Sign in
Sign up
home
>
HUABIO
> HUABIO ALCAM antibody
CD166
HUABIO
catalog: EM1902-36
mouse monoclonal (5-5)
reactivity:
human
application:
western blot
,
flow cytometry
,
immunohistochemistry - paraffin section
Western blot analysis of CD166 on different lysates with Mouse anti-CD166 antibody (EM1902-36) at 1/1,000 dilution. Lane 1: A549-WT cell lysate Lane 2: A549-KD CD166 cell lysate Lysates/proteins at 10 µg/Lane. Predicted band size: 65 kDa Observed band size: 100 kDa Exposure time: 2 minutes 10 seconds; ECL: K1802; 4-20% SDS-PAGE gel. Proteins were transferred to a PVDF membrane and blocked with 5% NFDM/TBST for 1 hour at room temperature. The primary antibody (EM1902-36) at 1/1,000 dilution was used in 5% BSA at 4℃ overnight. Goat Anti-Mouse IgG - HRP Secondary Antibody (HA1006) at 1/50,000 dilution was used for 1 hour at room temperature.
Western blot analysis of CD166 on different lysates. Proteins were transferred to a PVDF membrane and blocked with 5% BSA in PBS for 1 hour at room temperature. The primary antibody (EM1902-36, 1/500) was used in 5% BSA at room temperature for 2 hours. Goat Anti-Mouse IgG - HRP Secondary Antibody (HA1006) at 1:5,000 dilution was used for 1 hour at room temperature. Positive control: Lane 1: PC-3M cell lysate Lane 2: A549 cell lysate Lane 3: SHSY5Y cell lysate
ICC staining of CD166 in A431 cells (green). Formalin fixed cells were permeabilized with 0.1% Triton X-100 in TBS for 10 minutes at room temperature and blocked with 1% Blocker BSA for 15 minutes at room temperature. Cells were probed with the primary antibody (EM1902-36, 1/100) for 1 hour at room temperature, washed with PBS. Alexa Fluor®488 Goat anti-Mouse IgG was used as the secondary antibody at 1/100 dilution. The nuclear counter stain is DAPI (blue).
quantity: 100μl
price: 360.00 USD
to the supplier
CD166
HUABIO
catalog: HA600082
mouse monoclonal (A6A9)
reactivity:
human
application:
western blot
,
immunohistochemistry - paraffin section
Western blot analysis of CD166 on different lysates with Mouse anti-CD166 antibody (HA600082) at 1/1,000 dilution. Lane 1: U-2 OS cell lysate Lane 2: A549 cell lysate Lane 3: LNCaP cell lysate Lane 4: HepG2 cell lysate Lysates/proteins at 20 µg/Lane. Predicted band size: 65 kDa Observed band size: 100-105 kDa Exposure time: 30 seconds; ECL: K1801; 4-20% SDS-PAGE gel. Proteins were transferred to a PVDF membrane and blocked with 5% NFDM/TBST for 1 hour at room temperature. The primary antibody (HA600082) at 1/1,000 dilution was used in 5% NFDM/TBST at 4℃ overnight. Goat Anti-Mouse IgG - HRP Secondary Antibody (HA1006) at 1/50,000 dilution was used for 1 hour at room temperature.
Western blot analysis of CD166 on different lysates with Mouse anti-CD166 antibody (HA600082) at 1/2,000 dilution. Lane 1: A549-WT cell lysate Lane 2: A549-KD CD166 cell lysate Lysates/proteins at 10 µg/Lane. Predicted band size: 65 kDa Observed band size: 100 kDa Exposure time: 1 minutes 36 seconds; ECL: K1801; 4-20% SDS-PAGE gel. Proteins were transferred to a PVDF membrane and blocked with 5% NFDM/TBST for 1 hour at room temperature. The primary antibody (HA600082) at 1/2,000 dilution was used in 5% BSA at 4℃ overnight. Goat Anti-Mouse IgG - HRP Secondary Antibody (HA1006) at 1/50,000 dilution was used for 1 hour at room temperature.
ICC staining of CD166 in A549 cells (green). Formalin fixed cells were permeabilized with 0.1% Triton X-100 in TBS for 10 minutes at room temperature and blocked with 10% negative goat serum for 15 minutes at room temperature. Cells were probed with the primary antibody (HA600082, 1/100) for 1 hour at room temperature, washed with PBS. Alexa Fluor®488 conjugate-Goat anti-Mouse IgG was used as the secondary antibody at 1/1,000 dilution. The nuclear counter stain is DAPI (blue).
quantity: 100μl
price: 360.00 USD
to the supplier
CD166
HUABIO
catalog: HA600083
mouse monoclonal (A6A8)
reactivity:
human
application:
western blot
,
immunohistochemistry - paraffin section
Western blot analysis of CD166 on different lysates with Mouse anti-CD166 antibody (HA600083) at 1/2,000 dilution. Lane 1: A549-WT cell lysate Lane 2: A549-KD CD166 cell lysate Lysates/proteins at 10 µg/Lane. Predicted band size: 65 kDa Observed band size: 100 kDa Exposure time: 2 minutes 10 seconds; ECL: K1801; 4-20% SDS-PAGE gel. Proteins were transferred to a PVDF membrane and blocked with 5% NFDM/TBST for 1 hour at room temperature. The primary antibody (HA600083) at 1/2,000 dilution was used in 5% BSA at 4℃ overnight. Goat Anti-Mouse IgG - HRP Secondary Antibody (HA1006) at 1/50,000 dilution was used for 1 hour at room temperature.
ICC staining of CD166 in A549 cells (green). Formalin fixed cells were permeabilized with 0.1% Triton X-100 in TBS for 10 minutes at room temperature and blocked with 10% negative goat serum for 15 minutes at room temperature. Cells were probed with the primary antibody (HA600083, 1/100) for 1 hour at room temperature, washed with PBS. Alexa Fluor®488 conjugate-Goat anti-Mouse IgG was used as the secondary antibody at 1/1,000 dilution. The nuclear counter stain is DAPI (blue).
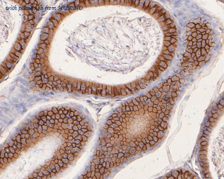
Immunohistochemical analysis of paraffin-embedded human endometrium tissue using anti-CD166 antibody. The section was pre-treated using heat mediated antigen retrieval with Tris-EDTA buffer (pH 9.0) for 20 minutes.The tissues were blocked in 1% BSA for 30 minutes at room temperature, washed with ddH2O and PBS, and then probed with the primary antibody (HA600083, 1/1,500) for 30 minutes at room temperature. The detection was performed using an HRP conjugated compact polymer system. DAB was used as the chromogen. Tissues were counterstained with hematoxylin and mounted with DPX.
quantity: 100μl
price: 360.00 USD
to the supplier
CD166
HUABIO
catalog: HA722705
domestic rabbit monoclonal (JE57-47)
reactivity:
human
,
mouse
,
rat
application:
western blot
,
flow cytometry
,
immunohistochemistry - paraffin section
,
immunohistochemistry - frozen section
Western blot analysis of CD166 on different lysates with Rabbit anti-CD166 antibody (HA722705) at 1/1,000 dilution. Lane 1: U-2 OS cell lysate (20 µg/Lane) Lane 2: A549 cell lysate (20 µg/Lane) Lane 3: SH-SY5Y cell lysate (20 µg/Lane) Lane 4: Mouse brain tissue lysate (40 µg/Lane) Lane 5: Mouse liver tissue lysate (40 µg/Lane) Lane 6: Rat brain tissue lysate (40 µg/Lane) Lane 7: Rat liver tissue lysate (40 µg/Lane) Predicted band size: 65 kDa Observed band size: 90-105 kDa Exposure time: 30 seconds; ECL: K1801; 4-20% SDS-PAGE gel. Proteins were transferred to a PVDF membrane and blocked with 5% NFDM/TBST for 1 hour at room temperature. The primary antibody (HA722705) at 1/1,000 dilution was used in 5% NFDM/TBST at 4℃ overnight. Goat Anti-Rabbit IgG - HRP Secondary Antibody (HA1001) at 1/50,000 dilution was used for 1 hour at room temperature.
Flow cytometric analysis of SH-SY5Y cells labeling CD166. Cells were fixed and permeabilized. Then stained with the primary antibody (HA722705, 1/1,000) (red) compared with Rabbit IgG Isotype Control (green). After incubation of the primary antibody at +4℃ for an hour, the cells were stained with a iFluor™ 488 conjugate-Goat anti-Rabbit IgG Secondary antibody (HA1121) at 1/1,000 dilution for 30 minutes at +4℃. Unlabelled sample was used as a control (cells without incubation with primary antibody; black).
Immunohistochemical analysis of paraffin-embedded human liver tissue with Rabbit anti-CD166 antibody (HA722705) at 1/200 dilution. The section was pre-treated using heat mediated antigen retrieval with Tris-EDTA buffer (pH 9.0) for 20 minutes. The tissues were blocked in 1% BSA for 20 minutes at room temperature, washed with ddH2O and PBS, and then probed with the primary antibody (HA722705) at 1/200 dilution for 1 hour at room temperature. The detection was performed using an HRP conjugated compact polymer system. DAB was used as the chromogen. Tissues were counterstained with hematoxylin and mounted with DPX.
quantity: 100μl
price: 385.00 USD
to the supplier
CD166
HUABIO
catalog: M1012-7-50UL
mouse monoclonal (11-6)
reactivity:
human
,
mouse
,
rat
application:
western blot
,
flow cytometry
,
immunohistochemistry - paraffin section
Western blot analysis of CD166 on different lysates with Mouse anti-CD166 antibody (M1012-7) at 1/1,000 dilution. Lane 1: A549-WT cell lysate Lane 2: A549-KD CD166 cell lysate Lysates/proteins at 10 µg/Lane. Predicted band size: 65 kDa Observed band size: 100 kDa Exposure time: 52 seconds; ECL: K1802; 4-20% SDS-PAGE gel. Proteins were transferred to a PVDF membrane and blocked with 5% NFDM/TBST for 1 hour at room temperature. The primary antibody (M1012-7) at 1/1,000 dilution was used in 5% BSA at 4℃ overnight. Goat Anti-Mouse IgG - HRP Secondary Antibody (HA1006) at 1/50,000 dilution was used for 1 hour at room temperature.
Western blot analysis of CD166 on different lysates. Proteins were transferred to a PVDF membrane and blocked with 5% BSA in PBS for 1 hour at room temperature. The primary antibody (M1012-7, 1/500) was used in 5% BSA at room temperature for 2 hours. Goat Anti-Mouse IgG - HRP Secondary Antibody (HA1006) at 1:5,000 dilution was used for 1 hour at room temperature. Positive control: Lane 1: PC-3M cell lysate Lane 2: SHSY5Y cell lysate Lane 3: A549 cell lysate
Immunohistochemical analysis of paraffin-embedded rat bladder tissue using anti-CD166 antibody. The section was pre-treated using heat mediated antigen retrieval with Tris-EDTA buffer (pH 8.0-8.4) for 20 minutes.The tissues were blocked in 5% BSA for 30 minutes at room temperature, washed with ddH2O and PBS, and then probed with the primary antibody (M1012-7, 1/100) for 30 minutes at room temperature. The detection was performed using an HRP conjugated compact polymer system. DAB was used as the chromogen. Tissues were counterstained with hematoxylin and mounted with DPX.
quantity: 50μl
price: 205.00 USD
to the supplier
CD166
HUABIO
catalog: M1012-7
mouse monoclonal (11-6)
reactivity:
human
,
mouse
,
rat
application:
western blot
,
flow cytometry
,
immunohistochemistry - paraffin section
quantity: 100μl
price: 360.00 USD
to the supplier