domestic rabbit monoclonal (SC05-59)
reactivity: human, mouse, rat
application: western blot, flow cytometry, immunohistochemistry - paraffin section
reactivity: human, mouse, rat
application: western blot, flow cytometry, immunohistochemistry - paraffin section

Western blot analysis of Tuberin on different lysates with Rabbit anti-Tuberin antibody (ET1610-10) at 1/1,000 dilution. Lane 1: HEK-293 cell lysate (20 µg/Lane) Lane 2: HeLa cell lysate (20 µg/Lane) Lane 3: LNCaP cell lysate (20 µg/Lane) Lane 4: C6 cell lysate (20 µg/Lane) Lane 5: Mouse brain tissue lysate (40 µg/Lane) Lane 6: Rat brain tissue lysate (40 µg/Lane) Predicted band size: 201 kDa Observed band size: 201 kDa Exposure time: 25 seconds; ECL: K1801; 4-20% SDS-PAGE gel. Proteins were transferred to a PVDF membrane and blocked with 5% NFDM/TBST for 1 hour at room temperature. The primary antibody (ET1610-10) at 1/1,000 dilution was used in 5% NFDM/TBST at 4℃ overnight. Goat Anti-Rabbit IgG - HRP Secondary Antibody (HA1001) at 1/50,000 dilution was used for 1 hour at room temperature.

Immunohistochemical analysis of paraffin-embedded human testis tissue with Rabbit anti-Tuberin antibody (ET1610-10) at 1/200 dilution. The section was pre-treated using heat mediated antigen retrieval with Tris-EDTA buffer (pH 9.0) for 20 minutes. The tissues were blocked in 1% BSA for 20 minutes at room temperature, washed with ddH2O and PBS, and then probed with the primary antibody (ET1610-10) at 1/200 dilution for 1 hour at room temperature. The detection was performed using an HRP conjugated compact polymer system. DAB was used as the chromogen. Tissues were counterstained with hematoxylin and mounted with DPX.

Immunohistochemical analysis of paraffin-embedded mouse testis tissue with Rabbit anti-Tuberin antibody (ET1610-10) at 1/200 dilution. The section was pre-treated using heat mediated antigen retrieval with Tris-EDTA buffer (pH 9.0) for 20 minutes. The tissues were blocked in 1% BSA for 20 minutes at room temperature, washed with ddH2O and PBS, and then probed with the primary antibody (ET1610-10) at 1/200 dilution for 1 hour at room temperature. The detection was performed using an HRP conjugated compact polymer system. DAB was used as the chromogen. Tissues were counterstained with hematoxylin and mounted with DPX.
quantity: 100μl
price: 385.00 USD
to the supplier
domestic rabbit monoclonal (JE54-06)
reactivity: human, mouse
application: western blot
reactivity: human, mouse
application: western blot

Western blot analysis of Phospho-Tuberin (S939) on different lysates with Rabbit anti-Phospho-Tuberin (S939) antibody (HA721762) at 1/1,000 dilution. Lane 1: SH-SY5Y cell lysate Lane 2: SH-SY5Y treated with 200nM Calyculin A and 1μM Okadaic Acid for 1 hour cell lysate Lane 3: SH-SY5Y treated with 200nM Calyculin A and 1μM Okadaic Acid for 1 hour, then treated with λpp for 1 hour cell lysate Lysates/proteins at 20 µg/Lane. Predicted band size: 201 kDa Observed band size: 250 kDa Exposure time: 3 minutes; 4-20% SDS-PAGE gel. Proteins were transferred to a PVDF membrane and blocked with 5% NFDM/TBST for 1 hour at room temperature. The primary antibody (HA721762) at 1/1,000 dilution was used in 5% NFDM/TBST at 4℃ overnight. Goat Anti-Rabbit IgG - HRP Secondary Antibody (HA1001) at 1/50,000 dilution was used for 1 hour at room temperature.
quantity: 100μl
price: 385.00 USD
to the supplier
domestic rabbit monoclonal (JE43-81)
reactivity: human, mouse, rat
application: western blot
reactivity: human, mouse, rat
application: western blot

Western blot analysis of Phospho-Tuberin (T1462) on different lysates with Rabbit anti-Phospho-Tuberin (T1462) antibody (HA721792) at 1/1,000 dilution. Lane 1: SH-SY5Y cell lysate Lane 2: SH-SY5Y treated with 200nM Calyculin A and 1μM Okadaic Acid for 1 hour cell lysate Lane 3: SH-SY5Y treated with 200nM Calyculin A and 1μM Okadaic Acid for 1 hour, then treated with λpp for 1 hour cell lysate Lysates/proteins at 20 µg/Lane. Predicted band size: 201 kDa Observed band size: 250 kDa Exposure time: 3 minutes; 4-20% SDS-PAGE gel. Proteins were transferred to a PVDF membrane and blocked with 5% NFDM/TBST for 1 hour at room temperature. The primary antibody (HA721792) at 1/1,000 dilution was used in 5% NFDM/TBST at 4℃ overnight. Goat Anti-Rabbit IgG - HRP Secondary Antibody (HA1001) at 1/50,000 dilution was used for 1 hour at room temperature.
quantity: 100μl
price: 385.00 USD
to the supplier
domestic rabbit polyclonal
reactivity: human, mouse
application: flow cytometry, immunohistochemistry - paraffin section
reactivity: human, mouse
application: flow cytometry, immunohistochemistry - paraffin section

Immunocytochemical staining of SH-SY-5Y cells using anti-Tuberin rabbit polyclonal antibody.

Immunocytochemical staining of PANC-1 cells using anti-Tuberin rabbit polyclonal antibody.

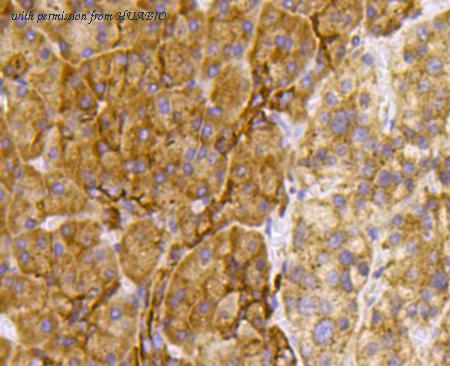
Immunohistochemical analysis of paraffin- embedded human pancreas tissue using anti-Tuberin rabbit polyclonal antibody.
quantity: 100μl
price: 330 USD
to the supplier
