluor™ 488, HA1125) was used as the secondary antibody at 1/1,000 dilution. Nuclear DNA was labelled in blue with DAPI. beta Tubulin (ET1602-4, red) was stained at 1/100 dilution overnight at +4℃. Goat Anti-Rabbit IgG H&L (iFluor™ 594, HA1122) were used as the secondary antibody at 1/1,000 dilution.
Immunocytochemistry analysis of NIH/3T3 cells labeling beta Tubulin with Mouse anti-beta Tubulin antibody (HA601147) at 1/100 dilution. Cells were fixed in 4% paraformaldehyde for 30 minutes, permeabilized with 0.05% Triton X-100 in PBS for 20 minutes, and then blocked with 2% negative goat serum for 30 minutes at room temperature. Cells were then incubated with Mouse anti-beta Tubulin antibody (HA601147) at 1/100 dilution in 2% negative goat serum overnight at 4 ℃. Goat Anti-Mouse IgG H&L (iFluor™ 488, HA1125) was used as the secondary antibody at 1/1,000 dilution. Nuclear DNA was labelled in blue with DAPI. beta Tubulin (ET1602-4, red) was stained at 1/100 dilution overnight at +4℃. Goat Anti-Rabbit IgG H&L (iFluor™ 594, HA1122) were used as the secondary antibody at 1/1,000 dilution.
quantity: 100μl
price: 360.00 USD
to the supplier
beta Tubulin
HUABIO
catalog: HA601187
mouse monoclonal (A1-A4-R)
reactivity:
human
,
mouse
,
rat
application:
western blot
,
flow cytometry
,
immunohistochemistry - paraffin section
Western blot analysis of beta Tubulin on different lysates with Mouse anti-beta Tubulin antibody (HA601187) at 1/10,000 dilution. Lane 1: HepG2 cell lysate (10 µg/Lane) Lane 2: A549 cell lysate (10 µg/Lane) Lane 3: NIH/3T3 cell lysate (10 µg/Lane) Lane 4: L-929 cell lysate (10 µg/Lane) Lane 5: PC-12 cell lysate (10 µg/Lane) Lane 6: C6 cell lysate (10 µg/Lane) Lane 7: Vero cell lysate (10 µg/Lane) Lane 8: COS-1 cell lysate (10 µg/Lane) Lane 9: Mouse spleen tissue lysate (20 µg/Lane) Lane 10: Mouse stomach tissue lysate (20 µg/Lane) Lane 11: Rat kidney tissue lysate (20 µg/Lane) Predicted band size: 50 kDa Observed band size: 50 kDa Exposure time: 24 seconds; 4-20% SDS-PAGE gel. Proteins were transferred to a PVDF membrane and blocked with 5% NFDM/TBST for 1 hour at room temperature. The primary antibody (HA601187) at 1/10,000 dilution was used in 5% NFDM/TBST at room temperature for 2 hours. Goat Anti-Mouse IgG - HRP Secondary Antibody (HA1006) at 1/50,000 dilution was used for 1 hour at room temperature.
Immunocytochemistry analysis of HeLa cells labeling beta Tubulin with Mouse anti-beta Tubulin antibody (HA601187) at 1/100 dilution. Cells were fixed in 4% paraformaldehyde for 20 minutes at room temperature, permeabilized with 0.1% Triton X-100 in PBS for 5 minutes at room temperature, then blocked with 1% BSA in 10% negative goat serum for 1 hour at room temperature. Cells were then incubated with Mouse anti-beta Tubulin antibody (HA601187) at 1/100 dilution in 1% BSA in PBST overnight at 4 ℃. Goat Anti-Mouse IgG H&L (iFluor™ 594, HA1126) was used as the secondary antibody at 1/1,000 dilution. PBS instead of the primary antibody was used as the secondary antibody only control. Nuclear DNA was labelled in blue with DAPI.
Flow cytometric analysis of HeLa cells labeling beta Tubulin. Cells were fixed and permeabilized. Then stained with the primary antibody (HA601187, 1μg/mL) (red) compared with Mouse IgG1 Isotype Control (green). After incubation of the primary antibody at +4℃ for an hour, the cells were stained with a iFluor™ 488 conjugate-Goat anti-Mouse IgG Secondary antibody (HA1125) at 1/1,000 dilution for 30 minutes at +4℃. Unlabelled sample was used as a control (cells without incubation with primary antibody; black).
quantity: 100μl
price: 360.00 USD
to the supplier
beta Tubulin
HUABIO
catalog: HA610049
mouse monoclonal (1-B11-R)
reactivity:
human
,
mouse
,
rat
application:
western blot
,
immunohistochemistry - paraffin section
Western blot analysis of beta Tubulin on different lysates with Mouse anti-beta Tubulin antibody (HA610049) at 1/5,000 dilution. Lane 1: HeLa cell lysate Lane 2: MCF7 cell lysate Lane 3: NCCIT cell lysate Lane 4: PC-12 cell lysate Lane 5: F9 cell lysate Lane 6: NIH/3T3 cell lysate Lysates/proteins at 20 µg/Lane. Predicted band size: 50 kDa Observed band size: 50 kDa Exposure time: 2 minutes; 10% SDS-PAGE gel. Proteins were transferred to a PVDF membrane and blocked with 5% NFDM/TBST for 1 hour at room temperature. The primary antibody (HA610049) at 1/5,000 dilution was used in 5% NFDM/TBST at room temperature for 2 hours. Goat Anti-Mouse IgG - HRP Secondary Antibody (HA1006) at 1:150,000 dilution was used for 1 hour at room temperature.
Immunocytochemistry analysis of HeLa cells labeling beta Tubulin with Mouse anti-beta Tubulin antibody (HA610049) at 1/100 dilution. Cells were fixed in 4% paraformaldehyde for 30 minutes, permeabilized with 0.05% Triton X-100 in PBS for 20 minutes, and then blocked with 2% negative goat serum for 30 minutes at room temperature. Cells were then incubated with Mouse anti-beta Tubulin antibody (HA610049) at 1/100 dilution in 2% negative goat serum overnight at 4 ℃. Goat Anti-Mouse IgG H&L (iFluor™ 488, HA1125) was used as the secondary antibody at 1/1,000 dilution. Nuclear DNA was labelled in blue with DAPI. beta Tubulin (ET1602-4, red) was stained at 1/100 dilution overnight at +4℃. Goat Anti-Rabbit IgG H&L (iFluor™ 594, HA1122) were used as the secondary antibody at 1/1,000 dilution.
Immunocytochemistry analysis of NIH/3T3 cells labeling beta Tubulin with Mouse anti-beta Tubulin antibody (HA610049) at 1/100 dilution. Cells were fixed in 4% paraformaldehyde for 30 minutes, permeabilized with 0.05% Triton X-100 in PBS for 20 minutes, and then blocked with 2% negative goat serum for 30 minutes at room temperature. Cells were then incubated with Mouse anti-beta Tubulin antibody (HA610049) at 1/100 dilution in 2% negative goat serum overnight at 4 ℃. Goat Anti-Mouse IgG H&L (iFluor™ 488, HA1125) was used as the secondary antibody at 1/1,000 dilution. Nuclear DNA was labelled in blue with DAPI. beta Tubulin (ET1602-4, red) was stained at 1/100 dilution overnight at +4℃. Goat Anti-Rabbit IgG H&L (iFluor™ 594, HA1122) were used as the secondary antibody at 1/1,000 dilution.
quantity: 100μg
price: 649.00 USD
to the supplier
beta Tubulin
HUABIO
catalog: HA610067
mouse monoclonal (A1-A4-R)
reactivity:
human
,
mouse
,
rat
application:
western blot
,
flow cytometry
,
immunohistochemistry - paraffin section
Western blot analysis of beta Tubulin on different lysates with Mouse anti-beta Tubulin antibody (HA610067) at 1/10,000 dilution. Lane 1: HepG2 cell lysate (10 µg/Lane) Lane 2: A549 cell lysate (10 µg/Lane) Lane 3: NIH/3T3 cell lysate (10 µg/Lane) Lane 4: L-929 cell lysate (10 µg/Lane) Lane 5: PC-12 cell lysate (10 µg/Lane) Lane 6: C6 cell lysate (10 µg/Lane) Lane 7: Vero cell lysate (10 µg/Lane) Lane 8: COS-1 cell lysate (10 µg/Lane) Lane 9: Mouse spleen tissue lysate (20 µg/Lane) Lane 10: Mouse stomach tissue lysate (20 µg/Lane) Lane 11: Rat kidney tissue lysate (20 µg/Lane) Predicted band size: 50 kDa Observed band size: 50 kDa Exposure time: 24 seconds; 4-20% SDS-PAGE gel. Proteins were transferred to a PVDF membrane and blocked with 5% NFDM/TBST for 1 hour at room temperature. The primary antibody (HA610067) at 1/10,000 dilution was used in 5% NFDM/TBST at room temperature for 2 hours. Goat Anti-Mouse IgG - HRP Secondary Antibody (HA1006) at 1/50,000 dilution was used for 1 hour at room temperature.
Immunocytochemistry analysis of HeLa cells labeling beta Tubulin with Mouse anti-beta Tubulin antibody (HA610067) at 1/100 dilution. Cells were fixed in 4% paraformaldehyde for 20 minutes at room temperature, permeabilized with 0.1% Triton X-100 in PBS for 5 minutes at room temperature, then blocked with 1% BSA in 10% negative goat serum for 1 hour at room temperature. Cells were then incubated with Mouse anti-beta Tubulin antibody (HA610067) at 1/100 dilution in 1% BSA in PBST overnight at 4 ℃. Goat Anti-Mouse IgG H&L (iFluor™ 594, HA1126) was used as the secondary antibody at 1/1,000 dilution. PBS instead of the primary antibody was used as the secondary antibody only control. Nuclear DNA was labelled in blue with DAPI.
Flow cytometric analysis of HeLa cells labeling beta Tubulin. Cells were fixed and permeabilized. Then stained with the primary antibody (HA610067, 1μg/mL) (red) compared with Mouse IgG1 Isotype Control (green). After incubation of the primary antibody at +4℃ for an hour, the cells were stained with a iFluor™ 488 conjugate-Goat anti-Mouse IgG Secondary antibody (HA1125) at 1/1,000 dilution for 30 minutes at +4℃. Unlabelled sample was used as a control (cells without incubation with primary antibody; black).
quantity: 100μg
price: 649.00 USD
to the supplier
beta Tubulin
HUABIO
catalog: HA750049
domestic rabbit monoclonal (SR25-04)
reactivity:
human
,
mouse
,
rat
application:
western blot
,
flow cytometry
,
immunohistochemistry - paraffin section
Western blot analysis of beta Tubulin on different lysates with Rabbit anti-beta Tubulin antibody (HA750049) at 1/20,000 dilution. Lane 1: HeLa cell lysate (15 µg/Lane) Lane 2: 293T cell lysate (15 µg/Lane) Lane 3: MCF7 cell lysate (15 µg/Lane) Lane 4: SH-SY5Y cell lysate (15 µg/Lane) Lane 5: U-2 OS cell lysate (15 µg/Lane) Lane 6: Jurkat cell lysate (15 µg/Lane) Lane 7: Neuro-2a cell lysate (15 µg/Lane) Lane 8: NIH/3T3 cell lysate (15 µg/Lane) Lane 9: PC-12 cell lysate (15 µg/Lane) Lane 10: Mouse brain tissue lysate (20 µg/Lane) Lane 11: Rat brain tissue lysate (20 µg/Lane) Predicted band size: 50 kDa Observed band size: 50 kDa Exposure time: 1 minute 20 seconds; ECL: K1801; 4-20% SDS-PAGE gel. Proteins were transferred to a PVDF membrane and blocked with 5% NFDM/TBST for 1 hour at room temperature. The primary antibody (HA750049) at 1/20,000 dilution was used in 5% NFDM/TBST at room temperature for 2 hours. Goat Anti-Rabbit IgG - HRP Secondary Antibody (HA1001) at 1:100,000 dilution was used for 1 hour at room temperature.
Immunocytochemistry analysis of A549 cells labeling beta Tubulin with Rabbit anti-beta Tubulin antibody (HA750049) at 1/100 dilution. Cells were fixed in 4% paraformaldehyde for 15 minutes at room temperature, permeabilized with 0.1% Triton X-100 in PBS for 15 minutes at room temperature, then blocked with 1% BSA in 10% negative goat serum for 1 hour at room temperature. Cells were then incubated with Rabbit anti-beta Tubulin antibody (HA750049) at 1/100 dilution in 1% BSA in PBST overnight at 4 ℃. Goat Anti-Rabbit IgG H&L (iFluor™ 488, HA1121) was used as the secondary antibody at 1/1,000 dilution. PBS instead of the primary antibody was used as the secondary antibody only control. Nuclear DNA was labelled in blue with DAPI. Beta tubulin (HA601187, red) was stained at 1/100 dilution overnight at +4℃. Goat Anti-Mouse IgG H&L (iFluor™ 594, HA1126) was used as the secondary antibody at 1/1,000 dilution.
Immunocytochemistry analysis of HeLa cells labeling beta Tubulin with Rabbit anti-beta Tubulin antibody (HA750049) at 1/500 dilution. Cells were fixed in 4% paraformaldehyde for 15 minutes at room temperature, permeabilized with 0.1% Triton X-100 in PBS for 15 minutes at room temperature, then blocked with 1% BSA in 10% negative goat serum for 1 hour at room temperature. Cells were then incubated with Rabbit anti-beta Tubulin antibody (HA750049) at 1/500 dilution in 1% BSA in PBST overnight at 4 ℃. Goat Anti-Rabbit IgG H&L (iFluor™ 488, HA1121) was used as the secondary antibody at 1/1,000 dilution. PBS instead of the primary antibody was used as the secondary antibody only control. Nuclear DNA was labelled in blue with DAPI. Beta tubulin (HA601187, red) was stained at 1/100 dilution overnight at +4℃. Goat Anti-Mouse IgG H&L (iFluor™ 594, HA1126) was used as the secondary antibody at 1/1,000 dilution.
quantity: 100μl
price: 649.00 USD
to the supplier
beta Tubulin
HUABIO
catalog: M1305-2
mouse monoclonal (A1-A4)
reactivity:
human
,
mouse
,
rat
application:
western blot
,
flow cytometry
,
immunohistochemistry - paraffin section
Western blot analysis of beta Tubulin on Hela cell lysates with Mouse anti-beta Tubulin antibody (M1305-2). Hela cell lysates at 10 µg/Lane. Predicted band size: 50 kDa Observed band size: 50 kDa 8% SDS-PAGE gel. Proteins were transferred to a PVDF membrane and blocked with 5% NFDM/TBST for 1 hour at room temperature. The primary antibody (M1305-2) at serial dilution was used in 5% NFDM/TBST at room temperature for 2 hours. Goat Anti-Mouse IgG - HRP Secondary Antibody (HA1006) at 1:100,000 dilution was used for 1 hour at room temperature.
Western blot analysis of beta Tubulin on NIH/3T3 cell lysates with Mouse anti-beta Tubulin antibody (M1305-2). NIH/3T3 cell lysates at 10 µg/Lane. Predicted band size: 50 kDa Observed band size: 50 kDa 8% SDS-PAGE gel. Proteins were transferred to a PVDF membrane and blocked with 5% NFDM/TBST for 1 hour at room temperature. The primary antibody (M1305-2) at serial dilution was used in 5% NFDM/TBST at room temperature for 2 hours. Goat Anti-Mouse IgG - HRP Secondary Antibody (HA1006) at 1:100,000 dilution was used for 1 hour at room temperature.
Western blot analysis of beta Tubulin on PC-12 cell lysates with Mouse anti-beta Tubulin antibody (M1305-2). PC-12 cell lysates at 10 µg/Lane. Predicted band size: 50 kDa Observed band size: 50 kDa 8% SDS-PAGE gel. Proteins were transferred to a PVDF membrane and blocked with 5% NFDM/TBST for 1 hour at room temperature. The primary antibody (M1305-2) at serial dilution was used in 5% NFDM/TBST at room temperature for 2 hours. Goat Anti-Mouse IgG - HRP Secondary Antibody (HA1006) at 1:100,000 dilution was used for 1 hour at room temperature.
quantity: 100μl
price: 360.00 USD
to the supplier