domestic rabbit polyclonal
reactivity: human, mouse, rat
application: immunohistochemistry - paraffin section
reactivity: human, mouse, rat
application: immunohistochemistry - paraffin section

Immunocytochemistry analysis of MCF7 cells labeling ZO1 with Rabbit anti-ZO1 antibody (ER41204) at 1/2,500 dilution. Cells were fixed in 4% paraformaldehyde for 20 minutes at room temperature, permeabilized with 0.1% Triton X-100 in PBS for 5 minutes at room temperature, then blocked with 1% BSA in 10% negative goat serum for 1 hour at room temperature. Cells were then incubated with Rabbit anti-ZO1 antibody (ER41204) at 1/2,500 dilution in 1% BSA in PBST overnight at 4 ℃. Goat Anti-Rabbit IgG H&L (iFluor™ 488, HA1121) was used as the secondary antibody at 1/1,000 dilution. PBS instead of the primary antibody was used as the secondary antibody only control. Nuclear DNA was labelled in blue with DAPI. Beta tubulin (M1305-2, red) was stained at 1/100 dilution overnight at +4℃. Goat Anti-Mouse IgG H&L (iFluor™ 594, HA1126) was used as the secondary antibody at 1/1,000 dilution.

Immunohistochemical analysis of paraffin-embedded human kidney tissue with Rabbit anti-ZO1 antibody (ER41204) at 1/10,000 dilution. The section was pre-treated using heat mediated antigen retrieval with Tris-EDTA buffer (pH 9.0) for 20 minutes. The tissues were blocked in 1% BSA for 20 minutes at room temperature, washed with ddH2O and PBS, and then probed with the primary antibody (ER41204) at 1/10,000 dilution for 1 hour at room temperature. The detection was performed using an HRP conjugated compact polymer system. DAB was used as the chromogen. Tissues were counterstained with hematoxylin and mounted with DPX.

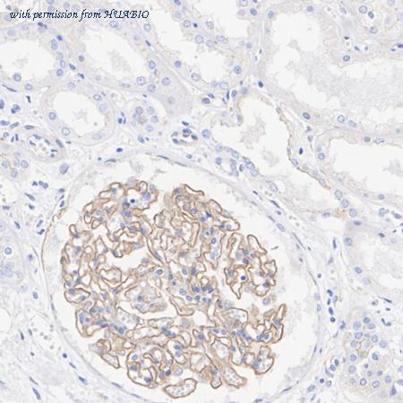
Immunohistochemical analysis of paraffin-embedded mouse kidney tissue with Rabbit anti-ZO1 antibody (ER41204) at 1/10,000 dilution. The section was pre-treated using heat mediated antigen retrieval with Tris-EDTA buffer (pH 9.0) for 20 minutes. The tissues were blocked in 1% BSA for 20 minutes at room temperature, washed with ddH2O and PBS, and then probed with the primary antibody (ER41204) at 1/10,000 dilution for 1 hour at room temperature. The detection was performed using an HRP conjugated compact polymer system. DAB was used as the chromogen. Tissues were counterstained with hematoxylin and mounted with DPX.
quantity: 100μl
price: 330 USD
to the supplier
domestic rabbit monoclonal (PSH07-09)
reactivity: human, mouse
application: western blot
reactivity: human, mouse
application: western blot

Western blot analysis of ZO1 on different lysates with Rabbit anti-ZO1 antibody (HA722797) at 1/1,000 dilution. Lane 1: A431 cell lysate (20 µg/Lane) Lane 2: 293T cell lysate (20 µg/Lane) Lane 3: HepG2 cell lysate (20 µg/Lane) Lane 4: HeLa cell lysate (20 µg/Lane) Lane 5: U-2 OS cell lysate (20 µg/Lane) Lane 6: NIH/3T3 cell lysate (20 µg/Lane) Lane 7: C2C12 cell lysate (20 µg/Lane) Lane 8: COS-1 cell lysate (20 µg/Lane) Lane 9: Mouse testis tissue lysate (40 µg/Lane) Lane 10: Rat testis tissue lysate (40 µg/Lane) Predicted band size: 195 kDa Observed band size: 250 kDa Exposure time: 3 minutes; ECL: K1802; 4-20% SDS-PAGE gel. Proteins were transferred to a PVDF membrane and blocked with 5% NFDM/TBST for 1 hour at room temperature. The primary antibody (HA722797) at 1/1,000 dilution was used in 5% NFDM/TBST at 4℃ overnight. Goat Anti-Rabbit IgG - HRP Secondary Antibody (HA1001) at 1/50,000 dilution was used for 1 hour at room temperature.

Immunocytochemistry analysis of MCF7 cells labeling ZO1 with Rabbit anti-ZO1 antibody (HA722797) at 1/2,000 dilution. Cells were fixed in 4% paraformaldehyde for 20 minutes at room temperature, permeabilized with 0.1% Triton X-100 in PBS for 5 minutes at room temperature, then blocked with 1% BSA in 10% negative goat serum for 1 hour at room temperature. Cells were then incubated with Rabbit anti-ZO1 antibody (HA722797) at 1/2,000 dilution in 1% BSA in PBST overnight at 4 ℃. Goat Anti-Rabbit IgG H&L (iFluor™ 488, HA1121) was used as the secondary antibody at 1/1,000 dilution. PBS instead of the primary antibody was used as the secondary antibody only control. Nuclear DNA was labelled in blue with DAPI. Beta tubulin (M1305-2, red) was stained at 1/100 dilution overnight at +4℃. Goat Anti-Mouse IgG H&L (iFluor™ 594, HA1126) was used as the secondary antibody at 1/1,000 dilution.
quantity: 100μl
price: 385.00 USD
to the supplier
domestic rabbit monoclonal (PSH07-09)
reactivity: human, mouse
application: western blot
reactivity: human, mouse
application: western blot

Western blot analysis of ZO1 on different lysates with Rabbit anti-ZO1 antibody (HA751131) at 1/1,000 dilution. Lane 1: A431 cell lysate (20 µg/Lane) Lane 2: 293T cell lysate (20 µg/Lane) Lane 3: HepG2 cell lysate (20 µg/Lane) Lane 4: HeLa cell lysate (20 µg/Lane) Lane 5: U-2 OS cell lysate (20 µg/Lane) Lane 6: NIH/3T3 cell lysate (20 µg/Lane) Lane 7: C2C12 cell lysate (20 µg/Lane) Lane 8: COS-1 cell lysate (20 µg/Lane) Lane 9: Mouse testis tissue lysate (40 µg/Lane) Lane 10: Rat testis tissue lysate (40 µg/Lane) Predicted band size: 195 kDa Observed band size: 250 kDa Exposure time: 3 minutes; ECL: K1802; 4-20% SDS-PAGE gel. Proteins were transferred to a PVDF membrane and blocked with 5% NFDM/TBST for 1 hour at room temperature. The primary antibody (HA751131) at 1/1,000 dilution was used in 5% NFDM/TBST at 4℃ overnight. Goat Anti-Rabbit IgG - HRP Secondary Antibody (HA1001) at 1/50,000 dilution was used for 1 hour at room temperature.

Immunocytochemistry analysis of MCF7 cells labeling ZO1 with Rabbit anti-ZO1 antibody (HA751131) at 1/2,000 dilution. Cells were fixed in 4% paraformaldehyde for 20 minutes at room temperature, permeabilized with 0.1% Triton X-100 in PBS for 5 minutes at room temperature, then blocked with 1% BSA in 10% negative goat serum for 1 hour at room temperature. Cells were then incubated with Rabbit anti-ZO1 antibody (HA751131) at 1/2,000 dilution in 1% BSA in PBST overnight at 4 ℃. Goat Anti-Rabbit IgG H&L (iFluor™ 488, HA1121) was used as the secondary antibody at 1/1,000 dilution. PBS instead of the primary antibody was used as the secondary antibody only control. Nuclear DNA was labelled in blue with DAPI. Beta tubulin (M1305-2, red) was stained at 1/100 dilution overnight at +4℃. Goat Anti-Mouse IgG H&L (iFluor™ 594, HA1126) was used as the secondary antibody at 1/1,000 dilution.
quantity: 100μl
price: 649.00 USD
to the supplier
domestic rabbit monoclonal
reactivity: mouse
reactivity: mouse

mIHC analysis of mouse small intestine tissue (Formalin/PFA-fixed paraffin-embedded sections) with Rabbit anti-ZO1 antibody (IRS217RB) at 1/100 dilution. The immunostaining was performed with the IRISKitCmTSA Kit (900808). Heat mediated antigen retrieval with Tris-EDTA buffer (pH 9.0) for 30 mins at 95℃. DAPI (blue) was used as a nuclear counter stain. Image acquisition was performed with Olympus VS200 Slide Scanner.
quantity: 50T
price: 278.00 USD
to the supplier
