domestic rabbit polyclonal
reactivity: human, mouse, rat
application: western blot, flow cytometry, immunohistochemistry - paraffin section
reactivity: human, mouse, rat
application: western blot, flow cytometry, immunohistochemistry - paraffin section

Western blot analysis of TOP2A on different lysates using anti-TOP2A antibody at 1/500 dilution. Positive control: Lane 1: Jurkat cell lysate Lane 2: NIH/3T3 cell lysate Lane 3: A431 cell lysate Lane 4: L929 cell lysate Lane 5: A549 cell lysate Lane 6: Human liver tissue lysate Lane 7: HUVEC cell lysate

ICC staining TOP2A in A549 cells (green). Cells were fixed in paraformaldehyde, permeabilised with 0.25% Triton X100/PBS.

ICC staining TOP2A in Hela cells (green). Cells were fixed in paraformaldehyde, permeabilised with 0.25% Triton X100/PBS.
quantity: 100μl
price: 330 USD
to the supplier
domestic rabbit monoclonal (SY27-00)
reactivity: human, mouse, rat
application: western blot, immunoprecipitation, immunohistochemistry - paraffin section
reactivity: human, mouse, rat
application: western blot, immunoprecipitation, immunohistochemistry - paraffin section

Western blot analysis of Topoisomerase II alpha on different lysates with Rabbit anti-Topoisomerase II alpha antibody (ET1607-59) at 1/1,000 dilution. Lane 1: Rat testis tissue lysate (40 µg/Lane) Lane 2: Mouse testis tissue lysate (40 µg/Lane) Lane 3: NIH/3T3 cell lysate (20 µg/Lane) Lane 4: HT-29 cell lysate (20 µg/Lane) Lane 5: Jurkat cell lysate (20 µg/Lane) Predicted band size: 174 kDa Observed band size: 174 kDa Exposure time: Lane 1-4: 3 minutes; Lane 5: 18 seconds; ECL: K1802; 4-20% SDS-PAGE gel. Proteins were transferred to a PVDF membrane and blocked with 5% NFDM/TBST for 1 hour at room temperature. The primary antibody (ET1607-59) at 1/1,000 dilution was used in 5% NFDM/TBST at 4℃ overnight. Goat Anti-Rabbit IgG - HRP Secondary Antibody (HA1001) at 1/50,000 dilution was used for 1 hour at room temperature.

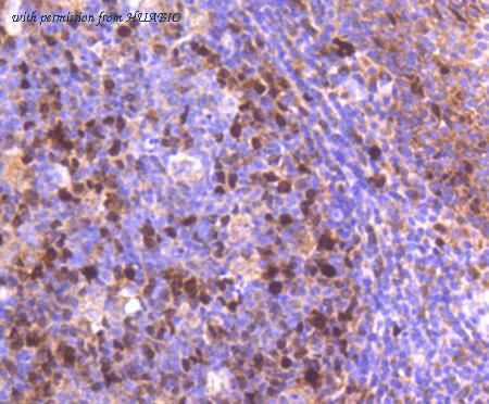
Immunohistochemical analysis of paraffin-embedded human tonsil tissue using anti-Topoisomerase II alpha antibody. The section was pre-treated using heat mediated antigen retrieval with Tris-EDTA buffer (pH 8.0-8.4) for 20 minutes.The tissues were blocked in 5% BSA for 30 minutes at room temperature, washed with ddH2O and PBS, and then probed with the primary antibody (ET1607-59, 1/50) for 30 minutes at room temperature. The detection was performed using an HRP conjugated compact polymer system. DAB was used as the chromogen. Tissues were counterstained with hematoxylin and mounted with DPX.

Immunohistochemical analysis of paraffin-embedded human testis tissue with Rabbit anti-Topoisomerase II alpha antibody (ET1607-59) at 1/1,000 dilution. The section was pre-treated using heat mediated antigen retrieval with sodium citrate buffer (pH 6.0) (high pressure) for 2 minutes. The tissues were blocked in 1% BSA for 20 minutes at room temperature, washed with ddH2O and PBS, and then probed with the primary antibody (ET1607-59) at 1/1,000 dilution for 1 hour at room temperature. The detection was performed using an HRP conjugated compact polymer system. DAB was used as the chromogen. Tissues were counterstained with hematoxylin and mounted with DPX.
quantity: 100μl
price: 385.00 USD
to the supplier
mouse monoclonal (A3F12)
reactivity: human, mouse, rat
application: western blot, immunohistochemistry - paraffin section
reactivity: human, mouse, rat
application: western blot, immunohistochemistry - paraffin section

Western blot analysis of Topoisomerase II alpha on Jurkat cell lysates with Mouse anti-Topoisomerase II alpha antibody (HA601028) at 1/1,000 dilution. Lysates/proteins at 20 µg/Lane. Predicted band size: 174 kDa Observed band size: 174 kDa Exposure time: 3 minutes; ECL: K1801; 4-20% SDS-PAGE gel. Proteins were transferred to a PVDF membrane and blocked with 5% NFDM/TBST for 1 hour at room temperature. The primary antibody (HA601028) at 1/1,000 dilution was used in 5% NFDM/TBST at 4℃ overnight. Goat Anti-Mouse IgG - HRP Secondary Antibody (HA1006) at 1/50,000 dilution was used for 1 hour at room temperature.

Western blot analysis of Topoisomerase II alpha on different cell lysates with Mouse anti-Topoisomerase II alpha antibody (HA601028) at 1/500 dilution. Lane 1: A549 cell lysate Lane 2: Jurkat cell lysate Lane 3: NIH/3T3 cell lysate Lysates/proteins at 10 µg/Lane. Predicted band size: 174 kDa Observed band size: 174 kDa Exposure time: 2 minutes; 6% SDS-PAGE gel. Proteins were transferred to a PVDF membrane and blocked with 5% NFDM/TBST for 1 hour at room temperature. The primary antibody (HA601028) at 1/500 dilution was used in 5% NFDM/TBST at room temperature for 2 hours. Goat Anti-Mouse IgG - HRP Secondary Antibody (HA1006) at 1:20,000 dilution was used for 1 hour at room temperature.

Immunohistochemical analysis of paraffin-embedded human breast carcinoma tissue with Mouse anti-Topoisomerase II alpha antibody (HA601028) at 1/500 dilution. The section was pre-treated using heat mediated antigen retrieval with Tris-EDTA buffer (pH 9.0) for 20 minutes. The tissues were blocked in 1% BSA for 20 minutes at room temperature, washed with ddH2O and PBS, and then probed with the primary antibody (HA601028) at 1/500 dilution for 1 hour at room temperature. The detection was performed using an HRP conjugated compact polymer system. DAB was used as the chromogen. Tissues were counterstained with hematoxylin and mounted with DPX.
quantity: 100μl
price: 360.00 USD
to the supplier
domestic rabbit polyclonal
reactivity: human, mouse, rat
application: western blot
reactivity: human, mouse, rat
application: western blot

Western blot analysis on Jurkat cell lysates using anti-TOP2A rabbit polyclonal antibodies.

ICC staining TOP2A in A431 cells (green). Cells were fixed in paraformaldehyde, permeabilised with 0.25% Triton X100/PBS and counterstained with DAPI in order to highlight the nucleus (blue).
quantity: 100μl
price: 330 USD
to the supplier
