Sign in
Sign up
home
>
HUABIO
> HUABIO Rbbp5 antibody
RBBP5
HUABIO
catalog: HA500389
domestic rabbit polyclonal
reactivity:
human
,
mouse
application:
western blot
,
immunohistochemistry - paraffin section
Western blot analysis of RBBP5 on different lysates with Rabbit anti-RBBP5 antibody (HA500389) at 1/500 dilution. Lane 1: 293 cell lysate Lane 2: MCF-7 cell lysate Lysates/proteins at 10 µg/Lane. Predicted band size: 59 kDa Observed band size: 59 kDa Exposure time: 2 minutes; 8% SDS-PAGE gel. Proteins were transferred to a PVDF membrane and blocked with 5% NFDM/TBST for 1 hour at room temperature. The primary antibody (HA500389) at 1/500 dilution was used in 5% NFDM/TBST at room temperature for 2 hours. Goat Anti-Rabbit IgG - HRP Secondary Antibody (HA1001) at 1:300,000 dilution was used for 1 hour at room temperature.
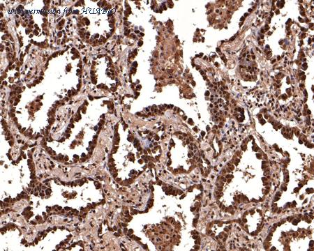
Immunohistochemical analysis of paraffin-embedded human lung carcinoma tissue with Rabbit anti-RBBP5 antibody (HA500389) at 1/600 dilution. The section was pre-treated using heat mediated antigen retrieval with sodium citrate buffer (pH 6.0) (high pressure) for 2 minutes. The tissues were blocked in 1% BSA for 20 minutes at room temperature, washed with ddH2O and PBS, and then probed with the primary antibody (HA500389) at 1/600 dilution for 1 hour at room temperature. The detection was performed using an HRP conjugated compact polymer system. DAB was used as the chromogen. Tissues were counterstained with hematoxylin and mounted with DPX.
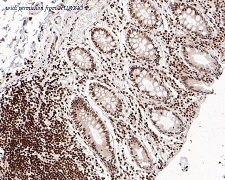
Immunohistochemical analysis of paraffin-embedded human colon tissue with Rabbit anti-RBBP5 antibody (HA500389) at 1/600 dilution. The section was pre-treated using heat mediated antigen retrieval with sodium citrate buffer (pH 6.0) (high pressure) for 2 minutes. The tissues were blocked in 1% BSA for 20 minutes at room temperature, washed with ddH2O and PBS, and then probed with the primary antibody (HA500389) at 1/600 dilution for 1 hour at room temperature. The detection was performed using an HRP conjugated compact polymer system. DAB was used as the chromogen. Tissues were counterstained with hematoxylin and mounted with DPX.
quantity: 100μl
price: 330 USD
to the supplier
RBBP5
HUABIO
catalog: HA500395
domestic rabbit polyclonal
reactivity:
human
,
mouse
,
rat
application:
western blot
Western blot analysis of RBBP5 on different lysates with Rabbit anti-RBBP5 antibody (HA500395) at 1/1,000 dilution. Lane 1: 293 cell lysate Lane 2: MCF-7 cell lysate Lane 3: K562 cell lysate Lane 4: A431 cell lysate Lane 5: NIH/3T3 cell lysate Lane 6: PC-12 cell lysate Lane 7: L6 cell lysate Lane 8: N2A cell lysate Lane 9: RAW264.7 cell lysate Lysates/proteins at 10 µg/Lane. Predicted band size: 59 kDa Observed band size: 59 kDa Exposure time: 2 minutes; 8% SDS-PAGE gel. Proteins were transferred to a PVDF membrane and blocked with 5% NFDM/TBST for 1 hour at room temperature. The primary antibody (HA500395) at 1/1,000 dilution was used in 5% NFDM/TBST at room temperature for 2 hours. Goat Anti-Rabbit IgG - HRP Secondary Antibody (HA1001) at 1:300,000 dilution was used for 1 hour at room temperature.
quantity: 100μl
price: 330 USD
to the supplier
RbBP5
HUABIO
catalog: HA721273
domestic rabbit monoclonal (PSH0-15)
reactivity:
human
,
mouse
,
rat
application:
western blot
Western blot analysis of RbBP5 on different lysates with Rabbit anti-RbBP5 antibody (HA721273) at 1/1,000 dilution. Lane 1: SW480 cell lysate Lane 2: A431 cell lysate Lane 3: C2C12 cell lysate Lane 4: 293 cell lysate Lane 5: MCF-7 cell lysate Lane 6: NIH/3T3 cell lysate Lane 7: K562 cell lysate Lane 8: N2A cell lysate Lane 9: PC-12 cell lysate Lane 10: RAW264.7 cell lysate Lysates/proteins at 25 µg/Lane. Predicted band size: 59 kDa Observed band size: 59 kDa Exposure time: 3 minutes; 4-20% SDS-PAGE gel. Proteins were transferred to a PVDF membrane and blocked with 5% NFDM/TBST for 1 hour at room temperature. The primary antibody (HA721273) at 1/1,000 dilution was used in 5% NFDM/TBST at room temperature for 2 hours. Goat Anti-Rabbit IgG - HRP Secondary Antibody (HA1001) at 1:300,000 dilution was used for 1 hour at room temperature.
Western blot analysis of RbBP5 on different lysates with Rabbit anti-RbBP5 antibody (HA721273) at 1/1,000 dilution. Lane 1: NIH-3T3-si NT cell lysate Lane 2: NIH-3T3-si RbBP5 cell lysate Lysates/proteins at 10 µg/Lane. Predicted band size: 59 kDa Observed band size: 59 kDa Exposure time: 4 minutes; 4-20% SDS-PAGE gel. HA721273 was shown to specifically react with RbBP5 in NIH-3T3-si NT cells. Weakened band was observed when NIH-3T3-si RbBP5 sample was tested. NIH-3T3-si NT and NIH-3T3-si RbBP5 samples were subjected to SDS-PAGE. Proteins were transferred to a PVDF membrane and blocked with 5% NFDM in TBST for 1 hour at room temperature. The primary antibody (HA721273, 1/1,000) and Loading control antibody (Rabbit anti-GAPDH, ET1601-4, 1/10,000) were used in 5% BSA at room temperature for 2 hours. Goat Anti-rabbit IgG-HRP Secondary Antibody (HA1001) at 1:300,000 dilution was used for 1 hour at room temperature.
quantity: 100μl
price: 385.00 USD
to the supplier
RbBP5
HUABIO
catalog: HA721274
domestic rabbit monoclonal (PSH0-16)
reactivity:
human
,
mouse
application:
immunohistochemistry - paraffin section
Immunohistochemical analysis of paraffin-embedded human colon tissue with Rabbit anti-RbBP5 antibody (HA721274) at 1/200 dilution. The section was pre-treated using heat mediated antigen retrieval with sodium citrate buffer (pH 6.0) (high pressure) for 2 minutes. The tissues were blocked in 1% BSA for 20 minutes at room temperature, washed with ddH2O and PBS, and then probed with the primary antibody (HA721274) at 1/200 dilution for 1 hour at room temperature. The detection was performed using an HRP conjugated compact polymer system. DAB was used as the chromogen. Tissues were counterstained with hematoxylin and mounted with DPX.
Immunohistochemical analysis of paraffin-embedded human colon carcinoma tissue with Rabbit anti-RbBP5 antibody (HA721274) at 1/200 dilution. The section was pre-treated using heat mediated antigen retrieval with sodium citrate buffer (pH 6.0) (high pressure) for 2 minutes. The tissues were blocked in 1% BSA for 20 minutes at room temperature, washed with ddH2O and PBS, and then probed with the primary antibody (HA721274) at 1/200 dilution for 1 hour at room temperature. The detection was performed using an HRP conjugated compact polymer system. DAB was used as the chromogen. Tissues were counterstained with hematoxylin and mounted with DPX.
Immunohistochemical analysis of paraffin-embedded human mouse tissue with Rabbit anti-RbBP5 antibody (HA721274) at 1/1,000 dilution. The section was pre-treated using heat mediated antigen retrieval with sodium citrate buffer (pH 6.0) (high pressure) for 2 minutes. The tissues were blocked in 1% BSA for 20 minutes at room temperature, washed with ddH2O and PBS, and then probed with the primary antibody (HA721274) at 1/1,000 dilution for 1 hour at room temperature. The detection was performed using an HRP conjugated compact polymer system. DAB was used as the chromogen. Tissues were counterstained with hematoxylin and mounted with DPX.
quantity: 100μl
price: 385.00 USD
to the supplier
RbBP5
HUABIO
catalog: HA750585
domestic rabbit monoclonal (PSH0-15)
reactivity:
human
,
mouse
,
rat
application:
western blot
Western blot analysis of RbBP5 on different lysates with Rabbit anti-RbBP5 antibody (HA750585) at 1/1,000 dilution. Lane 1: SW480 cell lysate Lane 2: A431 cell lysate Lane 3: C2C12 cell lysate Lane 4: 293 cell lysate Lane 5: MCF-7 cell lysate Lane 6: NIH/3T3 cell lysate Lane 7: K562 cell lysate Lane 8: N2A cell lysate Lane 9: PC-12 cell lysate Lane 10: RAW264.7 cell lysate Lysates/proteins at 25 µg/Lane. Predicted band size: 59 kDa Observed band size: 59 kDa Exposure time: 3 minutes; 4-20% SDS-PAGE gel. Proteins were transferred to a PVDF membrane and blocked with 5% NFDM/TBST for 1 hour at room temperature. The primary antibody (HA750585) at 1/1,000 dilution was used in 5% NFDM/TBST at room temperature for 2 hours. Goat Anti-Rabbit IgG - HRP Secondary Antibody (HA1001) at 1:300,000 dilution was used for 1 hour at room temperature.
Western blot analysis of RbBP5 on different lysates with Rabbit anti-RbBP5 antibody (HA750585) at 1/1,000 dilution. Lane 1: NIH-3T3-si NT cell lysate Lane 2: NIH-3T3-si RbBP5 cell lysate Lysates/proteins at 10 µg/Lane. Predicted band size: 59 kDa Observed band size: 59 kDa Exposure time: 4 minutes; 4-20% SDS-PAGE gel. HA721273 was shown to specifically react with RbBP5 in NIH-3T3-si NT cells. Weakened band was observed when NIH-3T3-si RbBP5 sample was tested. NIH-3T3-si NT and NIH-3T3-si RbBP5 samples were subjected to SDS-PAGE. Proteins were transferred to a PVDF membrane and blocked with 5% NFDM in TBST for 1 hour at room temperature. The primary antibody (HA721273, 1/1,000) and Loading control antibody (Rabbit anti-GAPDH, ET1601-4, 1/10,000) were used in 5% BSA at room temperature for 2 hours. Goat Anti-rabbit IgG-HRP Secondary Antibody (HA1001) at 1:300,000 dilution was used for 1 hour at room temperature.
quantity: 100μl
price: 649.00 USD
to the supplier
RbBP5
HUABIO
catalog: HA750586
domestic rabbit monoclonal (PSH0-16)
reactivity:
human
,
mouse
application:
immunohistochemistry - paraffin section
Immunohistochemical analysis of paraffin-embedded human colon tissue with Rabbit anti-RbBP5 antibody (HA750586) at 1/200 dilution. The section was pre-treated using heat mediated antigen retrieval with sodium citrate buffer (pH 6.0) (high pressure) for 2 minutes. The tissues were blocked in 1% BSA for 20 minutes at room temperature, washed with ddH2O and PBS, and then probed with the primary antibody (HA750586) at 1/200 dilution for 1 hour at room temperature. The detection was performed using an HRP conjugated compact polymer system. DAB was used as the chromogen. Tissues were counterstained with hematoxylin and mounted with DPX.
Immunohistochemical analysis of paraffin-embedded human colon carcinoma tissue with Rabbit anti-RbBP5 antibody (HA750586) at 1/200 dilution. The section was pre-treated using heat mediated antigen retrieval with sodium citrate buffer (pH 6.0) (high pressure) for 2 minutes. The tissues were blocked in 1% BSA for 20 minutes at room temperature, washed with ddH2O and PBS, and then probed with the primary antibody (HA750586) at 1/200 dilution for 1 hour at room temperature. The detection was performed using an HRP conjugated compact polymer system. DAB was used as the chromogen. Tissues were counterstained with hematoxylin and mounted with DPX.
Immunohistochemical analysis of paraffin-embedded human mouse tissue with Rabbit anti-RbBP5 antibody (HA750586) at 1/1,000 dilution. The section was pre-treated using heat mediated antigen retrieval with sodium citrate buffer (pH 6.0) (high pressure) for 2 minutes. The tissues were blocked in 1% BSA for 20 minutes at room temperature, washed with ddH2O and PBS, and then probed with the primary antibody (HA750586) at 1/1,000 dilution for 1 hour at room temperature. The detection was performed using an HRP conjugated compact polymer system. DAB was used as the chromogen. Tissues were counterstained with hematoxylin and mounted with DPX.
quantity: 100μl
price: 649.00 USD
to the supplier